Revision 1

#38916

Store at -20C

CST Logo
Orders:

877-616-CELL (2355)

[email protected]

Support:

877-678-TECH (8324)

3 Trask Lane | Danvers | Massachusetts | 01923 | USA

For Research Use Only. Not for Use in Diagnostic Procedures.

Applications:
W, IP, IHC-P, IF-IC, FC-FP

Reactivity:
H

Sensitivity:
Endogenous

MW (kDa):
27

Source/Isotype:
Rabbit IgG

UniProt ID:
#O60936

Entrez-Gene Id:
8996

Product Usage Information

Application Dilution
Western Blotting 1:1000
Immunoprecipitation 1:100
Immunohistochemistry (Paraffin) 1:400
Immunofluorescence (Immunocytochemistry) 1:1600
Flow Cytometry (Fixed/Permeabilized) 1:100

Storage

Supplied in 10 mM sodium HEPES (pH 7.5), 150 mM NaCl, 100 µg/ml BSA, 50% glycerol and less than 0.02% sodium azide. Store at –20°C. Do not aliquot the antibody.

Specificity/Sensitivity

ARC (D7Q3G) Rabbit Monoclonal Antibody recognizes endogenous levels of total ARC protein.

Source / Purification

Monoclonal antibody is produced by immunizing animals with a synthetic peptide corresponding to residues surrounding Pro125 of human ARC protein, specific to a region encoded by isoform 2 of the NOL3 gene.

Background

Apoptosis repressor with caspase recruitment domain (ARC), also independently identified as muscle-enriched cytoplasmic protein (MYP), is a CARD domain protein that regulates apoptosis (1). The ARC protein CARD domain is highly homologous to those in other cell death regulators, including caspase-2, caspase-9, RAIDD, and Apaf-1 (2). The NOL3 gene encodes both the cytoplasmic ARC protein and a 30 kDa nucleolar protein (Nop30) that is involved in RNA splicing. ARC is encoded from isoform 2 of NOL3, while isoform 1 produced by alternative splicing encodes Nop30. Both ARC and Nop30 proteins share common amino-terminal sequences (3). Research studies show that ARC can bind to caspase-8 and caspase-2 and inhibit apoptosis through extrinsic pathways that involve the receptor proteins Fas, TNFR1, and DR3 (1). Additional research indicates that the ARC anti-apoptotic mechanism may include both intrinsic (mitochondrial) and extrinsic (death receptor) pathways (4). In addition to binding caspases, ARC can disrupt the interaction with the death domains of Fas and FADD, which inhibits death-inducing signaling complex (DISC) assembly. The CARD domain of ARC can inhibit intrinsic apoptosis through binding to the pro-apoptotic Bax protein (5). Phosphorylation of ARC at Thr149 by CK2 is required for targeting of ARC to the mitochondria (6). ARC is able to suppress necroptosis, a programmed pathway of necrosis triggered by blocking the recruitment of RIP1 to TNFR1 (7). Expression of ARC protein is predominantly seen in terminally differentiated cells under normal conditions and is markedly induced in a variety of cancers including pancreatic, colorectal, breast, lung, glioblastoma, liver, kidney, melanoma, and acute myeloid leukemia (1, 8-12).

Species Reactivity

Species reactivity is determined by testing in at least one approved application (e.g., western blot).

Western Blot Buffer

IMPORTANT: For western blots, incubate membrane with diluted primary antibody in 5% w/v BSA, 1X TBS, 0.1% Tween® 20 at 4°C with gentle shaking, overnight.

Applications Key

W: Western Blotting IP: Immunoprecipitation IHC-P: Immunohistochemistry (Paraffin) IF-IC: Immunofluorescence (Immunocytochemistry) FC-FP: Flow Cytometry (Fixed/Permeabilized)

Cross-Reactivity Key

H: Human

Trademarks and Patents

Cell Signaling Technology is a trademark of Cell Signaling Technology, Inc.

Alexa Fluor is a registered trademark of Life Technologies Corporation.

All other trademarks are the property of their respective owners. Visit cellsignal.com/trademarks for more information.

Limited Uses

Except as otherwise expressly agreed in a writing signed by a legally authorized representative of CST, the following terms apply to Products provided by CST, its affiliates or its distributors. Any Customer's terms and conditions that are in addition to, or different from, those contained herein, unless separately accepted in writing by a legally authorized representative of CST, are rejected and are of no force or effect.

Products are labeled with For Research Use Only or a similar labeling statement and have not been approved, cleared, or licensed by the FDA or other regulatory foreign or domestic entity, for any purpose. Customer shall not use any Product for any diagnostic or therapeutic purpose, or otherwise in any manner that conflicts with its labeling statement. Products sold or licensed by CST are provided for Customer as the end-user and solely for research and development uses. Any use of Product for diagnostic, prophylactic or therapeutic purposes, or any purchase of Product for resale (alone or as a component) or other commercial purpose, requires a separate license from CST. Customer shall (a) not sell, license, loan, donate or otherwise transfer or make available any Product to any third party, whether alone or in combination with other materials, or use the Products to manufacture any commercial products, (b) not copy, modify, reverse engineer, decompile, disassemble or otherwise attempt to discover the underlying structure or technology of the Products, or use the Products for the purpose of developing any products or services that would compete with CST products or services, (c) not alter or remove from the Products any trademarks, trade names, logos, patent or copyright notices or markings, (d) use the Products solely in accordance with CST Product Terms of Sale and any applicable documentation, and (e) comply with any license, terms of service or similar agreement with respect to any third party products or services used by Customer in connection with the Products.

Orders: 877-616-CELL (2355) [email protected] Support: 877-678-TECH (8324) [email protected] Web: cellsignal.com
For Research Use Only. Not for Use in Diagnostic Procedures.

Revision 1

Cell Signaling Technology Logo
Western blot analysis of extracts from various cell lines using ARC (D7Q3G) Rabbit mAb (upper) or β-Actin (D6A8) Rabbit mAb #8457 (lower).
Western Blotting Image 1: ARC (D7Q3G) Rabbit Monoclonal Antibody
Western blot analysis of extracts from 293T cells, mock transfected (-) or transfected with constructs expressing

Myc/DDK-tagged full-length human Nop30 protein (hNop30-Myc/DDK; +) or Myc/DDK-tagged full-length human ARC protein (hARC-Myc/DDK; +) using ARC (D7Q3G) Rabbit mAb.

Western Blotting Image 2: ARC (D7Q3G) Rabbit Monoclonal Antibody
Immunoprecipitation of ARC from MCF7 cell extracts. Lane 1 is 10% input, lane 2 is Rabbit (DA1E) mAb IgG XP® Isotype Control #3900 and lane 3 is ARC (D7Q3G) Rabbit mAb. Western blot was performed using ARC (D7Q3G) Rabbit mAb. A conformation-specific secondary antibody was used to avoid cross reactivity with IgG.
Immunoprecipitation Image 1: ARC (D7Q3G) Rabbit Monoclonal Antibody
Orders: 877-616-CELL (2355) [email protected] Support: 877-678-TECH (8324) [email protected] Web: cellsignal.com
For Research Use Only. Not for Use in Diagnostic Procedures.

Revision 1

Cell Signaling Technology Logo
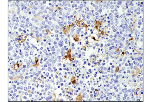
Immunohistochemical analysis of paraffin-embedded human lymphoma using ARC (D7Q3G) Rabbit mAb.
Immunohistochemistry Image 1: ARC (D7Q3G) Rabbit Monoclonal Antibody
Immunohistochemical analysis of paraffin-embedded human ovarian carcinoma using ARC (D7Q3G) Rabbit mAb.
Immunohistochemistry Image 2: ARC (D7Q3G) Rabbit Monoclonal Antibody
Immunohistochemical analysis of paraffin-embedded MCF7 (left) and Daudi (right) cell pellets using ARC (D7Q3G) Rabbit mAb.
Immunohistochemistry Image 3: ARC (D7Q3G) Rabbit Monoclonal Antibody
Orders: 877-616-CELL (2355) [email protected] Support: 877-678-TECH (8324) [email protected] Web: cellsignal.com
For Research Use Only. Not for Use in Diagnostic Procedures.

Revision 1

Cell Signaling Technology Logo
Immunohistochemical analysis of paraffin-embedded human lung carcinoma using ARC (D7Q3G) Rabbit mAb in the presence of control peptide (left) or antigen-specific peptide (right).
Immunohistochemistry Image 4: ARC (D7Q3G) Rabbit Monoclonal Antibody
Confocal immunofluorescent analysis of MCF-7 (positive, left) and Daudi (negative, right) cells, using ARC (D7Q3C) Rabbit mAb (green). Actin filaments were labeled with DyLight™ 554 Phalloidin #13054 (red). Blue pseudocolor = DRAQ5® #4084 (fluorescent DNA dye).
Immunofluorescence Image 1: ARC (D7Q3G) Rabbit Monoclonal Antibody
Flow cytometric analysis of Daudi cells (blue) and MCF7 cells (green) using ARC (D7Q3G) Rabbit mAb. Anti-rabbit IgG (H+L), F(ab')2 Fragment (Alexa Fluor® 488 Conjugate) #4412 was used as a secondary antibody.
Flow Cytometry Image 1: ARC (D7Q3G) Rabbit Monoclonal Antibody
Orders: 877-616-CELL (2355) [email protected] Support: 877-678-TECH (8324) [email protected] Web: cellsignal.com
For Research Use Only. Not for Use in Diagnostic Procedures.