Revision 8

#39971

Store at +4C

CST Logo
Orders:

877-616-CELL (2355)

[email protected]

Support:

877-678-TECH (8324)

3 Trask Lane | Danvers | Massachusetts | 01923 | USA

For Research Use Only. Not for Use in Diagnostic Procedures.

Applications:
IHC-Bond, IHC-P, IF-IC

Reactivity:
H

Sensitivity:
Endogenous

Source/Isotype:
Mouse IgG2a

UniProt ID:
#P02771

Entrez-Gene Id:
174

Product Usage Information

Application Dilution
IHC Leica Bond 1:50 - 1:200
Immunohistochemistry (Paraffin) 1:100 - 1:400
Immunofluorescence (Immunocytochemistry) 1:50 - 1:200

Storage

Supplied as liquid tissue culture supernatant containing sodium azide as a preservative. Stable for 12 months when stored at 4°C. Do not aliquot the antibody.

Note: This product is only available in the format listed above. We are unable to provide this in a carrier free, custom formulation.

Specificity/Sensitivity

AFP (C3) Mouse Monoclonal Antibody recognizes endogenous levels of alpha-fetoprotein (AFP).

Source / Purification

Monoclonal antibody is produced by immunizing animals with serum of a hepatoma patient that has affinity isolated human alpha-fetoprotein (AFP).

Background

Alpha-fetoprotein (AFP) is a 65 kDa glycoprotein found in the mammalian fetal liver, yolk sac, and GI tract. While AFP expression in adult cells is low, it is aberrantly expressed in adult liver cancer cells (1,2). The tumor suppressor gene p53 and β-catenin are both involved in the regulation of AFP expression. In normal adult cells, p53 binds to the repressor region of the AFP gene, thereby blocking transcription. Mutations in both p53 and β-catenin are associated with aberrant expression of AFP. Research studies have shown that elevated serum AFP levels are predictive of hepatocellular carcinoma (3).

Species Reactivity

Species reactivity is determined by testing in at least one approved application (e.g., western blot).

Applications Key

IHC-Bond: IHC Leica Bond IHC-P: Immunohistochemistry (Paraffin) IF-IC: Immunofluorescence (Immunocytochemistry)

Cross-Reactivity Key

H: Human

Trademarks and Patents

Cell Signaling Technology is a trademark of Cell Signaling Technology, Inc.

SignalStain is a registered trademark of Cell Signaling Technology, Inc.

All other trademarks are the property of their respective owners. Visit cellsignal.com/trademarks for more information.

Limited Uses

Except as otherwise expressly agreed in a writing signed by a legally authorized representative of CST, the following terms apply to Products provided by CST, its affiliates or its distributors. Any Customer's terms and conditions that are in addition to, or different from, those contained herein, unless separately accepted in writing by a legally authorized representative of CST, are rejected and are of no force or effect.

Products are labeled with For Research Use Only or a similar labeling statement and have not been approved, cleared, or licensed by the FDA or other regulatory foreign or domestic entity, for any purpose. Customer shall not use any Product for any diagnostic or therapeutic purpose, or otherwise in any manner that conflicts with its labeling statement. Products sold or licensed by CST are provided for Customer as the end-user and solely for research and development uses. Any use of Product for diagnostic, prophylactic or therapeutic purposes, or any purchase of Product for resale (alone or as a component) or other commercial purpose, requires a separate license from CST. Customer shall (a) not sell, license, loan, donate or otherwise transfer or make available any Product to any third party, whether alone or in combination with other materials, or use the Products to manufacture any commercial products, (b) not copy, modify, reverse engineer, decompile, disassemble or otherwise attempt to discover the underlying structure or technology of the Products, or use the Products for the purpose of developing any products or services that would compete with CST products or services, (c) not alter or remove from the Products any trademarks, trade names, logos, patent or copyright notices or markings, (d) use the Products solely in accordance with CST Product Terms of Sale and any applicable documentation, and (e) comply with any license, terms of service or similar agreement with respect to any third party products or services used by Customer in connection with the Products.

Orders: 877-616-CELL (2355) [email protected] Support: 877-678-TECH (8324) [email protected] Web: cellsignal.com
For Research Use Only. Not for Use in Diagnostic Procedures.

Revision 8

Cell Signaling Technology Logo
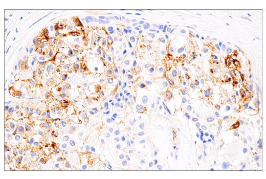
Immunohistochemical analysis of paraffin-embedded human hepatocellular carcinoma using AFP (C3) Mouse mAb performed on the Leica® BOND™ Rx.
Immunohistochemistry Image 1: AFP (C3) Mouse Monoclonal Antibody
Immunohistochemical analysis of paraffin-embedded human hepatocellular carcinoma using AFP (C3) Mouse mAb performed on the Leica® BOND™ Rx.
Immunohistochemistry Image 2: AFP (C3) Mouse Monoclonal Antibody
Immunohistochemical analysis of paraffin-embedded human hepatocellular carcinoma (left-top), breast carcinoma (middle-top), colon carcinoma (right-top), normal liver (left-bottom), normal lymph node (middle-bottom), and normal pancreas (right-bottom) using AFP (C3) Mouse mAb.
Immunohistochemistry Image 1: AFP (C3) Mouse Monoclonal Antibody
Orders: 877-616-CELL (2355) [email protected] Support: 877-678-TECH (8324) [email protected] Web: cellsignal.com
For Research Use Only. Not for Use in Diagnostic Procedures.

Revision 8

Cell Signaling Technology Logo
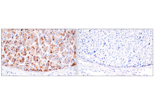
Immunohistochemical analysis of paraffin-embedded human hepatocellular carcinoma using AFP (C3) Mouse mAb (left) compared to concentration-matched Mouse (E5Y6Q) mAb IgG2a Isotype Control #61656 (right).
Immunohistochemistry Image 2: AFP (C3) Mouse Monoclonal Antibody
Immunohistochemical analysis of paraffin-embedded Hep G2 cell pellet (left, positive) or HLE cell pellet (right, negative) using AFP (C3) Mouse mAb.
Immunohistochemistry Image 3: AFP (C3) Mouse Monoclonal Antibody
Confocal immunofluorescent analysis of HuH-7 cells (left, positive) and MCF7 cells (right, negative) using AFP (C3) Mouse mAb (green), DyLight 554 Phalloidin #13054 (red), and DAPI #4083 (blue).
Immunofluorescence Image 1: AFP (C3) Mouse Monoclonal Antibody
Orders: 877-616-CELL (2355) [email protected] Support: 877-678-TECH (8324) [email protected] Web: cellsignal.com
For Research Use Only. Not for Use in Diagnostic Procedures.