Revision 7

#38815

Store at -20C

CST Logo
Orders:

877-616-CELL (2355)

[email protected]

Support:

877-678-TECH (8324)

3 Trask Lane | Danvers | Massachusetts | 01923 | USA

For Research Use Only. Not for Use in Diagnostic Procedures.

Applications:
IHC-Bond, IHC-P

Reactivity:
H

Sensitivity:
Endogenous

Source/Isotype:
Mouse IgG1 kappa

UniProt ID:
#P40967

Entrez-Gene Id:
6490

Product Usage Information

Application Dilution
IHC Leica Bond 1:800 - 1:3200
Immunohistochemistry (Paraffin) 1:400 - 1:1600

Storage

Supplied in 10 mM PBS containing 0.05% BSA and 0.05% sodium azide. Stable for 36 months when stored at -20°C. This product will freeze at -20°C so it is recommended to aliquot into single-use vials to avoid multiple freeze/thaw cycles. A slight precipitate may be present, but will not interfere with antibody performance.

Specificity/Sensitivity

PMEL/Melanoma gp100 (HMB45) Mouse Monoclonal Antibody recognizes endogenous levels of total PMEL/Melanoma gp100 protein.

Source / Purification

Monoclonal antibody is produced by immunizing animals with extract of pigmented melanoma metastases from lymph nodes.

Background

PMEL/Melanoma gp100 is a type 1 transmembrane glycoprotein primarily expressed in pigment cells of the skin and eye, and overexpressed in more than 75% of human melanomas (1-3). It is involved in the transformation of melanosomes from stage I to stage II, forming the fibrillar matrix necessary for pigmentation of the cell (4). The synthesis and modification of PMEL/Melanoma gp100 is done in the endoplasmic reticulum (ER) and transferred to the Golgi complex where it is cleaved into two disulfide-linked subunits, Mα and Mβ. The cleavage of the large luminal Mα fragment is required for the formation of the fibrils that are the structure for melanin synthesis (5,6). The ability for PMEL/Melanoma gp100 to form functional amyloids makes it an interesting protein to study when looking at pathological amyloids in neurodegenerative diseases, such as Alzheimer’s disease and Parkinson’s disease (5,7). Due to melanocyte-restricted expression of this protein, PMEL/Melanoma gp100 is considered a tumor-associated antigen that can be targeted by immunotherapeutic approaches to treat melanoma (8-10).

Species Reactivity

Species reactivity is determined by testing in at least one approved application (e.g., western blot).

Applications Key

IHC-Bond: IHC Leica Bond IHC-P: Immunohistochemistry (Paraffin)

Cross-Reactivity Key

H: Human

Trademarks and Patents

Cell Signaling Technology is a trademark of Cell Signaling Technology, Inc.

SignalStain is a registered trademark of Cell Signaling Technology, Inc.

All other trademarks are the property of their respective owners. Visit cellsignal.com/trademarks for more information.

Limited Uses

Except as otherwise expressly agreed in a writing signed by a legally authorized representative of CST, the following terms apply to Products provided by CST, its affiliates or its distributors. Any Customer's terms and conditions that are in addition to, or different from, those contained herein, unless separately accepted in writing by a legally authorized representative of CST, are rejected and are of no force or effect.

Products are labeled with For Research Use Only or a similar labeling statement and have not been approved, cleared, or licensed by the FDA or other regulatory foreign or domestic entity, for any purpose. Customer shall not use any Product for any diagnostic or therapeutic purpose, or otherwise in any manner that conflicts with its labeling statement. Products sold or licensed by CST are provided for Customer as the end-user and solely for research and development uses. Any use of Product for diagnostic, prophylactic or therapeutic purposes, or any purchase of Product for resale (alone or as a component) or other commercial purpose, requires a separate license from CST. Customer shall (a) not sell, license, loan, donate or otherwise transfer or make available any Product to any third party, whether alone or in combination with other materials, or use the Products to manufacture any commercial products, (b) not copy, modify, reverse engineer, decompile, disassemble or otherwise attempt to discover the underlying structure or technology of the Products, or use the Products for the purpose of developing any products or services that would compete with CST products or services, (c) not alter or remove from the Products any trademarks, trade names, logos, patent or copyright notices or markings, (d) use the Products solely in accordance with CST Product Terms of Sale and any applicable documentation, and (e) comply with any license, terms of service or similar agreement with respect to any third party products or services used by Customer in connection with the Products.

Orders: 877-616-CELL (2355) [email protected] Support: 877-678-TECH (8324) [email protected] Web: cellsignal.com
For Research Use Only. Not for Use in Diagnostic Procedures.

Revision 7

Cell Signaling Technology Logo
Immunohistochemical analysis of paraffin-embedded human melanoma using PMEL/Melanoma gp100 (HMB45) Mouse mAb performed on the Leica® BOND™ Rx.
Immunohistochemistry Image 1: PMEL/Melanoma gp100 (HMB45) Mouse Monoclonal Antibody
Immunohistochemical analysis of paraffin-embedded human melanoma using PMEL/Melanoma gp100 (HMB45) Mouse mAb, SignalStain® Boost IHC Detection Reagent (HRP, Mouse) #8125, and SignalStain® Vivid Purple Peroxidase Substrate Kit #96632.
Immunohistochemistry Image 1: PMEL/Melanoma gp100 (HMB45) Mouse Monoclonal Antibody
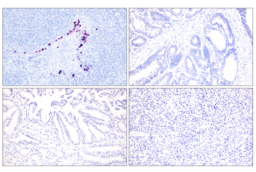
Immunohistochemical analysis of paraffin-embedded human melanoma (top-left), colon adenocarcinoma (top-right), non-Hodgkin's lymphoma (bottom-right), and prostate adenocarcinoma (bottom-left) using PMEL/Melanoma gp100 (HMB45) Mouse mAb. Note specific staining in melanoma.
Immunohistochemistry Image 2: PMEL/Melanoma gp100 (HMB45) Mouse Monoclonal Antibody
Orders: 877-616-CELL (2355) [email protected] Support: 877-678-TECH (8324) [email protected] Web: cellsignal.com
For Research Use Only. Not for Use in Diagnostic Procedures.

Revision 7

Cell Signaling Technology Logo
Immunohistochemical analysis of paraffin-embedded human melanoma using PMEL/Melanoma gp100 (HMB45) Mouse mAb (left) compared to concentration-matched Mouse (G3A1) mAb IgG1 Isotype Control #5415 (right).
Immunohistochemistry Image 3: PMEL/Melanoma gp100 (HMB45) Mouse Monoclonal Antibody
Orders: 877-616-CELL (2355) [email protected] Support: 877-678-TECH (8324) [email protected] Web: cellsignal.com
For Research Use Only. Not for Use in Diagnostic Procedures.