Revision 3

#29665

Store at -20C

CST Logo
Orders:

877-616-CELL (2355)

[email protected]

Support:

877-678-TECH (8324)

3 Trask Lane | Danvers | Massachusetts | 01923 | USA

For Research Use Only. Not for Use in Diagnostic Procedures.

Applications:
W, W-S, IP, IHC-P, IF-IC, FC-FP

Reactivity:
H

Sensitivity:
Endogenous

MW (kDa):
135

Source/Isotype:
Rabbit IgG

UniProt ID:
#P07476

Entrez-Gene Id:
3713

Product Usage Information

Application Dilution
Western Blotting 1:1000
Simple Western™ 1:10 - 1:50
Immunoprecipitation 1:50
Immunohistochemistry (Paraffin) 1:100 - 1:400
Immunofluorescence (Immunocytochemistry) 1:400 - 1:1600
Flow Cytometry (Fixed/Permeabilized) 1:100 - 1:400

Storage

Supplied in 10 mM sodium HEPES (pH 7.5), 150 mM NaCl, 100 µg/mL BSA, 50% glycerol, and less than 0.02% sodium azide. Store at –20°C. Do not aliquot the antibody.

Specificity/Sensitivity

Involucrin (F9C3C) Rabbit mAb recognizes endogenous levels of total involucrin protein. Non-specific nuclear staining was observed in human heart by immunohistochemistry.

Source / Purification

Monoclonal antibody is produced by immunizing animals with a synthetic peptide corresponding to residues near the carboxy terminus of human involucrin protein.

Background

Involucrin is a marker of terminal keratinocyte differentiation in stratified squamous epithelia and a component of the cross-linked cornified cell envelope (CE) adjacent to the plasma membrane (1,2). The high number of glutamine-rich repeats in the amino acid sequence of involucrin serve as active sites for the cross-linking enzyme transglutaminase (1-3). Soluble involucrin can be cross-linked to itself and other members of the CE, including cystatin alpha, loricrin, elafin, desmoplakin family proteins, spr family proteins, and keratin family proteins (3). The CE can be reconstituted in vitro in 3D bioprinted artificial human skin expressing IVL, or with cultured keratinocytes in the presence of Ca++ and transglutaminase (4,5). While the CE is insoluble and highly resistant to detergent extraction, cross-linked involucrin can be cleaved in vitro using cyanogen bromide (6). Mice deficient in involucrin, envoplakin, and periplakin develop dry, hyperkeratotic skin with underlying structurally abnormal CEs (7). Involucrin is overexpressed in transcription factor Foxn1-/- nude mice, one of several PKC-driven differentiation abnormalities in this model (8). Frequent coexpression of PTK6/BRK and involucrin has been observed in breast cancer tissue, and these proteins can serve as predictive biomarkers for therapeutic response to vitamin D3 (9). In squamous cell carcinoma (SCC), involucrin expression is inversely correlated with retinal G protein-coupled receptor (RGR) expression, with involucrin expression higher in well-differentiated SCC lesions (10).

Species Reactivity

Species reactivity is determined by testing in at least one approved application (e.g., western blot).

Western Blot Buffer

IMPORTANT: For western blots, incubate membrane with diluted primary antibody in 5% w/v BSA, 1X TBS, 0.1% Tween® 20 at 4°C with gentle shaking, overnight.

Applications Key

W: Western Blotting W-S: Simple Western™ IP: Immunoprecipitation IHC-P: Immunohistochemistry (Paraffin) IF-IC: Immunofluorescence (Immunocytochemistry) FC-FP: Flow Cytometry (Fixed/Permeabilized)

Cross-Reactivity Key

H: Human

Trademarks and Patents

Cell Signaling Technology is a trademark of Cell Signaling Technology, Inc.

KARPAS cell line source: Dr. Abraham Karpas at the University of Cambridge.

All other trademarks are the property of their respective owners. Visit cellsignal.com/trademarks for more information.

Limited Uses

Except as otherwise expressly agreed in a writing signed by a legally authorized representative of CST, the following terms apply to Products provided by CST, its affiliates or its distributors. Any Customer's terms and conditions that are in addition to, or different from, those contained herein, unless separately accepted in writing by a legally authorized representative of CST, are rejected and are of no force or effect.

Products are labeled with For Research Use Only or a similar labeling statement and have not been approved, cleared, or licensed by the FDA or other regulatory foreign or domestic entity, for any purpose. Customer shall not use any Product for any diagnostic or therapeutic purpose, or otherwise in any manner that conflicts with its labeling statement. Products sold or licensed by CST are provided for Customer as the end-user and solely for research and development uses. Any use of Product for diagnostic, prophylactic or therapeutic purposes, or any purchase of Product for resale (alone or as a component) or other commercial purpose, requires a separate license from CST. Customer shall (a) not sell, license, loan, donate or otherwise transfer or make available any Product to any third party, whether alone or in combination with other materials, or use the Products to manufacture any commercial products, (b) not copy, modify, reverse engineer, decompile, disassemble or otherwise attempt to discover the underlying structure or technology of the Products, or use the Products for the purpose of developing any products or services that would compete with CST products or services, (c) not alter or remove from the Products any trademarks, trade names, logos, patent or copyright notices or markings, (d) use the Products solely in accordance with CST Product Terms of Sale and any applicable documentation, and (e) comply with any license, terms of service or similar agreement with respect to any third party products or services used by Customer in connection with the Products.

Orders: 877-616-CELL (2355) [email protected] Support: 877-678-TECH (8324) [email protected] Web: cellsignal.com
For Research Use Only. Not for Use in Diagnostic Procedures.

Revision 3

Cell Signaling Technology Logo
Western blot analysis of extracts from various cell lines using Involucrin (F9C3C) Rabbit mAb (upper) or GAPDH (D16H11) XP® Rabbit mAb #5174 (lower). Negative expression of Involucrin protein in KARPAS 299 and LN-18 cells is in line with the predicted expression pattern.
Western Blotting Image 1: Involucrin (F9C3C) Rabbit Monoclonal Antibody
Western blot analysis of extracts from various tissues using Involucrin (F9C3C) Rabbit mAb (upper) or α-Tubulin (11H10) Rabbit mAb #2125 (lower).
Western Blotting Image 2: Involucrin (F9C3C) Rabbit Monoclonal Antibody
Simple Western™ analysis of lysates (0.1 mg/mL) fromSK-BR-3 lysate using Involucrin (F9C3C) Rabbit mAb #29665. The virtual lane view (left) shows the target band (as indicated) at 1:10 and 1:50 dilutions of primary antibody. The corresponding electropherogram view (right) plots chemiluminescence by molecular weight along the capillary at 1:10 (blue line) and 1:50 (green line) dilutions of primary antibody. This experiment was performed under reducing conditions on the JessTM Simple Western instrument from ProteinSimple, a BioTechne brand, using the 66-440 kDa separation module.
Western Blotting Image 1: Involucrin (F9C3C) Rabbit Monoclonal Antibody
Orders: 877-616-CELL (2355) [email protected] Support: 877-678-TECH (8324) [email protected] Web: cellsignal.com
For Research Use Only. Not for Use in Diagnostic Procedures.

Revision 3

Cell Signaling Technology Logo
Immunoprecipitation of Involucrin protein from SK-BR-3 cell extracts. Lane 1 is 10% input, lane 2 is Rabbit (DA1E) mAb IgG XP® Isotype Control #3900, and lane 3 is Involucrin (F9C3C) Rabbit mAb. Western blot analysis was performed using Involucrin (F9C3C) Rabbit mAb. Anti-rabbit IgG, HRP-linked Antibody #7074 was used as a secondary antibody.
Immunoprecipitation Image 1: Involucrin (F9C3C) Rabbit Monoclonal Antibody
Immunohistochemical analysis of paraffin-embedded human papillary thyroid carcinoma using Involucrin (F9C3C) Rabbit mAb.
Immunohistochemistry Image 1: Involucrin (F9C3C) Rabbit Monoclonal Antibody
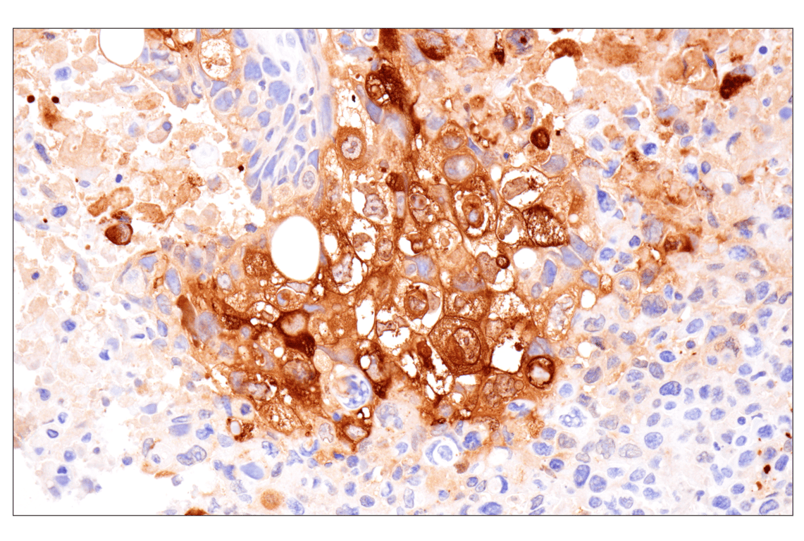
Immunohistochemical analysis of paraffin-embedded human soft tissue squamous cell carcinoma using Involucrin (F9C3C) Rabbit mAb.
Immunohistochemistry Image 2: Involucrin (F9C3C) Rabbit Monoclonal Antibody
Orders: 877-616-CELL (2355) [email protected] Support: 877-678-TECH (8324) [email protected] Web: cellsignal.com
For Research Use Only. Not for Use in Diagnostic Procedures.

Revision 3

Cell Signaling Technology Logo
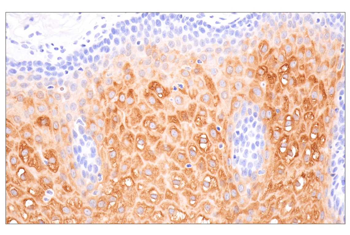
Immunohistochemical analysis of paraffin-embedded human lung adenocarcinoma using Involucrin (F9C3C) Rabbit mAb.
Immunohistochemistry Image 3: Involucrin (F9C3C) Rabbit Monoclonal Antibody
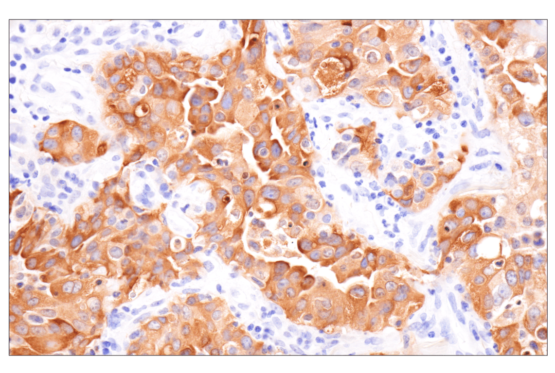
Immunohistochemical analysis of paraffin-embedded human prostate adenocarcinoma using Involucrin (F9C3C) Rabbit mAb.
Immunohistochemistry Image 4: Involucrin (F9C3C) Rabbit Monoclonal Antibody
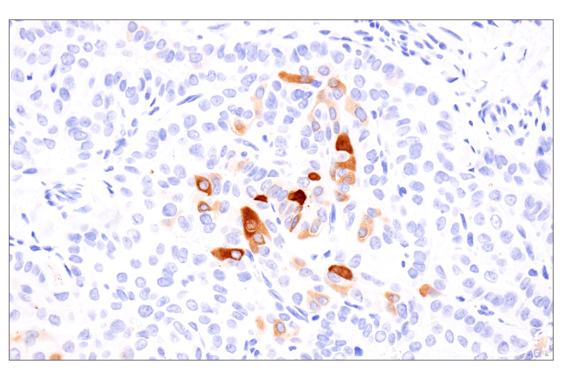
Immunohistochemical analysis of paraffin-embedded human urothelial carcinoma using Involucrin (F9C3C) Rabbit mAb.
Immunohistochemistry Image 5: Involucrin (F9C3C) Rabbit Monoclonal Antibody
Orders: 877-616-CELL (2355) [email protected] Support: 877-678-TECH (8324) [email protected] Web: cellsignal.com
For Research Use Only. Not for Use in Diagnostic Procedures.

Revision 3

Cell Signaling Technology Logo
Immunohistochemical analysis of paraffin-embedded normal human esophagus using Involucrin (F9C3C) Rabbit mAb.
Immunohistochemistry Image 6: Involucrin (F9C3C) Rabbit Monoclonal Antibody
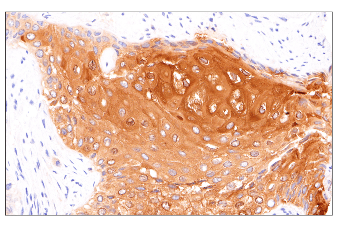
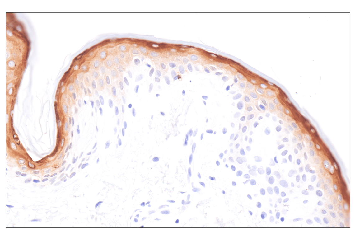
Immunohistochemical analysis of paraffin-embedded normal human skin using Involucrin (F9C3C) Rabbit mAb
Immunohistochemistry Image 7: Involucrin (F9C3C) Rabbit Monoclonal Antibody
Immunohistochemical analysis of paraffin-embedded human soft tissue squamous cell carcinoma (left), squamous cell carcinoma of the parotid gland (middle), or normal skin (right) using Involucrin (F9C3C) Rabbit mAb (top) or Involucrin Rabbit mAb (bottom). These two antibodies detect unique, non-overlapping epitopes on human Involucrin. The similar staining patterns obtained with both antibodies help to confirm the specificity of the staining. 
Immunohistochemistry Image 8: Involucrin (F9C3C) Rabbit Monoclonal Antibody
Orders: 877-616-CELL (2355) [email protected] Support: 877-678-TECH (8324) [email protected] Web: cellsignal.com
For Research Use Only. Not for Use in Diagnostic Procedures.

Revision 3

Cell Signaling Technology Logo
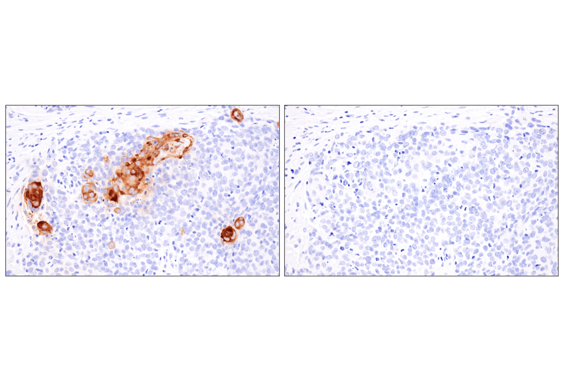
Immunohistochemical analysis of paraffin-embedded human squamous cell carcinoma of the parotid gland using Involucrin (F9C3C) Rabbit mAb (left) compared to concentration-matched Rabbit (DA1E) mAb IgG XP® Isotype Control #3900 (right).
Immunohistochemistry Image 9: Involucrin (F9C3C) Rabbit Monoclonal Antibody
Immunohistochemical analysis of paraffin-embedded NCI-H1666 cell pellet (left, positive) or KARPAS 299 cell pellet (right, negative) using Involucrin (F9C3C) Rabbit mAb.
Immunohistochemistry Image 10: Involucrin (F9C3C) Rabbit Monoclonal Antibody
Confocal immunofluorescent analysis of CAL-29 cells (left, positive) and LN-18 cells (right, negative) using Involucrin (F9C3C) Rabbit mAb (green), DyLight 554 Phalloidin #13054 (red), and DAPI #4083 (blue).
Immunofluorescence Image 1: Involucrin (F9C3C) Rabbit Monoclonal Antibody
Orders: 877-616-CELL (2355) [email protected] Support: 877-678-TECH (8324) [email protected] Web: cellsignal.com
For Research Use Only. Not for Use in Diagnostic Procedures.

Revision 3

Cell Signaling Technology Logo
Flow cytometric analysis of KARPAS 299 cells (blue, negative) and NCI-H1666 cells (green, positive) using Involucrin (F9C3C) Rabbit mAb (solid lines) or concentration-matched Rabbit (DA1E) mAb IgG XP® Isotype Control #3900 (dashed lines). Anti-rabbit IgG (H+L), F(ab')2 Fragment (Alexa Fluor® 488 Conjugate) #4412 was used as a secondary antibody. 
Flow Cytometry Image 1: Involucrin (F9C3C) Rabbit Monoclonal Antibody
Orders: 877-616-CELL (2355) [email protected] Support: 877-678-TECH (8324) [email protected] Web: cellsignal.com
For Research Use Only. Not for Use in Diagnostic Procedures.