Revision 1

#31877

Store at -20C

CST Logo
Orders:

877-616-CELL (2355)

[email protected]

Support:

877-678-TECH (8324)

3 Trask Lane | Danvers | Massachusetts | 01923 | USA

For Research Use Only. Not for Use in Diagnostic Procedures.

Applications:
W, IHC-P

Reactivity:
H Mk

Sensitivity:
Endogenous

MW (kDa):
46

Source/Isotype:
Rabbit IgG

UniProt ID:
#P50454

Entrez-Gene Id:
871

Product Usage Information

Application Dilution
Western Blotting 1:1000
Immunohistochemistry (Paraffin) 1:500 - 1:2000

Storage

Supplied in 10 mM sodium HEPES (pH 7.5), 150 mM NaCl, 100 µg/mL BSA, 50% glycerol, and less than 0.02% sodium azide. Store at –20°C. Do not aliquot the antibody.

Specificity/Sensitivity

HSP47/SERPINH1 (E4A8P) Rabbit Monoclonal Antibody recognizes endogenous levels of total HSP47/SERPINH1 protein.

Source / Purification

Monoclonal antibody is produced by immunizing animals with recombinant protein specific to the carboxy terminus of human HSP47/SERPINH1 protein.

Background

Serpin peptidase inhibitor, clade H, member 1 (serpin H1), also known as heat shock protein 47 (HSP47), is a collagen specific molecular chaperone localized to the endoplasmic reticulum, essential for collagen biosynthesis. Despite its lack of serine proteinase activity, serpin H1 is a member of the serpin superfamily (1,2). Genetic deletion of SERPINH1 or inhibition of its interaction with procollagen has been shown to greatly reduce procollagen secretion from fibroblasts, implicating serpin H1 as a potential target for therapeutic management of fibrosis (3). Moreover, altered serpin H1 expression has been seen in multiple cancer types, including colon carcinoma, head and neck squamous cell carcinoma, and liver hepatocellular carcinoma. Thus, serpin H1 may function as a potential prognostic biomarker for certain cancers (2).

Species Reactivity

Species reactivity is determined by testing in at least one approved application (e.g., western blot).

Western Blot Buffer

IMPORTANT: For western blots, incubate membrane with diluted primary antibody in 5% w/v BSA, 1X TBS, 0.1% Tween® 20 at 4°C with gentle shaking, overnight.

Applications Key

W: Western Blotting IHC-P: Immunohistochemistry (Paraffin)

Cross-Reactivity Key

H: Human Mk: Monkey

Trademarks and Patents

Cell Signaling Technology is a trademark of Cell Signaling Technology, Inc.

All other trademarks are the property of their respective owners. Visit cellsignal.com/trademarks for more information.

Limited Uses

Except as otherwise expressly agreed in a writing signed by a legally authorized representative of CST, the following terms apply to Products provided by CST, its affiliates or its distributors. Any Customer's terms and conditions that are in addition to, or different from, those contained herein, unless separately accepted in writing by a legally authorized representative of CST, are rejected and are of no force or effect.

Products are labeled with For Research Use Only or a similar labeling statement and have not been approved, cleared, or licensed by the FDA or other regulatory foreign or domestic entity, for any purpose. Customer shall not use any Product for any diagnostic or therapeutic purpose, or otherwise in any manner that conflicts with its labeling statement. Products sold or licensed by CST are provided for Customer as the end-user and solely for research and development uses. Any use of Product for diagnostic, prophylactic or therapeutic purposes, or any purchase of Product for resale (alone or as a component) or other commercial purpose, requires a separate license from CST. Customer shall (a) not sell, license, loan, donate or otherwise transfer or make available any Product to any third party, whether alone or in combination with other materials, or use the Products to manufacture any commercial products, (b) not copy, modify, reverse engineer, decompile, disassemble or otherwise attempt to discover the underlying structure or technology of the Products, or use the Products for the purpose of developing any products or services that would compete with CST products or services, (c) not alter or remove from the Products any trademarks, trade names, logos, patent or copyright notices or markings, (d) use the Products solely in accordance with CST Product Terms of Sale and any applicable documentation, and (e) comply with any license, terms of service or similar agreement with respect to any third party products or services used by Customer in connection with the Products.

Orders: 877-616-CELL (2355) [email protected] Support: 877-678-TECH (8324) [email protected] Web: cellsignal.com
For Research Use Only. Not for Use in Diagnostic Procedures.

Revision 1

Cell Signaling Technology Logo
Western blot analysis of extracts from various cell lines using HSP47/SERPINH1 (E4A8P) Rabbit mAb (upper) or β-Actin (D6A8) Rabbit mAb #8457 (lower). Negative expression of HSP47/SERPINH1 protein in SK-MEL-2 cells is consistent with the predicted expression pattern.
Western Blotting Image 1: HSP47/SERPINH1 (E4A8P) Rabbit Monoclonal Antibody
Western blot analysis of extracts from COS-7 cells, transfected with control siRNA (-) or HSP47/SERPINH1 siRNA (+), using HSP47/SERPINH1 (E4A8P) Rabbit mAb (upper) or β-Actin (D6A8) Rabbit mAb #8457 (lower).
Western Blotting Image 2: HSP47/SERPINH1 (E4A8P) Rabbit Monoclonal Antibody

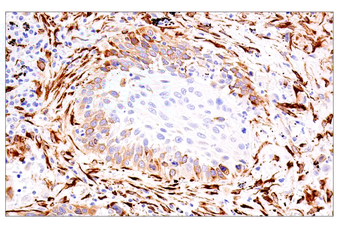
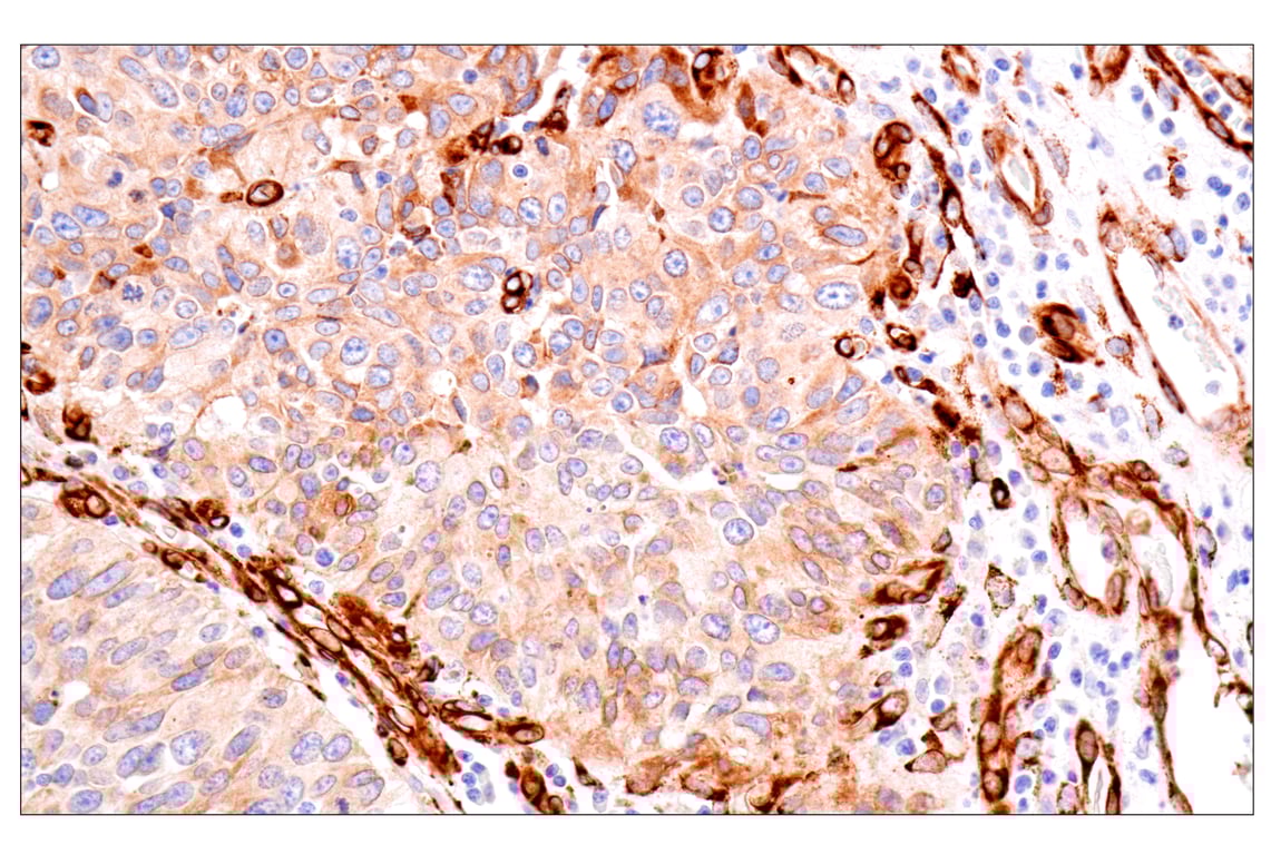
Immunohistochemical analysis of paraffin-embedded human squamous cell carcinoma of the tongue using HSP47/SERPINH1 (E4A8P) Rabbit mAb.

Immunohistochemistry Image 1: HSP47/SERPINH1 (E4A8P) Rabbit Monoclonal Antibody
Orders: 877-616-CELL (2355) [email protected] Support: 877-678-TECH (8324) [email protected] Web: cellsignal.com
For Research Use Only. Not for Use in Diagnostic Procedures.

Revision 1

Cell Signaling Technology Logo

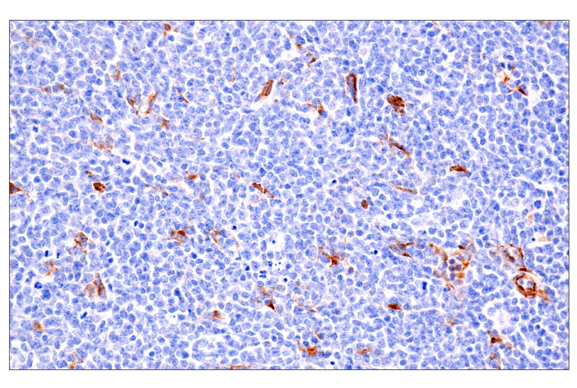
Immunohistochemical analysis of paraffin-embedded human mantle cell lymphoma using HSP47/SERPINH1 (E4A8P) Rabbit mAb.

Immunohistochemistry Image 2: HSP47/SERPINH1 (E4A8P) Rabbit Monoclonal Antibody
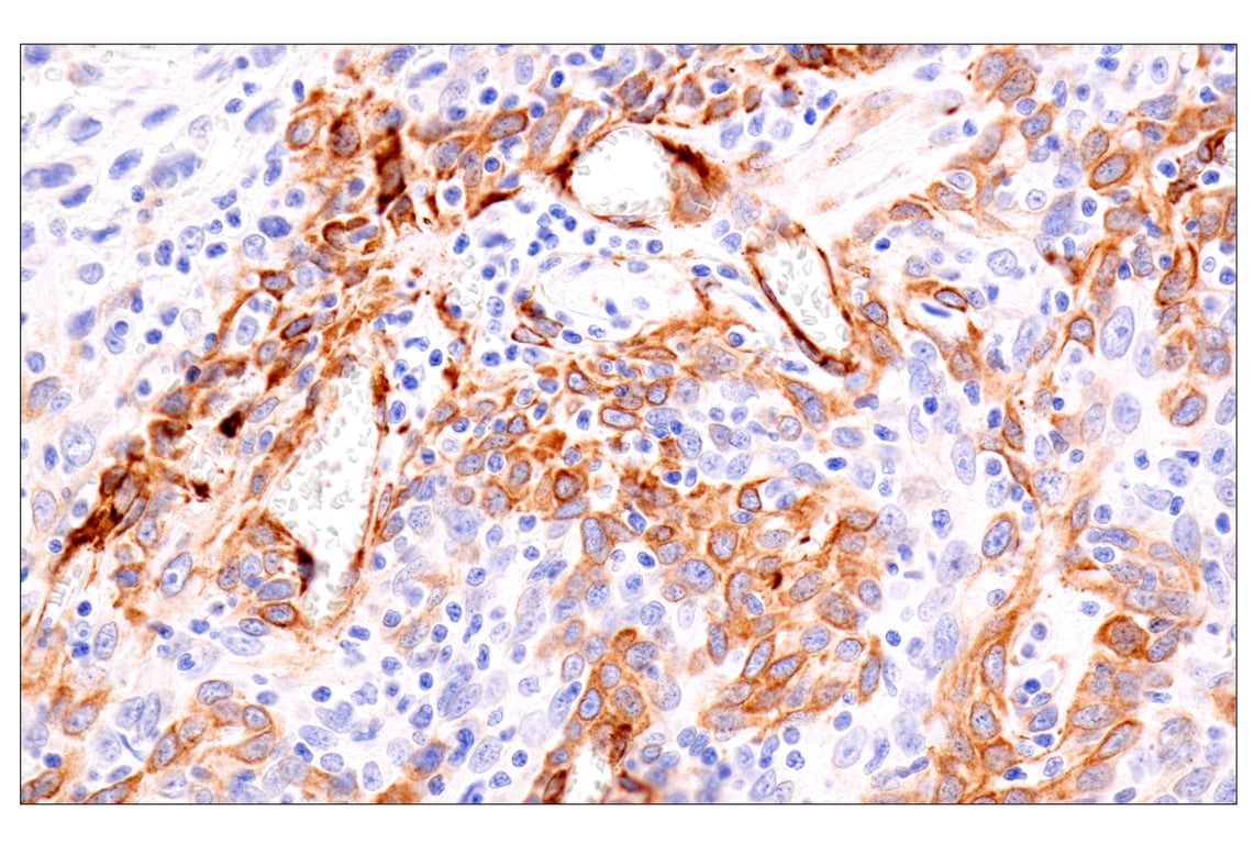
Immunohistochemical analysis of paraffin-embedded human squamous cell lung carcinoma using HSP47/SERPINH1 (E4A8P) Rabbit mAb.
Immunohistochemistry Image 3: HSP47/SERPINH1 (E4A8P) Rabbit Monoclonal Antibody
Immunohistochemical analysis of paraffin-embedded human urothelial carcinoma using HSP47/SERPINH1 (E4A8P) Rabbit mAb.
Immunohistochemistry Image 4: HSP47/SERPINH1 (E4A8P) Rabbit Monoclonal Antibody
Orders: 877-616-CELL (2355) [email protected] Support: 877-678-TECH (8324) [email protected] Web: cellsignal.com
For Research Use Only. Not for Use in Diagnostic Procedures.

Revision 1

Cell Signaling Technology Logo
Immunohistochemical analysis of paraffin-embedded normal human esophagus using HSP47/SERPINH1 (E4A8P) Rabbit mAb.
Immunohistochemistry Image 5: HSP47/SERPINH1 (E4A8P) Rabbit Monoclonal Antibody
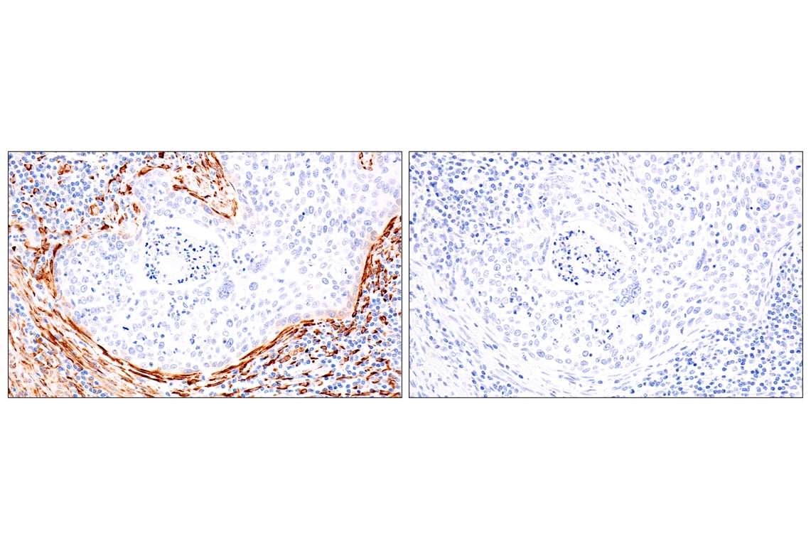
Immunohistochemical analysis of paraffin-embedded human squamous cell carcinoma of the cervix using HSP47/SERPINH1 (E4A8P) Rabbit mAb (left) compared to concentration-matched Rabbit (DA1E) mAb IgG XP® Isotype Control #3900 (right).
Immunohistochemistry Image 6: HSP47/SERPINH1 (E4A8P) Rabbit Monoclonal Antibody
Immunohistochemical analysis of paraffin-embedded A-204 cell pellet (left, positive) or SK-MEL-2 cell pellet (right, negative) using HSP47/SERPINH1 (E4A8P) Rabbit mAb.
Immunohistochemistry Image 7: HSP47/SERPINH1 (E4A8P) Rabbit Monoclonal Antibody
Orders: 877-616-CELL (2355) [email protected] Support: 877-678-TECH (8324) [email protected] Web: cellsignal.com
For Research Use Only. Not for Use in Diagnostic Procedures.