Revision 1

#38276

Store at -20C

CST Logo
Orders:

877-616-CELL (2355)

[email protected]

Support:

877-678-TECH (8324)

3 Trask Lane | Danvers | Massachusetts | 01923 | USA

For Research Use Only. Not for Use in Diagnostic Procedures.

Applications:
W, IHC-P

Reactivity:
H

Sensitivity:
Endogenous

MW (kDa):
38

Source/Isotype:
Rabbit IgG

UniProt ID:
#P53004

Entrez-Gene Id:
644

Product Usage Information

Application Dilution
Western Blotting 1:1000
Immunohistochemistry (Paraffin) 1:100 - 1:400

Storage

Supplied in 10 mM sodium HEPES (pH 7.5), 150 mM NaCl, 100 µg/mL BSA, 50% glycerol, and less than 0.02% sodium azide. Store at –20°C. Do not aliquot the antibody.

Specificity/Sensitivity

BLVRA (F7Z7R) Rabbit Monoclonal Antibody recognizes endogenous levels of total BLVRA protein. This antibody detects a 120 kDa band of unknown origin in some cell lines. Non-specific staining was observed in human skeletal muscle by immunohistochemistry.

Source / Purification

Monoclonal antibody is produced by immunizing animals with a synthetic peptide corresponding to residues surrounding Gly91 of human BLVRA protein.

Background

Biliverdin reductase A (BLVRA or BVRA) is responsible for the reduction of biliverdin, a product of heme oxygenase, to produce bilirubin, the end product of the heme catabolic pathway and major physiological antioxidant (1). In addition to its canonical role as an antioxidant, bilirubin acts as a powerful immunosuppressant and has hormonal activity that links it to a number of signaling pathways (reviewed in 2-4). Altered levels of bilirubin and BVRA have been reported in many pathological conditions, including cancer, cardiovascular, metabolic, and neurodegenerative diseases. Deletion of BLVRA leads to an increase in oxidative stress and autophagy impairment (5,6). BVRA has been shown to be a substrate of the insulin receptor and also phosphorylates insulin receptor substrate 1 (IRS-1) to regulate the insulin signaling pathway (7). Reduced BVRA expression is associated with changes in insulin signaling during obesity (8). BVRA phosphorylation of glycogen synthase kinase-3β (GSK-3β) inhibits its activity and phosphorylation of peroxisome proliferator-activated receptor α (PPARα), which protects from hepatic steatosis (9). Impairment of BVRA has been associated with Alzheimer’s disease (10-12). Levels of BVRA are frequently elevated in cancer, where it regulates several key mitogenic pathways (reviewed in 13).

Species Reactivity

Species reactivity is determined by testing in at least one approved application (e.g., western blot).

Western Blot Buffer

IMPORTANT: For western blots, incubate membrane with diluted primary antibody in 5% w/v BSA, 1X TBS, 0.1% Tween® 20 at 4°C with gentle shaking, overnight.

Applications Key

W: Western Blotting IHC-P: Immunohistochemistry (Paraffin)

Cross-Reactivity Key

H: Human

Trademarks and Patents

Cell Signaling Technology is a trademark of Cell Signaling Technology, Inc.

All other trademarks are the property of their respective owners. Visit cellsignal.com/trademarks for more information.

Limited Uses

Except as otherwise expressly agreed in a writing signed by a legally authorized representative of CST, the following terms apply to Products provided by CST, its affiliates or its distributors. Any Customer's terms and conditions that are in addition to, or different from, those contained herein, unless separately accepted in writing by a legally authorized representative of CST, are rejected and are of no force or effect.

Products are labeled with For Research Use Only or a similar labeling statement and have not been approved, cleared, or licensed by the FDA or other regulatory foreign or domestic entity, for any purpose. Customer shall not use any Product for any diagnostic or therapeutic purpose, or otherwise in any manner that conflicts with its labeling statement. Products sold or licensed by CST are provided for Customer as the end-user and solely for research and development uses. Any use of Product for diagnostic, prophylactic or therapeutic purposes, or any purchase of Product for resale (alone or as a component) or other commercial purpose, requires a separate license from CST. Customer shall (a) not sell, license, loan, donate or otherwise transfer or make available any Product to any third party, whether alone or in combination with other materials, or use the Products to manufacture any commercial products, (b) not copy, modify, reverse engineer, decompile, disassemble or otherwise attempt to discover the underlying structure or technology of the Products, or use the Products for the purpose of developing any products or services that would compete with CST products or services, (c) not alter or remove from the Products any trademarks, trade names, logos, patent or copyright notices or markings, (d) use the Products solely in accordance with CST Product Terms of Sale and any applicable documentation, and (e) comply with any license, terms of service or similar agreement with respect to any third party products or services used by Customer in connection with the Products.

Orders: 877-616-CELL (2355) [email protected] Support: 877-678-TECH (8324) [email protected] Web: cellsignal.com
For Research Use Only. Not for Use in Diagnostic Procedures.

Revision 1

Cell Signaling Technology Logo
Western blot analysis of extracts from various cell lines using BLVRA (F7Z7R) Rabbit mAb (upper) or GAPDH (D16H11) XP® Rabbit mAb #5174 (lower). Low expression of BLVRA protein in Daudi and SNU-1 cells is consistent with the predicted expression pattern.
Western Blotting Image 1: BLVRA (F7Z7R) Rabbit Monoclonal Antibody
Western blot analysis of extracts from 293T cells, mock transfected (-) or transfected with a construct expressing Myc/DDK-tagged full-length human BLVRA protein (hBLVRA-Myc/DDK; +), using BLVRA (F7Z7R) Rabbit mAb (upper), Myc-Tag (71D10) Rabbit mAb #2278 (middle), or GAPDH (D16H11) XP® Rabbit mAb #5174 (lower).
Western Blotting Image 2: BLVRA (F7Z7R) Rabbit Monoclonal Antibody

Immunohistochemical analysis of paraffin-embedded human thymoma using BLVRA (F7Z7R) Rabbit mAb.

Immunohistochemistry Image 1: BLVRA (F7Z7R) Rabbit Monoclonal Antibody
Orders: 877-616-CELL (2355) [email protected] Support: 877-678-TECH (8324) [email protected] Web: cellsignal.com
For Research Use Only. Not for Use in Diagnostic Procedures.

Revision 1

Cell Signaling Technology Logo

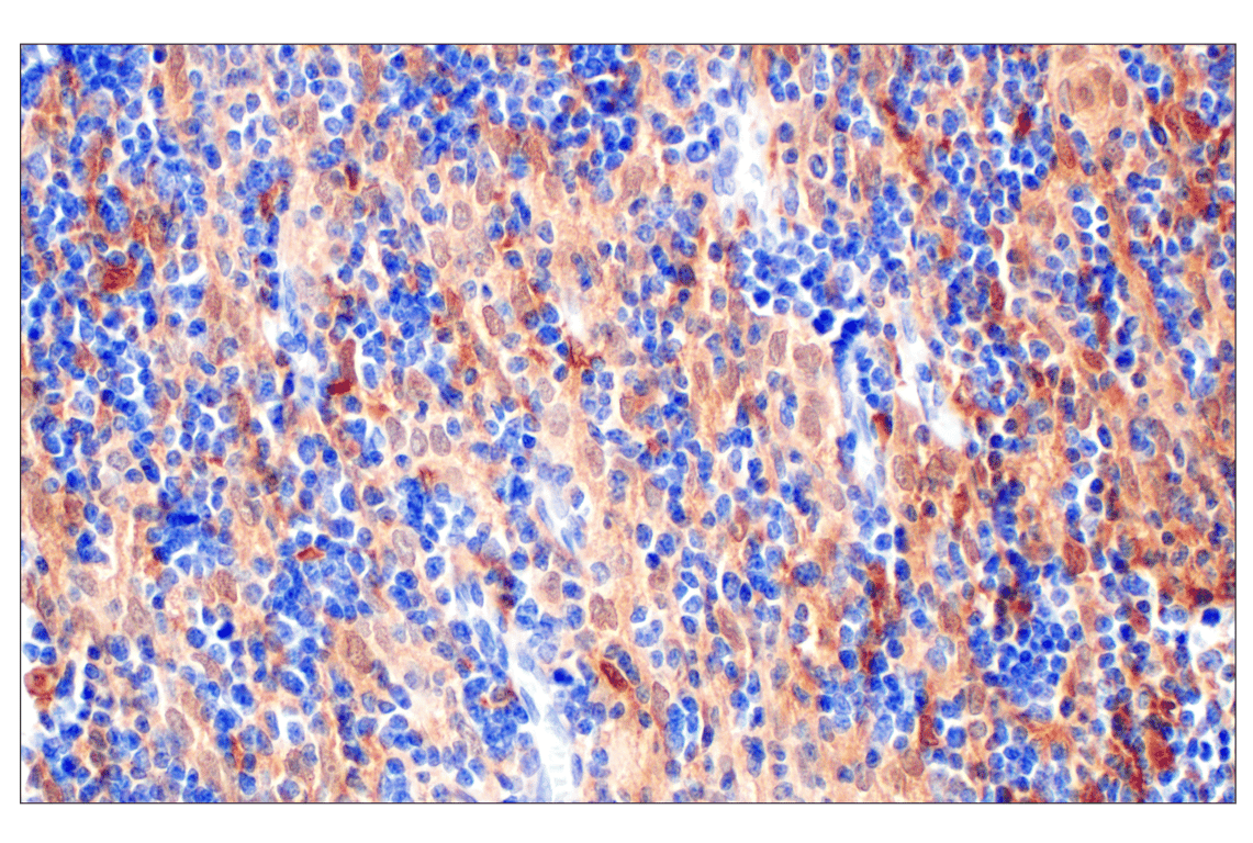
Immunohistochemical analysis of paraffin-embedded human B-cell non-Hodgkin lymphoma using BLVRA (F7Z7R) Rabbit mAb.

Immunohistochemistry Image 2: BLVRA (F7Z7R) Rabbit Monoclonal Antibody

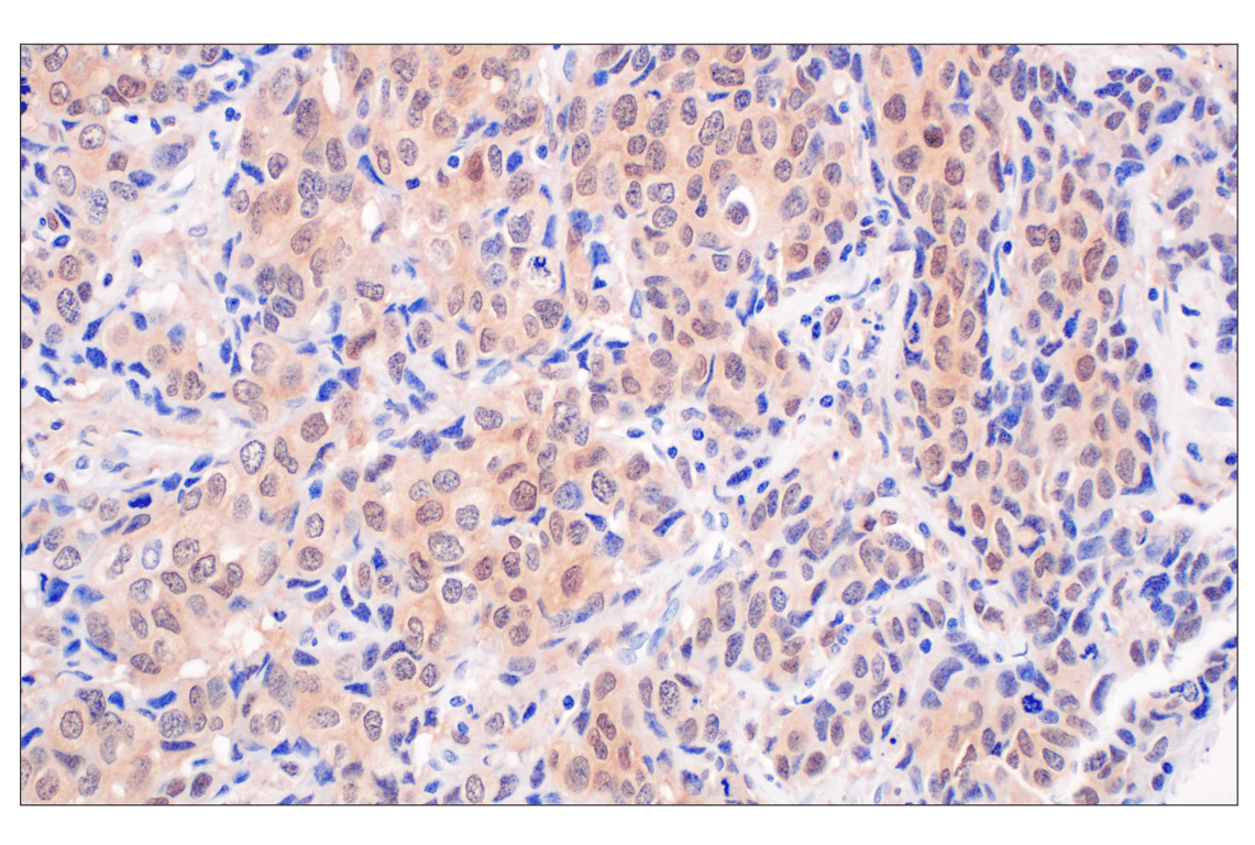
Immunohistochemical analysis of paraffin-embedded human infiltrating ductal carcinoma of the breast using BLVRA (F7Z7R) Rabbit mAb.

Immunohistochemistry Image 3: BLVRA (F7Z7R) Rabbit Monoclonal Antibody
Immunohistochemical analysis of paraffin-embedded normal human spleen using BLVRA (F7Z7R) Rabbit mAb.
Immunohistochemistry Image 4: BLVRA (F7Z7R) Rabbit Monoclonal Antibody
Orders: 877-616-CELL (2355) [email protected] Support: 877-678-TECH (8324) [email protected] Web: cellsignal.com
For Research Use Only. Not for Use in Diagnostic Procedures.

Revision 1

Cell Signaling Technology Logo

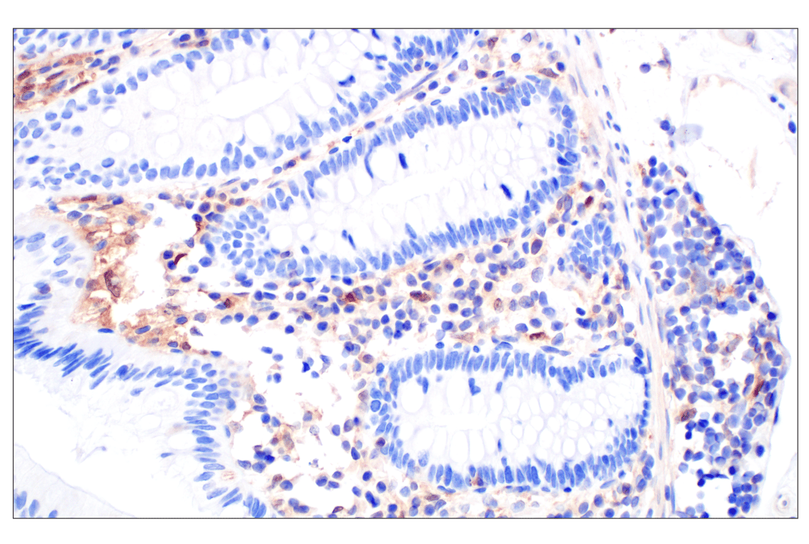
Immunohistochemical analysis of paraffin-embedded normal human colon using BLVRA (F7Z7R) Rabbit mAb.

Immunohistochemistry Image 5: BLVRA (F7Z7R) Rabbit Monoclonal Antibody
Immunohistochemical analysis of paraffin-embedded normal human adrenal gland using BLVRA (F7Z7R) Rabbit mAb.
Immunohistochemistry Image 6: BLVRA (F7Z7R) Rabbit Monoclonal Antibody
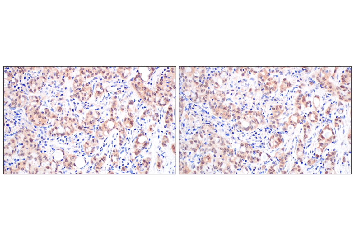
Immunohistochemical analysis of paraffin-embedded human non-small cell lung carcinoma using BLVRA (F7Z7R) Rabbit mAb (left) or a BLVRA Rabbit mAb (right). These two antibodies detect unique, non-overlapping epitopes on human BLVRA. The similar staining patterns obtained with both antibodies help to confirm the specificity of the staining.
Immunohistochemistry Image 7: BLVRA (F7Z7R) Rabbit Monoclonal Antibody
Orders: 877-616-CELL (2355) [email protected] Support: 877-678-TECH (8324) [email protected] Web: cellsignal.com
For Research Use Only. Not for Use in Diagnostic Procedures.

Revision 1

Cell Signaling Technology Logo
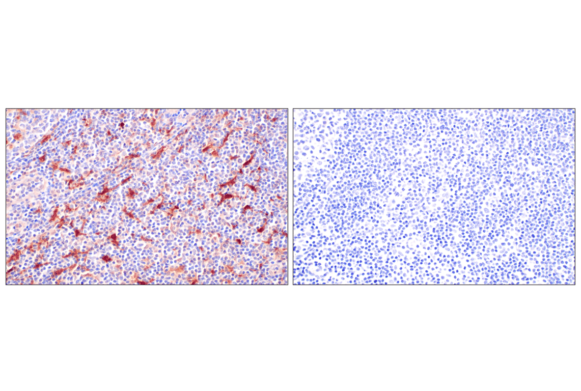
Immunohistochemical analysis of paraffin-embedded human tonsil using BLVRA (F7Z7R) Rabbit mAb (left) compared to concentration-matched Rabbit (DA1E) mAb IgG XP® Isotype Control #3900 (right).
Immunohistochemistry Image 8: BLVRA (F7Z7R) Rabbit Monoclonal Antibody
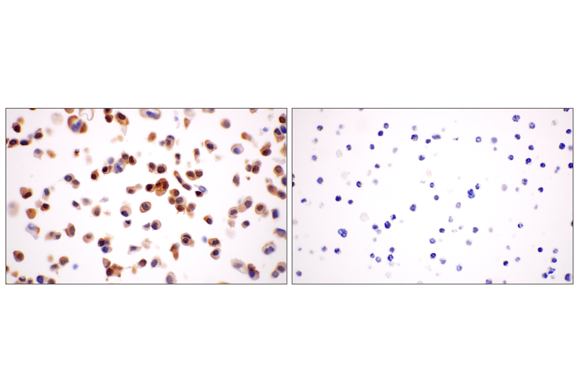
Immunohistochemical analysis of paraffin-embedded ZR-75-1 cell pellet (left, positive) or Daudi cell pellet (right, negative) using BLVRA (F7Z7R) Rabbit mAb.
Immunohistochemistry Image 9: BLVRA (F7Z7R) Rabbit Monoclonal Antibody
Orders: 877-616-CELL (2355) [email protected] Support: 877-678-TECH (8324) [email protected] Web: cellsignal.com
For Research Use Only. Not for Use in Diagnostic Procedures.