Revision 3

#33056

Store at -20C

CST Logo
Orders:

877-616-CELL (2355)

[email protected]

Support:

877-678-TECH (8324)

3 Trask Lane | Danvers | Massachusetts | 01923 | USA

For Research Use Only. Not for Use in Diagnostic Procedures.

Applications:
W, W-S, IP, ChIP

Reactivity:
H M R Mk

Sensitivity:
Endogenous

MW (kDa):
90

Source/Isotype:
Rabbit IgG

UniProt ID:
#P10244

Entrez-Gene Id:
4605

Product Usage Information

For optimal ChIP results, use 10 μL of antibody and 10 μg of chromatin (approximately 4 × 106 cells) per IP. This antibody has been validated using SimpleChIP® Enzymatic Chromatin IP Kits.
Application Dilution
Western Blotting 1:1000
Simple Western™ 1:50 - 1:250
Immunoprecipitation 1:100
Chromatin IP 1:50

Storage

Supplied in 10 mM sodium HEPES (pH 7.5), 150 mM NaCl, 100 µg/mL BSA, 50% glycerol, and less than 0.02% sodium azide. Store at –20°C. Do not aliquot the antibody.

Specificity/Sensitivity

b-Myb (F9W2M) Rabbit Monoclonal Antibody recognizes endogenous levels of total b-Myb protein. This antibody may detect a nonspecific band at 60 kDa.

Source / Purification

Monoclonal antibody is produced by immunizing animals with recombinant protein specific to the carboxy terminus of human b-Myb protein.

Background

b-Myb, also known as MYBL2, is a member of the MYB transcription factor family and plays key regulatory roles in cell cycle, proliferation, and differentiation. b-Myb is essentially expressed in all proliferating cells, and b-Myb knockout mice are embryonically lethal (1,2). Importantly, b-Myb is overexpressed and reported to play a critical role in driving several cancers, including breast cancer, hepatocellular carcinoma, renal cell carcinoma, and non-small cell lung cancer (3-7).

Species Reactivity

Species reactivity is determined by testing in at least one approved application (e.g., western blot).

Western Blot Buffer

IMPORTANT: For western blots, incubate membrane with diluted primary antibody in 5% w/v BSA, 1X TBS, 0.1% Tween® 20 at 4°C with gentle shaking, overnight.

Applications Key

W: Western Blotting W-S: Simple Western™ IP: Immunoprecipitation ChIP: Chromatin IP

Cross-Reactivity Key

H: Human M: Mouse R: Rat Mk: Monkey

Trademarks and Patents

Cell Signaling Technology is a trademark of Cell Signaling Technology, Inc.

All other trademarks are the property of their respective owners. Visit cellsignal.com/trademarks for more information.

Limited Uses

Except as otherwise expressly agreed in a writing signed by a legally authorized representative of CST, the following terms apply to Products provided by CST, its affiliates or its distributors. Any Customer's terms and conditions that are in addition to, or different from, those contained herein, unless separately accepted in writing by a legally authorized representative of CST, are rejected and are of no force or effect.

Products are labeled with For Research Use Only or a similar labeling statement and have not been approved, cleared, or licensed by the FDA or other regulatory foreign or domestic entity, for any purpose. Customer shall not use any Product for any diagnostic or therapeutic purpose, or otherwise in any manner that conflicts with its labeling statement. Products sold or licensed by CST are provided for Customer as the end-user and solely for research and development uses. Any use of Product for diagnostic, prophylactic or therapeutic purposes, or any purchase of Product for resale (alone or as a component) or other commercial purpose, requires a separate license from CST. Customer shall (a) not sell, license, loan, donate or otherwise transfer or make available any Product to any third party, whether alone or in combination with other materials, or use the Products to manufacture any commercial products, (b) not copy, modify, reverse engineer, decompile, disassemble or otherwise attempt to discover the underlying structure or technology of the Products, or use the Products for the purpose of developing any products or services that would compete with CST products or services, (c) not alter or remove from the Products any trademarks, trade names, logos, patent or copyright notices or markings, (d) use the Products solely in accordance with CST Product Terms of Sale and any applicable documentation, and (e) comply with any license, terms of service or similar agreement with respect to any third party products or services used by Customer in connection with the Products.

Orders: 877-616-CELL (2355) [email protected] Support: 877-678-TECH (8324) [email protected] Web: cellsignal.com
For Research Use Only. Not for Use in Diagnostic Procedures.

Revision 3

Cell Signaling Technology Logo
Western blot analysis of extracts from HCT 116 cells, transfected with control siRNA (-) or b-Myb siRNA (+), using b-Myb (F9W2M) Rabbit mAb (upper) or β-Actin (D6A8) Rabbit mAb #8457 (lower).
Western Blotting Image 1: b-Myb (F9W2M) Rabbit Monoclonal Antibody
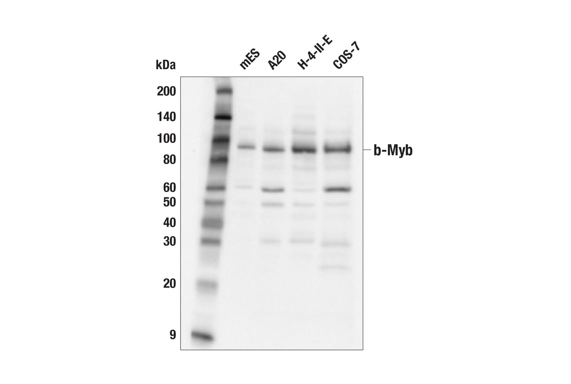
Western blot analysis of extracts from various cell lines using b-Myb (F9W2M) Rabbit mAb.
Western Blotting Image 2: b-Myb (F9W2M) Rabbit Monoclonal Antibody
Simple WesternTM analysis of lysates (1.0 mg/mL) from HCT-116 cells using b-Myb (F9W2M) Rabbit mAb #33056. The virtual lane view (left) shows the target band (as indicated) at 1:50 and 1:250 dilutions of primary antibody. The corresponding electropherogram view (right) plots chemiluminescence by molecular weight along the capillary at 1:50 (blue line) and 1:250 (green line) dilutions of primary antibody. This experiment was performed under reducing conditions on the JessTM Simple Western instrument from ProteinSimple, a BioTechne brand, using the 12-230 kDa separation module.
Western Blotting Image 1: b-Myb (F9W2M) Rabbit Monoclonal Antibody
Orders: 877-616-CELL (2355) [email protected] Support: 877-678-TECH (8324) [email protected] Web: cellsignal.com
For Research Use Only. Not for Use in Diagnostic Procedures.

Revision 3

Cell Signaling Technology Logo
Immunoprecipitation of b-Myb protein from HCT 116 cell extracts. Lane 1 is 10% input, lane 2 is Rabbit (DA1E) mAb IgG XP® Isotype Control #3900, and lane 3 is b-Myb (F9W2M) Rabbit mAb. Western blot analysis was performed using b-Myb (F9W2M) Rabbit mAb. Anti-rabbit IgG, HRP-linked Antibody #7074 was used as a secondary antibody.
Immunoprecipitation Image 1: b-Myb (F9W2M) Rabbit Monoclonal Antibody
Chromatin immunoprecipitations were performed with cross-linked chromatin from K-562 cells and either b-Myb (F9W2M) Rabbit mAb or Normal Rabbit IgG #2729, using SimpleChIP® Plus Enzymatic Chromatin IP Kit (Magnetic Beads) #9005. The enriched DNA was quantified by real-time PCR, using human RAD51 intron 1 primers, human BRCA2 intron 1 primers, and human AXIN2 intron 3 primers. The amount of immunoprecipitated DNA in each sample is represented as signal relative to the total amount of input chromatin, which is equivalent to one.
Chromatin Immunoprecipitation Image 1: b-Myb (F9W2M) Rabbit Monoclonal Antibody
Orders: 877-616-CELL (2355) [email protected] Support: 877-678-TECH (8324) [email protected] Web: cellsignal.com
For Research Use Only. Not for Use in Diagnostic Procedures.