Revision 6

#30971

Store at -20C

CST Logo
Orders:

877-616-CELL (2355)

[email protected]

Support:

877-678-TECH (8324)

3 Trask Lane | Danvers | Massachusetts | 01923 | USA

For Research Use Only. Not for Use in Diagnostic Procedures.

Applications:
W, W-S, IHC-P, IF-IC

Reactivity:
H

Sensitivity:
Endogenous

MW (kDa):
70

Source/Isotype:
Rabbit IgG

UniProt ID:
#P05187

Entrez-Gene Id:
250

Product Usage Information

Application Dilution
Western Blotting 1:1000
Simple Western™ 1:10 - 1:50
Immunohistochemistry (Paraffin) 1:1000 - 1:4000
Immunofluorescence (Immunocytochemistry) 1:50

Storage

Supplied in 10 mM sodium HEPES (pH 7.5), 150 mM NaCl, 100 µg/mL BSA, 50% glycerol, and less than 0.02% sodium azide. Store at –20°C. Do not aliquot the antibody.

Specificity/Sensitivity

ALPP/ALPPL2 (F1L4G) Rabbit Monoclonal Antibody recognizes endogenous levels of total ALPP and ALPPL2 protein. This antibody does not cross-react with ALPI or ALPL protein but it may cross-react with a protein of unknown origin at 25 kDa.

Source / Purification

Monoclonal antibody is produced by immunizing animals with recombinant protein specific to the carboxy terminus of human ALPP protein.

Background

Mammalian alkaline phosphatases (ALPs) are highly conserved zinc-containing allosteric enzymes that hydrolyze and transphosphorylate a wide range of compounds (1). There are four known human alkaline phosphatase isozymes: ALPL (tissue-nonspecific; bone/liver/kidney), ALPP (placental), ALPPL2 (germ cell), and ALPI (intestinal) (2). Placental alkaline phosphatase (ALPP) is bound to the plasma membrane via a glycosyl-phosphatidylinositol (GPI) anchor (3). It is expressed primarily in the placenta (4) and may be involved in transplacental IgG transport (5). ALPP has been found to be overexpressed on the surface of several different types of solid tumor cells (6), and elevated serum concentrations of ALPP and ALPP-like enzymes has been found to be associated with ovarian, cervical, and testicular cancer (7).

Species Reactivity

Species reactivity is determined by testing in at least one approved application (e.g., western blot).

Western Blot Buffer

IMPORTANT: For western blots, incubate membrane with diluted primary antibody in 5% w/v BSA, 1X TBS, 0.1% Tween® 20 at 4°C with gentle shaking, overnight.

Applications Key

W: Western Blotting W-S: Simple Western™ IHC-P: Immunohistochemistry (Paraffin) IF-IC: Immunofluorescence (Immunocytochemistry)

Cross-Reactivity Key

H: Human

Trademarks and Patents

Cell Signaling Technology is a trademark of Cell Signaling Technology, Inc.

All other trademarks are the property of their respective owners. Visit cellsignal.com/trademarks for more information.

Limited Uses

Except as otherwise expressly agreed in a writing signed by a legally authorized representative of CST, the following terms apply to Products provided by CST, its affiliates or its distributors. Any Customer's terms and conditions that are in addition to, or different from, those contained herein, unless separately accepted in writing by a legally authorized representative of CST, are rejected and are of no force or effect.

Products are labeled with For Research Use Only or a similar labeling statement and have not been approved, cleared, or licensed by the FDA or other regulatory foreign or domestic entity, for any purpose. Customer shall not use any Product for any diagnostic or therapeutic purpose, or otherwise in any manner that conflicts with its labeling statement. Products sold or licensed by CST are provided for Customer as the end-user and solely for research and development uses. Any use of Product for diagnostic, prophylactic or therapeutic purposes, or any purchase of Product for resale (alone or as a component) or other commercial purpose, requires a separate license from CST. Customer shall (a) not sell, license, loan, donate or otherwise transfer or make available any Product to any third party, whether alone or in combination with other materials, or use the Products to manufacture any commercial products, (b) not copy, modify, reverse engineer, decompile, disassemble or otherwise attempt to discover the underlying structure or technology of the Products, or use the Products for the purpose of developing any products or services that would compete with CST products or services, (c) not alter or remove from the Products any trademarks, trade names, logos, patent or copyright notices or markings, (d) use the Products solely in accordance with CST Product Terms of Sale and any applicable documentation, and (e) comply with any license, terms of service or similar agreement with respect to any third party products or services used by Customer in connection with the Products.

Orders: 877-616-CELL (2355) [email protected] Support: 877-678-TECH (8324) [email protected] Web: cellsignal.com
For Research Use Only. Not for Use in Diagnostic Procedures.

Revision 6

Cell Signaling Technology Logo
Western blot analysis of extracts from various cell lines and human placenta tissue using ALPP/ALPPL2 (F1L4G) Rabbit mAb (upper) or β-Actin (D6A8) Rabbit mAb #8457 (lower). Negative expression of ALPP and ALPPL2 protein in HeLa and HuH-6 cells is consistent with the predicted expression pattern.
Western Blotting Image 1: ALPP/ALPPL2 (F1L4G) Rabbit Monoclonal Antibody
Western blot analysis of extracts from 293T cells, mock transfected (-) or transfected with constructs expressing Myc/DDK-tagged full-length human ALPP (hALPP-Myc/DDK; +), Myc/DDK-tagged full-length human ALPPL2 (hALPPL2-Myc/DDK; +), Myc/DDK-tagged full-length human ALPL (hALPL-Myc/DDK; +), or Myc/DDK-tagged full-length human ALPI (hALPI-Myc/DDK; +), using ALPP/ALPPL2 (F1L4G) Rabbit mAb (upper), DYKDDDDK Tag Antibody #2368 (middle), or β-Actin (D6A8) Rabbit mAb #8457 (lower).
Western Blotting Image 2: ALPP/ALPPL2 (F1L4G) Rabbit Monoclonal Antibody
Simple WesternTM analysis of lysates (1.0 mg/mL) from human placenta tissue using ALPP/ALPPL2 (F1L4G) Rabbit mAb #30971. The virtual lane view (left) shows the target band (as indicated) at 1:10 and 1:50 dilutions of primary antibody. The corresponding electropherogram view (right) plots chemiluminescence by molecular weight along the capillary at 1:10 (blue line) and 1:50 (green line) dilutions of primary antibody. This experiment was performed under reducing conditions on the JessTM Simple Western instrument from ProteinSimple, a BioTechne brand, using the 12-230 kDa separation module.
Western Blotting Image 1: ALPP/ALPPL2 (F1L4G) Rabbit Monoclonal Antibody
Orders: 877-616-CELL (2355) [email protected] Support: 877-678-TECH (8324) [email protected] Web: cellsignal.com
For Research Use Only. Not for Use in Diagnostic Procedures.

Revision 6

Cell Signaling Technology Logo
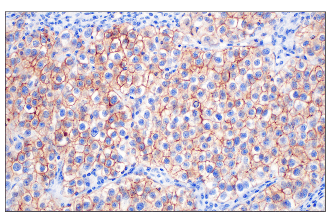
Immunohistochemical analysis of paraffin-embedded human seminoma using ALPP/ALPPL2 (F1L4G) Rabbit mAb.
Immunohistochemistry Image 1: ALPP/ALPPL2 (F1L4G) Rabbit Monoclonal Antibody
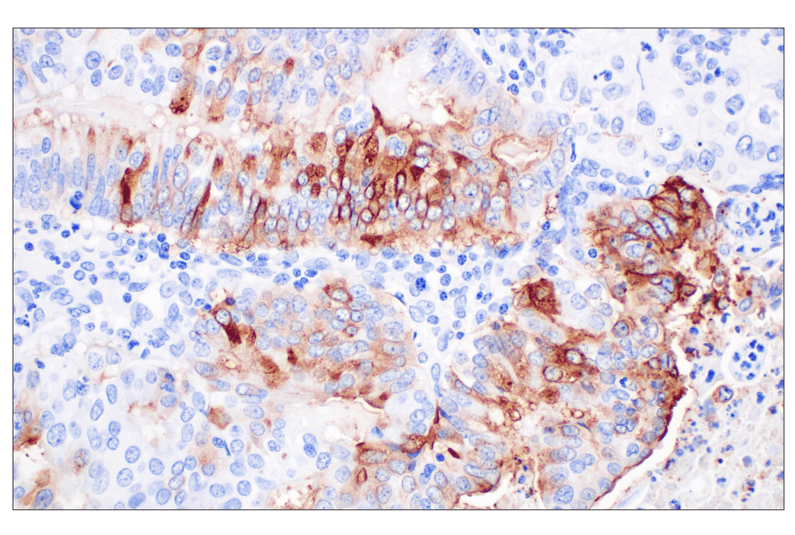
Immunohistochemical analysis of paraffin-embedded human endometrioid adenocarcinoma using ALPP/ALPPL2 (F1L4G) Rabbit mAb.
Immunohistochemistry Image 2: ALPP/ALPPL2 (F1L4G) Rabbit Monoclonal Antibody

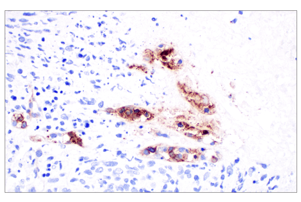
Immunohistochemical analysis of paraffin-embedded human carcinosarcoma of the thymus using ALPP/ALPPL2 (F1L4G) Rabbit mAb.

Immunohistochemistry Image 3: ALPP/ALPPL2 (F1L4G) Rabbit Monoclonal Antibody
Orders: 877-616-CELL (2355) [email protected] Support: 877-678-TECH (8324) [email protected] Web: cellsignal.com
For Research Use Only. Not for Use in Diagnostic Procedures.

Revision 6

Cell Signaling Technology Logo
Immunohistochemical analysis of paraffin-embedded normal human placenta using ALPP/ALPPL2 (F1L4G) Rabbit mAb (left) compared to concentration-matched Rabbit (DA1E) mAb IgG XP® Isotype Control #3900 (right).
Immunohistochemistry Image 4: ALPP/ALPPL2 (F1L4G) Rabbit Monoclonal Antibody
Immunohistochemical analysis of paraffin-embedded LoVo cell pellet (left, positive) or HuH-6 cell pellet (right, negative) using ALPP/ALPPL2 (F1L4G) Rabbit mAb.
Immunohistochemistry Image 5: ALPP/ALPPL2 (F1L4G) Rabbit Monoclonal Antibody
Confocal immunofluorescent analysis of A-431 cells (left, positive) and HuH-6 cells (right, negative) using ALPP/ALPPL2 (F1L4G) Rabbit mAb (green) and DAPI #4083 (blue).
Immunofluorescence Image 1: ALPP/ALPPL2 (F1L4G) Rabbit Monoclonal Antibody
Orders: 877-616-CELL (2355) [email protected] Support: 877-678-TECH (8324) [email protected] Web: cellsignal.com
For Research Use Only. Not for Use in Diagnostic Procedures.