Revision 4

#34265

Store at -20C

CST Logo
Orders:

877-616-CELL (2355)

[email protected]

Support:

877-678-TECH (8324)

3 Trask Lane | Danvers | Massachusetts | 01923 | USA

For Research Use Only. Not for Use in Diagnostic Procedures.

Applications:
W, IHC-P

Reactivity:
H M

Sensitivity:
Endogenous

MW (kDa):
38

Source/Isotype:
Mouse IgG1 kappa

UniProt ID:
#P15328

Entrez-Gene Id:
2348

Product Usage Information

Application Dilution
Western Blotting 1:1000
Immunohistochemistry (Paraffin) 1:100 - 1:400

Storage

Supplied in 10 mM sodium HEPES (pH 7.5), 150 mM NaCl, 100 µg/mL BSA, 50% glycerol, and less than 0.02% sodium azide. Store at –20°C. Do not aliquot the antibody.

For a carrier free (BSA and azide free) version of this product see product #30124.

Specificity/Sensitivity

Folate Receptor Alpha/FOLR1 (E8U2F) Mouse Monoclonal Antibody recognizes endogenous levels of total Folate Receptor Alpha/FOLR1 protein. Non-specific staining was observed in normal human brain by immunohistochemistry. This antibody is not recommended for immunohistochemical analysis of mouse tissues.

Source / Purification

Monoclonal antibody is produced by immunizing animals with a synthetic peptide corresponding to residues surrounding Asp77 of human Folate Receptor Alpha/FOLR1 protein.

Background

Folate Receptor Alpha (FOLR1) is a cysteine-rich cell-surface receptor that plays a critical role in the maintenance and transport of folate (vitamin B9) and reduced folic acid derivatives into cells and is essential for various cellular processes (1,2). FOLR1 binds to folate and facilitates its internalization into cells through receptor-mediated endocytosis or potocytosis and is important in cellular processes, including DNA synthesis and repair (1-3). Intracellular folate levels are critical to maintaining and supporting folate functions in its multiple coenzyme forms (4). It is primarily expressed in tissues requiring high folate levels, such as the placenta, kidneys, and certain cancer cells (5). FOLR1 has been found to be overexpressed in several types of cancer, including ovarian, lung, and breast cancer (6-8).

Species Reactivity

Species reactivity is determined by testing in at least one approved application (e.g., western blot).

Western Blot Buffer

IMPORTANT: For western blots, incubate membrane with diluted primary antibody in 5% w/v BSA, 1X TBS, 0.1% Tween® 20 at 4°C with gentle shaking, overnight.

Applications Key

W: Western Blotting IHC-P: Immunohistochemistry (Paraffin)

Cross-Reactivity Key

H: Human M: Mouse

Trademarks and Patents

Cell Signaling Technology is a trademark of Cell Signaling Technology, Inc.

All other trademarks are the property of their respective owners. Visit cellsignal.com/trademarks for more information.

Limited Uses

Except as otherwise expressly agreed in a writing signed by a legally authorized representative of CST, the following terms apply to Products provided by CST, its affiliates or its distributors. Any Customer's terms and conditions that are in addition to, or different from, those contained herein, unless separately accepted in writing by a legally authorized representative of CST, are rejected and are of no force or effect.

Products are labeled with For Research Use Only or a similar labeling statement and have not been approved, cleared, or licensed by the FDA or other regulatory foreign or domestic entity, for any purpose. Customer shall not use any Product for any diagnostic or therapeutic purpose, or otherwise in any manner that conflicts with its labeling statement. Products sold or licensed by CST are provided for Customer as the end-user and solely for research and development uses. Any use of Product for diagnostic, prophylactic or therapeutic purposes, or any purchase of Product for resale (alone or as a component) or other commercial purpose, requires a separate license from CST. Customer shall (a) not sell, license, loan, donate or otherwise transfer or make available any Product to any third party, whether alone or in combination with other materials, or use the Products to manufacture any commercial products, (b) not copy, modify, reverse engineer, decompile, disassemble or otherwise attempt to discover the underlying structure or technology of the Products, or use the Products for the purpose of developing any products or services that would compete with CST products or services, (c) not alter or remove from the Products any trademarks, trade names, logos, patent or copyright notices or markings, (d) use the Products solely in accordance with CST Product Terms of Sale and any applicable documentation, and (e) comply with any license, terms of service or similar agreement with respect to any third party products or services used by Customer in connection with the Products.

Orders: 877-616-CELL (2355) [email protected] Support: 877-678-TECH (8324) [email protected] Web: cellsignal.com
For Research Use Only. Not for Use in Diagnostic Procedures.

Revision 4

Cell Signaling Technology Logo
Western blot analysis of extracts from 293T cells, mock transfected (-) or transfected with a construct expressing Myc/DDK-tagged full-length human Folate Receptor Alpha/FOLR1 (hFolate Receptor Alpha/FOLR1-Myc/DDK; +), using Folate Receptor Alpha/FOLR1 (F8U2F) Mouse mAb (upper), Myc-Tag (71D10) Rabbit mAb #2278 (middle), or GAPDH (D16H11) XP® Rabbit mAb #5174 (lower).
Western Blotting Image 1: Folate Receptor Alpha/FOLR1 (E8U2F) Mouse Monoclonal Antibody
Western blot analysis of extracts from various cell lines using Folate Receptor Alpha/FOLR1 (E8U2F) Mouse mAb (upper) or GAPDH (D16H11) XP® Rabbit mAb #5174 (lower). Negative expression of Folate Receptor Alpha/FOLR1 protein in NCI-H1703 cells is consistent with the predicted expression pattern.
Western Blotting Image 2: Folate Receptor Alpha/FOLR1 (E8U2F) Mouse Monoclonal Antibody
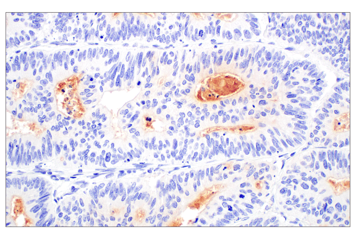
Immunohistochemical analysis of paraffin-embedded human colon adenocarcinoma using Folate Receptor Alpha/FOLR1 (E8U2F) Mouse mAb.
Immunohistochemistry Image 1: Folate Receptor Alpha/FOLR1 (E8U2F) Mouse Monoclonal Antibody
Orders: 877-616-CELL (2355) [email protected] Support: 877-678-TECH (8324) [email protected] Web: cellsignal.com
For Research Use Only. Not for Use in Diagnostic Procedures.

Revision 4

Cell Signaling Technology Logo
Immunohistochemical analysis of paraffin-embedded human non-small cell lung carcinoma using Folate Receptor Alpha/FOLR1 (E8U2F) Mouse mAb.
Immunohistochemistry Image 2: Folate Receptor Alpha/FOLR1 (E8U2F) Mouse Monoclonal Antibody
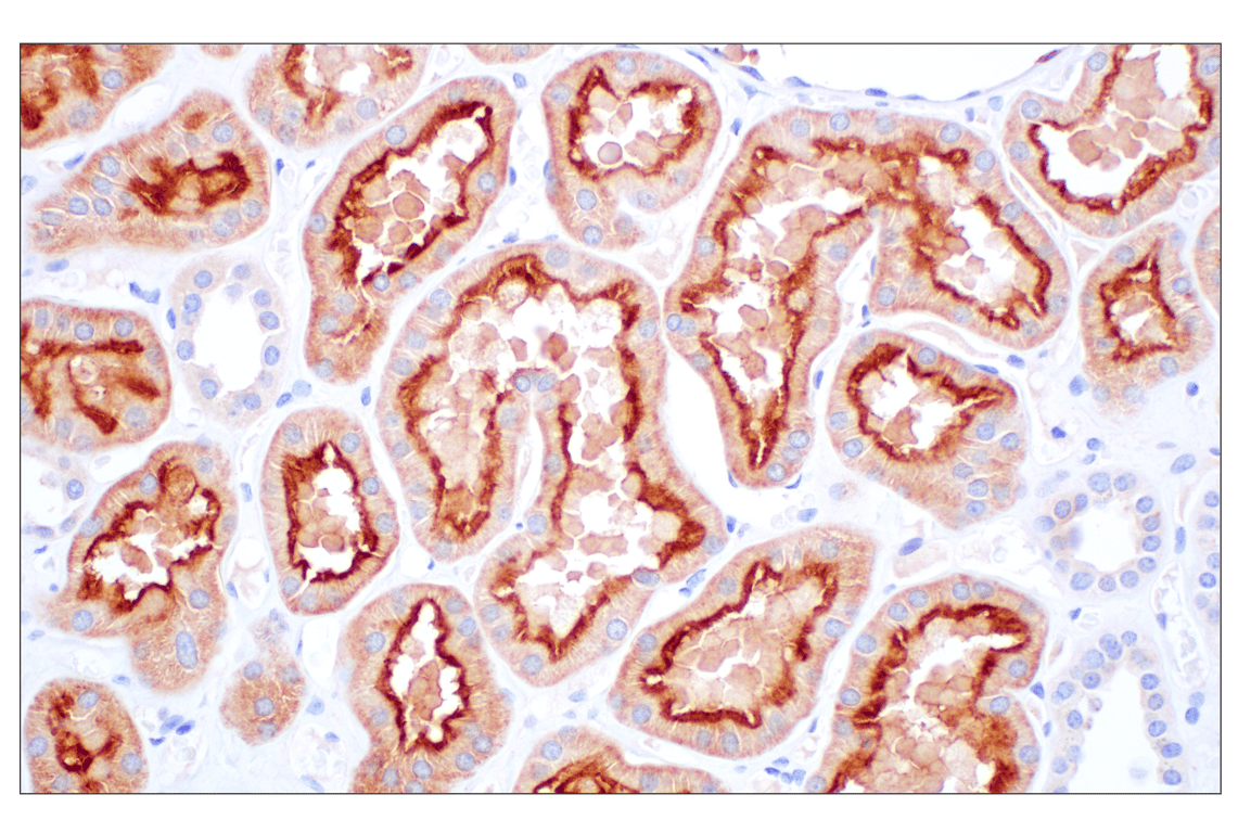
Immunohistochemical analysis of paraffin-embedded normal human kidney using Folate Receptor Alpha/FOLR1 (E8U2F) Mouse mAb.
Immunohistochemistry Image 3: Folate Receptor Alpha/FOLR1 (E8U2F) Mouse Monoclonal Antibody
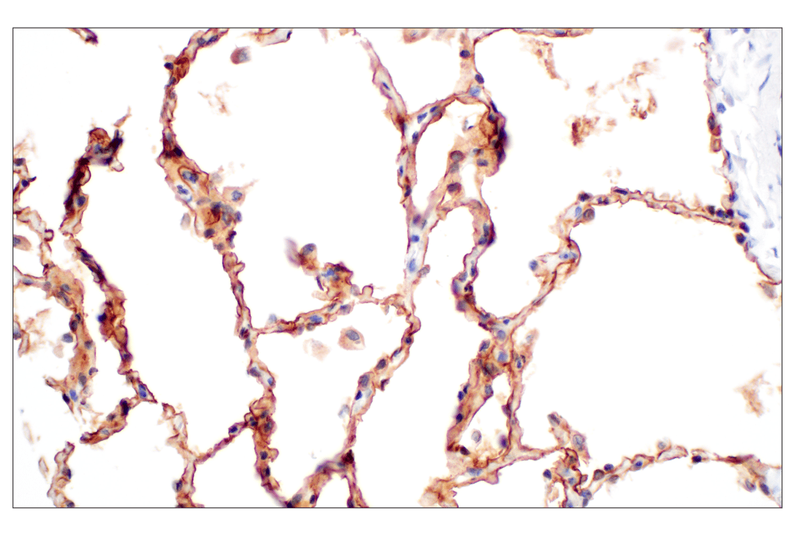
Immunohistochemical analysis of paraffin-embedded normal human lung using Folate Receptor Alpha/FOLR1 (E8U2F) Mouse mAb.
Immunohistochemistry Image 4: Folate Receptor Alpha/FOLR1 (E8U2F) Mouse Monoclonal Antibody
Orders: 877-616-CELL (2355) [email protected] Support: 877-678-TECH (8324) [email protected] Web: cellsignal.com
For Research Use Only. Not for Use in Diagnostic Procedures.

Revision 4

Cell Signaling Technology Logo
Immunohistochemical analysis of paraffin-embedded normal human placenta using Folate Receptor Alpha/FOLR1 (E8U2F) Mouse mAb.
Immunohistochemistry Image 5: Folate Receptor Alpha/FOLR1 (E8U2F) Mouse Monoclonal Antibody
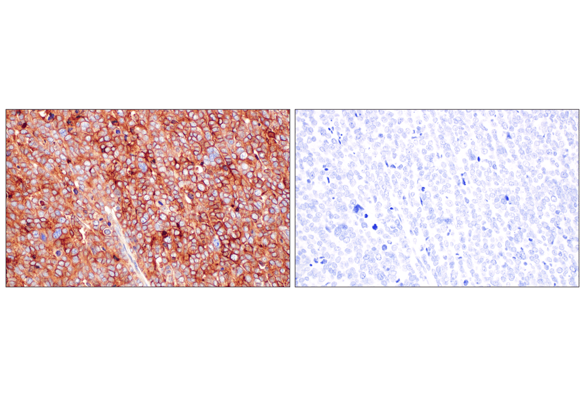
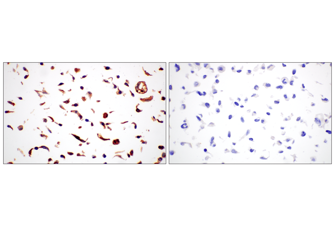
Immunohistochemical analysis of paraffin-embedded human ovarian serous adenocarcinoma using Folate Receptor Alpha/FOLR1 (E8U2F) Mouse mAb (left) compared to concentration-matched Mouse (G3A1) mAb IgG1 Isotype Control #5415 (right).
Immunohistochemistry Image 6: Folate Receptor Alpha/FOLR1 (E8U2F) Mouse Monoclonal Antibody
Immunohistochemical analysis of paraffin-embedded OVKATE cell pellet (left, positive) or NCI-H1703 cell pellet (right, negative) using Folate Receptor Alpha/FOLR1 (E8U2F) Mouse mAb.
Immunohistochemistry Image 7: Folate Receptor Alpha/FOLR1 (E8U2F) Mouse Monoclonal Antibody
Orders: 877-616-CELL (2355) [email protected] Support: 877-678-TECH (8324) [email protected] Web: cellsignal.com
For Research Use Only. Not for Use in Diagnostic Procedures.