Revision 1

#35176

Store at -20C

CST Logo
Orders:

877-616-CELL (2355)

[email protected]

Support:

877-678-TECH (8324)

3 Trask Lane | Danvers | Massachusetts | 01923 | USA

For Research Use Only. Not for Use in Diagnostic Procedures.

Applications:
W, IHC-P, FC-FP

Reactivity:
H

Sensitivity:
Endogenous

MW (kDa):
90

Source/Isotype:
Rabbit IgG

UniProt ID:
#Q9H3S1

Entrez-Gene Id:
64218

Product Usage Information

This product is the carrier free version of product #57331. All data were generated using the same antibody clone in the standard formulation which contains BSA and glycerol.

This formulation is ideal for use with technologies requiring specialized or custom antibody labeling, including fluorophores, metals, lanthanides, and oligonucleotides. It is not recommended for ChIP, ChIP-seq, CUT&RUN or CUT&Tag assays. If you require a carrier free formulation for chromatin profiling, please contact us. Optimal dilutions/concentrations should be determined by the end user.

BSA and Azide Free antibodies are quality control tested by size exclusion chromatography (SEC) to determine antibody integrity.

Formulation

Supplied in 1X PBS (10 mM Na2HPO4, 3 mM KCl, 2 mM KH2PO4, and 140 mM NaCl (pH 7.8)). BSA and Azide Free.

For standard formulation of this product see product #57331

Storage

Store at -20°C. This product will freeze at -20°C so it is recommended to aliquot into single-use vials to avoid multiple freeze/thaw cycles. A slight precipitate may be present and can be dissolved by gently vortexing. This will not interfere with antibody performance.

Specificity/Sensitivity

Semaphorin-4A (E5N3K) Rabbit Monoclonal Antibody (BSA and Azide Free) recognizes endogenous levels of total Semaphorin-4A protein. An unknown background band is detected at 55 kDa in some cell lines.

Source / Purification

Monoclonal antibody is produced by immunizing animals with a synthetic peptide corresponding to residues surrounding Leu756 of human Semaphorin-4A protein.

Background

Semaphorin-4A, or Sema4A, is a membrane-type class IV semaphorin family member glycoprotein and is expressed in dendritic cells, B cells, T cells, and endothelial cells (1). The protein structure consists of an N-terminus signal peptide, a sema domain, a C2 type Ig domain, a transmembrane region, and a cytoplasmic tail (2). Semaphorin-4A exerts diverse biological effects through several different receptor-mediated pathways and plays important roles in immunity, angiogenesis, neuronal migration, and tumor progression. Semaphorin-4A enhances T cell activation by interacting with TIM-2, and T cell-derived Semaphorin-4A plays a role in helper T cell (Th) differentiation (3,4). In regulatory T cells (Tregs), Semaphorin-4A plays an important role in enhancing stability through interactions with neuropilin-1 (Nrp1) (5). Semaphorin-4A interacts with Plexin D1, which is expressed in endothelial cells and negatively regulates angiogenesis (6). In presynaptic neurons, Semaphorin-4A promotes the development of inhibitory or excitatory synapses through interactions with Plexin B1 or Plexin B2, respectively (7). Semaphorin-4A has been identified as a therapeutic target to promote antitumor responses, and its expression in the tumor microenvironment (TME) has been suggested as a biomarker to predict response to immunotherapy (8).

Species Reactivity

Species reactivity is determined by testing in at least one approved application (e.g., western blot).

Applications Key

W: Western Blotting IHC-P: Immunohistochemistry (Paraffin) FC-FP: Flow Cytometry (Fixed/Permeabilized)

Cross-Reactivity Key

H: Human

Trademarks and Patents

Cell Signaling Technology is a trademark of Cell Signaling Technology, Inc.

KARPAS cell line source: Dr. Abraham Karpas at the University of Cambridge.

All other trademarks are the property of their respective owners. Visit cellsignal.com/trademarks for more information.

Limited Uses

Except as otherwise expressly agreed in a writing signed by a legally authorized representative of CST, the following terms apply to Products provided by CST, its affiliates or its distributors. Any Customer's terms and conditions that are in addition to, or different from, those contained herein, unless separately accepted in writing by a legally authorized representative of CST, are rejected and are of no force or effect.

Products are labeled with For Research Use Only or a similar labeling statement and have not been approved, cleared, or licensed by the FDA or other regulatory foreign or domestic entity, for any purpose. Customer shall not use any Product for any diagnostic or therapeutic purpose, or otherwise in any manner that conflicts with its labeling statement. Products sold or licensed by CST are provided for Customer as the end-user and solely for research and development uses. Any use of Product for diagnostic, prophylactic or therapeutic purposes, or any purchase of Product for resale (alone or as a component) or other commercial purpose, requires a separate license from CST. Customer shall (a) not sell, license, loan, donate or otherwise transfer or make available any Product to any third party, whether alone or in combination with other materials, or use the Products to manufacture any commercial products, (b) not copy, modify, reverse engineer, decompile, disassemble or otherwise attempt to discover the underlying structure or technology of the Products, or use the Products for the purpose of developing any products or services that would compete with CST products or services, (c) not alter or remove from the Products any trademarks, trade names, logos, patent or copyright notices or markings, (d) use the Products solely in accordance with CST Product Terms of Sale and any applicable documentation, and (e) comply with any license, terms of service or similar agreement with respect to any third party products or services used by Customer in connection with the Products.

Orders: 877-616-CELL (2355) [email protected] Support: 877-678-TECH (8324) [email protected] Web: cellsignal.com
For Research Use Only. Not for Use in Diagnostic Procedures.

Revision 1

Cell Signaling Technology Logo
Western blot analysis of extracts from various cell lines using Semaphorin-4A (E5N3K) Rabbit mAb (upper) or β-Actin (D6A8) Rabbit mAb #8457 (lower). Data were generated using the standard formulation of this product.
Western Blotting Image 1: Semaphorin-4A (E5N3K) Rabbit Monoclonal Antibody (BSA and Azide Free)
Immunohistochemical analysis of paraffin-embedded human non-Hodgkin lymphoma using Semaphorin-4A (E5N3K) Rabbit mAb. Data were generated using the standard formulation of this product.
Immunohistochemistry Image 1: Semaphorin-4A (E5N3K) Rabbit Monoclonal Antibody (BSA and Azide Free)
Immunohistochemical analysis of paraffin-embedded human ovarian clear cell carcinoma using Semaphorin-4A (E5N3K) Rabbit mAb. Data were generated using the standard formulation of this product.
Immunohistochemistry Image 2: Semaphorin-4A (E5N3K) Rabbit Monoclonal Antibody (BSA and Azide Free)
Orders: 877-616-CELL (2355) [email protected] Support: 877-678-TECH (8324) [email protected] Web: cellsignal.com
For Research Use Only. Not for Use in Diagnostic Procedures.

Revision 1

Cell Signaling Technology Logo
Immunohistochemical analysis of paraffin-embedded human endometrioid adenocarcinoma using Semaphorin-4A (E5N3K) Rabbit mAb. Data were generated using the standard formulation of this product.
Immunohistochemistry Image 3: Semaphorin-4A (E5N3K) Rabbit Monoclonal Antibody (BSA and Azide Free)
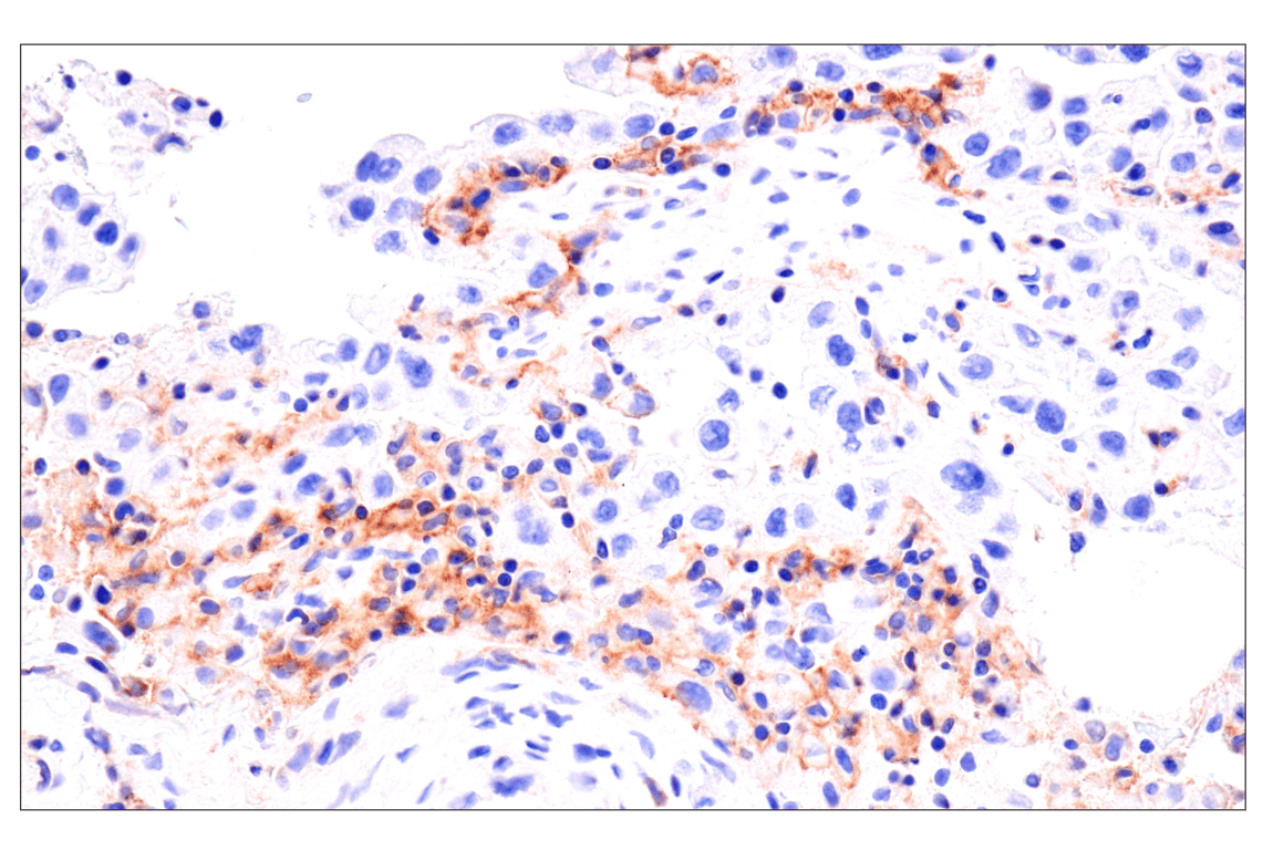
Immunohistochemical analysis of paraffin-embedded human squamous cell lung carcinoma using Semaphorin-4A (E5N3K) Rabbit mAb. Data were generated using the standard formulation of this product.
Immunohistochemistry Image 4: Semaphorin-4A (E5N3K) Rabbit Monoclonal Antibody (BSA and Azide Free)
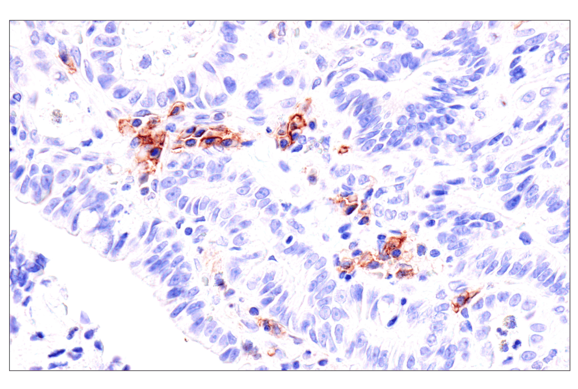
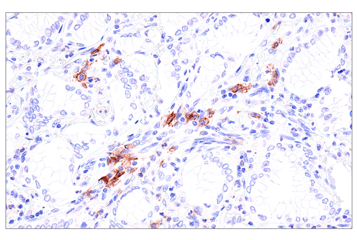
Immunohistochemical analysis of paraffin-embedded human lung adenocarcinoma using Semaphorin-4A (E5N3K) Rabbit mAb. Data were generated using the standard formulation of this product.
Immunohistochemistry Image 5: Semaphorin-4A (E5N3K) Rabbit Monoclonal Antibody (BSA and Azide Free)
Orders: 877-616-CELL (2355) [email protected] Support: 877-678-TECH (8324) [email protected] Web: cellsignal.com
For Research Use Only. Not for Use in Diagnostic Procedures.

Revision 1

Cell Signaling Technology Logo
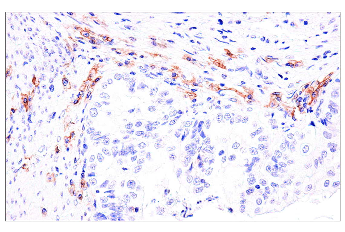
Immunohistochemical analysis of paraffin-embedded human esophageal carcinoma using Semaphorin-4A (E5N3K) Rabbit mAb. Data were generated using the standard formulation of this product.
Immunohistochemistry Image 6: Semaphorin-4A (E5N3K) Rabbit Monoclonal Antibody (BSA and Azide Free)
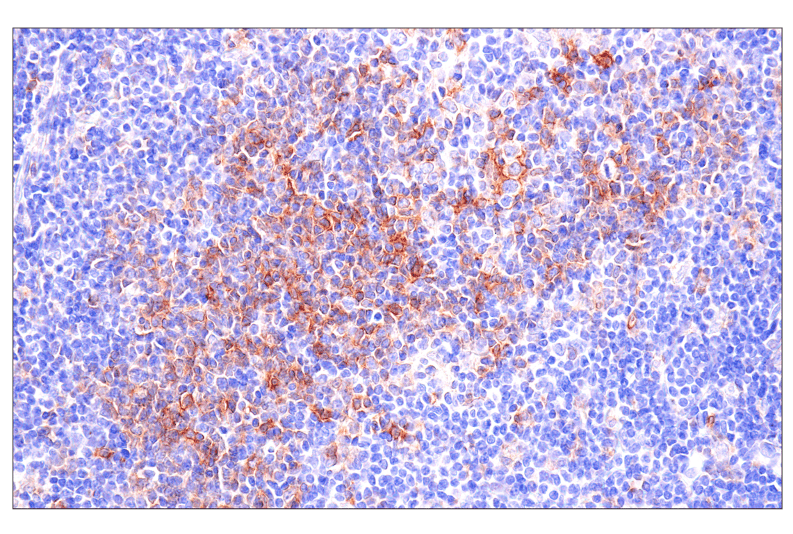
Immunohistochemical analysis of paraffin-embedded human tonsil using Semaphorin-4A (E5N3K) Rabbit mAb. Data were generated using the standard formulation of this product.
Immunohistochemistry Image 7: Semaphorin-4A (E5N3K) Rabbit Monoclonal Antibody (BSA and Azide Free)
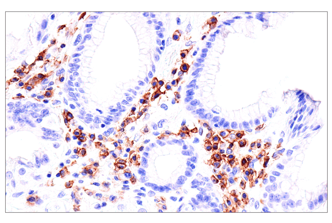
Immunohistochemical analysis of paraffin-embedded normal human small intestine using Semaphorin-4A (E5N3K) Rabbit mAb. Data were generated using the standard formulation of this product.
Immunohistochemistry Image 8: Semaphorin-4A (E5N3K) Rabbit Monoclonal Antibody (BSA and Azide Free)
Orders: 877-616-CELL (2355) [email protected] Support: 877-678-TECH (8324) [email protected] Web: cellsignal.com
For Research Use Only. Not for Use in Diagnostic Procedures.

Revision 1

Cell Signaling Technology Logo
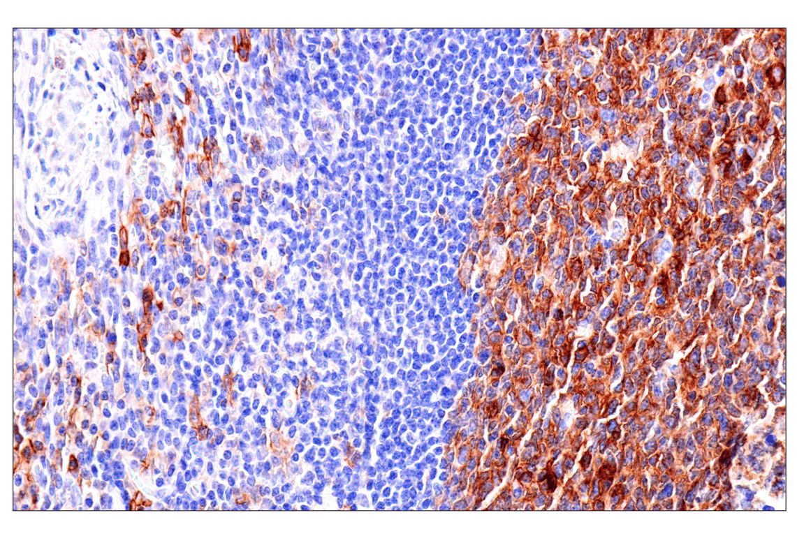
Immunohistochemical analysis of paraffin-embedded normal human thymus using Semaphorin-4A (E5N3K) Rabbit mAb (left) compared to concentration-matched Rabbit (DA1E) mAb IgG XP® Isotype Control #3900 (right). Data were generated using the standard formulation of this product.
Immunohistochemistry Image 9: Semaphorin-4A (E5N3K) Rabbit Monoclonal Antibody (BSA and Azide Free)
Immunohistochemical analysis of paraffin-embedded RL cell pellet (left, positive) or A549 cell pellet (right, negative) using Semaphorin-4A (E5N3K) Rabbit mAb. Data were generated using the standard formulation of this product.
Immunohistochemistry Image 10: Semaphorin-4A (E5N3K) Rabbit Monoclonal Antibody (BSA and Azide Free)
Flow cytometric analysis of fixed/permeabilized A549 cells (blue, negative) and RL cells (green, positive) using Semaphorin-4A (E5N3K) Rabbit mAb (solid lines) or concentration-matched Rabbit (DA1E) mAb IgG XP® Isotype Control #3900 (dashed lines). Anti-rabbit IgG (H+L), F(ab')2 Fragment (Alexa Fluor® 488 Conjugate) #4412 was used as a secondary antibody. Data were generated using the standard formulation of this product.
Flow Cytometry Image 1: Semaphorin-4A (E5N3K) Rabbit Monoclonal Antibody (BSA and Azide Free)
Orders: 877-616-CELL (2355) [email protected] Support: 877-678-TECH (8324) [email protected] Web: cellsignal.com
For Research Use Only. Not for Use in Diagnostic Procedures.

Revision 1

Cell Signaling Technology Logo
Flow cytometric analysis of fixed/permeabilized peripheral blood mononuclear cells using Semaphorin-4A (E5N3K) Rabbit mAb (right) or concentration-matched Rabbit (DA1E) mAb IgG XP® Isotype Control #3900 (left), co-stained with CD14 (61D3) Mouse mAb (FITC Conjugate) #29943. Anti-rabbit IgG (H+L), F(ab’)2 Fragment (Alexa Fluor 647® Conjugate) #4414 was used as a secondary antibody. Data were generated using the standard formulation of this product.
Flow Cytometry Image 2: Semaphorin-4A (E5N3K) Rabbit Monoclonal Antibody (BSA and Azide Free)
Orders: 877-616-CELL (2355) [email protected] Support: 877-678-TECH (8324) [email protected] Web: cellsignal.com
For Research Use Only. Not for Use in Diagnostic Procedures.