Revision 9

#33475

Store at -20C

CST Logo
Orders:

877-616-CELL (2355)

[email protected]

Support:

877-678-TECH (8324)

3 Trask Lane | Danvers | Massachusetts | 01923 | USA

For Research Use Only. Not for Use in Diagnostic Procedures.

Applications:
W, IHC-P, IF-IC

Reactivity:
H

Sensitivity:
Endogenous

MW (kDa):
207-217

Source/Isotype:
Mouse IgG1

UniProt ID:
#P48681

Entrez-Gene Id:
10763

Product Usage Information

Application Dilution
Western Blotting 1:1000
Immunohistochemistry (Paraffin) 1:400 - 1:1600
Immunofluorescence (Immunocytochemistry) 1:1600 - 1:6400

Storage

Supplied at 1 mg/mL in PBS containing 0.09% sodium azide. Store at -20°C. This product will freeze at -20°C so it is recommended to aliquot into single-use vials to avoid multiple freeze/thaw cycles. A slight precipitate may be present, but will not interfere with antibody performance. This product is stable for 36 months when stored at -20C.

Specificity/Sensitivity

Nestin (10C2) Mouse Monoclonal Antibody recognizes endogenous levels of total nestin protein.

Source / Purification

Monoclonal antibody is produced by immunizing animals with recombinant protein specific to the carboxy terminus of human nestin protein.

Background

Nestin is an intermediate filament family member protein that is structurally related to the neurofilament proteins (1). It is highly expressed in the developing brain, where it may help to regulate cell structure and intracellular processes required for neural cell division and migration (1,2). Upon maturation of the brain, nestin expression is quickly downregulated and replaced by expression of the neurofilament proteins (2). Because nestin is expressed in both mature and precursor neuronal and glial cells, as well as in the developing brain and in the brain and spinal cord following damage, nestin is widely accepted as a marker of neural stem/progenitor cells (3). Research studies have shown that expression of nestin is also found in cells from various nervous system tumors, including gliomas, neuroblastomas, and astrocytomas, and it is generally accepted as a marker for neural cancer stem cells (3). However, nestin expression has also been observed in astrocytes, retina, cardiac muscle, pancreas, and other tissues (3). Therefore, the acceptance of nestin as an exclusive marker of neural stem/progenitor cells is not unanimous.

Species Reactivity

Species reactivity is determined by testing in at least one approved application (e.g., western blot).

Western Blot Buffer

IMPORTANT: For western blots, incubate membrane with diluted primary antibody in 5% w/v nonfat dry milk, 1X TBS, 0.1% Tween® 20 at 4°C with gentle shaking, overnight.

Applications Key

W: Western Blotting IHC-P: Immunohistochemistry (Paraffin) IF-IC: Immunofluorescence (Immunocytochemistry)

Cross-Reactivity Key

H: Human

Trademarks and Patents

Cell Signaling Technology is a trademark of Cell Signaling Technology, Inc.

SignalStain is a registered trademark of Cell Signaling Technology, Inc.

All other trademarks are the property of their respective owners. Visit cellsignal.com/trademarks for more information.

Limited Uses

Except as otherwise expressly agreed in a writing signed by a legally authorized representative of CST, the following terms apply to Products provided by CST, its affiliates or its distributors. Any Customer's terms and conditions that are in addition to, or different from, those contained herein, unless separately accepted in writing by a legally authorized representative of CST, are rejected and are of no force or effect.

Products are labeled with For Research Use Only or a similar labeling statement and have not been approved, cleared, or licensed by the FDA or other regulatory foreign or domestic entity, for any purpose. Customer shall not use any Product for any diagnostic or therapeutic purpose, or otherwise in any manner that conflicts with its labeling statement. Products sold or licensed by CST are provided for Customer as the end-user and solely for research and development uses. Any use of Product for diagnostic, prophylactic or therapeutic purposes, or any purchase of Product for resale (alone or as a component) or other commercial purpose, requires a separate license from CST. Customer shall (a) not sell, license, loan, donate or otherwise transfer or make available any Product to any third party, whether alone or in combination with other materials, or use the Products to manufacture any commercial products, (b) not copy, modify, reverse engineer, decompile, disassemble or otherwise attempt to discover the underlying structure or technology of the Products, or use the Products for the purpose of developing any products or services that would compete with CST products or services, (c) not alter or remove from the Products any trademarks, trade names, logos, patent or copyright notices or markings, (d) use the Products solely in accordance with CST Product Terms of Sale and any applicable documentation, and (e) comply with any license, terms of service or similar agreement with respect to any third party products or services used by Customer in connection with the Products.

Orders: 877-616-CELL (2355) [email protected] Support: 877-678-TECH (8324) [email protected] Web: cellsignal.com
For Research Use Only. Not for Use in Diagnostic Procedures.

Revision 9

Cell Signaling Technology Logo
Western blot analysis of extracts from various cell lines using Nestin (10C2) Mouse mAb (upper) or α-Actinin (D6F6) XP® Rabbit mAb #6487 (lower).
Western Blotting Image 1: Nestin (10C2) Mouse Monoclonal Antibody
Immunohistochemical analysis of paraffin-embedded normal human breast using Nestin (10C2) Mouse mAb.
Immunohistochemistry Image 1: Nestin (10C2) Mouse Monoclonal Antibody
Immunohistochemical analysis of paraffin-embedded H929 cell pellet (left, positive) or ZR-75-1 cell pellet (right, negative) using Nestin (10C2) Mouse mAb.
Immunohistochemistry Image 2: Nestin (10C2) Mouse Monoclonal Antibody
Orders: 877-616-CELL (2355) [email protected] Support: 877-678-TECH (8324) [email protected] Web: cellsignal.com
For Research Use Only. Not for Use in Diagnostic Procedures.

Revision 9

Cell Signaling Technology Logo
Immunohistochemical analysis of paraffin-embedded human lung adenocarcinoma using Nestin (10C2) Mouse mAb.
Immunohistochemistry Image 3: Nestin (10C2) Mouse Monoclonal Antibody
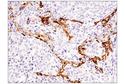
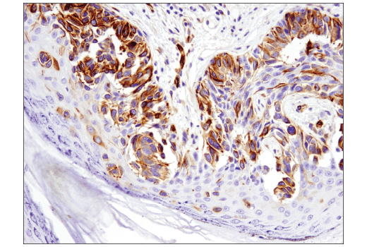
Immunohistochemical analysis of paraffin-embedded human melanoma using Nestin (10C2) Mouse mAb.
Immunohistochemistry Image 4: Nestin (10C2) Mouse Monoclonal Antibody
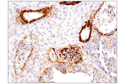
Immunohistochemical analysis of paraffin-embedded human endometrioid adenocarcinoma using Nestin (10C2) Mouse mAb.
Immunohistochemistry Image 5: Nestin (10C2) Mouse Monoclonal Antibody
Orders: 877-616-CELL (2355) [email protected] Support: 877-678-TECH (8324) [email protected] Web: cellsignal.com
For Research Use Only. Not for Use in Diagnostic Procedures.

Revision 9

Cell Signaling Technology Logo
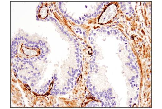
Immunohistochemical analysis of paraffin-embedded human prostate carcinoma using Nestin (10C2) Mouse mAb.
Immunohistochemistry Image 6: Nestin (10C2) Mouse Monoclonal Antibody
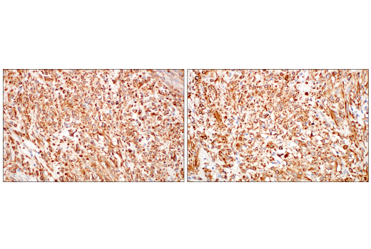
Immunohistochemical analysis of paraffin-embedded human gastrointestinal stromal tumor using Nestin (10C2) Mouse mAb (left) or Nestin (E4O9E) Rabbit mAb #73349 (right). These two antibodies detect unique, non-overlapping epitopes on human Nestin. The similar staining patterns obtained with both antibodies help to confirm the specificity of the staining.
Immunohistochemistry Image 7: Nestin (10C2) Mouse Monoclonal Antibody
Confocal immunofluorescent analysis of U-251 MG cells (left, positive) and ZR-75-1 (right, negative) using Nestin (10C2) Mouse mAb (green). Actin filaments were labeled with DyLight™ 554 Phalloidin #13054 (red). Blue pseudocolor= DRAQ5® #4084 (fluorescent DNA dye).
Immunofluorescence Image 1: Nestin (10C2) Mouse Monoclonal Antibody
Orders: 877-616-CELL (2355) [email protected] Support: 877-678-TECH (8324) [email protected] Web: cellsignal.com
For Research Use Only. Not for Use in Diagnostic Procedures.