Revision 1

#3661

Store at -20C

CST Logo
Orders:

877-616-CELL (2355)

[email protected]

Support:

877-678-TECH (8324)

3 Trask Lane | Danvers | Massachusetts | 01923 | USA

For Research Use Only. Not for Use in Diagnostic Procedures.

Applications:
W, IP, IHC-P

Reactivity:
H M R Mk

Sensitivity:
Endogenous

MW (kDa):
280

Source/Isotype:
Rabbit

UniProt ID:
#Q13085, #O00763

Entrez-Gene Id:
31, 32

Product Usage Information

Application Dilution
Western Blotting 1:1000
Immunoprecipitation 1:100
Immunohistochemistry (Paraffin) 1:800

Storage

Supplied in 10 mM sodium HEPES (pH 7.5), 150 mM NaCl, 100 µg/ml BSA and 50% glycerol. Store at –20°C. Do not aliquot the antibody.

Specificity/Sensitivity

Phospho-Acetyl-CoA Carboxylase (Ser79) Antibody detects endogenous levels of ACC only when phosphorylated at serine 79. This antibody recognizes both ACCalpha and ACCbeta.

Species predicted to react based on 100% sequence homology

Chicken, Bovine

Source / Purification

Polyclonal antibodies are produced by immunizing animals with a synthetic phosphopeptide corresponding to residues surrounding Ser79 of rat ACC. Antibodies are purified by protein A and peptide affinity chromatography.

Background

Acetyl-CoA carboxylase (ACC) catalyzes the carboxylation of acetyl-CoA to malonyl-CoA (1). It is the key enzyme in the biosynthesis and oxidation of fatty acids (1). In rodents, the 265 kDa ACC1 (ACCα) form is primarily expressed in lipogenic tissues, while 280 kDa ACC2 (ACCβ) is the main isoform in oxidative tissues (1,2). However, in humans, ACC2 is the predominant isoform in both lipogenic and oxidative tissues (1,2). Phosphorylation by AMPK at Ser79 or by PKA at Ser1200 inhibits the enzymatic activity of ACC (3). ACC is a potential target of anti-obesity drugs (4,5).

Species Reactivity

Species reactivity is determined by testing in at least one approved application (e.g., western blot).

Western Blot Buffer

IMPORTANT: For western blots, incubate membrane with diluted primary antibody in 5% w/v BSA, 1X TBS, 0.1% Tween® 20 at 4°C with gentle shaking, overnight.

Applications Key

W: Western Blotting IP: Immunoprecipitation IHC-P: Immunohistochemistry (Paraffin)

Cross-Reactivity Key

H: Human M: Mouse R: Rat Mk: Monkey

Trademarks and Patents

Cell Signaling Technology is a trademark of Cell Signaling Technology, Inc.

All other trademarks are the property of their respective owners. Visit cellsignal.com/trademarks for more information.

Limited Uses

Except as otherwise expressly agreed in a writing signed by a legally authorized representative of CST, the following terms apply to Products provided by CST, its affiliates or its distributors. Any Customer's terms and conditions that are in addition to, or different from, those contained herein, unless separately accepted in writing by a legally authorized representative of CST, are rejected and are of no force or effect.

Products are labeled with For Research Use Only or a similar labeling statement and have not been approved, cleared, or licensed by the FDA or other regulatory foreign or domestic entity, for any purpose. Customer shall not use any Product for any diagnostic or therapeutic purpose, or otherwise in any manner that conflicts with its labeling statement. Products sold or licensed by CST are provided for Customer as the end-user and solely for research and development uses. Any use of Product for diagnostic, prophylactic or therapeutic purposes, or any purchase of Product for resale (alone or as a component) or other commercial purpose, requires a separate license from CST. Customer shall (a) not sell, license, loan, donate or otherwise transfer or make available any Product to any third party, whether alone or in combination with other materials, or use the Products to manufacture any commercial products, (b) not copy, modify, reverse engineer, decompile, disassemble or otherwise attempt to discover the underlying structure or technology of the Products, or use the Products for the purpose of developing any products or services that would compete with CST products or services, (c) not alter or remove from the Products any trademarks, trade names, logos, patent or copyright notices or markings, (d) use the Products solely in accordance with CST Product Terms of Sale and any applicable documentation, and (e) comply with any license, terms of service or similar agreement with respect to any third party products or services used by Customer in connection with the Products.

Orders: 877-616-CELL (2355) [email protected] Support: 877-678-TECH (8324) [email protected] Web: cellsignal.com
For Research Use Only. Not for Use in Diagnostic Procedures.

Revision 1

Cell Signaling Technology Logo
Western blot analysis of extracts from HEK293 cells, untreated or oligomycin-treated, using Phospho-Acetyl-CoA Carboxylase (Ser79) Antibody.
Western Blotting Image 1: Phospho-Acetyl-CoA Carboxylase (Ser79) Antibody
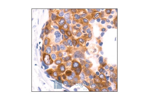
Immunohistochemical analysis of paraffin-embedded human breast carcinoma, showing cytoplasmic localization, using Phospho-Acetyl-CoA Carboxylase (Ser79) Antibody.
Immunohistochemistry Image 1: Phospho-Acetyl-CoA Carboxylase (Ser79) Antibody
Immunohistochemical analysis of paraffin-embedded NIH/3T3 cells, untreated (left) or serum-starved (right), using Phospho-Acetyl-CoA Carboxylase (Ser79) Antibody.
Immunohistochemistry Image 2: Phospho-Acetyl-CoA Carboxylase (Ser79) Antibody
Orders: 877-616-CELL (2355) [email protected] Support: 877-678-TECH (8324) [email protected] Web: cellsignal.com
For Research Use Only. Not for Use in Diagnostic Procedures.