Revision 1

#31135

Store at -20C

CST Logo
Orders:

877-616-CELL (2355)

[email protected]

Support:

877-678-TECH (8324)

3 Trask Lane | Danvers | Massachusetts | 01923 | USA

For Research Use Only. Not for Use in Diagnostic Procedures.

Applications:
W, IHC-P, IF-IC, FC-FP

Reactivity:
H

Sensitivity:
Endogenous

MW (kDa):
40-50

Source/Isotype:
Rabbit IgG

UniProt ID:
#P43358

Entrez-Gene Id:
4103

Product Usage Information

This product is the carrier-free version of product #82491. All data were generated using the same antibody clone in the standard formulation which contains BSA and glycerol.

This formulation is ideal for use with technologies requiring specialized or custom antibody labeling, including fluorophores, metals, lanthanides, and oligonucleotides. It is not recommended for ChIP, ChIP-seq, CUT&RUN, or CUT&Tag assays. If you require a carrier-free formulation for chromatin profiling, please contact us. Optimal dilutions/concentrations should be determined by the end user.

BSA and Azide Free antibodies are quality control tested by size exclusion chromatography (SEC) to determine antibody integrity.

Formulation

Supplied in 1X PBS (10 mM Na2HPO4, 3 mM KCl, 2 mM KH2PO4, and 140 mM NaCl (pH 7.8)). BSA and Azide Free.

For standard formulation of this product see product #82491.

Storage

Store at -20°C. This product will freeze at -20°C so it is recommended to aliquot into single-use vials to avoid multiple freeze/thaw cycles. A slight precipitate may be present and can be dissolved by gently vortexing. This will not interfere with antibody performance.

Specificity/Sensitivity

MAGE-A4 (E7O1U) Rabbit Monoclonal Antibody (BSA and Azide Free) recognizes endogenous levels of total MAGE-A4 protein. This antibody does not cross-react with MAGE-A2, A3, A6, A10, or A12 proteins.

Source / Purification

Monoclonal antibody is produced by immunizing animals with a synthetic peptide corresponding to residues surrounding Ala60 of human MAGE-A4 protein.

Background

Cancer/testis antigens (CTAs) are a family of more than 100 proteins whose normal expression is largely restricted to immune privileged germ cells of the testis, ovary, and trophoblast cells of the placenta. Although most normal somatic tissues are void of CTA expression, due to epigenetic silencing of gene expression, their expression is upregulated in a wide variety of human solid and liquid tumors (1,2). As such, CTAs have garnered much attention as attractive targets for a variety of immunotherapy-based approaches to selectively attack tumors (3).

Melanoma-associated antigen-A4 (MAGE-A4) is a cancer testis antigen that belongs to the type I MAGE family of proteins. MAGE-A4 is often overexpressed and mutated in several types of cancer (4-8). Research shows MAGE-A4 promotes aberrant cell growth by preventing p53-dependent cell cycle arrest and apoptosis in normal oral keratinocyte (9). However, MAGE-A4 was also found to interact with the liver oncoprotein gankyrin, suppressing its tumorigenic activity (10). The diverse roles of MAGE-A4 in tumor development may be dependent upon sub-cellular localization (nuclear or cytosolic) and p53 status (6). Due to its upregulated expression in human tumors and high degree of immunogenicity, MAGE-A4 has received significant attention as an immunotherapy target through the use of vaccines and adoptive cell therapy (11-14).

Species Reactivity

Species reactivity is determined by testing in at least one approved application (e.g., western blot).

Applications Key

W: Western Blotting IHC-P: Immunohistochemistry (Paraffin) IF-IC: Immunofluorescence (Immunocytochemistry) FC-FP: Flow Cytometry (Fixed/Permeabilized)

Cross-Reactivity Key

H: Human

Trademarks and Patents

Cell Signaling Technology is a trademark of Cell Signaling Technology, Inc.

All other trademarks are the property of their respective owners. Visit cellsignal.com/trademarks for more information.

Limited Uses

Except as otherwise expressly agreed in a writing signed by a legally authorized representative of CST, the following terms apply to Products provided by CST, its affiliates or its distributors. Any Customer's terms and conditions that are in addition to, or different from, those contained herein, unless separately accepted in writing by a legally authorized representative of CST, are rejected and are of no force or effect.

Products are labeled with For Research Use Only or a similar labeling statement and have not been approved, cleared, or licensed by the FDA or other regulatory foreign or domestic entity, for any purpose. Customer shall not use any Product for any diagnostic or therapeutic purpose, or otherwise in any manner that conflicts with its labeling statement. Products sold or licensed by CST are provided for Customer as the end-user and solely for research and development uses. Any use of Product for diagnostic, prophylactic or therapeutic purposes, or any purchase of Product for resale (alone or as a component) or other commercial purpose, requires a separate license from CST. Customer shall (a) not sell, license, loan, donate or otherwise transfer or make available any Product to any third party, whether alone or in combination with other materials, or use the Products to manufacture any commercial products, (b) not copy, modify, reverse engineer, decompile, disassemble or otherwise attempt to discover the underlying structure or technology of the Products, or use the Products for the purpose of developing any products or services that would compete with CST products or services, (c) not alter or remove from the Products any trademarks, trade names, logos, patent or copyright notices or markings, (d) use the Products solely in accordance with CST Product Terms of Sale and any applicable documentation, and (e) comply with any license, terms of service or similar agreement with respect to any third party products or services used by Customer in connection with the Products.

Orders: 877-616-CELL (2355) [email protected] Support: 877-678-TECH (8324) [email protected] Web: cellsignal.com
For Research Use Only. Not for Use in Diagnostic Procedures.

Revision 1

Cell Signaling Technology Logo
Western blot analysis of extracts from various cell lines using MAGE-A4 (E7O1U) XP® Rabbit mAb (upper) or β-Actin (D6A8) Rabbit mAb #8457 (lower). Data were generated using the standard formulation of this product.
Western Blotting Image 1: MAGE-A4 (E7O1U) Rabbit Monoclonal Antibody (BSA and Azide Free)
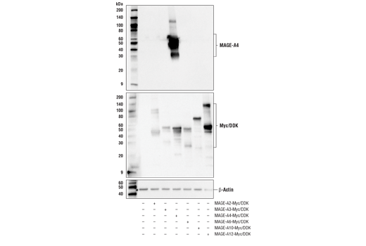
Western blot analysis of extracts from 293T cells, mock transfected (-) or transfected (+) with constructs expressing Myc/DDK-tagged full-length MAGE-A2 (MAGE-A2-Myc/DDK), Myc/DDK-tagged full-length MAGE-A3 (MAGE-A3-Myc/DDK), Myc/DDK-tagged full-length MAGE-A4 (MAGE-A4-Myc/DDK), Myc/DDK-tagged full-length MAGE-A6 (MAGE-A6-Myc/DDK), Myc/DDK-tagged full-length MAGE-A10 (MAGE-A10-Myc/DDK), and Myc/DDK-tagged full-length MAGE-A12 (MAGE-A12-Myc/DDK), using MAGE-A4 (E7O1U) XP® Rabbit mAb (upper), Myc-Tag (71D10) Rabbit mAb #2278 (middle), or β-Actin (D6A8) Rabbit mAb #8457 (lower). Data were generated using the standard formulation of this product.
Western Blotting Image 2: MAGE-A4 (E7O1U) Rabbit Monoclonal Antibody (BSA and Azide Free)
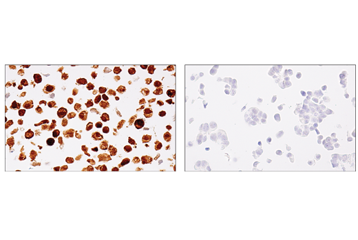
Immunohistochemical analysis of paraffin-embedded UACC-62 cell pellet (left, positive) or MCF7 cell pellet (right, negative) using MAGE-A4 (E7O1U) XP® Rabbit mAb. Data were generated using the standard formulation of this product.
Immunohistochemistry Image 1: MAGE-A4 (E7O1U) Rabbit Monoclonal Antibody (BSA and Azide Free)
Orders: 877-616-CELL (2355) [email protected] Support: 877-678-TECH (8324) [email protected] Web: cellsignal.com
For Research Use Only. Not for Use in Diagnostic Procedures.

Revision 1

Cell Signaling Technology Logo
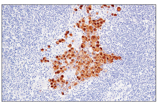
Immunohistochemical analysis of paraffin-embedded human testis using MAGE-A4 (E7O1U) XP® Rabbit mAb. Data were generated using the standard formulation of this product.
Immunohistochemistry Image 2: MAGE-A4 (E7O1U) Rabbit Monoclonal Antibody (BSA and Azide Free)
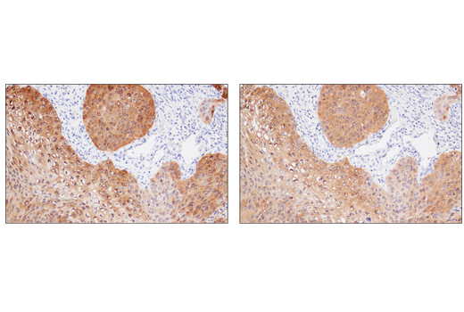
Immunohistochemical analysis of paraffin-embedded human squamous cell lung carcinoma using MAGE-A4 (E7O1U) XP® Rabbit mAb (left) or MAGE-A4 Rabbit mAb (right). These two antibodies detect independent, unique epitopes on human MAGE-A4. The similar staining patterns obtained with both antibodies help to confirm the specificity of the staining. Data were generated using the standard formulation of this product.
Immunohistochemistry Image 3: MAGE-A4 (E7O1U) Rabbit Monoclonal Antibody (BSA and Azide Free)
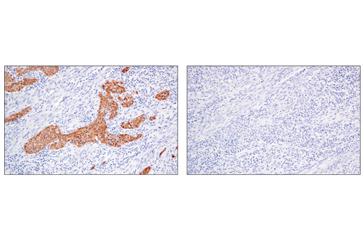
Immunohistochemical analysis of paraffin-embedded human mucoepidermoid carcinoma of the larynx using MAGE-A4 (E7O1U) XP® Rabbit mAb (left) compared to concentration-matched Rabbit (DA1E) mAb IgG XP® Isotype Control #3900 (right). Data were generated using the standard formulation of this product.
Immunohistochemistry Image 4: MAGE-A4 (E7O1U) Rabbit Monoclonal Antibody (BSA and Azide Free)
Orders: 877-616-CELL (2355) [email protected] Support: 877-678-TECH (8324) [email protected] Web: cellsignal.com
For Research Use Only. Not for Use in Diagnostic Procedures.

Revision 1

Cell Signaling Technology Logo
Immunohistochemical analysis of paraffin-embedded human melanoma using MAGE-A4 (E7O1U) XP® Rabbit mAb. Data were generated using the standard formulation of this product.
Immunohistochemistry Image 5: MAGE-A4 (E7O1U) Rabbit Monoclonal Antibody (BSA and Azide Free)
Immunohistochemical analysis of paraffin-embedded human adenoid cystic carcinoma of the trachea using MAGE-A4 (E7O1U) XP® Rabbit mAb. Data were generated using the standard formulation of this product.
Immunohistochemistry Image 6: MAGE-A4 (E7O1U) Rabbit Monoclonal Antibody (BSA and Azide Free)
Confocal immunofluorescent analysis of U-2 OS cells (left, positive) and MCF7 cells (right, negative) using MAGE-A4 (E7O1U) XP® Rabbit mAb (green). Actin filaments were labeled with DyLight™ 554 Phalloidin #13054 (red). Blue = Hoechst 33342 #4082 (fluorescent DNA dye). Data were generated using the standard formulation of this product.
Immunofluorescence Image 1: MAGE-A4 (E7O1U) Rabbit Monoclonal Antibody (BSA and Azide Free)
Orders: 877-616-CELL (2355) [email protected] Support: 877-678-TECH (8324) [email protected] Web: cellsignal.com
For Research Use Only. Not for Use in Diagnostic Procedures.

Revision 1

Cell Signaling Technology Logo
Flow cytometric analysis of MCF7 cells (blue) and U-2 OS cells (green) using MAGE-A4 (E7O1U) XP® Rabbit mAb (solid lines) or concentration-matched Rabbit (DA1E) mAb IgG XP® Isotype Control #3900 (dashed lines). Anti-rabbit IgG (H+L), F(ab')2 Fragment (Alexa Fluor® 488 Conjugate) #4412 was used as a secondary antibody. Data were generated using the standard formulation of this product.
Flow Cytometry Image 1: MAGE-A4 (E7O1U) Rabbit Monoclonal Antibody (BSA and Azide Free)
Orders: 877-616-CELL (2355) [email protected] Support: 877-678-TECH (8324) [email protected] Web: cellsignal.com
For Research Use Only. Not for Use in Diagnostic Procedures.