Revision 9

#3287

Store at -20C

CST Logo
Orders:

877-616-CELL (2355)

[email protected]

Support:

877-678-TECH (8324)

3 Trask Lane | Danvers | Massachusetts | 01923 | USA

For Research Use Only. Not for Use in Diagnostic Procedures.

Applications:
W, W-S, IP, IHC-P, IF-IC, FC-FP

Reactivity:
H

Sensitivity:
Endogenous

MW (kDa):
258, 110, 50-80

Source/Isotype:
Rabbit IgG

UniProt ID:
#P08922

Entrez-Gene Id:
6098

Product Usage Information

Application Dilution
Western Blotting 1:1000
Simple Western™ 1:10 - 1:50
Immunoprecipitation 1:50
Immunohistochemistry (Paraffin) 1:100 - 1:400
Immunofluorescence (Immunocytochemistry) 1:200 - 1:800
Flow Cytometry (Fixed/Permeabilized) 1:200 - 1:800

Storage

Supplied in 10 mM sodium HEPES (pH 7.5), 150 mM NaCl, 100 µg/ml BSA, 50% glycerol and less than 0.02% sodium azide. Store at –20°C. Do not aliquot the antibody.

Specificity/Sensitivity

ROS1 (D4D6) Rabbit Monoclonal Antibody recognizes endogenous levels of total ROS1 protein. This antibody does not cross-react with other related proteins when analyzed by western blot. Please note that staining may be observed in ROS1 rearranged lung carcinomas, macrophages/giant cells, reactive type II pneumocyte hyperplasia, and the epithelium in areas of bronchiolar metaplasia. Staining of unknown specificity has been observed in cholangiocarcinoma, hepatocellular carcinoma, and kidney tissues.

Source / Purification

Monoclonal antibody is produced by immunizing animals with a protein corresponding to residues in the carboxy terminal domain of the human ROS1 protein.

Background

ROS1, an orphan receptor tyrosine kinase of the insulin receptor family, was initially identified as a homolog of v-ros from the UR2 sarcoma virus (1). ROS1 consists of a large extracellular domain that is composed of six fibronectin repeats, a transmembrane domain, and a C-terminal kinase domain. Being an orphan receptor, the functions of ROS1 are not well known, though it has been shown to play an important role in differentiation of epididymal epithelium (2). The first oncogenic fusion of ROS1, FIG-ROS1, was initially identified by research studies in glioblastoma (3), and subsequent studies have found this fusion in cholangiocarcinoma (4), ovarian cancer (5), and non-small cell lung cancer (NSCLC) (6). Investigators have found additional oncogenic ROS1 fusion proteins in NSCLC (at a frequency of ~1.6%), where the ROS1 kinase domain is fused to the amino-terminal region of several different proteins, including CD74 and SLC34A2 (6-8). ROS1 fusion proteins activate the SHP-2 phosphatase, PI3K/Akt/mTOR, Erk, and Stat3 pathways (3,4,9). There are two autophosphorylation sites (Tyr2274, Tyr2334) downstream of the kinase domain of ROS1, either of which may serve as biomarkers of ROS1 kinase activity, including that of ROS1 fusion proteins (10).

Species Reactivity

Species reactivity is determined by testing in at least one approved application (e.g., western blot).

Western Blot Buffer

IMPORTANT: For western blots, incubate membrane with diluted primary antibody in 5% w/v BSA, 1X TBS, 0.1% Tween® 20 at 4°C with gentle shaking, overnight.

Applications Key

W: Western Blotting W-S: Simple Western™ IP: Immunoprecipitation IHC-P: Immunohistochemistry (Paraffin) IF-IC: Immunofluorescence (Immunocytochemistry) FC-FP: Flow Cytometry (Fixed/Permeabilized)

Cross-Reactivity Key

H: Human

Trademarks and Patents

Cell Signaling Technology is a trademark of Cell Signaling Technology, Inc.

Alexa Fluor is a registered trademark of Life Technologies Corporation.

All other trademarks are the property of their respective owners. Visit cellsignal.com/trademarks for more information.

Limited Uses

Except as otherwise expressly agreed in a writing signed by a legally authorized representative of CST, the following terms apply to Products provided by CST, its affiliates or its distributors. Any Customer's terms and conditions that are in addition to, or different from, those contained herein, unless separately accepted in writing by a legally authorized representative of CST, are rejected and are of no force or effect.

Products are labeled with For Research Use Only or a similar labeling statement and have not been approved, cleared, or licensed by the FDA or other regulatory foreign or domestic entity, for any purpose. Customer shall not use any Product for any diagnostic or therapeutic purpose, or otherwise in any manner that conflicts with its labeling statement. Products sold or licensed by CST are provided for Customer as the end-user and solely for research and development uses. Any use of Product for diagnostic, prophylactic or therapeutic purposes, or any purchase of Product for resale (alone or as a component) or other commercial purpose, requires a separate license from CST. Customer shall (a) not sell, license, loan, donate or otherwise transfer or make available any Product to any third party, whether alone or in combination with other materials, or use the Products to manufacture any commercial products, (b) not copy, modify, reverse engineer, decompile, disassemble or otherwise attempt to discover the underlying structure or technology of the Products, or use the Products for the purpose of developing any products or services that would compete with CST products or services, (c) not alter or remove from the Products any trademarks, trade names, logos, patent or copyright notices or markings, (d) use the Products solely in accordance with CST Product Terms of Sale and any applicable documentation, and (e) comply with any license, terms of service or similar agreement with respect to any third party products or services used by Customer in connection with the Products.

Orders: 877-616-CELL (2355) [email protected] Support: 877-678-TECH (8324) [email protected] Web: cellsignal.com
For Research Use Only. Not for Use in Diagnostic Procedures.

Revision 9

Cell Signaling Technology Logo
Western blot analysis of extracts from HCC78 (SLC34A2-ROS1), U-118 MG (FIG-ROS1), and HeLa (ROS1 negative) cells using ROS1 (D4D6®) Rabbit mAb (upper) or β-Actin (D6A8) Rabbit mAb #8457 (lower). Note: HCC78 cells express the 85, 70, and 59 kDa forms of the SLC34A2-ROS1 fusion protein (7).
Western Blotting Image 1: ROS1 (D4D6) Rabbit Monoclonal Antibody
Western blot analysis of extracts from 293T cells, mock transfected (-) or transfected with a construct expressing wildtype ROS1 (hROS1; +), using ROS1 (D4D6®) Rabbit mAb (upper) or β-Actin (D6A8) Rabbit mAb #8457 (lower).
Western Blotting Image 2: ROS1 (D4D6) Rabbit Monoclonal Antibody
Simple Western™ analysis of lysates (1.0 mg/mL) from HCC-78 cells using ROS1 (D4D6® ) Rabbit mAb #3287. The virtual lane view (left) shows the target bands (as indicated) at 1:10 and 1:50 dilutions of primary antibody. The corresponding electropherogram view (right) plots chemiluminescence by molecular weight along the capillary at 1:10 (blue line) and 1:50 (green line) dilutions of primary antibody. This experiment was performed under reducing conditions on the Jess™ Simple Western instrument from ProteinSimple, a BioTechne brand, using the 66-440 kDa separation module.
Western Blotting Image 1: ROS1 (D4D6) Rabbit Monoclonal Antibody
Orders: 877-616-CELL (2355) [email protected] Support: 877-678-TECH (8324) [email protected] Web: cellsignal.com
For Research Use Only. Not for Use in Diagnostic Procedures.

Revision 9

Cell Signaling Technology Logo
Immunoprecipitation of ROS1 from HCC78 cell extracts using Rabbit (DA1E) mAb IgG XP® Isotype Control #3900 (lane 2) or ROS1 (D4D6®) Rabbit mAb (lane 3). Lane 1 is 10% input. Western blot analysis was performed using ROS1 (D4D6®) Rabbit mAb, followed by Mouse Anti-rabbit IgG (Conformation Specific) (L27A9) mAb #3678 and Anti-mouse IgG, HRP-linked Antibody #7076.
Immunoprecipitation Image 1: ROS1 (D4D6) Rabbit Monoclonal Antibody
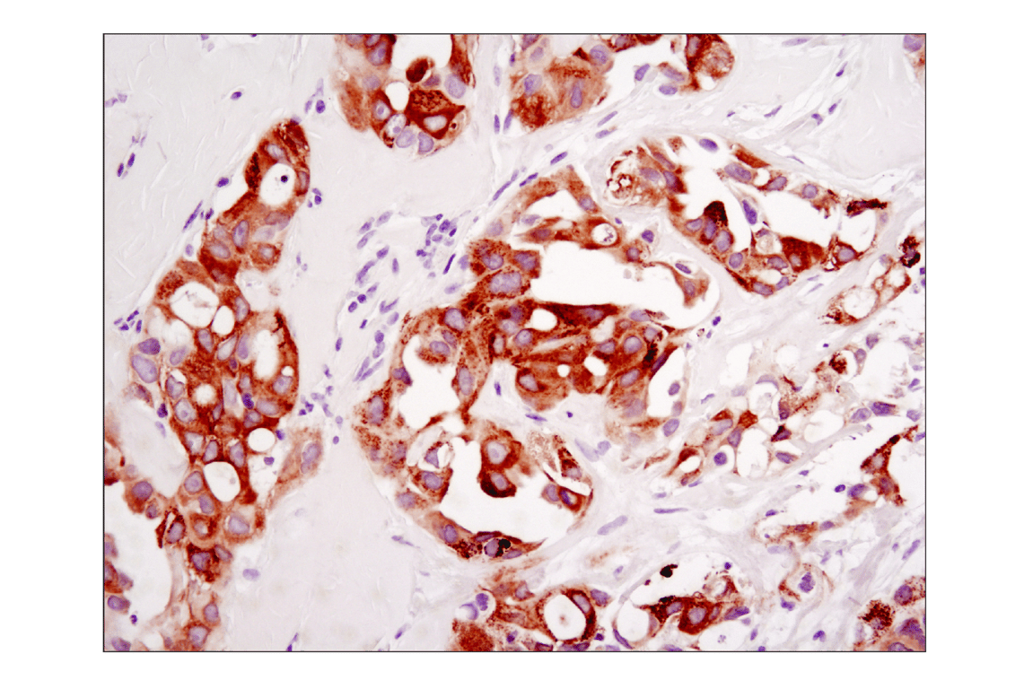
Immunohistochemical analysis of paraffin-embedded human lung carcinoma using ROS1 (D4D6®) Rabbit mAb. Note: Staining is of FIG-ROS1 fusion (6).
Immunohistochemistry Image 1: ROS1 (D4D6) Rabbit Monoclonal Antibody
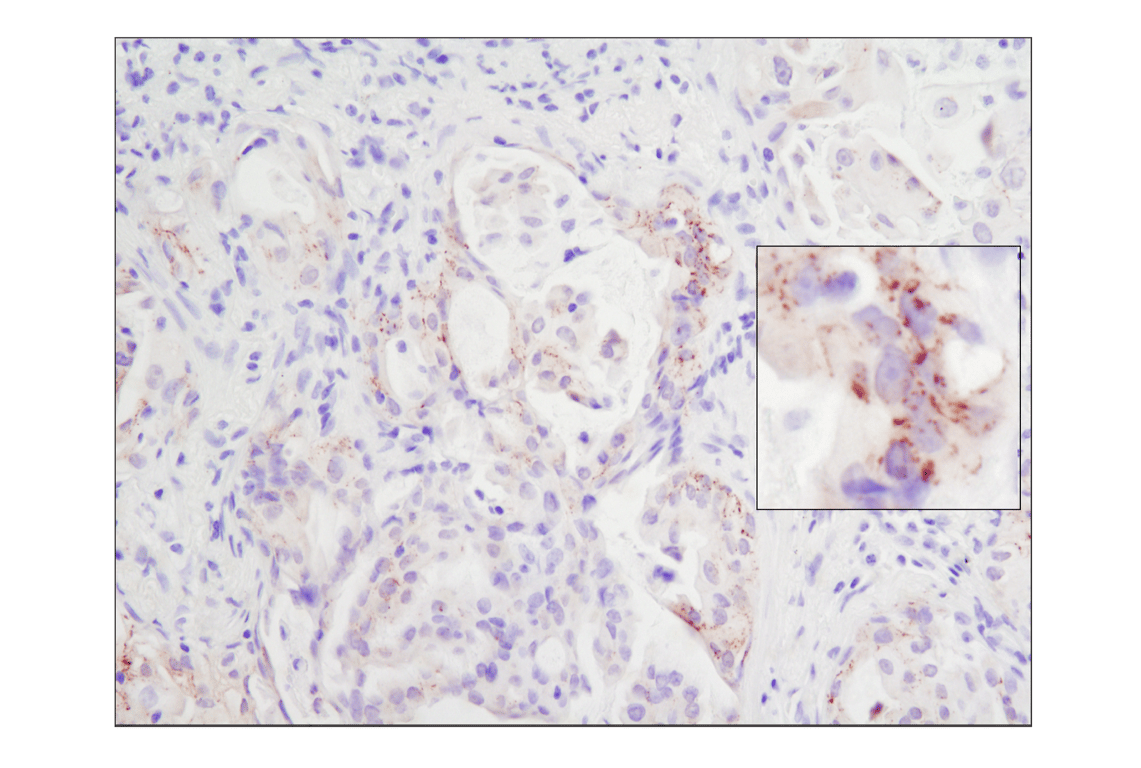
Immunohistochemical analysis of paraffin-embedded human lung carcinomas showing distinct localization using ROS1 (D4D6®) Rabbit mAb.
Immunohistochemistry Image 2: ROS1 (D4D6) Rabbit Monoclonal Antibody
Orders: 877-616-CELL (2355) [email protected] Support: 877-678-TECH (8324) [email protected] Web: cellsignal.com
For Research Use Only. Not for Use in Diagnostic Procedures.

Revision 9

Cell Signaling Technology Logo
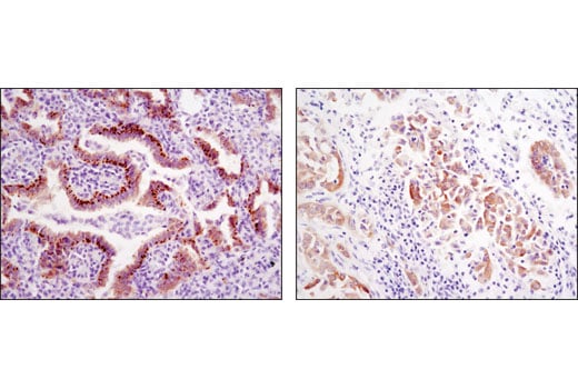
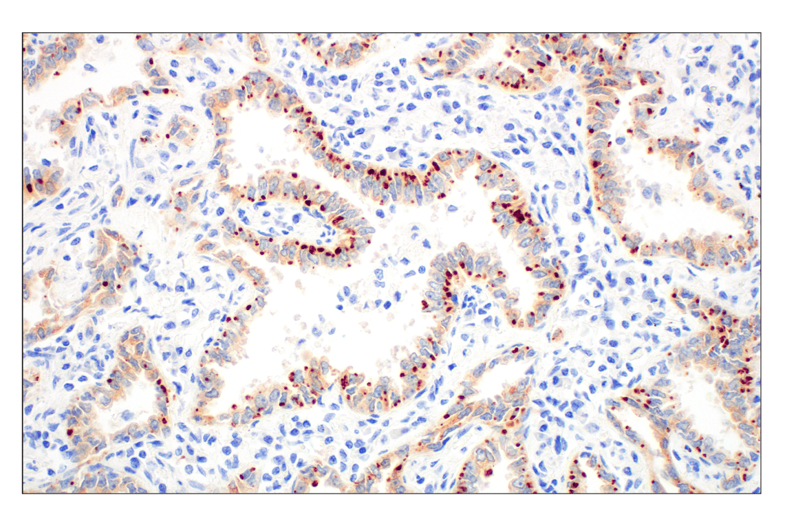
Immunohistochemical analysis of paraffin-embedded human lung carcinoma using ROS1 (D4D6®) Rabbit mAb.
Immunohistochemistry Image 3: ROS1 (D4D6) Rabbit Monoclonal Antibody
Immunohistochemical analysis of paraffin-embedded HCC78 xenograft using ROS1 (D4D6®) Rabbit mAb.
Immunohistochemistry Image 4: ROS1 (D4D6) Rabbit Monoclonal Antibody
Confocal immunofluorescent analysis of HCC78 (left) or HeLa (right) cells using ROS1 (D4D6®) Rabbit mAb (green). Actin filaments were labeled with DY-554 phalloidin (red). Blue pseudocolor = DRAQ5® #4084 (fluorescent DNA dye).
Immunofluorescence Image 1: ROS1 (D4D6) Rabbit Monoclonal Antibody
Orders: 877-616-CELL (2355) [email protected] Support: 877-678-TECH (8324) [email protected] Web: cellsignal.com
For Research Use Only. Not for Use in Diagnostic Procedures.

Revision 9

Cell Signaling Technology Logo
Flow cytometric analysis of HeLa cells (blue, negative) and HCC78 cells (green, positive) using ROS1 (D4D6®) Rabbit mAb (solid lines) or a concentration-matched Rabbit (DA1E) mAb IgG XP® Isotype Control #3900 (dashed lines). Anti-rabbit IgG (H+L), F(ab')2 Fragment (Alexa Fluor® 488 Conjugate) #4412 was used as a secondary antibody.
Flow Cytometry Image 1: ROS1 (D4D6) Rabbit Monoclonal Antibody
Orders: 877-616-CELL (2355) [email protected] Support: 877-678-TECH (8324) [email protected] Web: cellsignal.com
For Research Use Only. Not for Use in Diagnostic Procedures.