Revision 1

#3669

Store at -20C

CST Logo
Orders:

877-616-CELL (2355)

[email protected]

Support:

877-678-TECH (8324)

3 Trask Lane | Danvers | Massachusetts | 01923 | USA

For Research Use Only. Not for Use in Diagnostic Procedures.

Applications:
W, IP, IF-IC

Reactivity:
H M R Mk

Sensitivity:
Endogenous

MW (kDa):
115

Source/Isotype:
Rabbit

UniProt ID:
#Q92888

Entrez-Gene Id:
9138

Product Usage Information

Application Dilution
Western Blotting 1:1000
Immunoprecipitation 1:50
Immunofluorescence (Immunocytochemistry) 1:50

Storage

Supplied in 10 mM sodium HEPES (pH 7.5), 150 mM NaCl, 100 µg/ml BSA, 50% glycerol and less than 0.02% sodium azide. Store at –20°C. Do not aliquot the antibody.

Specificity/Sensitivity

p115 RhoGEF (D25D2) Rabbit Monoclonal Antibody detects endogenous levels of total p115 RhoGEF protein.

Source / Purification

Monoclonal antibody is produced by immunizing animals with a synthetic peptide corresponding to residues near the amino terminus of human p115 RhoGEF.

Background

The Rho family small GTPases, including Rho, Rac and cdc42, act as molecular switches, regulating processes such as cell migration, adhesion, proliferation and differentiation. They are activated by guanine nucleotide exchange factors (GEFs), which catalyze the exchange of bound GDP for GTP, and inhibited by GTPase activating proteins (GAPs), which catalyze the hydrolysis of GTP to GDP. A third level of regulation is provided by the stoichiometric binding of Rho GDP dissociation inhibitor (RhoGDI) (1).
G-protein coupled receptors (GPCRs) at the cell surface signal through heteromeric G proteins to small GTPases such as Rho, which then signal to downstream effector molecules (2). p115 RhoGEF/ArhGEF1 and its family members PDZ-RhoGEF (PRG), and LARG are stimulated by heteromeric G proteins and thus couple signaling from GPCRs to Rho small GTPases (3-6). In a mouse model of asthma, p115 RhoGEF is necessary for T cells to enable airway inflammation and hyperreactivity (7).

Species Reactivity

Species reactivity is determined by testing in at least one approved application (e.g., western blot).

Western Blot Buffer

IMPORTANT: For western blots, incubate membrane with diluted primary antibody in 5% w/v BSA, 1X TBS, 0.1% Tween® 20 at 4°C with gentle shaking, overnight.

Applications Key

W: Western Blotting IP: Immunoprecipitation IF-IC: Immunofluorescence (Immunocytochemistry)

Cross-Reactivity Key

H: Human M: Mouse R: Rat Mk: Monkey

Trademarks and Patents

Cell Signaling Technology is a trademark of Cell Signaling Technology, Inc.

All other trademarks are the property of their respective owners. Visit cellsignal.com/trademarks for more information.

Limited Uses

Except as otherwise expressly agreed in a writing signed by a legally authorized representative of CST, the following terms apply to Products provided by CST, its affiliates or its distributors. Any Customer's terms and conditions that are in addition to, or different from, those contained herein, unless separately accepted in writing by a legally authorized representative of CST, are rejected and are of no force or effect.

Products are labeled with For Research Use Only or a similar labeling statement and have not been approved, cleared, or licensed by the FDA or other regulatory foreign or domestic entity, for any purpose. Customer shall not use any Product for any diagnostic or therapeutic purpose, or otherwise in any manner that conflicts with its labeling statement. Products sold or licensed by CST are provided for Customer as the end-user and solely for research and development uses. Any use of Product for diagnostic, prophylactic or therapeutic purposes, or any purchase of Product for resale (alone or as a component) or other commercial purpose, requires a separate license from CST. Customer shall (a) not sell, license, loan, donate or otherwise transfer or make available any Product to any third party, whether alone or in combination with other materials, or use the Products to manufacture any commercial products, (b) not copy, modify, reverse engineer, decompile, disassemble or otherwise attempt to discover the underlying structure or technology of the Products, or use the Products for the purpose of developing any products or services that would compete with CST products or services, (c) not alter or remove from the Products any trademarks, trade names, logos, patent or copyright notices or markings, (d) use the Products solely in accordance with CST Product Terms of Sale and any applicable documentation, and (e) comply with any license, terms of service or similar agreement with respect to any third party products or services used by Customer in connection with the Products.

Orders: 877-616-CELL (2355) [email protected] Support: 877-678-TECH (8324) [email protected] Web: cellsignal.com
For Research Use Only. Not for Use in Diagnostic Procedures.

Revision 1

Cell Signaling Technology Logo
Western blot analysis of extracts from various cell types using p115 RhoGEF (D25D2) XP® Rabbit mAb.
Western Blotting Image 1: p115 RhoGEF (D25D2) Rabbit Monoclonal Antibody
Immunoprecipitation of p115 RhoGEF from COS cells using p115 RhoGEF (D25D2) XP® Rabbit mAb. Western blot was preformed using the same antibody. Lane 1 is 5% input.
Immunoprecipitation Image 1: p115 RhoGEF (D25D2) Rabbit Monoclonal Antibody
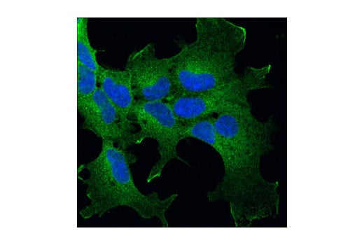
Confocal immunofluorescent analysis of HEK/293 cells using p115 RhoGEF (D25D2) XP® Rabbit mAb (green). Blue pseudocolor = DRAQ5® (fluorescent DNA dye).
Immunofluorescence Image 1: p115 RhoGEF (D25D2) Rabbit Monoclonal Antibody
Orders: 877-616-CELL (2355) [email protected] Support: 877-678-TECH (8324) [email protected] Web: cellsignal.com
For Research Use Only. Not for Use in Diagnostic Procedures.