Revision 3

#3369

Store at -20C

CST Logo
Orders:

877-616-CELL (2355)

[email protected]

Support:

877-678-TECH (8324)

3 Trask Lane | Danvers | Massachusetts | 01923 | USA

For Research Use Only. Not for Use in Diagnostic Procedures.

Applications:
W, IHC-P, IF-IC

Reactivity:
H Mk

Sensitivity:
Endogenous

MW (kDa):
23

Source/Isotype:
Mouse IgG1

UniProt ID:
#P09211

Entrez-Gene Id:
2950

Product Usage Information

Application Dilution
Western Blotting 1:1000
Immunohistochemistry (Paraffin) 1:400 - 1:1600
Immunofluorescence (Immunocytochemistry) 1:100

Storage

Supplied in 10 mM sodium HEPES (pH 7.5), 150 mM NaCl, 100 µg/ml BSA, 50% glycerol and less than 0.02% sodium azide. Store at –20°C. Do not aliquot the antibody.

For a carrier free (BSA and azide free) version of this product see product #10130.

Specificity/Sensitivity

GSTP1 (3F2) Mouse Monoclonal Antibody detects endogenous levels of total GSTP1 protein. This antibody does not cross react with GST-tagged proteins.

Source / Purification

Monoclonal antibody is produced by immunizing animals with recombinant GSTP1 protein.

Background

Glutathione S-transferases (GSTs) are a family of isoenzymes that detoxify electrophiles through conjugation to thiol-reduced glutathione (GSH). Thus, they are critical in protecting cells from toxins (drugs, pesticides, carcinogens) and oxidative stress (1). Eight isoforms of cytosolic-soluble GSTs (α, κ, μ, π, σ, θ, ζ, and ω) are identified, while only GST-α, -μ, and -π are described in the central nervous system (2). GSTP1 (GSTπ) is overexpressed in early stages of carcinogenesis and can be used as a neoplastic marker in tumor tissues (3). GSTP1 directly inhibits TRAF2 and JNK but not NF-κB (4,5). Corresponding GSTP1 gene polymorphisms affect substrate selectivity and stability, and the oxidative milieu in dopaminergic neurons, which increases the susceptibility to Parkinson’s disease (6).

Species Reactivity

Species reactivity is determined by testing in at least one approved application (e.g., western blot).

Western Blot Buffer

IMPORTANT: For western blots, incubate membrane with diluted primary antibody in 5% w/v nonfat dry milk, 1X TBS, 0.1% Tween® 20 at 4°C with gentle shaking, overnight.

Applications Key

W: Western Blotting IHC-P: Immunohistochemistry (Paraffin) IF-IC: Immunofluorescence (Immunocytochemistry)

Cross-Reactivity Key

H: Human Mk: Monkey

Trademarks and Patents

Cell Signaling Technology is a trademark of Cell Signaling Technology, Inc.

All other trademarks are the property of their respective owners. Visit cellsignal.com/trademarks for more information.

Limited Uses

Except as otherwise expressly agreed in a writing signed by a legally authorized representative of CST, the following terms apply to Products provided by CST, its affiliates or its distributors. Any Customer's terms and conditions that are in addition to, or different from, those contained herein, unless separately accepted in writing by a legally authorized representative of CST, are rejected and are of no force or effect.

Products are labeled with For Research Use Only or a similar labeling statement and have not been approved, cleared, or licensed by the FDA or other regulatory foreign or domestic entity, for any purpose. Customer shall not use any Product for any diagnostic or therapeutic purpose, or otherwise in any manner that conflicts with its labeling statement. Products sold or licensed by CST are provided for Customer as the end-user and solely for research and development uses. Any use of Product for diagnostic, prophylactic or therapeutic purposes, or any purchase of Product for resale (alone or as a component) or other commercial purpose, requires a separate license from CST. Customer shall (a) not sell, license, loan, donate or otherwise transfer or make available any Product to any third party, whether alone or in combination with other materials, or use the Products to manufacture any commercial products, (b) not copy, modify, reverse engineer, decompile, disassemble or otherwise attempt to discover the underlying structure or technology of the Products, or use the Products for the purpose of developing any products or services that would compete with CST products or services, (c) not alter or remove from the Products any trademarks, trade names, logos, patent or copyright notices or markings, (d) use the Products solely in accordance with CST Product Terms of Sale and any applicable documentation, and (e) comply with any license, terms of service or similar agreement with respect to any third party products or services used by Customer in connection with the Products.

Orders: 877-616-CELL (2355) [email protected] Support: 877-678-TECH (8324) [email protected] Web: cellsignal.com
For Research Use Only. Not for Use in Diagnostic Procedures.

Revision 3

Cell Signaling Technology Logo
Western blot analysis of extracts from PC3 cells and human cerebellum using GSTP1 (3F2) Mouse mAb.
Western Blotting Image 1: GSTP1 (3F2) Mouse Monoclonal Antibody
Immunohistochemical analysis of paraffin-embedded human lung carcinoma using GSTP1 (3F2) Mouse mAb.
Immunohistochemistry Image 1: GSTP1 (3F2) Mouse Monoclonal Antibody
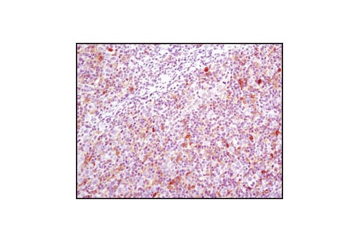
Immunohistochemical analysis of paraffin-embedded human lymphoma using GSTP1 (3F2) Mouse mAb.
Immunohistochemistry Image 2: GSTP1 (3F2) Mouse Monoclonal Antibody
Orders: 877-616-CELL (2355) [email protected] Support: 877-678-TECH (8324) [email protected] Web: cellsignal.com
For Research Use Only. Not for Use in Diagnostic Procedures.

Revision 3

Cell Signaling Technology Logo
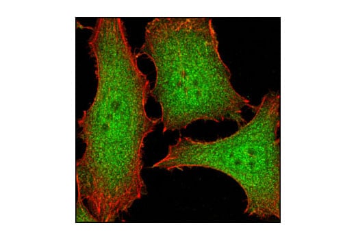
Confocal immunofluorescent analysis of PC3 cells using GSTP1 (3F2) Mouse mAb (green). Actin filaments have been labeled with DY-554 phalloidin (red).
Immunofluorescence Image 1: GSTP1 (3F2) Mouse Monoclonal Antibody
Orders: 877-616-CELL (2355) [email protected] Support: 877-678-TECH (8324) [email protected] Web: cellsignal.com
For Research Use Only. Not for Use in Diagnostic Procedures.