Revision 6

#37785

Store at -20C

CST Logo
Orders:

877-616-CELL (2355)

[email protected]

Support:

877-678-TECH (8324)

3 Trask Lane | Danvers | Massachusetts | 01923 | USA

For Research Use Only. Not for Use in Diagnostic Procedures.

Applications:
W, IP, IHC-P, ChIP, C&R

Reactivity:
H

Sensitivity:
Endogenous

MW (kDa):
65-70

Source/Isotype:
Rabbit IgG

UniProt ID:
#P19484

Entrez-Gene Id:
7942

Product Usage Information

For optimal ChIP results, use 10 μl of antibody and 10 μg of chromatin (approximately 4 x 106 cells) per IP. This antibody has been validated using SimpleChIP® Enzymatic Chromatin IP Kits.

The CUT&RUN dilution was determined using CUT&RUN Assay Kit #86652.
Application Dilution
Western Blotting 1:1000
Immunoprecipitation 1:50
Immunohistochemistry (Paraffin) 1:300 - 1:1200
Chromatin IP 1:50
CUT&RUN 1:50

Storage

Supplied in 10 mM sodium HEPES (pH 7.5), 150 mM NaCl, 100 µg/ml BSA, 50% glycerol and less than 0.02% sodium azide. Store at –20°C. Do not aliquot the antibody.

For a carrier free (BSA and azide free) version of this product see product #51406.

Specificity/Sensitivity

TFEB (D2O7D) Rabbit Monoclonal Antibody recognizes endogenous levels of total TFEB protein.

Source / Purification

Monoclonal antibody is produced by immunizing animals with a synthetic peptide corresponding to residues surrounding Gly412 of human TFEB protein.

Background

Transcription factor EB (TFEB) is a member of the Myc-related, bHLH leucine-zipper family of transcription factors that drives the expression of a network of genes known as the Coordinated Lysosomal Expression and Regulation (CLEAR) network (1,2). TFEB specifically recognizes and binds regulatory sequences within the CLEAR box (GTCACGTGAC) of lysosomal and autophagy genes, resulting in the upregulated expression of genes involved in lysosome biogenesis and function, and regulation of autophagy (1,2). TFEB is activated in response to nutrient deprivation, stimulating translocation to the nucleus where it forms homo- or heterooligomers with other members of the microphthalmia transcription factor (MiTF) subfamily and resulting in upregulation of autophagosomes and lysosomes (3-5). Recently, it has been shown that TFEB is a component of mammalian target of rapamycin (mTOR) complex 1 (mTORC1), which regulates the phosphorylation and nuclear translocation of TFEB in response to cellular starvation and stress (6-9). During normal growth conditions, TFEB is phosphorylated at Ser211 in an mTORC1-dependent manner. Phosphorylation promotes association of TFEB with 14-3-3 family proteins and retention in the cytosol. Inhibition of mTORC1 results in a loss of TFEB phosphorylation, dissociation of the TFEB/14-3-3 complex, and rapid transport of TFEB to the nucleus where it increases transcription of CLEAR and autophagy genes (10). TFEB has also been shown to be activated in a nutrient-dependent manner by p42 MAP kinase (Erk2). TFEB is phosphorylated at Ser142 by Erk2 in response to nutrient deprivation, resulting in nuclear localization and activation, and indicating that pathways other than mTOR contribute to nutrient sensing via TFEB (3).

Species Reactivity

Species reactivity is determined by testing in at least one approved application (e.g., western blot).

Western Blot Buffer

IMPORTANT: For western blots, incubate membrane with diluted primary antibody in 5% w/v BSA, 1X TBS, 0.1% Tween® 20 at 4°C with gentle shaking, overnight.

Applications Key

W: Western Blotting IP: Immunoprecipitation IHC-P: Immunohistochemistry (Paraffin) ChIP: Chromatin IP C&R: CUT&RUN

Cross-Reactivity Key

H: Human

Trademarks and Patents

Cell Signaling Technology is a trademark of Cell Signaling Technology, Inc.

SignalStain is a registered trademark of Cell Signaling Technology, Inc.

SimpleChIP is a registered trademark of Cell Signaling Technology, Inc.

All other trademarks are the property of their respective owners. Visit cellsignal.com/trademarks for more information.

Limited Uses

Except as otherwise expressly agreed in a writing signed by a legally authorized representative of CST, the following terms apply to Products provided by CST, its affiliates or its distributors. Any Customer's terms and conditions that are in addition to, or different from, those contained herein, unless separately accepted in writing by a legally authorized representative of CST, are rejected and are of no force or effect.

Products are labeled with For Research Use Only or a similar labeling statement and have not been approved, cleared, or licensed by the FDA or other regulatory foreign or domestic entity, for any purpose. Customer shall not use any Product for any diagnostic or therapeutic purpose, or otherwise in any manner that conflicts with its labeling statement. Products sold or licensed by CST are provided for Customer as the end-user and solely for research and development uses. Any use of Product for diagnostic, prophylactic or therapeutic purposes, or any purchase of Product for resale (alone or as a component) or other commercial purpose, requires a separate license from CST. Customer shall (a) not sell, license, loan, donate or otherwise transfer or make available any Product to any third party, whether alone or in combination with other materials, or use the Products to manufacture any commercial products, (b) not copy, modify, reverse engineer, decompile, disassemble or otherwise attempt to discover the underlying structure or technology of the Products, or use the Products for the purpose of developing any products or services that would compete with CST products or services, (c) not alter or remove from the Products any trademarks, trade names, logos, patent or copyright notices or markings, (d) use the Products solely in accordance with CST Product Terms of Sale and any applicable documentation, and (e) comply with any license, terms of service or similar agreement with respect to any third party products or services used by Customer in connection with the Products.

Orders: 877-616-CELL (2355) [email protected] Support: 877-678-TECH (8324) [email protected] Web: cellsignal.com
For Research Use Only. Not for Use in Diagnostic Procedures.

Revision 6

Cell Signaling Technology Logo
Western blot analysis of extracts from various cell lines using TFEB (D2O7D) Rabbit Monoclonal Antibody (upper) or beta-Actin (D6A8) Rabbit Monoclonal Antibody #8457 (lower).
Western Blotting Image 1: TFEB (D2O7D) Rabbit Monoclonal Antibody
Western blot analysis of extracts from 293T cells, untransfected (-) or transfected with a construct expressing full-length human TFEB (hTFEB; +) using TFEB (D2O7D) Rabbit Monoclonal Antibody.
Western Blotting Image 2: TFEB (D2O7D) Rabbit Monoclonal Antibody
Immunoprecipitation of TFEB from Raji cell extracts. Lane 1 represents 10% input, lane 2 is immunoprecipitated with Rabbit (DA1E) Monoclonal Antibody IgG Isotype control #3900, and lane 3 is TFEB (D2O7D) Rabbit Monoclonal Antibody. Western blot was performed using TFEB (D2O7D) Rabbit Monoclonal Antibody.
Immunoprecipitation Image 1: TFEB (D2O7D) Rabbit Monoclonal Antibody
Orders: 877-616-CELL (2355) [email protected] Support: 877-678-TECH (8324) [email protected] Web: cellsignal.com
For Research Use Only. Not for Use in Diagnostic Procedures.

Revision 6

Cell Signaling Technology Logo
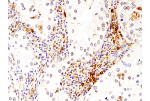
Immunohistochemical analysis of paraffin-embedded human lung carcinoma using TFEB (D2O7D) Rabbit Monoclonal Antibody.
Immunohistochemistry Image 1: TFEB (D2O7D) Rabbit Monoclonal Antibody
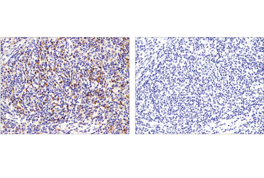
Immunohistochemical analysis of paraffin-embedded human lymphoma using TFEB (D2O7D) Rabbit mAb in the presence of control peptide (left) or antigen-specific peptide (right).
Immunohistochemistry Image 2: TFEB (D2O7D) Rabbit Monoclonal Antibody
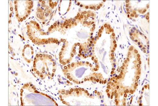
Immunohistochemical analysis of paraffin-embedded human prostate carcinoma using TFEB (D2O7D) Rabbit Monoclonal Antibody.
Immunohistochemistry Image 3: TFEB (D2O7D) Rabbit Monoclonal Antibody
Orders: 877-616-CELL (2355) [email protected] Support: 877-678-TECH (8324) [email protected] Web: cellsignal.com
For Research Use Only. Not for Use in Diagnostic Procedures.

Revision 6

Cell Signaling Technology Logo
Chromatin immunoprecipitations were performed with cross-linked chromatin from Raji cells treated with Torin-1 (250 nM, 5 hr) and either TFEB (D2O7D) Rabbit Monoclonal Antibody or Normal Rabbit IgG #2729 using SimpleChIP® Enzymatic Chromatin IP Kit (Magnetic Beads) #9003. The enriched DNA was quantified by real-time PCR using SimpleChIP® Human GLA Promoter Primers #27131, human ATP6V1H promoter primers, and SimpleChIP® Human α Satellite Repeat Primers #4486. The amount of immunoprecipitated DNA in each sample is represented as signal relative to the total amount of input chromatin, which is equivalent to one.
Chromatin Immunoprecipitation Image 1: TFEB (D2O7D) Rabbit Monoclonal Antibody
NGS Gene Zoomed-In Tracks:CUT&RUN was performed with Raji cells Torin-1 (250 nM, 5 hr) and TFEB (D2O7D) Rabbit Monoclonal Antibody #37785, using CUT&RUN Assay Kit #86652. DNA Library was prepared using DNA Library Prep Kit for Illumina® (ChIP-seq, CUT&RUN) #56795. The figure shows binding across the LAMTOR3 gene.
CUT & RUN Image 1: TFEB (D2O7D) Rabbit Monoclonal Antibody
NGS Chr and Gene Tracks:CUT&RUN was performed with Raji cells Torin-1 (250 nM, 5 hr) and TFEB (D2O7D) Rabbit Monoclonal Antibody #37785, using CUT&RUN Assay Kit #86652. DNA Library was prepared using DNA Library Prep Kit for Illumina® (ChIP-seq, CUT&RUN) #56795. The figures show binding across chromosome 4 (upper), including the LAMTOR3 gene (lower).
CUT & RUN Image 2: TFEB (D2O7D) Rabbit Monoclonal Antibody
Orders: 877-616-CELL (2355) [email protected] Support: 877-678-TECH (8324) [email protected] Web: cellsignal.com
For Research Use Only. Not for Use in Diagnostic Procedures.