Revision 5

#34858

Store at -20C

CST Logo
Orders:

877-616-CELL (2355)

[email protected]

Support:

877-678-TECH (8324)

3 Trask Lane | Danvers | Massachusetts | 01923 | USA

For Research Use Only. Not for Use in Diagnostic Procedures.

Applications:
W, IP, IHC-Bond, IHC-P, FC-FP

Reactivity:
H

Sensitivity:
Endogenous

MW (kDa):
100

Source/Isotype:
Rabbit IgG

UniProt ID:
#Q7Z7L1

Entrez-Gene Id:
91607

Product Usage Information

Application Dilution
Western Blotting 1:1000
Immunoprecipitation 1:100
IHC Leica Bond 1:100 - 1:400
Immunohistochemistry (Paraffin) 1:100 - 1:400
Flow Cytometry (Fixed/Permeabilized) 1:400 - 1:1600

Storage

Supplied in 10 mM sodium HEPES (pH 7.5), 150 mM NaCl, 100 µg/ml BSA, 50% glycerol and less than 0.02% sodium azide. Store at –20°C. Do not aliquot the antibody.

For a carrier free (BSA and azide free) version of this product see product #24571.

Specificity/Sensitivity

SLFN11 (D8W1B) Rabbit Monoclonal Antibody recognizes endogenous levels of total SLFN11 protein. Non-specific staining was observed in skeletal muscle.

Source / Purification

Monoclonal antibody is produced by immunizing animals with recombinant protein specific to human SLFN11 protein.

Background

SLFN11 is a nuclear protein that belongs to the Schlafen (SLFN) family of genes involved in cell cycle regulation and growth inhibition (1,2). Expression of SLFN11 predicts sensitivity of cancer cell lines to DNA-damaging agents (1,3). Evidence suggests that in the presence of DNA-targeted therapies, SLFN11 is recruited to stressed replication forks where it blocks replication, leading to cell death (4). SLFN11 is being explored as a predictive biomarker for response to DNA-targeted therapies (5).

Species Reactivity

Species reactivity is determined by testing in at least one approved application (e.g., western blot).

Western Blot Buffer

IMPORTANT: For western blots, incubate membrane with diluted primary antibody in 5% w/v nonfat dry milk, 1X TBS, 0.1% Tween® 20 at 4°C with gentle shaking, overnight.

Applications Key

W: Western Blotting IP: Immunoprecipitation IHC-Bond: IHC Leica Bond IHC-P: Immunohistochemistry (Paraffin) FC-FP: Flow Cytometry (Fixed/Permeabilized)

Cross-Reactivity Key

H: Human

Trademarks and Patents

Cell Signaling Technology is a trademark of Cell Signaling Technology, Inc.

Alexa Fluor is a registered trademark of Life Technologies Corporation.

All other trademarks are the property of their respective owners. Visit cellsignal.com/trademarks for more information.

Limited Uses

Except as otherwise expressly agreed in a writing signed by a legally authorized representative of CST, the following terms apply to Products provided by CST, its affiliates or its distributors. Any Customer's terms and conditions that are in addition to, or different from, those contained herein, unless separately accepted in writing by a legally authorized representative of CST, are rejected and are of no force or effect.

Products are labeled with For Research Use Only or a similar labeling statement and have not been approved, cleared, or licensed by the FDA or other regulatory foreign or domestic entity, for any purpose. Customer shall not use any Product for any diagnostic or therapeutic purpose, or otherwise in any manner that conflicts with its labeling statement. Products sold or licensed by CST are provided for Customer as the end-user and solely for research and development uses. Any use of Product for diagnostic, prophylactic or therapeutic purposes, or any purchase of Product for resale (alone or as a component) or other commercial purpose, requires a separate license from CST. Customer shall (a) not sell, license, loan, donate or otherwise transfer or make available any Product to any third party, whether alone or in combination with other materials, or use the Products to manufacture any commercial products, (b) not copy, modify, reverse engineer, decompile, disassemble or otherwise attempt to discover the underlying structure or technology of the Products, or use the Products for the purpose of developing any products or services that would compete with CST products or services, (c) not alter or remove from the Products any trademarks, trade names, logos, patent or copyright notices or markings, (d) use the Products solely in accordance with CST Product Terms of Sale and any applicable documentation, and (e) comply with any license, terms of service or similar agreement with respect to any third party products or services used by Customer in connection with the Products.

Orders: 877-616-CELL (2355) [email protected] Support: 877-678-TECH (8324) [email protected] Web: cellsignal.com
For Research Use Only. Not for Use in Diagnostic Procedures.

Revision 5

Cell Signaling Technology Logo
Western blot analysis of various cell lines using SLFN11 (D8W1B) Rabbit mAb (upper) or β-Actin (D6A8) Rabbit mAb #8457 (lower).
Western Blotting Image 1: SLFN11 (D8W1B) Rabbit Monoclonal Antibody
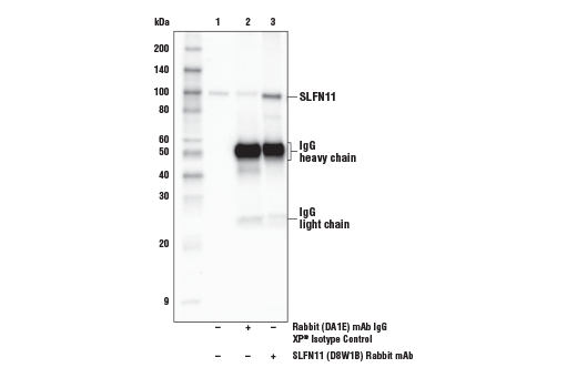
Immunoprecipitation of SLFN11 from DU 145 cell extracts. Lane 1 is 10% input, lane 2 is Rabbit (DA1E) mAb IgG XP® Isotype Control #3900, and lane 3 is SLFN11 (D8W1B) Rabbit mAb.
Immunoprecipitation Image 1: SLFN11 (D8W1B) Rabbit Monoclonal Antibody
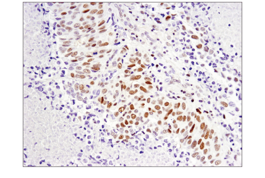
Immunohistochemical analysis of paraffin-embedded human colon adenocarcinoma using SLFN11 (D8W1B) Rabbit mAb performed on the Leica® BOND™ Rx.
Immunohistochemistry Image 1: SLFN11 (D8W1B) Rabbit Monoclonal Antibody
Orders: 877-616-CELL (2355) [email protected] Support: 877-678-TECH (8324) [email protected] Web: cellsignal.com
For Research Use Only. Not for Use in Diagnostic Procedures.

Revision 5

Cell Signaling Technology Logo
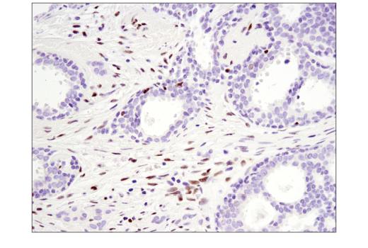
Immunohistochemical analysis of paraffin-embedded human infiltrating ductal carcinoma of the breast using SLFN11 (D8W1B) Rabbit mAb.
Immunohistochemistry Image 1: SLFN11 (D8W1B) Rabbit Monoclonal Antibody
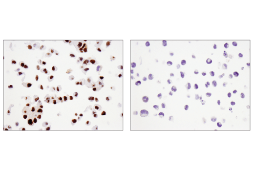
Immunohistochemical analysis of paraffin-embedded DU 145 cell pellet (left, positive) or K-562 cell pellet (right, negative) using SLFN11 (D8W1B) Rabbit mAb.
Immunohistochemistry Image 2: SLFN11 (D8W1B) Rabbit Monoclonal Antibody
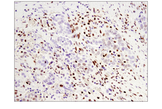
Immunohistochemical analysis of paraffin-embedded human lung adenocarcinoma using SLFN11 (D8W1B) Rabbit mAb.
Immunohistochemistry Image 3: SLFN11 (D8W1B) Rabbit Monoclonal Antibody
Orders: 877-616-CELL (2355) [email protected] Support: 877-678-TECH (8324) [email protected] Web: cellsignal.com
For Research Use Only. Not for Use in Diagnostic Procedures.

Revision 5

Cell Signaling Technology Logo
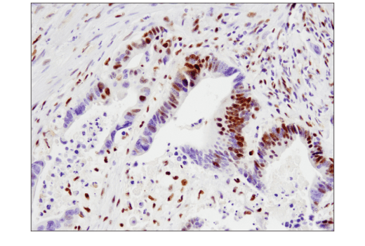
Immunohistochemical analysis of paraffin-embedded human serous carcinoma of the ovary using SLFN11 (D8W1B) Rabbit mAb.
Immunohistochemistry Image 4: SLFN11 (D8W1B) Rabbit Monoclonal Antibody
Flow cytometric analysis of K-562 cells (blue) and DU 145 cells (green) using SLFN11 (D8W1B) Rabbit mAb (solid lines) or a concentration-matched Rabbit (DA1E) mAb IgG XP® Isotype Control #3900 (dashed lines). Anti-rabbit IgG (H+L), F(ab')2 Fragment (Alexa Fluor® 488 Conjugate) #4412 was used as a secondary antibody.
Flow Cytometry Image 1: SLFN11 (D8W1B) Rabbit Monoclonal Antibody
Orders: 877-616-CELL (2355) [email protected] Support: 877-678-TECH (8324) [email protected] Web: cellsignal.com
For Research Use Only. Not for Use in Diagnostic Procedures.