Revision 5

#40538

Store at -20C

CST Logo
Orders:

877-616-CELL (2355)

[email protected]

Support:

877-678-TECH (8324)

3 Trask Lane | Danvers | Massachusetts | 01923 | USA

For Research Use Only. Not for Use in Diagnostic Procedures.

Applications:
W, IHC-P, IF-IC, FC-FP

Reactivity:
H

Sensitivity:
Endogenous

MW (kDa):
50-70

Source/Isotype:
Rabbit IgG

UniProt ID:
#P11169

Entrez-Gene Id:
6515

Product Usage Information

Application Dilution
Western Blotting 1:1000
Immunohistochemistry (Paraffin) 1:3200 - 1:12800
Immunofluorescence (Immunocytochemistry) 1:800 - 1:1600
Flow Cytometry (Fixed/Permeabilized) 1:50 - 1:200

Storage

Supplied in 10 mM sodium HEPES (pH 7.5), 150 mM NaCl, 100 µg/ml BSA, 50% glycerol and less than 0.02% sodium azide. Store at –20°C. Do not aliquot the antibody.

For a carrier free (BSA and azide free) version of this product see product #18035.

Specificity/Sensitivity

Glut3 (E7M7V) Rabbit Monoclonal Antibody recognizes endogenous levels of total Glut3 protein. This antibody does not cross-react with Glut1, Glut2, or Glut4.

Source / Purification

Monoclonal antibody is produced by immunizing animals with a synthetic peptide corresponding to residues surrounding Ala472 of human Glut3 protein.

Background

Glucose transporter 3 (Glut3, also known as SLC2A3) has a higher affinity for glucose than the ubiquitous glucose transporter Glut1. In the normal brain, Glut3 expression is limited to neurons, whereas Glut1 is expressed in both neurons and glia. Glioblastoma-derived brain tumor initiating cells (BTICs) express increased levels of Glut3, enabling their survival in the microenvironment deficient in glucose. In addition, Glut3 expression levels correlate with poor survival in brain tumors (1). Furthermore, integrin αvβ3 was shown to stimulate PAK4-YAP/TAZ signaling to upregulate Glut3 expression in glioblastoma cells. A subpopulation of glioblastoma was identified to be addicted to Glut3 and is highly sensitive to the disruption of integrin αvβ3-PAK4-YAP/TAZ signaling (2,3).

Species Reactivity

Species reactivity is determined by testing in at least one approved application (e.g., western blot).

Western Blot Buffer

IMPORTANT: For western blots, incubate membrane with diluted primary antibody in 5% w/v nonfat dry milk, 1X TBS, 0.1% Tween® 20 at 4°C with gentle shaking, overnight.

Applications Key

W: Western Blotting IHC-P: Immunohistochemistry (Paraffin) IF-IC: Immunofluorescence (Immunocytochemistry) FC-FP: Flow Cytometry (Fixed/Permeabilized)

Cross-Reactivity Key

H: Human

Trademarks and Patents

Cell Signaling Technology is a trademark of Cell Signaling Technology, Inc.

Alexa Fluor is a registered trademark of Life Technologies Corporation.

All other trademarks are the property of their respective owners. Visit cellsignal.com/trademarks for more information.

Limited Uses

Except as otherwise expressly agreed in a writing signed by a legally authorized representative of CST, the following terms apply to Products provided by CST, its affiliates or its distributors. Any Customer's terms and conditions that are in addition to, or different from, those contained herein, unless separately accepted in writing by a legally authorized representative of CST, are rejected and are of no force or effect.

Products are labeled with For Research Use Only or a similar labeling statement and have not been approved, cleared, or licensed by the FDA or other regulatory foreign or domestic entity, for any purpose. Customer shall not use any Product for any diagnostic or therapeutic purpose, or otherwise in any manner that conflicts with its labeling statement. Products sold or licensed by CST are provided for Customer as the end-user and solely for research and development uses. Any use of Product for diagnostic, prophylactic or therapeutic purposes, or any purchase of Product for resale (alone or as a component) or other commercial purpose, requires a separate license from CST. Customer shall (a) not sell, license, loan, donate or otherwise transfer or make available any Product to any third party, whether alone or in combination with other materials, or use the Products to manufacture any commercial products, (b) not copy, modify, reverse engineer, decompile, disassemble or otherwise attempt to discover the underlying structure or technology of the Products, or use the Products for the purpose of developing any products or services that would compete with CST products or services, (c) not alter or remove from the Products any trademarks, trade names, logos, patent or copyright notices or markings, (d) use the Products solely in accordance with CST Product Terms of Sale and any applicable documentation, and (e) comply with any license, terms of service or similar agreement with respect to any third party products or services used by Customer in connection with the Products.

Orders: 877-616-CELL (2355) [email protected] Support: 877-678-TECH (8324) [email protected] Web: cellsignal.com
For Research Use Only. Not for Use in Diagnostic Procedures.

Revision 5

Cell Signaling Technology Logo
Western blot analysis of membrane/organelle fraction extracts from SW480 and OVCAR-4 cells using Glut3 (E7M7V) Rabbit mAb (upper) and Na,K-ATPase α1 (D4Y7E) Rabbit mAb #23565 (lower). The difference in Glut3 expression levels detected in SW480 and OVCAR-4 extracts is consistent with both RNAseq and proteomic expression profiling data, confirming specificity of the antibody for Glut3.
Western Blotting Image 1: Glut3 (E7M7V) Rabbit Monoclonal Antibody
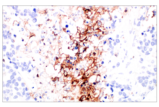
Immunohistochemical analysis of paraffin-embedded human large cell neuroendocrine lung carcinoma using Glut3 (E7M7V) Rabbit mAb.
Immunohistochemistry Image 1: Glut3 (E7M7V) Rabbit Monoclonal Antibody
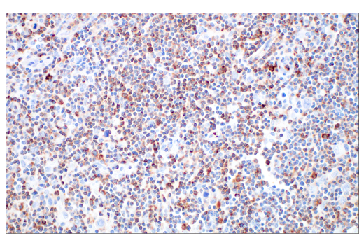
Immunohistochemical analysis of paraffin-embedded human B-cell non-Hodgkin lymphoma using Glut3 (E7M7V) Rabbit mAb.
Immunohistochemistry Image 2: Glut3 (E7M7V) Rabbit Monoclonal Antibody
Orders: 877-616-CELL (2355) [email protected] Support: 877-678-TECH (8324) [email protected] Web: cellsignal.com
For Research Use Only. Not for Use in Diagnostic Procedures.

Revision 5

Cell Signaling Technology Logo
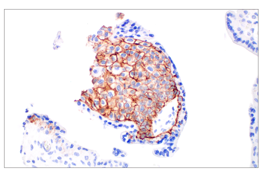
Immunohistochemical analysis of paraffin-embedded human esophageal adenocarcinoma using Glut3 (E7M7V) Rabbit mAb.
Immunohistochemistry Image 3: Glut3 (E7M7V) Rabbit Monoclonal Antibody
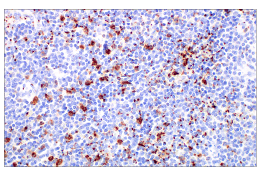
Immunohistochemical analysis of paraffin-embedded human Hodgkin lymphoma using Glut3 (E7M7V) Rabbit mAb.
Immunohistochemistry Image 4: Glut3 (E7M7V) Rabbit Monoclonal Antibody
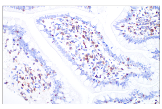
Immunohistochemical analysis of paraffin-embedded human colon adenocarcinoma using Glut3 (E7M7V) Rabbit mAb
Immunohistochemistry Image 5: Glut3 (E7M7V) Rabbit Monoclonal Antibody
Orders: 877-616-CELL (2355) [email protected] Support: 877-678-TECH (8324) [email protected] Web: cellsignal.com
For Research Use Only. Not for Use in Diagnostic Procedures.

Revision 5

Cell Signaling Technology Logo
Immunohistochemical analysis of paraffin-embedded normal human brain using Glut3 (E7M7V) Rabbit mAb.
Immunohistochemistry Image 6: Glut3 (E7M7V) Rabbit Monoclonal Antibody
Immunohistochemical analysis of paraffin-embedded normal human adrenal gland using Glut3 (E7M7V) Rabbit mAb.


Immunohistochemistry Image 7: Glut3 (E7M7V) Rabbit Monoclonal Antibody
Immunohistochemical analysis of paraffin-embedded normal human placenta using Glut3 (E7M7V) Rabbit mAb.
Immunohistochemistry Image 8: Glut3 (E7M7V) Rabbit Monoclonal Antibody
Orders: 877-616-CELL (2355) [email protected] Support: 877-678-TECH (8324) [email protected] Web: cellsignal.com
For Research Use Only. Not for Use in Diagnostic Procedures.

Revision 5

Cell Signaling Technology Logo
Immunohistochemical analysis of paraffin-embedded normal human small intestine using Glut3 (E7M7V) Rabbit mAb.

Immunohistochemistry Image 9: Glut3 (E7M7V) Rabbit Monoclonal Antibody
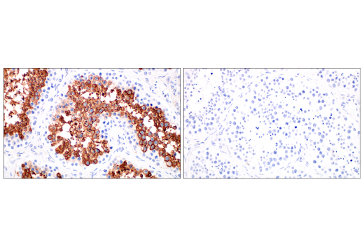
Immunohistochemical analysis of paraffin-embedded normal human testis using Glut3 (E7M7V) Rabbit mAb (left) compared to concentration-matched Rabbit (DA1E) mAb IgG XP® Isotype Control #3900 (right). 
Immunohistochemistry Image 10: Glut3 (E7M7V) Rabbit Monoclonal Antibody
Immunohistochemical analysis of paraffin-embedded SW480 cell pellet (left, positive) or OVCAR-4 cell pellet (right, negative) using Glut3 (E7M7V) Rabbit mAb.
Immunohistochemistry Image 11: Glut3 (E7M7V) Rabbit Monoclonal Antibody
Orders: 877-616-CELL (2355) [email protected] Support: 877-678-TECH (8324) [email protected] Web: cellsignal.com
For Research Use Only. Not for Use in Diagnostic Procedures.

Revision 5

Cell Signaling Technology Logo
Confocal immunofluorescent analysis of SW480 cells (top, positive) and OVCAR-4 cells (bottom, negative). Cells were fixed with either ice-cold 100% methanol (left) or 4% formaldehyde (right), stained with Glut3 (E7M7V) Rabbit mAb (green), and then mounted in ProLong® Gold Antifade Reagent with DAPI #8961 (blue).
Immunofluorescence Image 1: Glut3 (E7M7V) Rabbit Monoclonal Antibody
Flow cytometric analysis of OVCAR-4 cells (blue) and SW480 cells (green) using Glut3 (E7M7V) Rabbit mAb (solid lines) or a concentration-matched Rabbit (DA1E) mAb IgG XP® Isotype Control #3900 (dashed lines). Anti-rabbit IgG (H+L), F(ab')2 Fragment (Alexa Fluor® 488 Conjugate) #4412 was used as a secondary antibody.
Flow Cytometry Image 1: Glut3 (E7M7V) Rabbit Monoclonal Antibody
Orders: 877-616-CELL (2355) [email protected] Support: 877-678-TECH (8324) [email protected] Web: cellsignal.com
For Research Use Only. Not for Use in Diagnostic Procedures.