Revision 5

#32934

Store at -20C

CST Logo
Orders:

877-616-CELL (2355)

[email protected]

Support:

877-678-TECH (8324)

3 Trask Lane | Danvers | Massachusetts | 01923 | USA

For Research Use Only. Not for Use in Diagnostic Procedures.

Applications:
W, IP, IHC-P, IF-IC, FC-FP

Reactivity:
H

Sensitivity:
Endogenous

MW (kDa):
38

Source/Isotype:
Rabbit IgG

UniProt ID:
#P04083

Entrez-Gene Id:
301

Product Usage Information

Application Dilution
Western Blotting 1:1000
Immunoprecipitation 1:50
Immunohistochemistry (Paraffin) 1:400
Immunofluorescence (Immunocytochemistry) 1:400
Flow Cytometry (Fixed/Permeabilized) 1:200

Storage

Supplied in 10 mM sodium HEPES (pH 7.5), 150 mM NaCl, 100 µg/ml BSA, 50% glycerol and less than 0.02% sodium azide. Store at –20°C. Do not aliquot the antibody.

For a carrier free (BSA and azide free) version of this product see product #30797.

Specificity/Sensitivity

Annexin A1 (D5V2T) Rabbit Monoclonal Antibody recognizes endogenous levels of total annexin A1 protein.

Source / Purification

Monoclonal antibody is produced by immunizing animals with a synthetic peptide corresponding to residues near the amino terminus of human annexin A1 protein.

Background

The annexin superfamily consists of 13 calcium or calcium and phospholipid binding proteins with high biological and structural homology (1). Annexin-1 (ANXA1) is the first characterized member of the annexin family of proteins and is able to bind to cellular membranes in a calcium-dependent manner, promoting membrane fusion and endocytosis (2-4). Annexin A1 has anti-inflammatory properties and inhibits phospholipase A2 activity (5,6). Annexin A1 can accumulate on internalized vesicles after EGF-stimulated endocytosis and may be required for a late stage in inward vesiculation (7). Phosphorylation by PKC, EGFR, and Chak1 results in inhibition of annexin A1 function (8-10). Annexin A1 has also been identified as one of the 'eat-me' signals on apoptotic cells that are to be recognized and ingested by phagocytes (11). Annexin A1, as an endogenous anti-inflammatory mediator, has roles in many diverse cellular functions, such as membrane aggregation, inflammation, phagocytosis, proliferation, apoptosis, and tumorigenesis and cancer development (12-14).

Species Reactivity

Species reactivity is determined by testing in at least one approved application (e.g., western blot).

Western Blot Buffer

IMPORTANT: For western blots, incubate membrane with diluted primary antibody in 5% w/v BSA, 1X TBS, 0.1% Tween® 20 at 4°C with gentle shaking, overnight.

Applications Key

W: Western Blotting IP: Immunoprecipitation IHC-P: Immunohistochemistry (Paraffin) IF-IC: Immunofluorescence (Immunocytochemistry) FC-FP: Flow Cytometry (Fixed/Permeabilized)

Cross-Reactivity Key

H: Human

Trademarks and Patents

Cell Signaling Technology is a trademark of Cell Signaling Technology, Inc.

Alexa Fluor is a registered trademark of Life Technologies Corporation.

This product is provided under an intellectual property license from Life Technologies Corporation. The transfer of this product is conditioned on the buyer using the purchased product solely in research conducted by the buyer, excluding contract research or any fee for service research, and the buyer must not (1) use this product or its components for (a) diagnostic, therapeutic or prophylactic purposes; (b) testing, analysis or screening services, or information in return for compensation on a per-test basis; or (c) manufacturing or quality assurance or quality control, and/or (2) sell or transfer this product or its components for resale, whether or not resold for use in research. For information on purchasing a license to this product for purposes other than as described above, contact Life Technologies Corporation, 5791 Van Allen Way, Carlsbad, CA 92008 USA or [email protected].

All other trademarks are the property of their respective owners. Visit cellsignal.com/trademarks for more information.

Limited Uses

Except as otherwise expressly agreed in a writing signed by a legally authorized representative of CST, the following terms apply to Products provided by CST, its affiliates or its distributors. Any Customer's terms and conditions that are in addition to, or different from, those contained herein, unless separately accepted in writing by a legally authorized representative of CST, are rejected and are of no force or effect.

Products are labeled with For Research Use Only or a similar labeling statement and have not been approved, cleared, or licensed by the FDA or other regulatory foreign or domestic entity, for any purpose. Customer shall not use any Product for any diagnostic or therapeutic purpose, or otherwise in any manner that conflicts with its labeling statement. Products sold or licensed by CST are provided for Customer as the end-user and solely for research and development uses. Any use of Product for diagnostic, prophylactic or therapeutic purposes, or any purchase of Product for resale (alone or as a component) or other commercial purpose, requires a separate license from CST. Customer shall (a) not sell, license, loan, donate or otherwise transfer or make available any Product to any third party, whether alone or in combination with other materials, or use the Products to manufacture any commercial products, (b) not copy, modify, reverse engineer, decompile, disassemble or otherwise attempt to discover the underlying structure or technology of the Products, or use the Products for the purpose of developing any products or services that would compete with CST products or services, (c) not alter or remove from the Products any trademarks, trade names, logos, patent or copyright notices or markings, (d) use the Products solely in accordance with CST Product Terms of Sale and any applicable documentation, and (e) comply with any license, terms of service or similar agreement with respect to any third party products or services used by Customer in connection with the Products.

Orders: 877-616-CELL (2355) [email protected] Support: 877-678-TECH (8324) [email protected] Web: cellsignal.com
For Research Use Only. Not for Use in Diagnostic Procedures.

Revision 5

Cell Signaling Technology Logo
Western blot analysis of extracts from various cell lines using Annexin A1 (D5V2T) XP® Rabbit mAb (upper) and β-Actin (D6A8) Rabbit mAb #8457 (lower).
Western Blotting Image 1: Annexin A1 (D5V2T) Rabbit Monoclonal Antibody
Immunoprecipitation of Annexin A1 from A549 cell extracts. Lane 1 is 10% input, lane 2 is Rabbit (DA1E) mAb IgG XP® Isotype Control #3900, and lane 3 is Annexin A1 (D5V2T) XP® Rabbit mAb. Western blot analysis was performed using Annexin A1 (D5V2T) XP® Rabbit mAb.
Immunoprecipitation Image 1: Annexin A1 (D5V2T) Rabbit Monoclonal Antibody
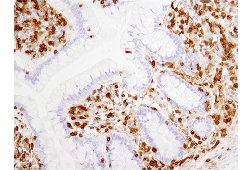
Immunohistochemical analysis of paraffin-embedded normal human colon using Annexin A1 (D5V2T) XP® Rabbit mAb.
Immunohistochemistry Image 1: Annexin A1 (D5V2T) Rabbit Monoclonal Antibody
Orders: 877-616-CELL (2355) [email protected] Support: 877-678-TECH (8324) [email protected] Web: cellsignal.com
For Research Use Only. Not for Use in Diagnostic Procedures.

Revision 5

Cell Signaling Technology Logo
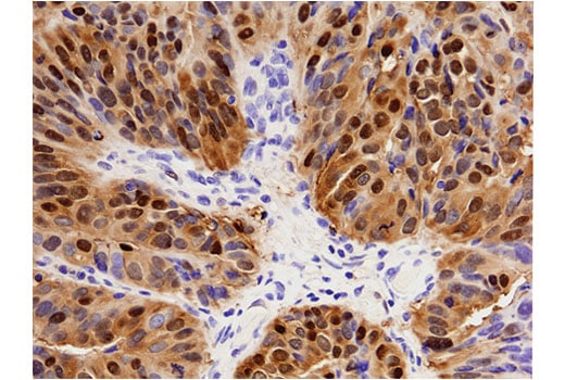
Immunohistochemical analysis of paraffin-embedded human endometrioid adenocarcinoma of the ovary using Annexin A1 (D5V2T) XP® Rabbit mAb.
Immunohistochemistry Image 2: Annexin A1 (D5V2T) Rabbit Monoclonal Antibody
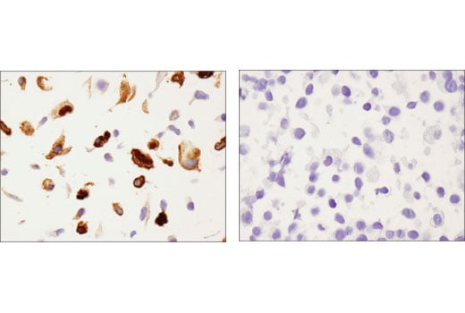
Immunohistochemical analysis of paraffin-embedded A549 (left) and LNCaP (right) cell pellets using Annexin A1 (D5V2T) XP® Rabbit mAb.
Immunohistochemistry Image 3: Annexin A1 (D5V2T) Rabbit Monoclonal Antibody
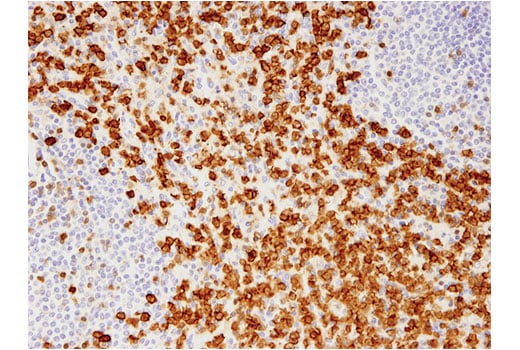
Immunohistochemical analysis of paraffin-embedded human spleen using Annexin A1 (D5V2T) XP® Rabbit mAb.
Immunohistochemistry Image 4: Annexin A1 (D5V2T) Rabbit Monoclonal Antibody
Orders: 877-616-CELL (2355) [email protected] Support: 877-678-TECH (8324) [email protected] Web: cellsignal.com
For Research Use Only. Not for Use in Diagnostic Procedures.

Revision 5

Cell Signaling Technology Logo
Confocal immunofluorescent analysis of A549 (positive, left) and 293T (negative, right) cells using Annexin A1 (D5V2T) XP® Rabbit mAb (green). Blue pseudocolor = DRAQ5® #4084 (fluorescent DNA dye).
Immunofluorescence Image 1: Annexin A1 (D5V2T) Rabbit Monoclonal Antibody
Flow cytometric analysis of RL cells (blue) and Jurkat cells (green) using Annexin A1 (D5V2T) XP® Rabbit mAb. Anti-rabbit IgG (H+L), F(ab')2 Fragment (Alexa Fluor® 488 Conjugate) #4412 was used as a secondary antibody.
Flow Cytometry Image 1: Annexin A1 (D5V2T) Rabbit Monoclonal Antibody
Orders: 877-616-CELL (2355) [email protected] Support: 877-678-TECH (8324) [email protected] Web: cellsignal.com
For Research Use Only. Not for Use in Diagnostic Procedures.