Revision 14

#3900

Store at -20C

CST Logo
Orders:

877-616-CELL (2355)

[email protected]

Support:

877-678-TECH (8324)

3 Trask Lane | Danvers | Massachusetts | 01923 | USA

For Research Use Only. Not for Use in Diagnostic Procedures.

Applications:
IP, IHC-P, IF-IC, FC-FP, FC-L, ChIP

Sensitivity:
Endogenous

Source/Isotype:
Rabbit IgG

Product Usage Information

Important! This control antibody must be diluted to the same concentration (not dilution) as the specific antibody used in analysis. Higher background fluorescence may result if excessive amounts of isotype control are used. For protocol details, please reference the product page for the specific antibody used in analysis.

Storage

Supplied in 10 mM sodium HEPES (pH 7.5), 150 mM NaCl, 100 µg/ml BSA, 50% glycerol and less than 0.02% sodium azide. Store at –20°C. Do not aliquot the antibody.

For a carrier free (BSA and azide free) version of this product see product #49077.

Specificity/Sensitivity

Rabbit (DA1E) Monoclonal Antibody IgG Isotype Control is not directed against any known antigen. This antibody functions as an isotype control for rabbit IgG antibodies.

Background

Isotype control antibodies are used to estimate the nonspecific binding of target primary antibodies due to Fc receptor binding or other protein-protein interactions. An isotype control antibody should have the same immunoglobulin type and be used at the same concentration as the test antibody.

Species Reactivity

Species reactivity is determined by testing in at least one approved application (e.g., western blot).

Applications Key

IP: Immunoprecipitation IHC-P: Immunohistochemistry (Paraffin) IF-IC: Immunofluorescence (Immunocytochemistry) FC-FP: Flow Cytometry (Fixed/Permeabilized) FC-L: Flow Cytometry (Live) ChIP: Chromatin IP

Trademarks and Patents

Cell Signaling Technology is a trademark of Cell Signaling Technology, Inc.

SimpleChIP is a registered trademark of Cell Signaling Technology, Inc.

All other trademarks are the property of their respective owners. Visit cellsignal.com/trademarks for more information.

Limited Uses

Except as otherwise expressly agreed in a writing signed by a legally authorized representative of CST, the following terms apply to Products provided by CST, its affiliates or its distributors. Any Customer's terms and conditions that are in addition to, or different from, those contained herein, unless separately accepted in writing by a legally authorized representative of CST, are rejected and are of no force or effect.

Products are labeled with For Research Use Only or a similar labeling statement and have not been approved, cleared, or licensed by the FDA or other regulatory foreign or domestic entity, for any purpose. Customer shall not use any Product for any diagnostic or therapeutic purpose, or otherwise in any manner that conflicts with its labeling statement. Products sold or licensed by CST are provided for Customer as the end-user and solely for research and development uses. Any use of Product for diagnostic, prophylactic or therapeutic purposes, or any purchase of Product for resale (alone or as a component) or other commercial purpose, requires a separate license from CST. Customer shall (a) not sell, license, loan, donate or otherwise transfer or make available any Product to any third party, whether alone or in combination with other materials, or use the Products to manufacture any commercial products, (b) not copy, modify, reverse engineer, decompile, disassemble or otherwise attempt to discover the underlying structure or technology of the Products, or use the Products for the purpose of developing any products or services that would compete with CST products or services, (c) not alter or remove from the Products any trademarks, trade names, logos, patent or copyright notices or markings, (d) use the Products solely in accordance with CST Product Terms of Sale and any applicable documentation, and (e) comply with any license, terms of service or similar agreement with respect to any third party products or services used by Customer in connection with the Products.

Orders: 877-616-CELL (2355) [email protected] Support: 877-678-TECH (8324) [email protected] Web: cellsignal.com
For Research Use Only. Not for Use in Diagnostic Procedures.

Revision 14

Cell Signaling Technology Logo
Immunoprecipitation of USP10 from Hep G2 extracts. Lane 1 is 10% input, lane 2 is USP10 (D7A5) Rabbit mAb #8501, and lane 3 is Rabbit (DA1E) mAb IgG XP® Isotype Control. Western blot analysis was perfomed using USP10 (D7A5) Rabbit mAb #8501. Anti-rabbit IgG, HRP-linked Antibody #7074 was used as a secondary antibody.
Immunoprecipitation Image 1: Rabbit (DA1E) Monoclonal Antibody IgG Isotype Control
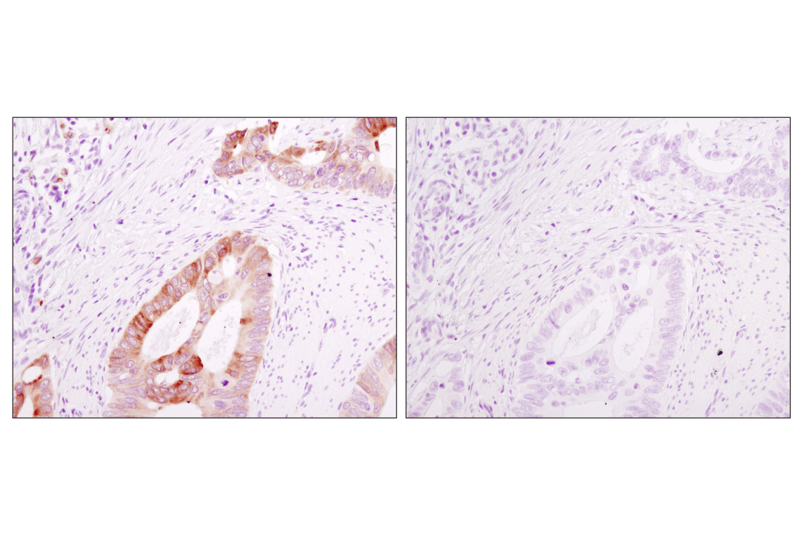
Immunohistochemical analysis of paraffin-embedded human colon carcinoma using Phospho-S6 Ribosomal Protein (Ser235/236) (D57.2.2E) XP® Rabbit mAb #4858 (left) compared to concentration matched Rabbit (DA1E) mAb IgG XP® Isotype Control (right).
Immunohistochemistry Image 1: Rabbit (DA1E) Monoclonal Antibody IgG Isotype Control
Confocal immunofluorescent analysis of A549 cells using β-Tubulin (9F3) Rabbit mAb #2128 (green, left) compared to concentration matched Rabbit (DA1E) mAb IgG XP® Isotype Control (green, right). Blue pseudocolor = DRAQ5® #4084 (fluorescent DNA dye).
Immunofluorescence Image 1: Rabbit (DA1E) Monoclonal Antibody IgG Isotype Control
Orders: 877-616-CELL (2355) [email protected] Support: 877-678-TECH (8324) [email protected] Web: cellsignal.com
For Research Use Only. Not for Use in Diagnostic Procedures.

Revision 14

Cell Signaling Technology Logo
Flow cytometric analysis of Hela cells using Vimentin (D21H3) XP® Rabbit mAb #5741 (green solid line) compared to concentration-matched Rabbit (DA1E) mAb IgG XP® Isotype Control (green dashed line) or unstained cells (orange dashed line). Anti-rabbit IgG (H+L), F(ab')2 Fragment (Alexa Fluor® 488 Conjugate) #4412 was used as a secondary antibody.
Flow Cytometry Image 1: Rabbit (DA1E) Monoclonal Antibody IgG Isotype Control
Chromatin immunoprecipitations were performed using digested chromatin from HeLa cells and the indicated antibodies. Purified DNA was analyzed by quantitative real-time PCR, using SimpleChIP® Human GAPDH Exon 1 Primers, SimpleChIP® Human RPL30 Exon 3 Primers #7014, and SimpleChIP® Human MYT-1 Exon 1 Primers. The relative abundance of each DNA sequence enriched by Rabbit (DA1E) mAb IgG XP® Isotype Control (red) is compared to the amount of the same DNA sequence enriched by the histone H3-specific immunoprecipitations (blue).
Chromatin Immunoprecipitation Image 1: Rabbit (DA1E) Monoclonal Antibody IgG Isotype Control
Orders: 877-616-CELL (2355) [email protected] Support: 877-678-TECH (8324) [email protected] Web: cellsignal.com
For Research Use Only. Not for Use in Diagnostic Procedures.