Revision 1

#35396

Store at -20C

CST Logo
Orders:

877-616-CELL (2355)

[email protected]

Support:

877-678-TECH (8324)

3 Trask Lane | Danvers | Massachusetts | 01923 | USA

For Research Use Only. Not for Use in Diagnostic Procedures.

Applications:
W, IP

Reactivity:
H M R

Sensitivity:
Endogenous

MW (kDa):
140-150

Source/Isotype:
Rabbit

UniProt ID:
#Q8TEV9

Entrez-Gene Id:
140775

Product Usage Information

Application Dilution
Western Blotting 1:1000
Immunoprecipitation 1:50

Storage

Supplied in 10 mM sodium HEPES (pH 7.5), 150 mM NaCl, 100 µg/ml BSA and 50% glycerol. Store at –20°C. Do not aliquot the antibody.

Specificity/Sensitivity

SMCR8 Antibody recognizes endogenous levels of total SMCR8 protein. A band of unknown origin is detected at around 70 kDa.

Source / Purification

Polyclonal antibodies are produced by immunizing animals with a synthetic peptide corresponding to residues surrounding Ala540 of human SMCR8 protein. Antibodies are purified by protein A and peptide affinity chromatography.

Background

SMCR8 (Smith-Magenis chromosome region 8) was characterized as a member of the DENN (differentially expressed in normal and neoplastic cells) domain family that typically function in intracellular membrane trafficking as guanine exchange factors for Rab GTPases (1). Deletion of the SMCR8 gene was found in patients having Smith-Magenis syndrome, a rare developmental disorder (2,3). SMCR8 interacts with another DENN protein C9orf72, and the WD repeat containing protein WDR41, that function as a guanine exchange factor for Rab8a and Rab39b and regulate autophagy (4). Interestingly, C9orf72 is also associated with neurodegenerative diseases including amyotrophic lateral sclerosis (ALS) and frontotemporal dementia (FTD) (5,6). C9orf72 and SMCR8 were found to have multifaceted roles in autophagy and lysosomal signaling (reviewed 7). SMCR8 can be phosphorylated by kinases with roles in autophagy including TBK1 and ULK1 (4). Indeed, the complex containing C9orf72, SMCR8, and WDR41 associates with the ULK1 complex essential for initiation of autophagy (8). Furthermore, SMCR8 was found in an RNAi screen as a regulator of ULK1 activity and both initiation and maturation of autophagosomes (9). Knockdown of SMCR8 in vivo has led to inflammatory and autoimmune phenotypes as well as inhibition of autophagy, elevated activity of mTORC1 and Akt, and decreased lysosomal biogenesis (10-13).

Species Reactivity

Species reactivity is determined by testing in at least one approved application (e.g., western blot).

Western Blot Buffer

IMPORTANT: For western blots, incubate membrane with diluted primary antibody in 5% w/v BSA, 1X TBS, 0.1% Tween® 20 at 4°C with gentle shaking, overnight.

Applications Key

W: Western Blotting IP: Immunoprecipitation

Cross-Reactivity Key

H: Human M: Mouse R: Rat

Trademarks and Patents

Cell Signaling Technology is a trademark of Cell Signaling Technology, Inc.

All other trademarks are the property of their respective owners. Visit cellsignal.com/trademarks for more information.

Limited Uses

Except as otherwise expressly agreed in a writing signed by a legally authorized representative of CST, the following terms apply to Products provided by CST, its affiliates or its distributors. Any Customer's terms and conditions that are in addition to, or different from, those contained herein, unless separately accepted in writing by a legally authorized representative of CST, are rejected and are of no force or effect.

Products are labeled with For Research Use Only or a similar labeling statement and have not been approved, cleared, or licensed by the FDA or other regulatory foreign or domestic entity, for any purpose. Customer shall not use any Product for any diagnostic or therapeutic purpose, or otherwise in any manner that conflicts with its labeling statement. Products sold or licensed by CST are provided for Customer as the end-user and solely for research and development uses. Any use of Product for diagnostic, prophylactic or therapeutic purposes, or any purchase of Product for resale (alone or as a component) or other commercial purpose, requires a separate license from CST. Customer shall (a) not sell, license, loan, donate or otherwise transfer or make available any Product to any third party, whether alone or in combination with other materials, or use the Products to manufacture any commercial products, (b) not copy, modify, reverse engineer, decompile, disassemble or otherwise attempt to discover the underlying structure or technology of the Products, or use the Products for the purpose of developing any products or services that would compete with CST products or services, (c) not alter or remove from the Products any trademarks, trade names, logos, patent or copyright notices or markings, (d) use the Products solely in accordance with CST Product Terms of Sale and any applicable documentation, and (e) comply with any license, terms of service or similar agreement with respect to any third party products or services used by Customer in connection with the Products.

Orders: 877-616-CELL (2355) [email protected] Support: 877-678-TECH (8324) [email protected] Web: cellsignal.com
For Research Use Only. Not for Use in Diagnostic Procedures.

Revision 1

Cell Signaling Technology Logo
Western blot analysis of extracts from 293T cells, untransfected (-) or transfected with a construct expressing full-length mouse SMCR8 (mSMCR8; +), using SMCR8 Antibody.
Western Blotting Image 1: SMCR8 Antibody
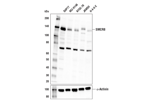
Western blot analysis of extracts from various cell lines using SMCR8 Antibody (upper) or α-Actinin (D6F6) XP® Rabbit mAb #6487 (lower).
Western Blotting Image 2: SMCR8 Antibody
Immunoprecipitation of SMCR8 from SHP77 cell extracts. Lane 1 is 10% input, lane 2 is Normal Rabbit IgG #2729, and lane 3 is SMCR8 Antibody. Western blot analysis was performed using SMCR8 Antibody. Anti-rabbit IgG, HRP-linked Antibody #7074 was used as a secondary antibody.
Immunoprecipitation Image 1: SMCR8 Antibody
Orders: 877-616-CELL (2355) [email protected] Support: 877-678-TECH (8324) [email protected] Web: cellsignal.com
For Research Use Only. Not for Use in Diagnostic Procedures.