Revision 5

#38238

Store at -20C

CST Logo
Orders:

877-616-CELL (2355)

[email protected]

Support:

877-678-TECH (8324)

3 Trask Lane | Danvers | Massachusetts | 01923 | USA

For Research Use Only. Not for Use in Diagnostic Procedures.

Applications:
W, IP, IHC-P, IF-IC, FC-L

Reactivity:
H

Sensitivity:
Endogenous

MW (kDa):
70, 140

Source/Isotype:
Rabbit IgG

UniProt ID:
#Q9BX97

Entrez-Gene Id:
83483

Product Usage Information

Application Dilution
Western Blotting 1:1000
Immunoprecipitation 1:200
Immunohistochemistry (Paraffin) 1:100 - 1:400
Immunofluorescence (Immunocytochemistry) 1:200 - 1:800
Flow Cytometry (Live) 1:50 - 1:200

Storage

Supplied in 10 mM sodium HEPES (pH 7.5), 150 mM NaCl, 100 µg/mL BSA, 50% glycerol, and less than 0.02% sodium azide. Store at –20°C. Do not aliquot the antibody.

For a carrier free (BSA and azide free) version of this product see product #64266.

Specificity/Sensitivity

PLVAP (E3X9D) Rabbit Monoclonal Antibody recognizes endogenous levels of total PLVAP protein. Non-specific staining was observed in gall bladder by immunohistochemistry.

Source / Purification

Monoclonal antibody is produced by immunizing animals with a synthetic peptide corresponding to residues near the carboxy terminus of human PLVAP protein.

Background

PLVAP (plasmalemma vesicle-associated protein) is an endothelial cell (EC)-specific type II membrane protein. It forms diaphragms that bridge the opening of caveolae, fenestrae, and trans-endothelial channels and plays a role in regulating vascular permeability. PLVAP expression is restricted to a subset of ECs in the normal microvasculature, but it is not expressed in the ECs of large vessels, with the exception of the endocardial lining of the heart chambers (1). While PLVAP is expressed in ECs in the brain and retina during embryogenesis and postnatal development, it is not expressed in mature endothelium that forms blood–brain barrier (BBB) and blood–retinal barrier (BRB). However, under pathological conditions associated with barrier disruption such as brain ischemia, cancer, and diabetic retinopathy, PLVAP expression is induced in endothelium of BBB and BRB (2). PLVAP was previously considered as an EC marker of the vascular system, its expression is now reported in lymphatic ECs (LECs) in lymph nodes and it may play a role in regulating the parenchymal entry of lymphocytes and soluble antigens (3,4).

Species Reactivity

Species reactivity is determined by testing in at least one approved application (e.g., western blot).

Western Blot Buffer

IMPORTANT: For western blots, incubate membrane with diluted primary antibody in 5% w/v BSA, 1X TBS, 0.1% Tween® 20 at 4°C with gentle shaking, overnight.

Applications Key

W: Western Blotting IP: Immunoprecipitation IHC-P: Immunohistochemistry (Paraffin) IF-IC: Immunofluorescence (Immunocytochemistry) FC-L: Flow Cytometry (Live)

Cross-Reactivity Key

H: Human

Trademarks and Patents

Cell Signaling Technology is a trademark of Cell Signaling Technology, Inc.

Alexa Fluor is a registered trademark of Life Technologies Corporation.

All other trademarks are the property of their respective owners. Visit cellsignal.com/trademarks for more information.

Limited Uses

Except as otherwise expressly agreed in a writing signed by a legally authorized representative of CST, the following terms apply to Products provided by CST, its affiliates or its distributors. Any Customer's terms and conditions that are in addition to, or different from, those contained herein, unless separately accepted in writing by a legally authorized representative of CST, are rejected and are of no force or effect.

Products are labeled with For Research Use Only or a similar labeling statement and have not been approved, cleared, or licensed by the FDA or other regulatory foreign or domestic entity, for any purpose. Customer shall not use any Product for any diagnostic or therapeutic purpose, or otherwise in any manner that conflicts with its labeling statement. Products sold or licensed by CST are provided for Customer as the end-user and solely for research and development uses. Any use of Product for diagnostic, prophylactic or therapeutic purposes, or any purchase of Product for resale (alone or as a component) or other commercial purpose, requires a separate license from CST. Customer shall (a) not sell, license, loan, donate or otherwise transfer or make available any Product to any third party, whether alone or in combination with other materials, or use the Products to manufacture any commercial products, (b) not copy, modify, reverse engineer, decompile, disassemble or otherwise attempt to discover the underlying structure or technology of the Products, or use the Products for the purpose of developing any products or services that would compete with CST products or services, (c) not alter or remove from the Products any trademarks, trade names, logos, patent or copyright notices or markings, (d) use the Products solely in accordance with CST Product Terms of Sale and any applicable documentation, and (e) comply with any license, terms of service or similar agreement with respect to any third party products or services used by Customer in connection with the Products.

Orders: 877-616-CELL (2355) [email protected] Support: 877-678-TECH (8324) [email protected] Web: cellsignal.com
For Research Use Only. Not for Use in Diagnostic Procedures.

Revision 5

Cell Signaling Technology Logo
Western blot analysis of extracts from various cell lines using PLVAP (E3X9D) Rabbit mAb (upper) or β-Actin (D6A8) Rabbit mAb #8457 (lower).
Western Blotting Image 1: PLVAP (E3X9D) Rabbit Monoclonal Antibody
Immunoprecipitation of PLVAP protein from SET-2 cell extracts. Lane 1 is 10% input, lane 2 is Rabbit (DA1E) mAb IgG XP® Isotype Control #3900, and lane 3 is PLVAP (E3X9D) Rabbit mAb. Western blot analysis was performed using PLVAP (E3X9D) Rabbit mAb. Mouse Anti-rabbit IgG (Conformation Specific) (L27A9) mAb (HRP Conjugate) #5127 was used as the secondary antibody.
Immunoprecipitation Image 1: PLVAP (E3X9D) Rabbit Monoclonal Antibody
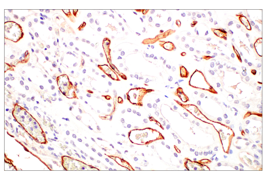
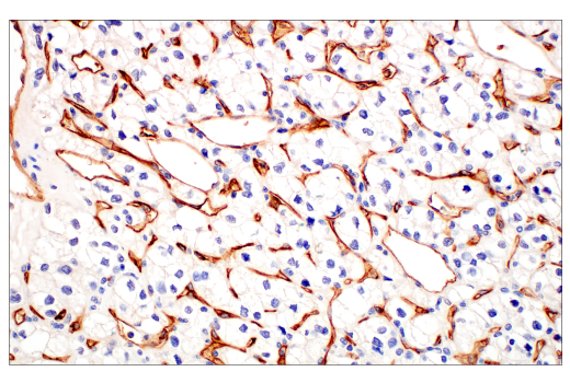
Immunohistochemical analysis of paraffin-embedded human colon adenocarcinoma using PLVAP (E3X9D) Rabbit mAb.
Immunohistochemistry Image 1: PLVAP (E3X9D) Rabbit Monoclonal Antibody
Orders: 877-616-CELL (2355) [email protected] Support: 877-678-TECH (8324) [email protected] Web: cellsignal.com
For Research Use Only. Not for Use in Diagnostic Procedures.

Revision 5

Cell Signaling Technology Logo
Immunohistochemical analysis of paraffin-embedded human mucoepidermoid carcinoma using PLVAP (E3X9D) Rabbit mAb.
Immunohistochemistry Image 2: PLVAP (E3X9D) Rabbit Monoclonal Antibody
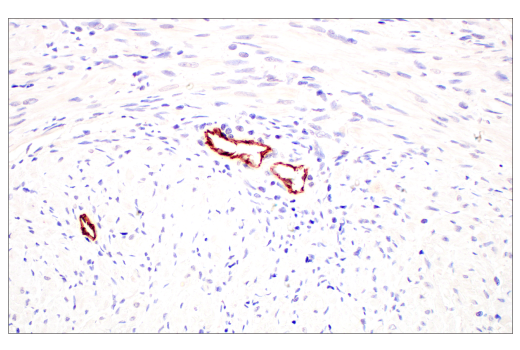
Immunohistochemical analysis of paraffin-embedded human renal cell carcinoma using PLVAP (E3X9D) Rabbit mAb.
Immunohistochemistry Image 3: PLVAP (E3X9D) Rabbit Monoclonal Antibody
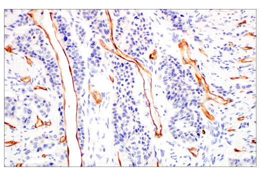
Immunohistochemical analysis of paraffin-embedded human large cell neuroendocrine lung carcinoma using PLVAP (E3X9D) Rabbit mAb.
Immunohistochemistry Image 4: PLVAP (E3X9D) Rabbit Monoclonal Antibody
Orders: 877-616-CELL (2355) [email protected] Support: 877-678-TECH (8324) [email protected] Web: cellsignal.com
For Research Use Only. Not for Use in Diagnostic Procedures.

Revision 5

Cell Signaling Technology Logo
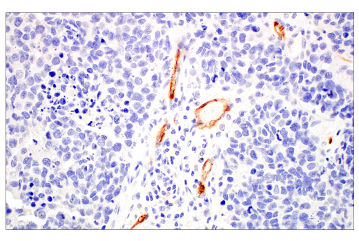
Immunohistochemical analysis of paraffin-embedded human non-Hodgkin lymphoma using PLVAP (E3X9D) Rabbit mAb.
Immunohistochemistry Image 5: PLVAP (E3X9D) Rabbit Monoclonal Antibody
Immunohistochemical analysis of paraffin-embedded human prostate adenocarcinoma using PLVAP (E3X9D) Rabbit mAb.
Immunohistochemistry Image 6: PLVAP (E3X9D) Rabbit Monoclonal Antibody
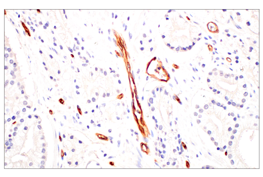
Immunohistochemical analysis of paraffin-embedded normal human kidney using PLVAP (E3X9D) Rabbit mAb.
Immunohistochemistry Image 7: PLVAP (E3X9D) Rabbit Monoclonal Antibody
Orders: 877-616-CELL (2355) [email protected] Support: 877-678-TECH (8324) [email protected] Web: cellsignal.com
For Research Use Only. Not for Use in Diagnostic Procedures.

Revision 5

Cell Signaling Technology Logo
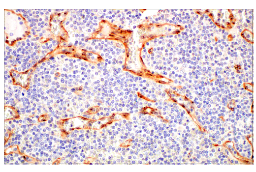
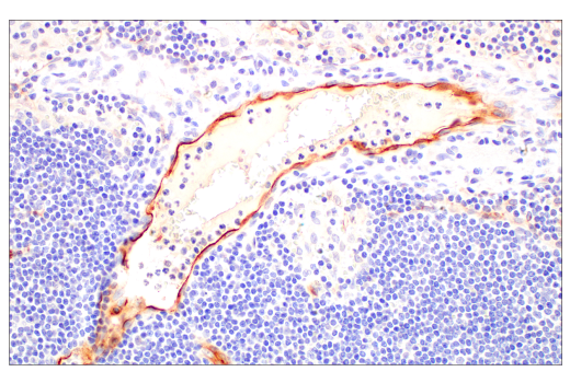
Immunohistochemical analysis of paraffin-embedded normal human lymph node using PLVAP (E3X9D) Rabbit mAb.
Immunohistochemistry Image 8: PLVAP (E3X9D) Rabbit Monoclonal Antibody
Immunohistochemical analysis of paraffin-embedded normal human prostate using PLVAP (E3X9D) Rabbit mAb.
Immunohistochemistry Image 9: PLVAP (E3X9D) Rabbit Monoclonal Antibody
Immunohistochemical analysis of paraffin-embedded human colon adenocarcinoma using PLVAP (E3X9D) Rabbit mAb (left) compared to concentration-matched Rabbit (DA1E) mAb IgG XP® Isotype Control #3900 (right). 
Immunohistochemistry Image 10: PLVAP (E3X9D) Rabbit Monoclonal Antibody
Orders: 877-616-CELL (2355) [email protected] Support: 877-678-TECH (8324) [email protected] Web: cellsignal.com
For Research Use Only. Not for Use in Diagnostic Procedures.

Revision 5

Cell Signaling Technology Logo
Immunohistochemical analysis of paraffin-embedded GRANTA 519 cell pellet (left, positive) or MCF7 cell pellet (right, negative) using PLVAP (E3X9D) Rabbit mAb.
Immunohistochemistry Image 11: PLVAP (E3X9D) Rabbit Monoclonal Antibody
Confocal immunofluorescent analysis of EFO-21 cells (left, positive) and OVCAR-3 cells (right, negative) using PLVAP (E3X9D) Rabbit mAb (green) and DAPI #4083 (blue).
Immunofluorescence Image 1: PLVAP (E3X9D) Rabbit Monoclonal Antibody
Flow cytometric analysis of Raji cells (blue, negative) and TF-1 cells (green, positive) using PLVAP (E3X9D) Rabbit mAb (solid lines) or concentration-matched Rabbit (DA1E) mAb IgG XP® Isotype Control #3900 (dashed lines). Anti-rabbit IgG (H+L), F(ab')2 Fragment (Alexa Fluor® 488 Conjugate) #4412 was used as a secondary antibody.
Flow Cytometry Image 1: PLVAP (E3X9D) Rabbit Monoclonal Antibody
Orders: 877-616-CELL (2355) [email protected] Support: 877-678-TECH (8324) [email protected] Web: cellsignal.com
For Research Use Only. Not for Use in Diagnostic Procedures.