Revision 1

#30124

Store at -20C

CST Logo
Orders:

877-616-CELL (2355)

[email protected]

Support:

877-678-TECH (8324)

3 Trask Lane | Danvers | Massachusetts | 01923 | USA

For Research Use Only. Not for Use in Diagnostic Procedures.

Applications:
W, IHC-P

Reactivity:
H M

Sensitivity:
Endogenous

MW (kDa):
38

Source/Isotype:
Mouse IgG1 kappa

UniProt ID:
#P15328

Entrez-Gene Id:
2348

Product Usage Information

This product is the carrier free version of product #34265. All data were generated using the same antibody clone in the standard formulation which contains BSA and glycerol.

This formulation is ideal for use with technologies requiring specialized or custom antibody labeling, including fluorophores, metals, lanthanides, and oligonucleotides. It is not recommended for ChIP, ChIP-seq, CUT&RUN or CUT&Tag assays. If you require a carrier free formulation for chromatin profiling, please contact us. Optimal dilutions/concentrations should be determined by the end user.

BSA and Azide Free antibodies are quality control tested by size exclusion chromatography (SEC) to determine antibody integrity.

Formulation

Supplied in 1X PBS (10 mM Na2HPO4, 3 mM KCl, 2 mM KH2PO4, and 140 mM NaCl (pH 7.8)). BSA and Azide Free.

For standard formulation of this product see product #34265

Storage

Store at -20°C. This product will freeze at -20°C so it is recommended to aliquot into single-use vials to avoid multiple freeze/thaw cycles. A slight precipitate may be present and can be dissolved by gently vortexing. This will not interfere with antibody performance.

Specificity/Sensitivity

Folate Receptor Alpha/FOLR1 (E8U2F) Mouse Monoclonal Antibody (BSA and Azide Free) recognizes endogenous levels of total Folate Receptor Alpha/FOLR1 protein. Non-specific staining was observed in normal human brain by immunohistochemistry. This antibody is not recommended for immunohistochemical analysis of mouse tissues.

Source / Purification

Monoclonal antibody is produced by immunizing animals with a synthetic peptide corresponding to residues surrounding Asp77 of human Folate Receptor Alpha/FOLR1 protein.

Background

Folate Receptor Alpha (FOLR1) is a cysteine-rich cell-surface receptor that plays a critical role in the maintenance and transport of folate (vitamin B9) and reduced folic acid derivatives into cells and is essential for various cellular processes (1,2). FOLR1 binds to folate and facilitates its internalization into cells through receptor-mediated endocytosis or potocytosis and is important in cellular processes, including DNA synthesis and repair (1-3). Intracellular folate levels are critical to maintaining and supporting folate functions in its multiple coenzyme forms (4). It is primarily expressed in tissues requiring high folate levels, such as the placenta, kidneys, and certain cancer cells (5). FOLR1 has been found to be overexpressed in several types of cancer, including ovarian, lung, and breast cancer (6-8).

Species Reactivity

Species reactivity is determined by testing in at least one approved application (e.g., western blot).

Applications Key

W: Western Blotting IHC-P: Immunohistochemistry (Paraffin)

Cross-Reactivity Key

H: Human M: Mouse

Trademarks and Patents

Cell Signaling Technology is a trademark of Cell Signaling Technology, Inc.

All other trademarks are the property of their respective owners. Visit cellsignal.com/trademarks for more information.

Limited Uses

Except as otherwise expressly agreed in a writing signed by a legally authorized representative of CST, the following terms apply to Products provided by CST, its affiliates or its distributors. Any Customer's terms and conditions that are in addition to, or different from, those contained herein, unless separately accepted in writing by a legally authorized representative of CST, are rejected and are of no force or effect.

Products are labeled with For Research Use Only or a similar labeling statement and have not been approved, cleared, or licensed by the FDA or other regulatory foreign or domestic entity, for any purpose. Customer shall not use any Product for any diagnostic or therapeutic purpose, or otherwise in any manner that conflicts with its labeling statement. Products sold or licensed by CST are provided for Customer as the end-user and solely for research and development uses. Any use of Product for diagnostic, prophylactic or therapeutic purposes, or any purchase of Product for resale (alone or as a component) or other commercial purpose, requires a separate license from CST. Customer shall (a) not sell, license, loan, donate or otherwise transfer or make available any Product to any third party, whether alone or in combination with other materials, or use the Products to manufacture any commercial products, (b) not copy, modify, reverse engineer, decompile, disassemble or otherwise attempt to discover the underlying structure or technology of the Products, or use the Products for the purpose of developing any products or services that would compete with CST products or services, (c) not alter or remove from the Products any trademarks, trade names, logos, patent or copyright notices or markings, (d) use the Products solely in accordance with CST Product Terms of Sale and any applicable documentation, and (e) comply with any license, terms of service or similar agreement with respect to any third party products or services used by Customer in connection with the Products.

Orders: 877-616-CELL (2355) [email protected] Support: 877-678-TECH (8324) [email protected] Web: cellsignal.com
For Research Use Only. Not for Use in Diagnostic Procedures.

Revision 1

Cell Signaling Technology Logo
Western blot analysis of extracts from 293T cells, mock transfected (-) or transfected with a construct expressing Myc/DDK-tagged full-length human Folate Receptor Alpha/FOLR1 (hFolate Receptor Alpha/FOLR1-Myc/DDK; +), using Folate Receptor Alpha/FOLR1 (F8U2F) Mouse mAb (upper), Myc-Tag (71D10) Rabbit mAb #2278 (middle), or GAPDH (D16H11) XP® Rabbit mAb #5174 (lower). Data were generated using the standard formulation of this product.
Western Blotting Image 1: Folate Receptor Alpha/FOLR1 (E8U2F) Mouse Monoclonal Antibody (BSA and Azide Free)
Western blot analysis of extracts from various cell lines using Folate Receptor Alpha/FOLR1 (E8U2F) Mouse mAb (upper) or GAPDH (D16H11) XP® Rabbit mAb #5174 (lower). Negative expression of Folate Receptor Alpha/FOLR1 protein in NCI-H1703 cells is consistent with the predicted expression pattern. Data were generated using the standard formulation of this product.
Western Blotting Image 2: Folate Receptor Alpha/FOLR1 (E8U2F) Mouse Monoclonal Antibody (BSA and Azide Free)
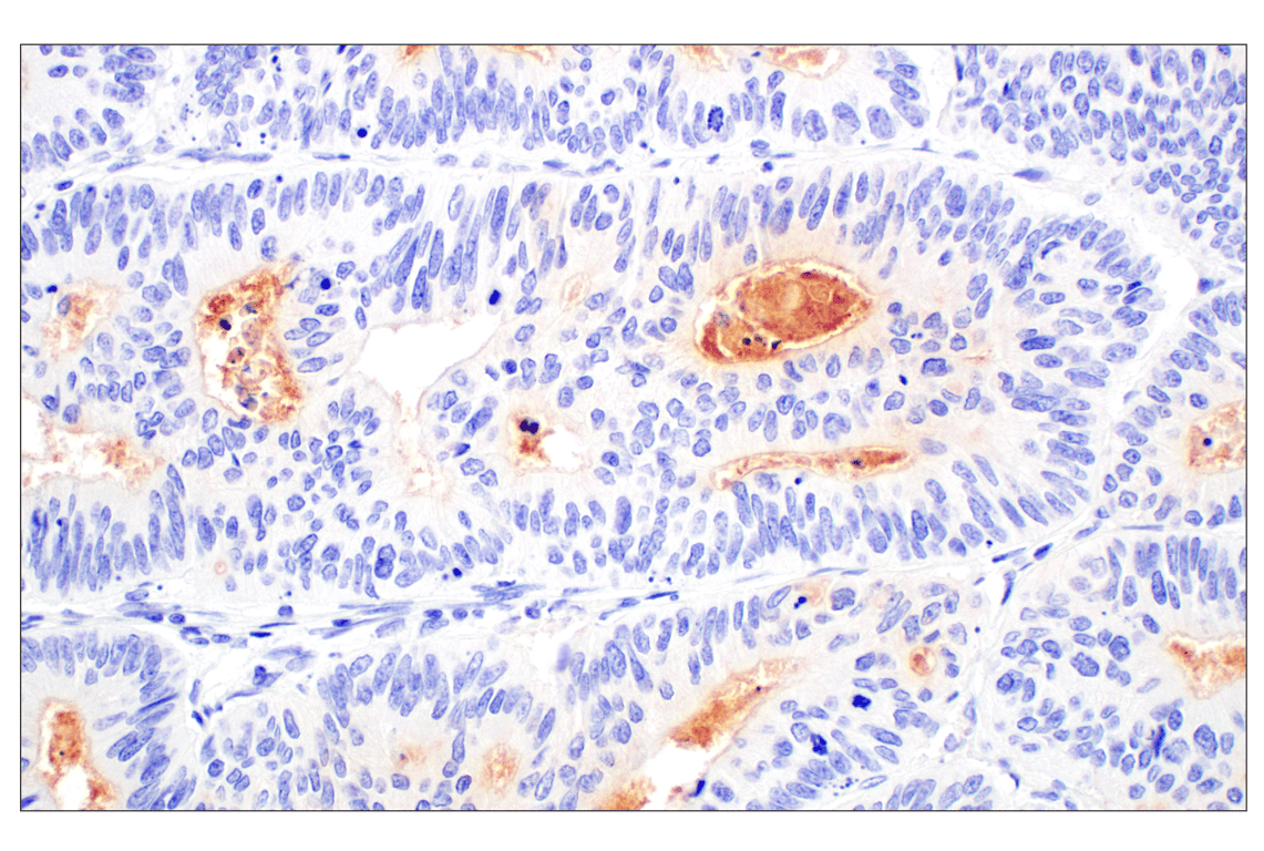
Immunohistochemical analysis of paraffin-embedded human colon adenocarcinoma using Folate Receptor Alpha/FOLR1 (E8U2F) Mouse mAb. Data were generated using the standard formulation of this product.
Immunohistochemistry Image 1: Folate Receptor Alpha/FOLR1 (E8U2F) Mouse Monoclonal Antibody (BSA and Azide Free)
Orders: 877-616-CELL (2355) [email protected] Support: 877-678-TECH (8324) [email protected] Web: cellsignal.com
For Research Use Only. Not for Use in Diagnostic Procedures.

Revision 1

Cell Signaling Technology Logo
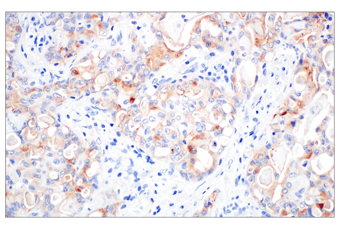
Immunohistochemical analysis of paraffin-embedded human non-small cell lung carcinoma using Folate Receptor Alpha/FOLR1 (E8U2F) Mouse mAb. Data were generated using the standard formulation of this product.
Immunohistochemistry Image 2: Folate Receptor Alpha/FOLR1 (E8U2F) Mouse Monoclonal Antibody (BSA and Azide Free)
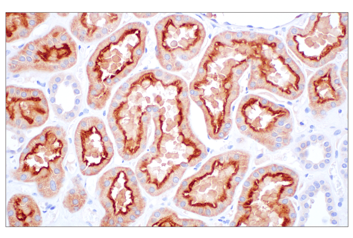
Immunohistochemical analysis of paraffin-embedded normal human kidney using Folate Receptor Alpha/FOLR1 (E8U2F) Mouse mAb. Data were generated using the standard formulation of this product.
Immunohistochemistry Image 3: Folate Receptor Alpha/FOLR1 (E8U2F) Mouse Monoclonal Antibody (BSA and Azide Free)
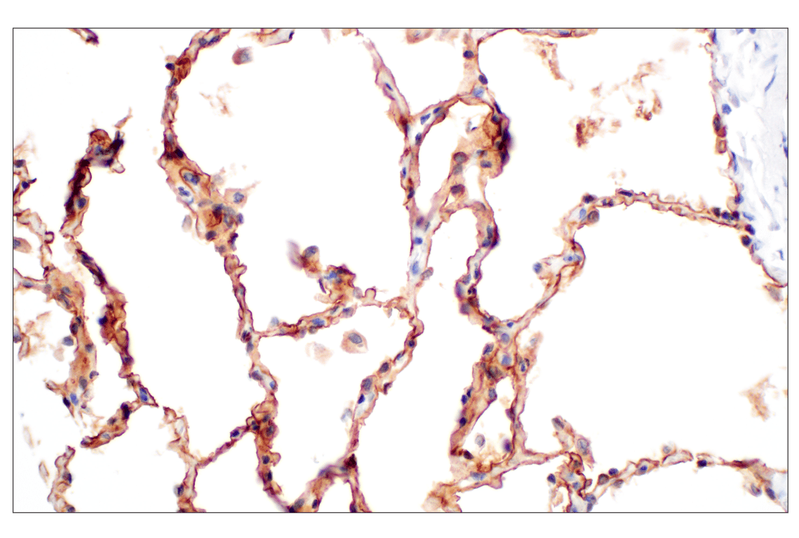
Immunohistochemical analysis of paraffin-embedded normal human lung using Folate Receptor Alpha/FOLR1 (E8U2F) Mouse mAb. Data were generated using the standard formulation of this product.
Immunohistochemistry Image 4: Folate Receptor Alpha/FOLR1 (E8U2F) Mouse Monoclonal Antibody (BSA and Azide Free)
Orders: 877-616-CELL (2355) [email protected] Support: 877-678-TECH (8324) [email protected] Web: cellsignal.com
For Research Use Only. Not for Use in Diagnostic Procedures.

Revision 1

Cell Signaling Technology Logo
Immunohistochemical analysis of paraffin-embedded normal human placenta using Folate Receptor Alpha/FOLR1 (E8U2F) Mouse mAb. Data were generated using the standard formulation of this product.
Immunohistochemistry Image 5: Folate Receptor Alpha/FOLR1 (E8U2F) Mouse Monoclonal Antibody (BSA and Azide Free)
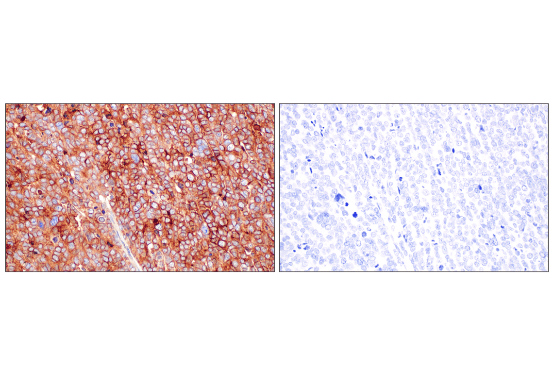
Immunohistochemical analysis of paraffin-embedded human ovarian serous adenocarcinoma using Folate Receptor Alpha/FOLR1 (E8U2F) Mouse mAb (left) compared to concentration-matched Mouse (G3A1) mAb IgG1 Isotype Control #5415 (right). Data were generated using the standard formulation of this product.
Immunohistochemistry Image 6: Folate Receptor Alpha/FOLR1 (E8U2F) Mouse Monoclonal Antibody (BSA and Azide Free)
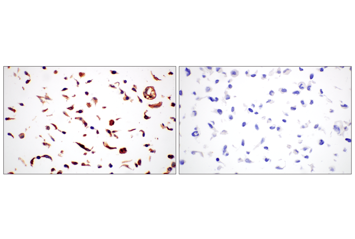
Immunohistochemical analysis of paraffin-embedded OVKATE cell pellet (left, positive) or NCI-H1703 cell pellet (right, negative) using Folate Receptor Alpha/FOLR1 (E8U2F) Mouse mAb. Data were generated using the standard formulation of this product.
Immunohistochemistry Image 7: Folate Receptor Alpha/FOLR1 (E8U2F) Mouse Monoclonal Antibody (BSA and Azide Free)
Orders: 877-616-CELL (2355) [email protected] Support: 877-678-TECH (8324) [email protected] Web: cellsignal.com
For Research Use Only. Not for Use in Diagnostic Procedures.