Revision 1

#29642

Store at -20C

CST Logo
Orders:

877-616-CELL (2355)

[email protected]

Support:

877-678-TECH (8324)

3 Trask Lane | Danvers | Massachusetts | 01923 | USA

For Research Use Only. Not for Use in Diagnostic Procedures.

Applications:
W, IHC-P, IF-F

Reactivity:
H M

Sensitivity:
Endogenous

MW (kDa):
75

Source/Isotype:
Rabbit IgG

UniProt ID:
#P55316

Entrez-Gene Id:
2290

Product Usage Information

Application Dilution
Western Blotting 1:1000
Immunohistochemistry (Paraffin) 1:200 - 1:800
Immunofluorescence (Frozen) 1:200 - 1:400

Storage

Supplied in 10 mM sodium HEPES (pH 7.5), 150 mM NaCl, 100 µg/mL BSA, 50% glycerol, and less than 0.02% sodium azide. Store at –20°C. Do not aliquot the antibody.

Specificity/Sensitivity

FOXG1 (E2W8P) Rabbit Monoclonal Antibody recognizes endogenous levels of total FOXG1 protein. Non-specific staining was observed in mouse vas deferens by immunohistochemistry.

Species predicted to react based on 100% sequence homology

Rat

Source / Purification

Monoclonal antibody is produced by immunizing animals with a synthetic peptide corresponding to residues near the carboxy terminus of human FOXG1 protein.

Background

FOXG1 (Forkhead box G1) is a transcription factor that is a member of the Fox family of transcription factors, which are characterized by a conserved DNA-binding domain known as the forkhead domain (1). FOXG1 plays a crucial role in the development of the brain and nervous system and is expressed in the developing forebrain, where it regulates the proliferation and differentiation of neural progenitor cells. It is also essential for the formation of the cerebral cortex (2,3). Mutations in the FOXG1 gene have been linked to a rare neurological disorder called the FOXG1 syndrome, which is characterized by severe developmental delay, intellectual disability, and seizures. Studies have also suggested that FOXG1 may play a role in the development of certain types of brain tumors, such as glioblastoma (3).

Species Reactivity

Species reactivity is determined by testing in at least one approved application (e.g., western blot).

Western Blot Buffer

IMPORTANT: For western blots, incubate membrane with diluted primary antibody in 5% w/v BSA, 1X TBS, 0.1% Tween® 20 at 4°C with gentle shaking, overnight.

Applications Key

W: Western Blotting IHC-P: Immunohistochemistry (Paraffin) IF-F: Immunofluorescence (Frozen)

Cross-Reactivity Key

H: Human M: Mouse

Trademarks and Patents

Cell Signaling Technology is a trademark of Cell Signaling Technology, Inc.

All other trademarks are the property of their respective owners. Visit cellsignal.com/trademarks for more information.

Limited Uses

Except as otherwise expressly agreed in a writing signed by a legally authorized representative of CST, the following terms apply to Products provided by CST, its affiliates or its distributors. Any Customer's terms and conditions that are in addition to, or different from, those contained herein, unless separately accepted in writing by a legally authorized representative of CST, are rejected and are of no force or effect.

Products are labeled with For Research Use Only or a similar labeling statement and have not been approved, cleared, or licensed by the FDA or other regulatory foreign or domestic entity, for any purpose. Customer shall not use any Product for any diagnostic or therapeutic purpose, or otherwise in any manner that conflicts with its labeling statement. Products sold or licensed by CST are provided for Customer as the end-user and solely for research and development uses. Any use of Product for diagnostic, prophylactic or therapeutic purposes, or any purchase of Product for resale (alone or as a component) or other commercial purpose, requires a separate license from CST. Customer shall (a) not sell, license, loan, donate or otherwise transfer or make available any Product to any third party, whether alone or in combination with other materials, or use the Products to manufacture any commercial products, (b) not copy, modify, reverse engineer, decompile, disassemble or otherwise attempt to discover the underlying structure or technology of the Products, or use the Products for the purpose of developing any products or services that would compete with CST products or services, (c) not alter or remove from the Products any trademarks, trade names, logos, patent or copyright notices or markings, (d) use the Products solely in accordance with CST Product Terms of Sale and any applicable documentation, and (e) comply with any license, terms of service or similar agreement with respect to any third party products or services used by Customer in connection with the Products.

Orders: 877-616-CELL (2355) [email protected] Support: 877-678-TECH (8324) [email protected] Web: cellsignal.com
For Research Use Only. Not for Use in Diagnostic Procedures.

Revision 1

Cell Signaling Technology Logo
Western blot analysis of extracts from various human cells and mouse tissues using FOXG1 (E2W8P) Rabbit mAb (upper) or β-Actin (D6A8) Rabbit mAb #8457 (lower). Negative expression of FOXG1 protein in ACHN cells is consistent with the predicted expression pattern.
Western Blotting Image 1: FOXG1 (E2W8P) Rabbit Monoclonal Antibody
Immunohistochemical analysis of paraffin-embedded E14 embryonic mouse brain using FOXG1 (E2W8P) Rabbit mAb.
Immunohistochemistry Image 1: FOXG1 (E2W8P) Rabbit Monoclonal Antibody
Immunohistochemical analysis of paraffin-embedded mouse olfactory bulb using FOXG1 (E2W8P) Rabbit mAb.
Immunohistochemistry Image 2: FOXG1 (E2W8P) Rabbit Monoclonal Antibody
Orders: 877-616-CELL (2355) [email protected] Support: 877-678-TECH (8324) [email protected] Web: cellsignal.com
For Research Use Only. Not for Use in Diagnostic Procedures.

Revision 1

Cell Signaling Technology Logo
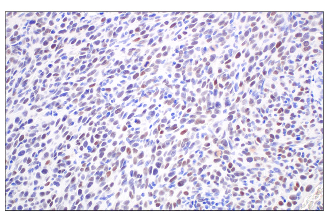
Immunohistochemical analysis of paraffin-embedded MC38 syngeneic tumor using FOXG1 (E2W8P) Rabbit mAb.
Immunohistochemistry Image 3: FOXG1 (E2W8P) Rabbit Monoclonal Antibody

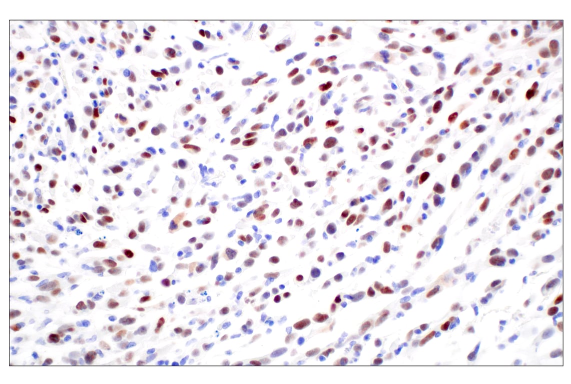
Immunohistochemical analysis of paraffin-embedded CT26 syngeneic tumor using FOXG1 (E2W8P) Rabbit mAb.

Immunohistochemistry Image 4: FOXG1 (E2W8P) Rabbit Monoclonal Antibody
Immunohistochemical analysis of various paraffin-embedded mouse tissues: cortex of the brain (left-top), cerebellum (right-top), kidney (left-bottom), and lung (right-bottom) using FOXG1 (E2W8P) Rabbit mAb.
Immunohistochemistry Image 5: FOXG1 (E2W8P) Rabbit Monoclonal Antibody
Orders: 877-616-CELL (2355) [email protected] Support: 877-678-TECH (8324) [email protected] Web: cellsignal.com
For Research Use Only. Not for Use in Diagnostic Procedures.

Revision 1

Cell Signaling Technology Logo

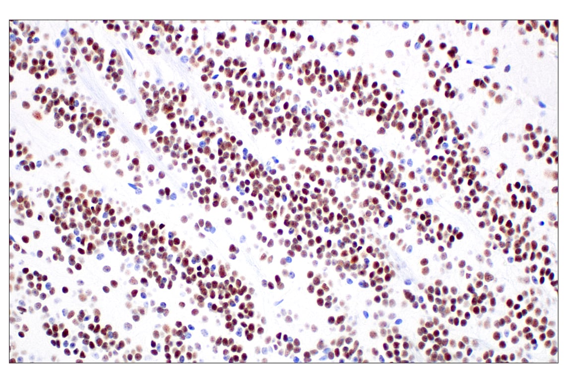
Immunohistochemical analysis of paraffin-embedded human glioblastoma using FOXG1 (E2W8P) Rabbit mAb.

Immunohistochemistry Image 6: FOXG1 (E2W8P) Rabbit Monoclonal Antibody
Immunohistochemical analysis of paraffin-embedded human glioma using FOXG1 (E2W8P) Rabbit mAb.
Immunohistochemistry Image 7: FOXG1 (E2W8P) Rabbit Monoclonal Antibody
Immunohistochemical analysis of paraffin-embedded normal human testis using FOXG1 (E2W8P) Rabbit mAb (left) compared to concentration-matched Rabbit (DA1E) mAb IgG XP® Isotype Control #3900 (right).
Immunohistochemistry Image 8: FOXG1 (E2W8P) Rabbit Monoclonal Antibody
Orders: 877-616-CELL (2355) [email protected] Support: 877-678-TECH (8324) [email protected] Web: cellsignal.com
For Research Use Only. Not for Use in Diagnostic Procedures.

Revision 1

Cell Signaling Technology Logo
Immunohistochemical analysis of paraffin-embedded 293T cell pellet, untransfected (left, low-expressing) or FOXG1-transfected (right), using FOXG1 (E2W8P) Rabbit mAb.
Immunohistochemistry Image 9: FOXG1 (E2W8P) Rabbit Monoclonal Antibody
Confocal immunofluorescent analysis of fixed frozen mouse hippocampus (left, positive) and cerebellum (right, negative) labeled with FoxG1 (E2W8P) Rabbit mAb (green). Free secondary binding sites were then blocked with Rabbit (DA1E) mAb IgG XP® Isotype Control #3900 prior to co-labeling with Iba1/AIF-1 (E4O4W) XP® Rabbit mAb (Alexa Fluor® 555 Conjugate) #36618 (red), and GFAP (GA5) Mouse mAb (Alexa Fluor® 647 Conjugate) #3657 (blue pseudocolor).
Immunofluorescence Image 1: FOXG1 (E2W8P) Rabbit Monoclonal Antibody
Orders: 877-616-CELL (2355) [email protected] Support: 877-678-TECH (8324) [email protected] Web: cellsignal.com
For Research Use Only. Not for Use in Diagnostic Procedures.