Revision 5

#3557

Store at -20C

CST Logo
Orders:

877-616-CELL (2355)

[email protected]

Support:

877-678-TECH (8324)

3 Trask Lane | Danvers | Massachusetts | 01923 | USA

For Research Use Only. Not for Use in Diagnostic Procedures.

Applications:
W, IHC-P

Reactivity:
H M R Mk

Sensitivity:
Endogenous

MW (kDa):
78

Source/Isotype:
Rabbit IgG

UniProt ID:
#P21980

Entrez-Gene Id:
7052

Product Usage Information

Application Dilution
Western Blotting 1:1000
Immunohistochemistry (Paraffin) 1:100

Storage

Supplied in 10 mM sodium HEPES (pH 7.5), 150 mM NaCl, 100 µg/ml BSA, 50% glycerol and less than 0.02% sodium azide. Store at –20°C. Do not aliquot the antibody.

For a carrier free (BSA and azide free) version of this product see product #56184.

Specificity/Sensitivity

TGM2 (D11A6) Rabbit Monoclonal Antibody detects endogenous levels of total TGM2 protein.

Source / Purification

Monoclonal antibody is produced by immunizing animals with a synthetic peptide corresponding to residues surrounding Lys598 of human TGM2.

Background

Transglutaminase 2 (TGM2) is a calcium-dependent enzyme that cross-links both cytosolic and extracellular matrix proteins by catalyzing the formation of bonds between lysine and glutamine residues (1). This bifunctional enzyme also has intrinsic GTPase activity, and it has been suggested that regulation of the transamidase activity might be regulated through a G-protein coupled receptor-signaling pathway (2). In cross-linking peptides, TGM2 helps to regulate cytoskeletal structure, cell migration, apoptosis and cell-matrix adhesion. In addition, the enzyme plays an important role in wound healing and the immune response (3). TGM2 has exhibited kinase activity in vitro, with insulin-like growth factor-binding protein-3 (IGFBP-3) as one possible substrate (4). This widely expressed protein is localized to the cytosol and nucleus, but has also been isolated from the cell surface and extracellular matrix (reviewed in 5). Because of its interaction with a number of different substrates, and its role in the response to injury, TGM2 has been associated with the pathology of a number of human disorders. It has long been recognized as the major autoantigen in celiac disease (6); altered TGM2 expression or activity may be associated with Alzheimer disease, Huntington disease, arteriosclerosis, diabetes, and numerous forms of cancer (reviewed in 7).

Species Reactivity

Species reactivity is determined by testing in at least one approved application (e.g., western blot).

Western Blot Buffer

IMPORTANT: For western blots, incubate membrane with diluted primary antibody in 5% w/v BSA, 1X TBS, 0.1% Tween® 20 at 4°C with gentle shaking, overnight.

Applications Key

W: Western Blotting IHC-P: Immunohistochemistry (Paraffin)

Cross-Reactivity Key

H: Human M: Mouse R: Rat Mk: Monkey

Trademarks and Patents

Cell Signaling Technology is a trademark of Cell Signaling Technology, Inc.

All other trademarks are the property of their respective owners. Visit cellsignal.com/trademarks for more information.

Limited Uses

Except as otherwise expressly agreed in a writing signed by a legally authorized representative of CST, the following terms apply to Products provided by CST, its affiliates or its distributors. Any Customer's terms and conditions that are in addition to, or different from, those contained herein, unless separately accepted in writing by a legally authorized representative of CST, are rejected and are of no force or effect.

Products are labeled with For Research Use Only or a similar labeling statement and have not been approved, cleared, or licensed by the FDA or other regulatory foreign or domestic entity, for any purpose. Customer shall not use any Product for any diagnostic or therapeutic purpose, or otherwise in any manner that conflicts with its labeling statement. Products sold or licensed by CST are provided for Customer as the end-user and solely for research and development uses. Any use of Product for diagnostic, prophylactic or therapeutic purposes, or any purchase of Product for resale (alone or as a component) or other commercial purpose, requires a separate license from CST. Customer shall (a) not sell, license, loan, donate or otherwise transfer or make available any Product to any third party, whether alone or in combination with other materials, or use the Products to manufacture any commercial products, (b) not copy, modify, reverse engineer, decompile, disassemble or otherwise attempt to discover the underlying structure or technology of the Products, or use the Products for the purpose of developing any products or services that would compete with CST products or services, (c) not alter or remove from the Products any trademarks, trade names, logos, patent or copyright notices or markings, (d) use the Products solely in accordance with CST Product Terms of Sale and any applicable documentation, and (e) comply with any license, terms of service or similar agreement with respect to any third party products or services used by Customer in connection with the Products.

Orders: 877-616-CELL (2355) [email protected] Support: 877-678-TECH (8324) [email protected] Web: cellsignal.com
For Research Use Only. Not for Use in Diagnostic Procedures.

Revision 5

Cell Signaling Technology Logo
Western blot analysis of extracts from various cell lines using TGM2 (D11A6) XP® Rabbit mAb.
Western Blotting Image 1: TGM2 (D11A6) Rabbit Monoclonal Antibody
Western blot analysis of A549 extracts from WT (left) or TGM2 KO (right) using TGM2 (D11A6) XP® Rabbit mAb. Membranes stained with Ponceau S for total protein normalization (lower). These data were provided by YCharOS Inc., an open science company with the mission of characterizing commercially available antibodies, as a companion to validation data generated by CST scientists.
Western Blotting Image 2: TGM2 (D11A6) Rabbit Monoclonal Antibody
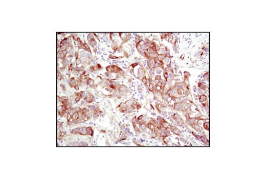
Immunohistochemical analysis of paraffin-embedded human breast carcinoma using TGM2 (D11A6) XP® Rabbit mAb.
Immunohistochemistry Image 1: TGM2 (D11A6) Rabbit Monoclonal Antibody
Orders: 877-616-CELL (2355) [email protected] Support: 877-678-TECH (8324) [email protected] Web: cellsignal.com
For Research Use Only. Not for Use in Diagnostic Procedures.

Revision 5

Cell Signaling Technology Logo
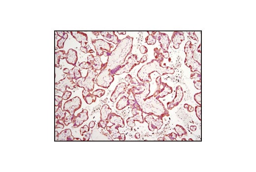
Immunohistochemical analysis of paraffin-embedded human placenta using TGM2 (D11A6) XP® Rabbit mAb.
Immunohistochemistry Image 2: TGM2 (D11A6) Rabbit Monoclonal Antibody
Orders: 877-616-CELL (2355) [email protected] Support: 877-678-TECH (8324) [email protected] Web: cellsignal.com
For Research Use Only. Not for Use in Diagnostic Procedures.