Revision 1

#33361

Store at -20C

CST Logo
Orders:

877-616-CELL (2355)

[email protected]

Support:

877-678-TECH (8324)

3 Trask Lane | Danvers | Massachusetts | 01923 | USA

For Research Use Only. Not for Use in Diagnostic Procedures.

Applications:
W, IHC-P

Reactivity:
H

Sensitivity:
Endogenous

MW (kDa):
28

Source/Isotype:
Rabbit IgG

UniProt ID:
#P40261

Entrez-Gene Id:
4837

Product Usage Information

Application Dilution
Western Blotting 1:1000
Immunohistochemistry (Paraffin) 1:100 - 1:400

Storage

Supplied in 10 mM sodium HEPES (pH 7.5), 150 mM NaCl, 100 µg/ml BSA, 50% glycerol and less than 0.02% sodium azide. Store at –20°C. Do not aliquot the antibody.

Specificity/Sensitivity

NNMT (E6N2Z) Rabbit Monoclonal Antibody recognizes endogenous levels of total NNMT protein.

Source / Purification

Monoclonal antibody is produced by immunizing animals with a synthetic peptide corresponding to residues surrounding Pro109 of human NNMT protein.

Background

Nicotinamide N-methyltransferase (NNMT) is a metabolic enzyme expressed primarily in liver and adipose tissue. It catalyzes the transfer of a methyl group from S-Adenosyl-methionine (SAM) to nicotinamide, yielding 1-methylnicotinamide (MNAM) and S-Adenosyl-L-homocysteine (SAH) (1). This N-methylation enzymatic activity plays an important role in the biotransformation of drugs and xenobiotics, and also contributes to the metabolism of vitamin B3 (2). Knockdown of NNMT was shown to increase both SAM and NAD+ levels in white adipose tissue of high-fat diet-fed mice, resulting in increased energy expenditure and protection against diet-induced obesity (3). In contrast, increased liver NNMT expression in humans and mice correlated with an improved metabolic profile, through MNAM-mediated SIRT1 protein stabilization (4). In cancer cells, overexpression of NNMT resulted in excess consumption of methyl units from SAM, leading to histone hypomethylation that substantially altered the epigenetic landscape (5). These and other research studies have suggested that NNMT expression may have utility as a diagnostic and prognostic biomarker in cancer (6-8).

Species Reactivity

Species reactivity is determined by testing in at least one approved application (e.g., western blot).

Western Blot Buffer

IMPORTANT: For western blots, incubate membrane with diluted primary antibody in 5% w/v BSA, 1X TBS, 0.1% Tween® 20 at 4°C with gentle shaking, overnight.

Applications Key

W: Western Blotting IHC-P: Immunohistochemistry (Paraffin)

Cross-Reactivity Key

H: Human

Trademarks and Patents

Cell Signaling Technology is a trademark of Cell Signaling Technology, Inc.

SignalStain is a registered trademark of Cell Signaling Technology, Inc.

All other trademarks are the property of their respective owners. Visit cellsignal.com/trademarks for more information.

Limited Uses

Except as otherwise expressly agreed in a writing signed by a legally authorized representative of CST, the following terms apply to Products provided by CST, its affiliates or its distributors. Any Customer's terms and conditions that are in addition to, or different from, those contained herein, unless separately accepted in writing by a legally authorized representative of CST, are rejected and are of no force or effect.

Products are labeled with For Research Use Only or a similar labeling statement and have not been approved, cleared, or licensed by the FDA or other regulatory foreign or domestic entity, for any purpose. Customer shall not use any Product for any diagnostic or therapeutic purpose, or otherwise in any manner that conflicts with its labeling statement. Products sold or licensed by CST are provided for Customer as the end-user and solely for research and development uses. Any use of Product for diagnostic, prophylactic or therapeutic purposes, or any purchase of Product for resale (alone or as a component) or other commercial purpose, requires a separate license from CST. Customer shall (a) not sell, license, loan, donate or otherwise transfer or make available any Product to any third party, whether alone or in combination with other materials, or use the Products to manufacture any commercial products, (b) not copy, modify, reverse engineer, decompile, disassemble or otherwise attempt to discover the underlying structure or technology of the Products, or use the Products for the purpose of developing any products or services that would compete with CST products or services, (c) not alter or remove from the Products any trademarks, trade names, logos, patent or copyright notices or markings, (d) use the Products solely in accordance with CST Product Terms of Sale and any applicable documentation, and (e) comply with any license, terms of service or similar agreement with respect to any third party products or services used by Customer in connection with the Products.

Orders: 877-616-CELL (2355) [email protected] Support: 877-678-TECH (8324) [email protected] Web: cellsignal.com
For Research Use Only. Not for Use in Diagnostic Procedures.

Revision 1

Cell Signaling Technology Logo
Western blot analysis of extracts from various cell lines using NNMT (E6N2Z) XP® Rabbit mAb (upper) and GAPDH (D16H11) XP® Rabbit mAb #5174 (lower). Expression levels of NNMT among cell lines are consistent with expectations based on publicly available bioinformatic databases.
Western Blotting Image 1: NNMT (E6N2Z) Rabbit Monoclonal Antibody
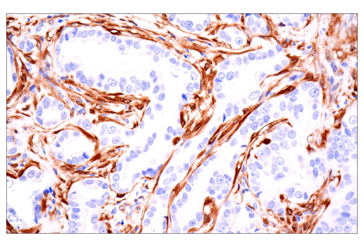
Immunohistochemical analysis of paraffin-embedded human ductal breast carcinoma using NNMT (E6N2Z) XP® Rabbit mAb.
Immunohistochemistry Image 1: NNMT (E6N2Z) Rabbit Monoclonal Antibody
Immunohistochemical analysis of paraffin-embedded 786-0 cell pellet (left, positive) or PANC-1 cell pellet (right, negative) using NNMT (E6N2Z) XP® Rabbit mAb.
Immunohistochemistry Image 2: NNMT (E6N2Z) Rabbit Monoclonal Antibody
Orders: 877-616-CELL (2355) [email protected] Support: 877-678-TECH (8324) [email protected] Web: cellsignal.com
For Research Use Only. Not for Use in Diagnostic Procedures.

Revision 1

Cell Signaling Technology Logo
Immunohistochemical analysis of paraffin-embedded human colon carcinoma using NNMT (E6N2Z) XP® Rabbit mAb.
Immunohistochemistry Image 3: NNMT (E6N2Z) Rabbit Monoclonal Antibody
Immunohistochemical analysis of paraffin-embedded normal human liver using NNMT (E6N2Z) XP® Rabbit mAb.
Immunohistochemistry Image 4: NNMT (E6N2Z) Rabbit Monoclonal Antibody
Immunohistochemical analysis of paraffin-embedded human T-cell lymphoma using NNMT (E6N2Z) XP® Rabbit mAb.
Immunohistochemistry Image 5: NNMT (E6N2Z) Rabbit Monoclonal Antibody
Orders: 877-616-CELL (2355) [email protected] Support: 877-678-TECH (8324) [email protected] Web: cellsignal.com
For Research Use Only. Not for Use in Diagnostic Procedures.

Revision 1

Cell Signaling Technology Logo
Immunohistochemical analysis of paraffin-embedded human ovarian clear cell carcinoma using NNMT (E6N2Z) XP® Rabbit mAb (left) compared to concentration-matched Rabbit (DA1E) mAb IgG XP® Isotype Control #3900 (right).
Immunohistochemistry Image 6: NNMT (E6N2Z) Rabbit Monoclonal Antibody
Orders: 877-616-CELL (2355) [email protected] Support: 877-678-TECH (8324) [email protected] Web: cellsignal.com
For Research Use Only. Not for Use in Diagnostic Procedures.