Revision 3

#36090

Store at -20C

CST Logo
Orders:

877-616-CELL (2355)

[email protected]

Support:

877-678-TECH (8324)

3 Trask Lane | Danvers | Massachusetts | 01923 | USA

For Research Use Only. Not for Use in Diagnostic Procedures.

Applications:
W, W-S, IHC-P, IF-F, IF-IC

Reactivity:
H M R

Sensitivity:
Endogenous

MW (kDa):
23

Source/Isotype:
Rabbit IgG

UniProt ID:
#Q01995

Entrez-Gene Id:
6876

Product Usage Information

Application Dilution
Western Blotting 1:1000
Simple Western™ 1:10 - 1:50
Immunohistochemistry (Paraffin) 1:200 - 1:800
Immunofluorescence (Frozen) 1:800 - 1:1600
Immunofluorescence (Immunocytochemistry) 1:50 - 1:200

Storage

Supplied in 10 mM sodium HEPES (pH 7.5), 150 mM NaCl, 100 µg/mL BSA, 50% glycerol, and less than 0.02% sodium azide. Store at –20°C. Do not aliquot the antibody.

Specificity/Sensitivity

Transgelin/TAGLN (F3B7H) Rabbit Monoclonal Antibody recognizes endogenous levels of total Transgelin/TAGLN protein.

Source / Purification

Monoclonal antibody is produced by immunizing animals with a synthetic peptide corresponding to residues near the carboxy terminus of human Transgelin/TAGLN protein.

Background

Transgelin (TAGLN, SM22α) is an actin-binding protein of the calponin family. It contains an amino-terminal calponin homology domain and a carboxy-terminal calponin-like module domain required for actin binding (1,2). TAGLN is a TGF-β inducible gene that is abundantly expressed in visceral and vascular smooth muscle cells, and is often used as an early marker of smooth muscle differentiation (3-5). TAGLN expression has also been shown in brain pericytes, providing use in studying the blood brain barrier (6). Altered levels of TAGLN are seen in multiple cancer types, including colorectal, breast, and prostate cancer (4).

Species Reactivity

Species reactivity is determined by testing in at least one approved application (e.g., western blot).

Western Blot Buffer

IMPORTANT: For western blots, incubate membrane with diluted primary antibody in 5% w/v BSA, 1X TBS, 0.1% Tween® 20 at 4°C with gentle shaking, overnight.

Applications Key

W: Western Blotting W-S: Simple Western™ IHC-P: Immunohistochemistry (Paraffin) IF-F: Immunofluorescence (Frozen) IF-IC: Immunofluorescence (Immunocytochemistry)

Cross-Reactivity Key

H: Human M: Mouse R: Rat

Trademarks and Patents

Cell Signaling Technology is a trademark of Cell Signaling Technology, Inc.

All other trademarks are the property of their respective owners. Visit cellsignal.com/trademarks for more information.

Limited Uses

Except as otherwise expressly agreed in a writing signed by a legally authorized representative of CST, the following terms apply to Products provided by CST, its affiliates or its distributors. Any Customer's terms and conditions that are in addition to, or different from, those contained herein, unless separately accepted in writing by a legally authorized representative of CST, are rejected and are of no force or effect.

Products are labeled with For Research Use Only or a similar labeling statement and have not been approved, cleared, or licensed by the FDA or other regulatory foreign or domestic entity, for any purpose. Customer shall not use any Product for any diagnostic or therapeutic purpose, or otherwise in any manner that conflicts with its labeling statement. Products sold or licensed by CST are provided for Customer as the end-user and solely for research and development uses. Any use of Product for diagnostic, prophylactic or therapeutic purposes, or any purchase of Product for resale (alone or as a component) or other commercial purpose, requires a separate license from CST. Customer shall (a) not sell, license, loan, donate or otherwise transfer or make available any Product to any third party, whether alone or in combination with other materials, or use the Products to manufacture any commercial products, (b) not copy, modify, reverse engineer, decompile, disassemble or otherwise attempt to discover the underlying structure or technology of the Products, or use the Products for the purpose of developing any products or services that would compete with CST products or services, (c) not alter or remove from the Products any trademarks, trade names, logos, patent or copyright notices or markings, (d) use the Products solely in accordance with CST Product Terms of Sale and any applicable documentation, and (e) comply with any license, terms of service or similar agreement with respect to any third party products or services used by Customer in connection with the Products.

Orders: 877-616-CELL (2355) [email protected] Support: 877-678-TECH (8324) [email protected] Web: cellsignal.com
For Research Use Only. Not for Use in Diagnostic Procedures.

Revision 3

Cell Signaling Technology Logo
Western blot analysis of extracts from various cell lines using Transgelin/TAGLN (F3B7H) Rabbit mAb (upper) or β-Actin (D6A8) Rabbit mAb #8457 (lower). Negative expression of Transgelin/TAGLN protein in RBL-1 cells is consistent with the predicted expression pattern.
Western Blotting Image 1: Transgelin/TAGLN (F3B7H) Rabbit Monoclonal Antibody
Western blot analysis of extracts from 293T cells, mock transfected (-) or transfected with a construct expressing full-length human Transgelin/TAGLN (hTAGLN; +), using Transgelin/TAGLN (F3B7H) Rabbit mAb (upper), Myc-Tag (71D10) Rabbit mAb #2278 (middle), or β-Actin (D6A8) Rabbit mAb #8457 (lower).
Western Blotting Image 2: Transgelin/TAGLN (F3B7H) Rabbit Monoclonal Antibody
Simple Western™ analysis of lysates (0.5 mg/mL) from C2C12 cells using Transgelin/TAGLN (F3B7H) Rabbit mAb #36090. The virtual lane view (left) shows a single target band (as indicated) at 1:10 and 1:50 dilutions of primary antibody. The corresponding electropherogram view (right) plots chemiluminescence by molecular weight along the capillary at 1:10 (blue line) and 1:50 (green line) dilutions of primary antibody. This experiment was performed under reducing conditions on the Jess™ ​​​​​​​ Simple Western instrument from ProteinSimple, a BioTechne brand, using the 12-230 kDa separation module.
Western Blotting Image 1: Transgelin/TAGLN (F3B7H) Rabbit Monoclonal Antibody
Orders: 877-616-CELL (2355) [email protected] Support: 877-678-TECH (8324) [email protected] Web: cellsignal.com
For Research Use Only. Not for Use in Diagnostic Procedures.

Revision 3

Cell Signaling Technology Logo
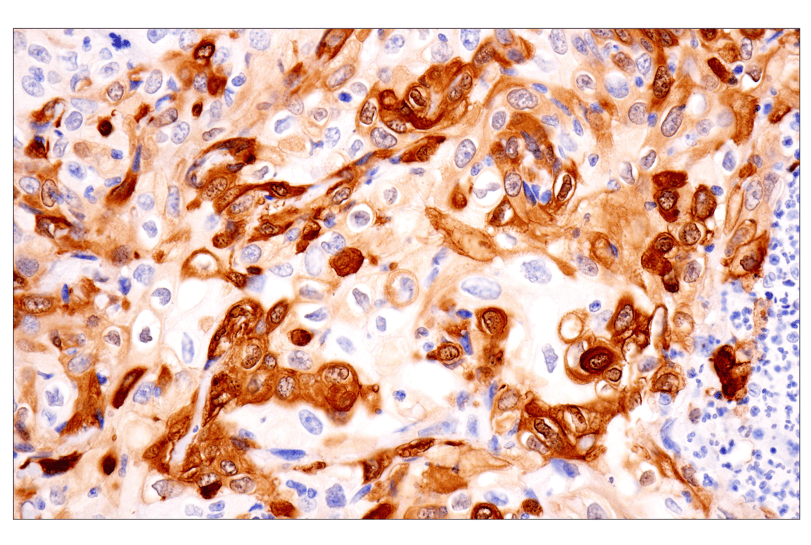
Immunohistochemical analysis of paraffin-embedded human adenoid cystic carcinoma of the salivary gland using Transgelin/TAGLN (F3B7H) Rabbit mAb.
Immunohistochemistry Image 1: Transgelin/TAGLN (F3B7H) Rabbit Monoclonal Antibody
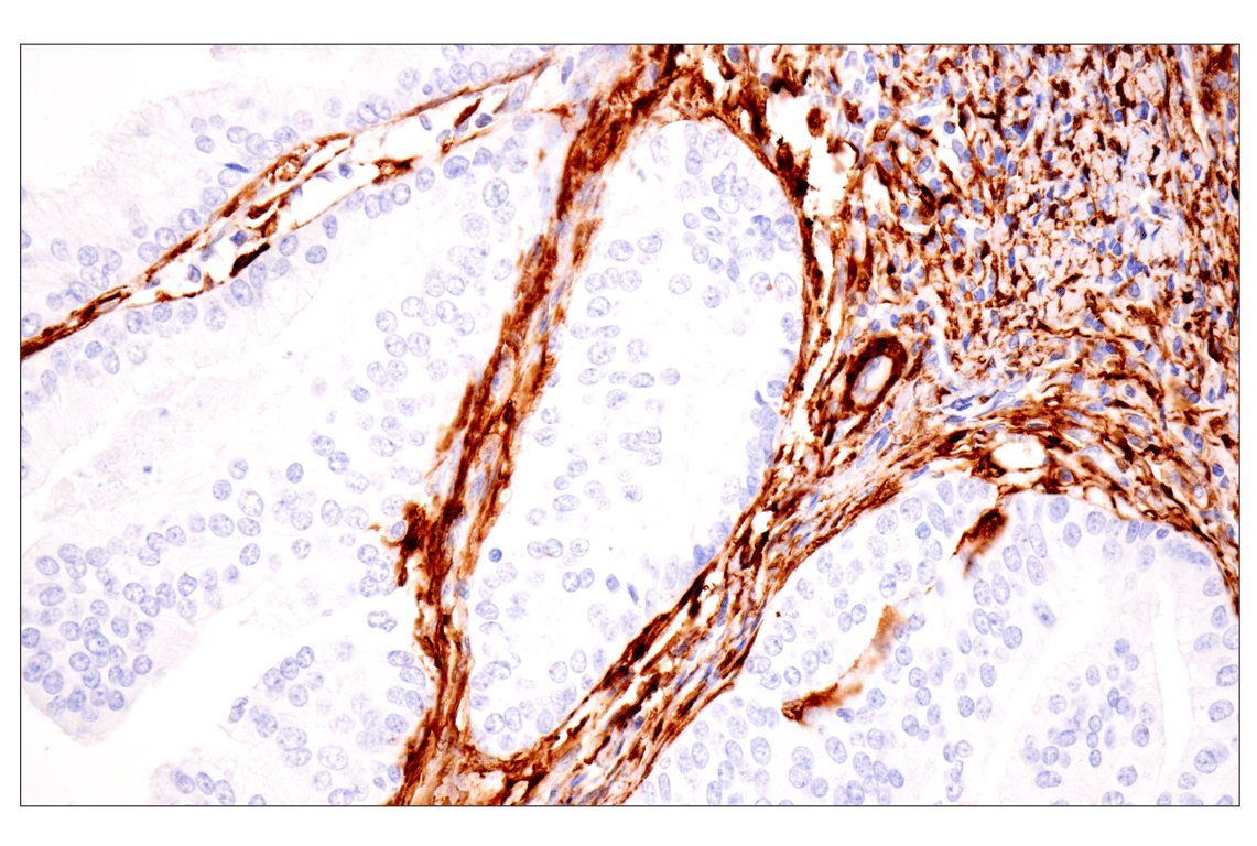
Immunohistochemical analysis of paraffin-embedded human endometrioid adenocarcinoma using Transgelin/TAGLN (F3B7H) Rabbit mAb.
Immunohistochemistry Image 2: Transgelin/TAGLN (F3B7H) Rabbit Monoclonal Antibody

Immunohistochemical analysis of paraffin-embedded human squamous cell carcinoma of the skin using Transgelin/TAGLN (F3B7H) Rabbit mAb.

Immunohistochemistry Image 3: Transgelin/TAGLN (F3B7H) Rabbit Monoclonal Antibody
Orders: 877-616-CELL (2355) [email protected] Support: 877-678-TECH (8324) [email protected] Web: cellsignal.com
For Research Use Only. Not for Use in Diagnostic Procedures.

Revision 3

Cell Signaling Technology Logo

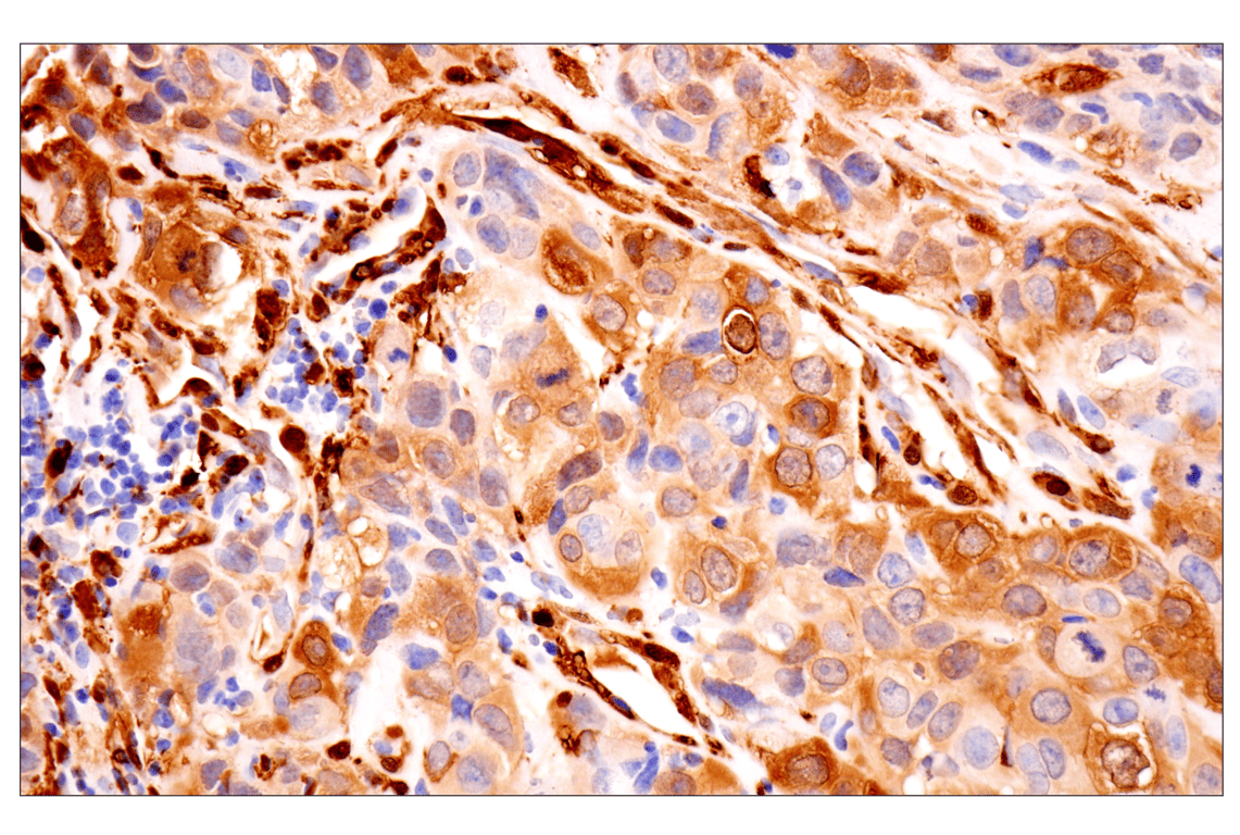
Immunohistochemical analysis of paraffin-embedded human ductal breast carcinoma using Transgelin/TAGLN (F3B7H) Rabbit mAb.

Immunohistochemistry Image 4: Transgelin/TAGLN (F3B7H) Rabbit Monoclonal Antibody
Immunohistochemical analysis of paraffin-embedded human prostate adenocarcinoma using Transgelin/TAGLN (F3B7H) Rabbit mAb.
Immunohistochemistry Image 5: Transgelin/TAGLN (F3B7H) Rabbit Monoclonal Antibody
Immunohistochemical analysis of paraffin-embedded human gastric adenocarcinoma using Transgelin/TAGLN (F3B7H) Rabbit mAb.
Immunohistochemistry Image 6: Transgelin/TAGLN (F3B7H) Rabbit Monoclonal Antibody
Orders: 877-616-CELL (2355) [email protected] Support: 877-678-TECH (8324) [email protected] Web: cellsignal.com
For Research Use Only. Not for Use in Diagnostic Procedures.

Revision 3

Cell Signaling Technology Logo
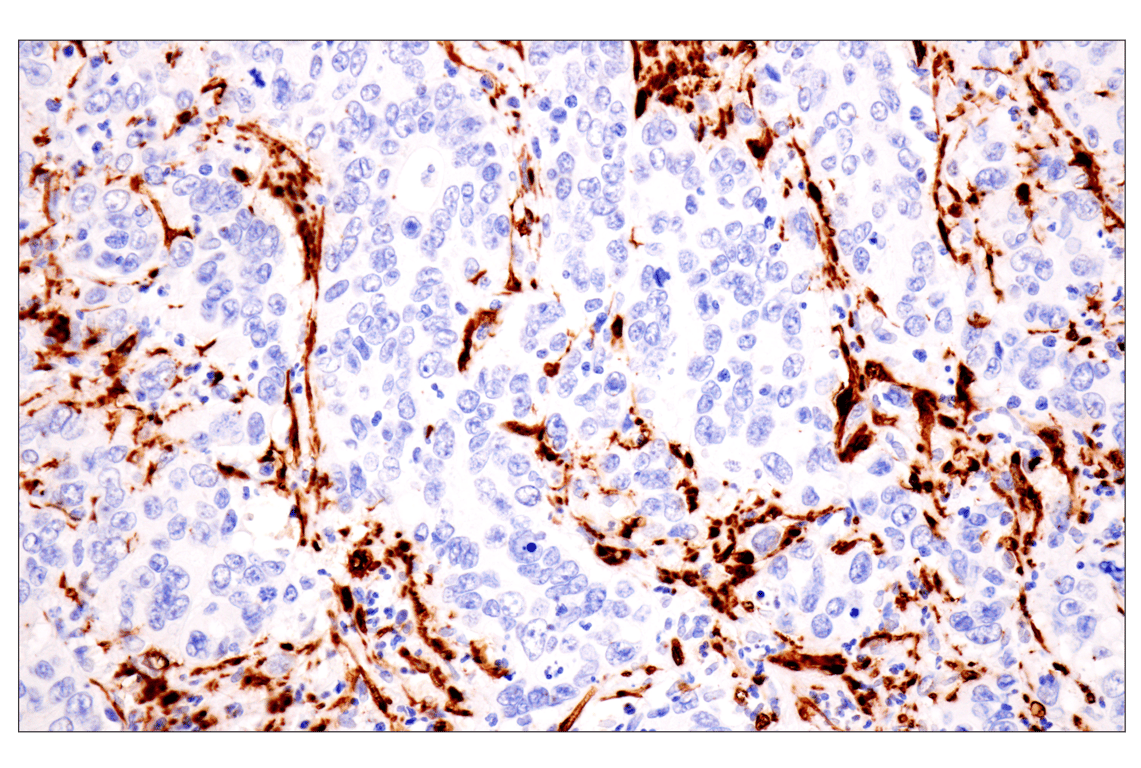
Immunohistochemical analysis of paraffin-embedded human oropharyngeal squamous cell carcinoma using Transgelin/TAGLN (F3B7H) Rabbit mAb.
Immunohistochemistry Image 7: Transgelin/TAGLN (F3B7H) Rabbit Monoclonal Antibody
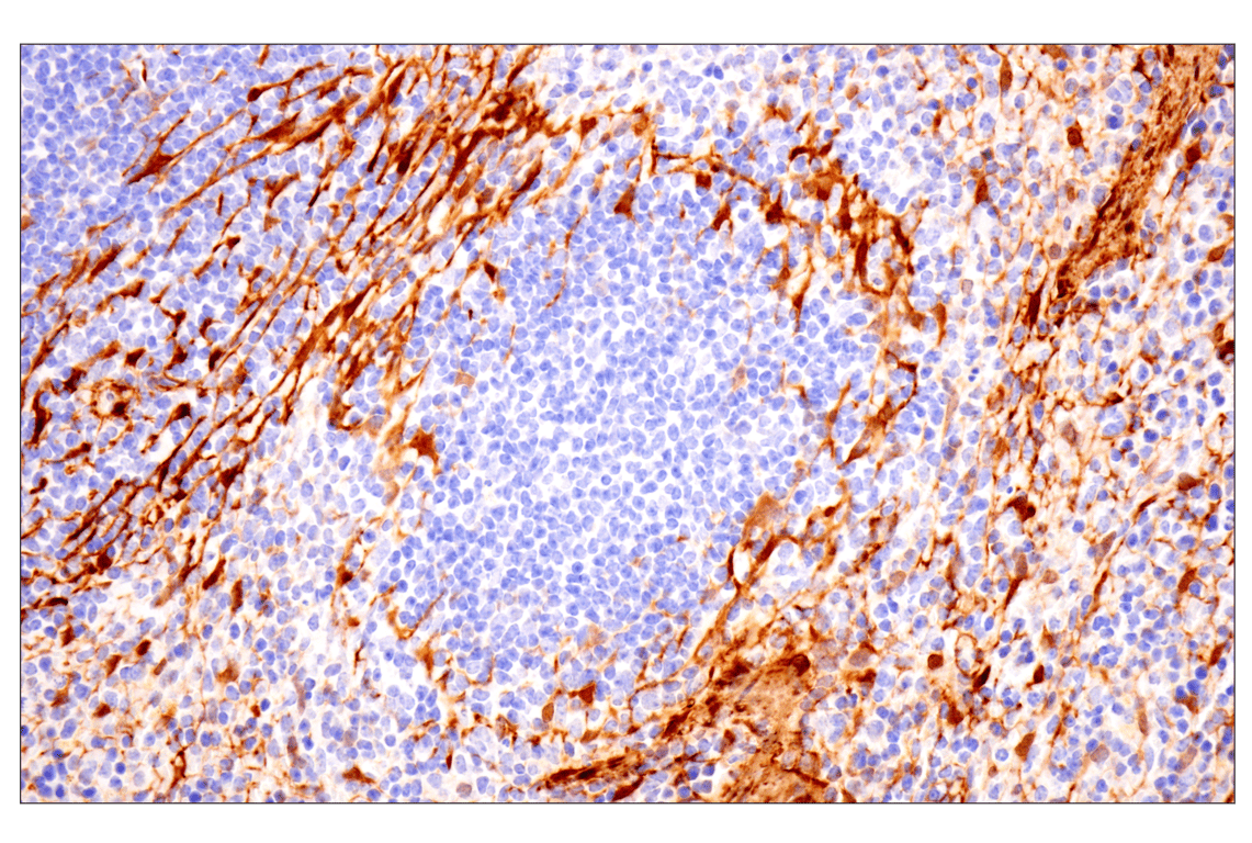
Immunohistochemical analysis of paraffin-embedded human non-Hodgkin lymphoma using Transgelin/TAGLN (F3B7H) Rabbit mAb.
Immunohistochemistry Image 8: Transgelin/TAGLN (F3B7H) Rabbit Monoclonal Antibody
Immunohistochemical analysis of paraffin-embedded human bronchioloalveolar adenocarcinoma using Transgelin/TAGLN (F3B7H) Rabbit mAb.
Immunohistochemistry Image 9: Transgelin/TAGLN (F3B7H) Rabbit Monoclonal Antibody
Orders: 877-616-CELL (2355) [email protected] Support: 877-678-TECH (8324) [email protected] Web: cellsignal.com
For Research Use Only. Not for Use in Diagnostic Procedures.

Revision 3

Cell Signaling Technology Logo
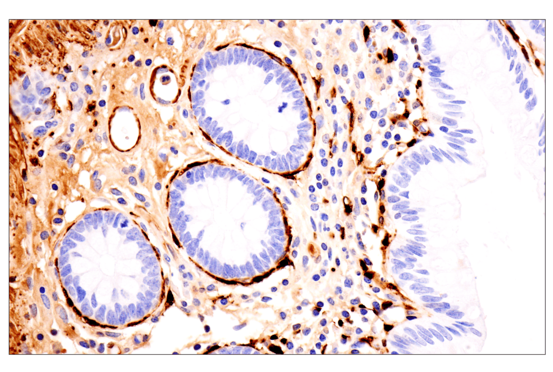
Immunohistochemical analysis of paraffin-embedded normal human colon using Transgelin/TAGLN (F3B7H) Rabbit mAb.
Immunohistochemistry Image 10: Transgelin/TAGLN (F3B7H) Rabbit Monoclonal Antibody
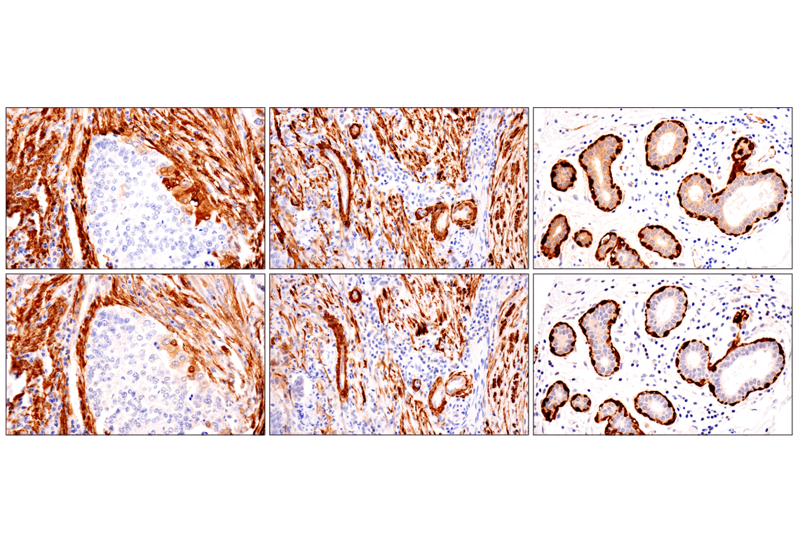
Immunohistochemical analysis of paraffin-embedded human endometrioid adenocarcinoma (left), colon adenocarcinoma (middle), or normal breast (right) using Transgelin/TAGLN (F3B7H) Rabbit mAb (top) or a Transgelin/TAGLN Antibody (bottom). These two antibodies detect unique, non-overlapping epitopes on human Transgelin/TAGLN protein. The similar staining patterns obtained with both antibodies help to confirm the specificity of the staining.
Immunohistochemistry Image 11: Transgelin/TAGLN (F3B7H) Rabbit Monoclonal Antibody

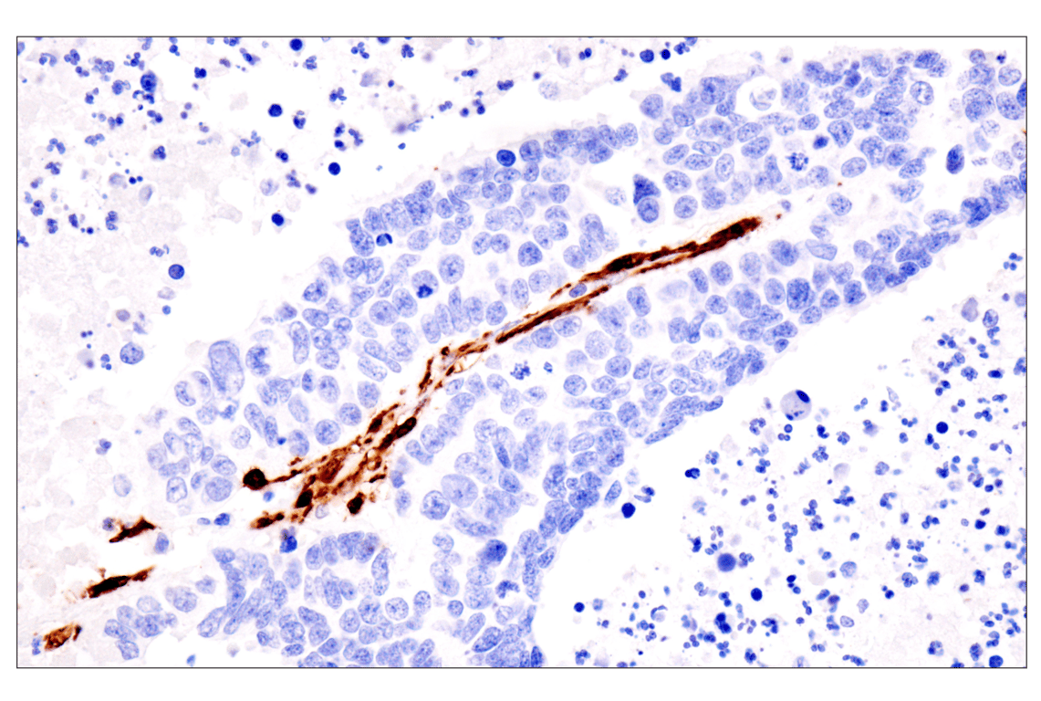
Immunohistochemical analysis of paraffin-embedded Renca syngeneic tumor using Transgelin/TAGLN (F3B7H) Rabbit mAb.

Immunohistochemistry Image 12: Transgelin/TAGLN (F3B7H) Rabbit Monoclonal Antibody
Orders: 877-616-CELL (2355) [email protected] Support: 877-678-TECH (8324) [email protected] Web: cellsignal.com
For Research Use Only. Not for Use in Diagnostic Procedures.

Revision 3

Cell Signaling Technology Logo
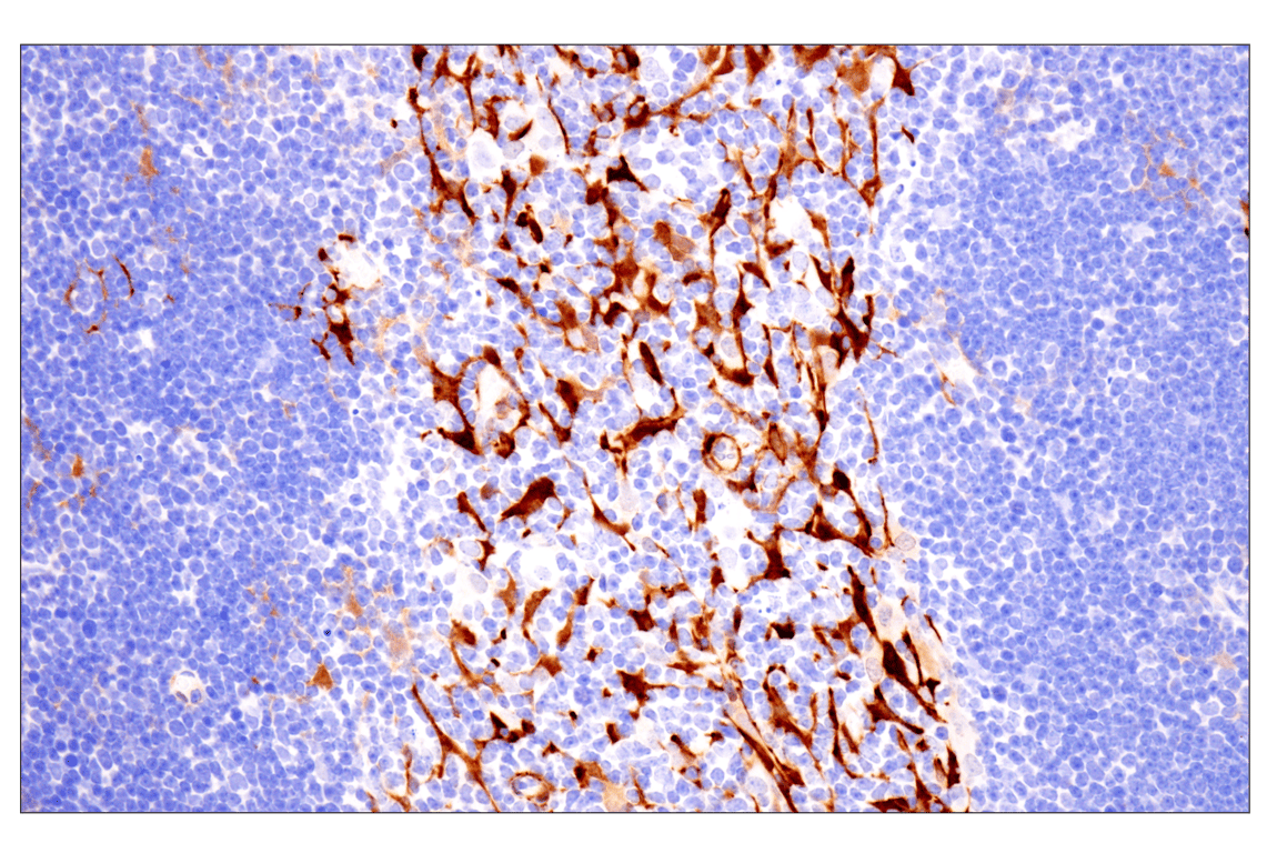
Immunohistochemical analysis of paraffin-embedded mouse thymus using Transgelin/TAGLN (F3B7H) Rabbit mAb.
Immunohistochemistry Image 13: Transgelin/TAGLN (F3B7H) Rabbit Monoclonal Antibody

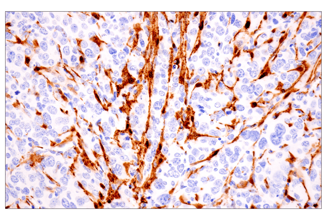
Immunohistochemical analysis of paraffin-embedded mouse spleen using Transgelin/TAGLN (F3B7H) Rabbit mAb.

Immunohistochemistry Image 14: Transgelin/TAGLN (F3B7H) Rabbit Monoclonal Antibody

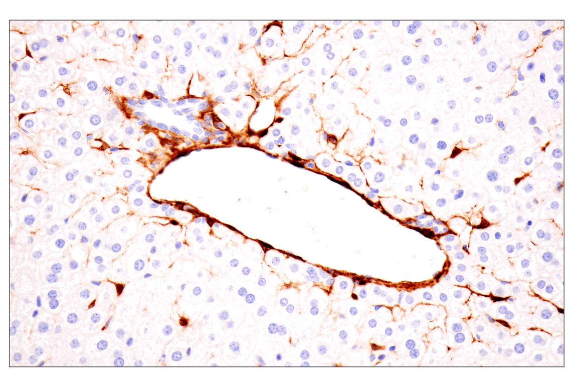
Immunohistochemical analysis of paraffin-embedded mouse liver using Transgelin/TAGLN (F3B7H) Rabbit mAb.

Immunohistochemistry Image 15: Transgelin/TAGLN (F3B7H) Rabbit Monoclonal Antibody
Orders: 877-616-CELL (2355) [email protected] Support: 877-678-TECH (8324) [email protected] Web: cellsignal.com
For Research Use Only. Not for Use in Diagnostic Procedures.

Revision 3

Cell Signaling Technology Logo
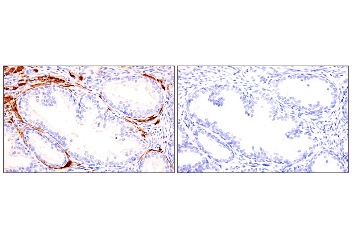
Immunohistochemical analysis of paraffin-embedded human prostate adenocarcinoma using Transgelin/TAGLN (F3B7H) Rabbit mAb (left) compared to concentration-matched Rabbit (DA1E) mAb IgG XP® Isotype Control #3900 (right).
Immunohistochemistry Image 16: Transgelin/TAGLN (F3B7H) Rabbit Monoclonal Antibody
Immunohistochemical analysis of paraffin-embedded OVCAR-8 cell pellet (left, positive) or COLO 205 cell pellet (right, negative) using Transgelin/TAGLN (F3B7H) Rabbit mAb.
Immunohistochemistry Image 17: Transgelin/TAGLN (F3B7H) Rabbit Monoclonal Antibody
Confocal immunofluorescent analysis of fixed frozen mouse cortex labeled with Transgelin/TAGLN (F3B7H) Rabbit mAb (green), TMEM119 (E4B9S) Mouse mAb #98778 (red), and ProLong Gold Antifade Reagent with DAPI #8961 (blue).
Immunofluorescence Image 1: Transgelin/TAGLN (F3B7H) Rabbit Monoclonal Antibody
Orders: 877-616-CELL (2355) [email protected] Support: 877-678-TECH (8324) [email protected] Web: cellsignal.com
For Research Use Only. Not for Use in Diagnostic Procedures.

Revision 3

Cell Signaling Technology Logo
Confocal immunofluorescent analysis of fixed frozen mouse pancreas labeled with Transgelin/TAGLN (F3B7H) Rabbit mAb (green), DyLight 650 Phalloidin #12956 (red), and ProLong Gold Antifade Reagent with DAPI #8961 (blue).
Immunofluorescence Image 2: Transgelin/TAGLN (F3B7H) Rabbit Monoclonal Antibody
Confocal immunofluorescent analysis of fixed frozen mouse colon labeled with Transgelin/TAGLN (F3B7H) Rabbit mAb (green), DyLight 650 Phalloidin #12956 (red), and ProLong Gold Antifade Reagent with DAPI #8961 (blue).
Immunofluorescence Image 3: Transgelin/TAGLN (F3B7H) Rabbit Monoclonal Antibody
Confocal immunofluorescent analysis of OVCAR-8 cells (left, positive) and COLO 205 cells (right, negative) using Transgelin/TAGLN (F3B7H) Rabbit mAb (green), DyLight 650 Phalloidin #12956 (red), and DAPI #4083 (blue).
Immunofluorescence Image 1: Transgelin/TAGLN (F3B7H) Rabbit Monoclonal Antibody
Orders: 877-616-CELL (2355) [email protected] Support: 877-678-TECH (8324) [email protected] Web: cellsignal.com
For Research Use Only. Not for Use in Diagnostic Procedures.