Revision 4

#3329

Store at -20C

CST Logo
Orders:

877-616-CELL (2355)

[email protected]

Support:

877-678-TECH (8324)

3 Trask Lane | Danvers | Massachusetts | 01923 | USA

For Research Use Only. Not for Use in Diagnostic Procedures.

Applications:
W, IHC-P, IF-IC, FC-FP

Reactivity:
H

Sensitivity:
Endogenous

MW (kDa):
50

Source/Isotype:
Rat IgG1

UniProt ID:
#P41218

Entrez-Gene Id:
4332

Product Usage Information

Application Dilution
Western Blotting 1:1000
Immunohistochemistry (Paraffin) 1:200 - 1:400
Immunofluorescence (Immunocytochemistry) 1:200 - 1:400
Flow Cytometry (Fixed/Permeabilized) 1:400 - 1:800

Storage

Supplied in 10 mM sodium HEPES (pH 7.5), 150 mM NaCl, 100 µg/ml BSA, 50% glycerol and less than 0.02% sodium azide. Store at –20°C. Do not aliquot the antibody.

Specificity/Sensitivity

MNDA (3C1) Rat Monoclonal Antibody detects endogenous levels of total MNDA protein.

Source / Purification

Monoclonal antibody is produced by immunizing animals with nuclear extract from human granulocytes.

Background

MNDA (myeloid cell nuclear differentiation antigen) is a transcription factor constitutively expressed in peripheral blood granulocytes and monocytes; low expression is also found in a subset of B cells (1,2). MNDA is a member of the interferon (IFN)-regulated 200 family of genes, which contain one or more copies of a partially conserved domain of 200 amino acid residues thought to mediate protein-protein interaction (3). MNDA may play a role in apoptosis and its expression is reduced in myelodysplastic syndromes (MDS) (4). MNDA has been proposed to be a marker for nodal marginal zone lymphoma (5).

Species Reactivity

Species reactivity is determined by testing in at least one approved application (e.g., western blot).

Western Blot Buffer

IMPORTANT: For western blots, incubate membrane with diluted primary antibody in 5% w/v nonfat dry milk, 1X TBS, 0.1% Tween® 20 at 4°C with gentle shaking, overnight.

Applications Key

W: Western Blotting IHC-P: Immunohistochemistry (Paraffin) IF-IC: Immunofluorescence (Immunocytochemistry) FC-FP: Flow Cytometry (Fixed/Permeabilized)

Cross-Reactivity Key

H: Human

Trademarks and Patents

Cell Signaling Technology is a trademark of Cell Signaling Technology, Inc.

All other trademarks are the property of their respective owners. Visit cellsignal.com/trademarks for more information.

Limited Uses

Except as otherwise expressly agreed in a writing signed by a legally authorized representative of CST, the following terms apply to Products provided by CST, its affiliates or its distributors. Any Customer's terms and conditions that are in addition to, or different from, those contained herein, unless separately accepted in writing by a legally authorized representative of CST, are rejected and are of no force or effect.

Products are labeled with For Research Use Only or a similar labeling statement and have not been approved, cleared, or licensed by the FDA or other regulatory foreign or domestic entity, for any purpose. Customer shall not use any Product for any diagnostic or therapeutic purpose, or otherwise in any manner that conflicts with its labeling statement. Products sold or licensed by CST are provided for Customer as the end-user and solely for research and development uses. Any use of Product for diagnostic, prophylactic or therapeutic purposes, or any purchase of Product for resale (alone or as a component) or other commercial purpose, requires a separate license from CST. Customer shall (a) not sell, license, loan, donate or otherwise transfer or make available any Product to any third party, whether alone or in combination with other materials, or use the Products to manufacture any commercial products, (b) not copy, modify, reverse engineer, decompile, disassemble or otherwise attempt to discover the underlying structure or technology of the Products, or use the Products for the purpose of developing any products or services that would compete with CST products or services, (c) not alter or remove from the Products any trademarks, trade names, logos, patent or copyright notices or markings, (d) use the Products solely in accordance with CST Product Terms of Sale and any applicable documentation, and (e) comply with any license, terms of service or similar agreement with respect to any third party products or services used by Customer in connection with the Products.

Orders: 877-616-CELL (2355) [email protected] Support: 877-678-TECH (8324) [email protected] Web: cellsignal.com
For Research Use Only. Not for Use in Diagnostic Procedures.

Revision 4

Cell Signaling Technology Logo
Western blot analysis of extracts from HL-60 and THP-1 cells using MNDA (3C1) Rat mAb.
Western Blotting Image 1: MNDA (3C1) Rat Monoclonal Antibody
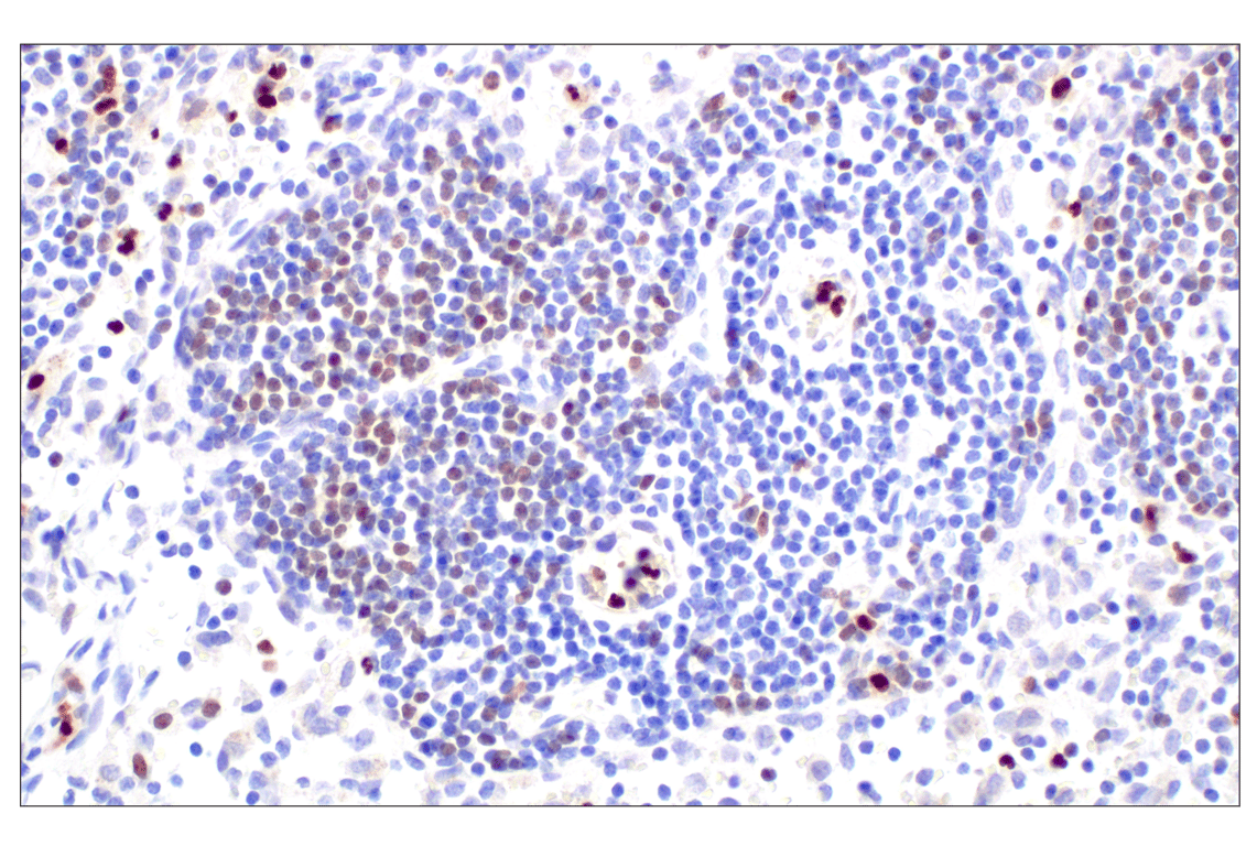
Immunohistochemical analysis of paraffin-embedded human B-cell non-Hodgkin lymphoma using MNDA (3C1) Rat mAb.
Immunohistochemistry Image 1: MNDA (3C1) Rat Monoclonal Antibody
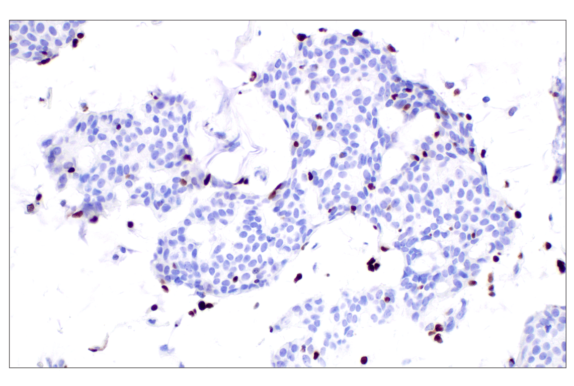
Immunohistochemical analysis of paraffin-embedded human lung adenocarcinoma using MNDA (3C1) Rat mAb.
Immunohistochemistry Image 2: MNDA (3C1) Rat Monoclonal Antibody
Orders: 877-616-CELL (2355) [email protected] Support: 877-678-TECH (8324) [email protected] Web: cellsignal.com
For Research Use Only. Not for Use in Diagnostic Procedures.

Revision 4

Cell Signaling Technology Logo
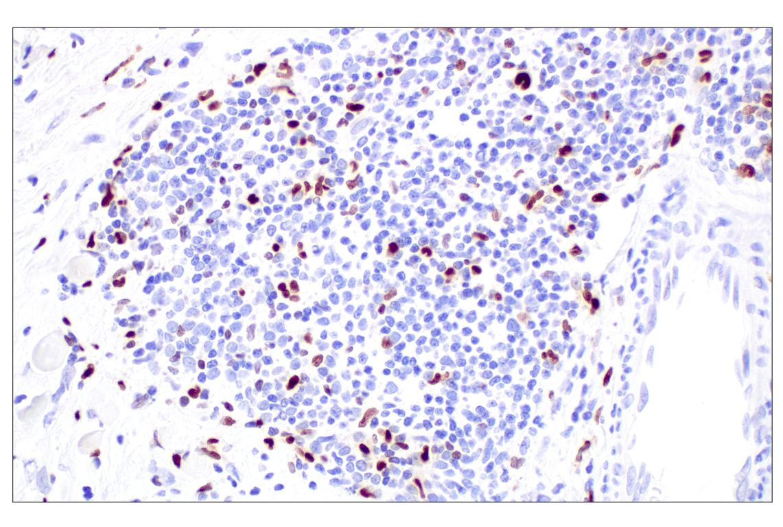
Immunohistochemical analysis of paraffin-embedded human thymoma using MNDA (3C1) Rat mAb.
Immunohistochemistry Image 3: MNDA (3C1) Rat Monoclonal Antibody
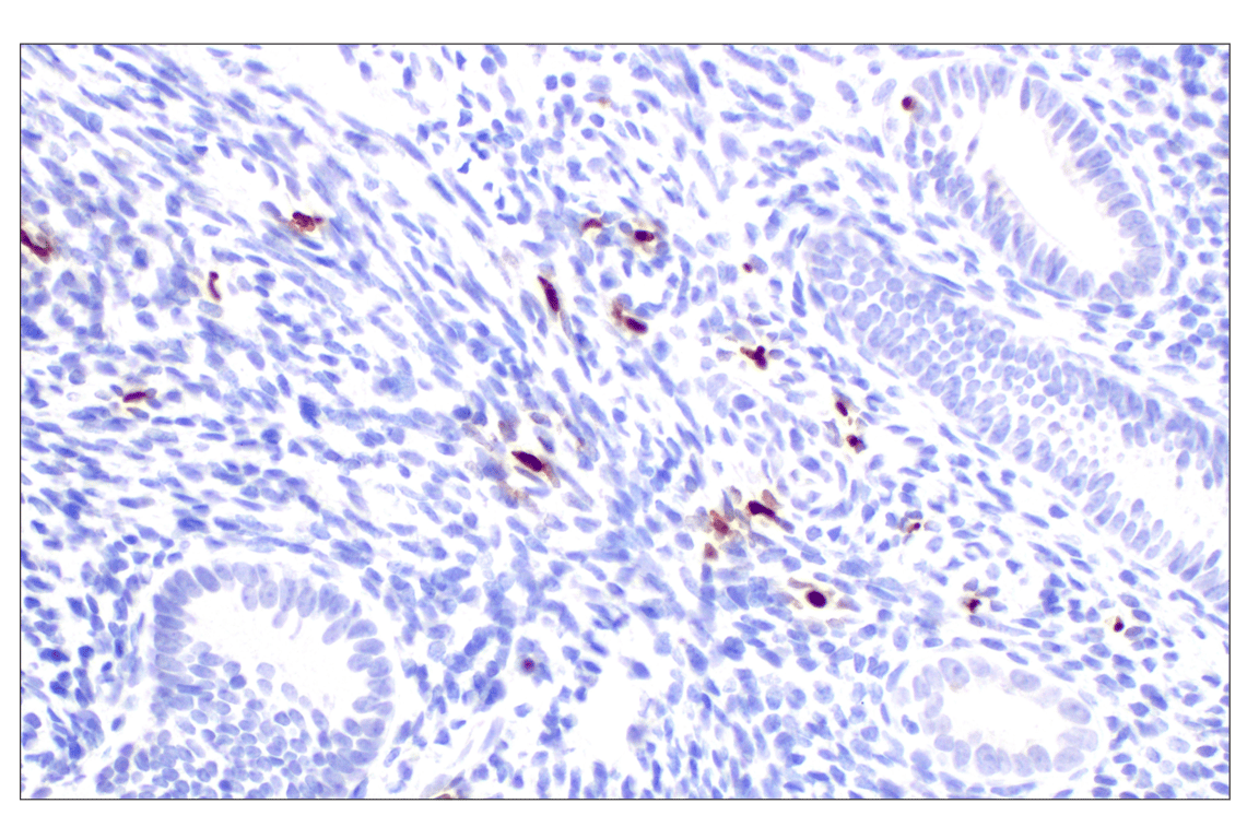
Immunohistochemical analysis of paraffin-embedded human endometrial carcinoma using MNDA (3C1) Rat mAb.
Immunohistochemistry Image 4: MNDA (3C1) Rat Monoclonal Antibody
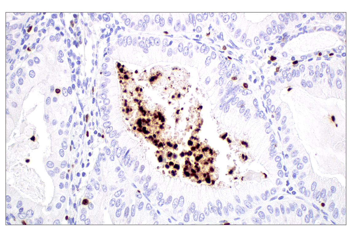
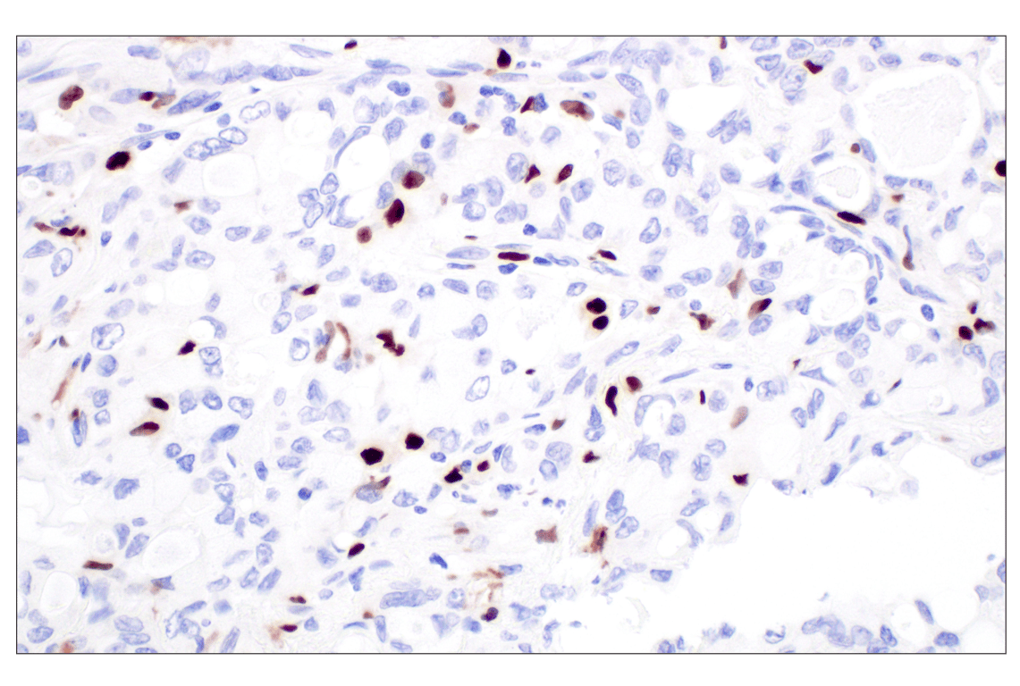
Immunohistochemical analysis of paraffin-embedded human mucinous adenocarcinoma of the breast using MNDA (3C1) Rat mAb.
Immunohistochemistry Image 5: MNDA (3C1) Rat Monoclonal Antibody
Orders: 877-616-CELL (2355) [email protected] Support: 877-678-TECH (8324) [email protected] Web: cellsignal.com
For Research Use Only. Not for Use in Diagnostic Procedures.

Revision 4

Cell Signaling Technology Logo
Immunohistochemical analysis of paraffin-embedded normal human lymph node using MNDA (3C1) Rat mAb.
Immunohistochemistry Image 6: MNDA (3C1) Rat Monoclonal Antibody
Immunohistochemical analysis of paraffin-embedded normal human esophagus using MNDA (3C1) Rat mAb.
Immunohistochemistry Image 7: MNDA (3C1) Rat Monoclonal Antibody
Immunohistochemical analysis of paraffin-embedded normal human uterus using MNDA (3C1) Rat mAb.
Immunohistochemistry Image 8: MNDA (3C1) Rat Monoclonal Antibody
Orders: 877-616-CELL (2355) [email protected] Support: 877-678-TECH (8324) [email protected] Web: cellsignal.com
For Research Use Only. Not for Use in Diagnostic Procedures.

Revision 4

Cell Signaling Technology Logo
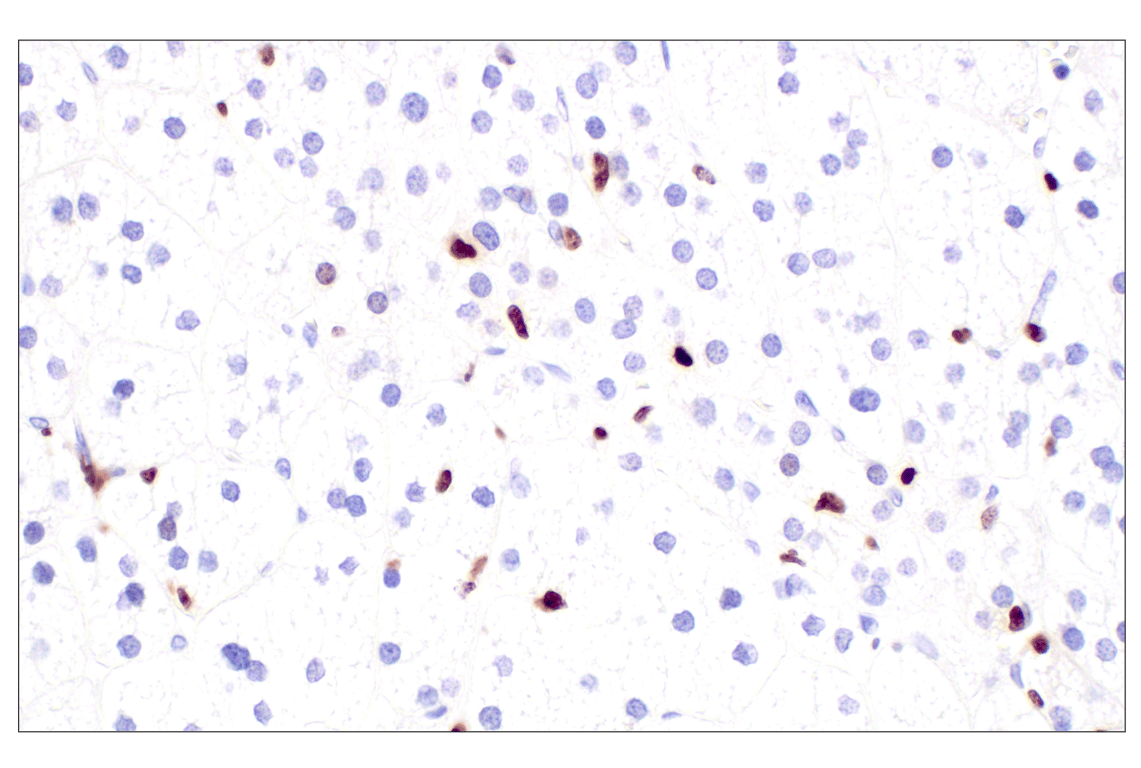
Immunohistochemical analysis of paraffin-embedded normal human adrenal gland using MNDA (3C1) Rat mAb.
Immunohistochemistry Image 9: MNDA (3C1) Rat Monoclonal Antibody
Immunohistochemical analysis of paraffin-embedded THP-1 cell pellet (left, positive) or Jurkat cell pellet (right, negative) using MNDA (3C1) Rat mAb.
Immunohistochemistry Image 10: MNDA (3C1) Rat Monoclonal Antibody
Confocal immunofluorescent analysis of THP-1 cells (left) and Jurkat cells (right) using MNDA (3C1) Rat mAb (green). Actin filaments were labeled with DY-554 phalloidin (red).
Immunofluorescence Image 1: MNDA (3C1) Rat Monoclonal Antibody
Orders: 877-616-CELL (2355) [email protected] Support: 877-678-TECH (8324) [email protected] Web: cellsignal.com
For Research Use Only. Not for Use in Diagnostic Procedures.

Revision 4

Cell Signaling Technology Logo
Flow cytometric analysis of Jurkat cells (blue, negative) and THP-1 cells (green, positive) using MNDA (3C1) Rat mAb (solid lines) or a concentration-matched Rat IgG1 Isotype Control antibody (dashed lines). Anti-rat IgG (H+L), (Alexa Fluor® 647 Conjugate) #4418 was used as a secondary antibody
Flow Cytometry Image 1: MNDA (3C1) Rat Monoclonal Antibody
Orders: 877-616-CELL (2355) [email protected] Support: 877-678-TECH (8324) [email protected] Web: cellsignal.com
For Research Use Only. Not for Use in Diagnostic Procedures.