Revision 3

#41107

Store at -20C

CST Logo
Orders:

877-616-CELL (2355)

[email protected]

Support:

877-678-TECH (8324)

3 Trask Lane | Danvers | Massachusetts | 01923 | USA

For Research Use Only. Not for Use in Diagnostic Procedures.

Applications:
W, W-S, IHC-P

Reactivity:
H

Sensitivity:
Endogenous

MW (kDa):
50

Source/Isotype:
Rabbit IgG

UniProt ID:
#P34896

Entrez-Gene Id:
6470

Product Usage Information

Application Dilution
Western Blotting 1:1000
Simple Western™ 1:10 - 1:50
Immunohistochemistry (Paraffin) 1:300 - 1:1200

Storage

Supplied in 10 mM sodium HEPES (pH 7.5), 150 mM NaCl, 100 µg/mL BSA, 50% glycerol, and less than 0.02% sodium azide. Store at –20°C. Do not aliquot the antibody.

Specificity/Sensitivity

SHMT1 (F5Q3S) Rabbit Monoclonal Antibody recognizes endogenous levels of total SHMT1 protein. This antibody does not cross-react with SHMT2 protein.

Source / Purification

Monoclonal antibody is produced by immunizing animals with a synthetic peptide corresponding to residues near the carboxy terminus of human SHMT1 protein.

Background

Serine hydroxymethyltransferases 1 and 2 (SHMT1, SHMT2) are cytoplasmic and mitochondrial serine hydroxymethyltransferases, respectively (1,2). They catalyze the conversion of serine to glycine with the transfer of β-carbon from serine to tetrahydrofolate (THF) to form 5,10-methylene-THF (1,2). Research studies indicate that SHMT1 hemizygosity is associated with higher risk of intestinal cancer in mice of a certain genetic background (3). Suppression of SHMT2 was shown to block cell proliferation (4).

Species Reactivity

Species reactivity is determined by testing in at least one approved application (e.g., western blot).

Western Blot Buffer

IMPORTANT: For western blots, incubate membrane with diluted primary antibody in 5% w/v nonfat dry milk, 1X TBS, 0.1% Tween® 20 at 4°C with gentle shaking, overnight.

Applications Key

W: Western Blotting W-S: Simple Western™ IHC-P: Immunohistochemistry (Paraffin)

Cross-Reactivity Key

H: Human

Trademarks and Patents

Cell Signaling Technology is a trademark of Cell Signaling Technology, Inc.

All other trademarks are the property of their respective owners. Visit cellsignal.com/trademarks for more information.

Limited Uses

Except as otherwise expressly agreed in a writing signed by a legally authorized representative of CST, the following terms apply to Products provided by CST, its affiliates or its distributors. Any Customer's terms and conditions that are in addition to, or different from, those contained herein, unless separately accepted in writing by a legally authorized representative of CST, are rejected and are of no force or effect.

Products are labeled with For Research Use Only or a similar labeling statement and have not been approved, cleared, or licensed by the FDA or other regulatory foreign or domestic entity, for any purpose. Customer shall not use any Product for any diagnostic or therapeutic purpose, or otherwise in any manner that conflicts with its labeling statement. Products sold or licensed by CST are provided for Customer as the end-user and solely for research and development uses. Any use of Product for diagnostic, prophylactic or therapeutic purposes, or any purchase of Product for resale (alone or as a component) or other commercial purpose, requires a separate license from CST. Customer shall (a) not sell, license, loan, donate or otherwise transfer or make available any Product to any third party, whether alone or in combination with other materials, or use the Products to manufacture any commercial products, (b) not copy, modify, reverse engineer, decompile, disassemble or otherwise attempt to discover the underlying structure or technology of the Products, or use the Products for the purpose of developing any products or services that would compete with CST products or services, (c) not alter or remove from the Products any trademarks, trade names, logos, patent or copyright notices or markings, (d) use the Products solely in accordance with CST Product Terms of Sale and any applicable documentation, and (e) comply with any license, terms of service or similar agreement with respect to any third party products or services used by Customer in connection with the Products.

Orders: 877-616-CELL (2355) [email protected] Support: 877-678-TECH (8324) [email protected] Web: cellsignal.com
For Research Use Only. Not for Use in Diagnostic Procedures.

Revision 3

Cell Signaling Technology Logo
Western blot analysis of extracts from various cell lines using SHMT1 (F5Q3S) Rabbit mAb (upper) or GAPDH (D16H11) XP® Rabbit mAb #5174 (lower).
Western Blotting Image 1: SHMT1 (F5Q3S) Rabbit Monoclonal Antibody
Western blot analysis of extracts from control 293T cells (lane 1) or SHMT1 knockout (KO) 293T cells (lane 2) using SHMT1 (F5Q3S) Rabbit mAb (upper) or GAPDH (D16H11) XP® Rabbit mAb #5174 (lower).
Western Blotting Image 2: SHMT1 (F5Q3S) Rabbit Monoclonal Antibody
Western blot analysis of extracts from 293T cells, mock transfected (-) or transfected with constructs expressing DDK-tagged full-length human SHMT1 protein (hSHMT1-DDK; +) or DDK-tagged full-length human SHMT2 protein (hSHMT2-DDK; +), using SHMT1 (F5Q3S) Rabbit mAb (upper), DYKDDDDK Tag (D6W5B) Rabbit mAb #14793 (middle), or GAPDH (D16H11) XP® Rabbit mAb #5174 (lower).
Western Blotting Image 3: SHMT1 (F5Q3S) Rabbit Monoclonal Antibody
Orders: 877-616-CELL (2355) [email protected] Support: 877-678-TECH (8324) [email protected] Web: cellsignal.com
For Research Use Only. Not for Use in Diagnostic Procedures.

Revision 3

Cell Signaling Technology Logo
Simple WesternTM analysis of lysates (0.1 mg/mL) from SK-N-AS cells using SHMT1 (F5Q3S) Rabbit mAb #41107.  The virtual lane view (left) shows the target band (as indicated) at 1:10 and 1:50 dilutions of primary antibody.  The corresponding electropherogram view (right) plots chemiluminescence by molecular weight along the capillary at 1:10 (blue line) and 1:50 (green line) dilutions of primary antibody.  This experiment was performed under reducing conditions on the JessTM Simple Western instrument from ProteinSimple, a BioTechne brand, using the 12-230 kDa separation module.
Western Blotting Image 1: SHMT1 (F5Q3S) Rabbit Monoclonal Antibody
Immunohistochemical analysis of paraffin-embedded human papillary thyroid carcinoma using SHMT1 (F5Q3S) Rabbit mAb.
Immunohistochemistry Image 1: SHMT1 (F5Q3S) Rabbit Monoclonal Antibody
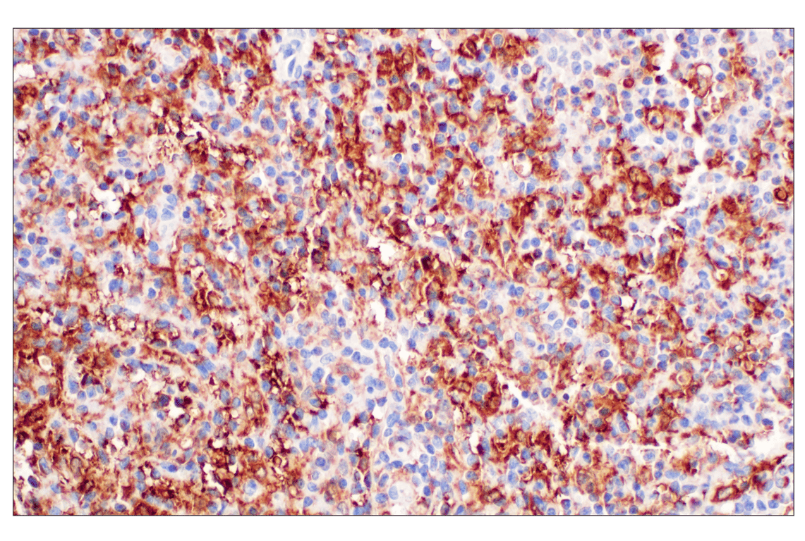
Immunohistochemical analysis of paraffin-embedded human non-Hodgkin lymphoma using SHMT1 (F5Q3S) Rabbit mAb.
Immunohistochemistry Image 2: SHMT1 (F5Q3S) Rabbit Monoclonal Antibody
Orders: 877-616-CELL (2355) [email protected] Support: 877-678-TECH (8324) [email protected] Web: cellsignal.com
For Research Use Only. Not for Use in Diagnostic Procedures.

Revision 3

Cell Signaling Technology Logo

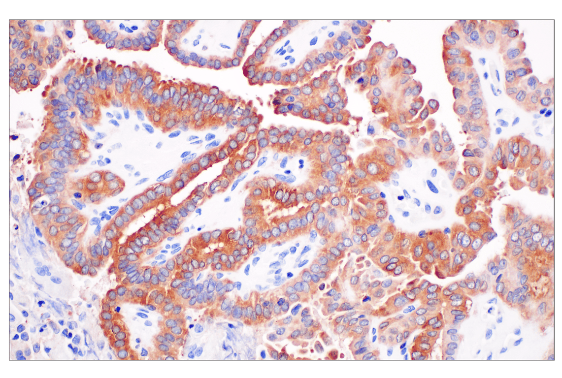
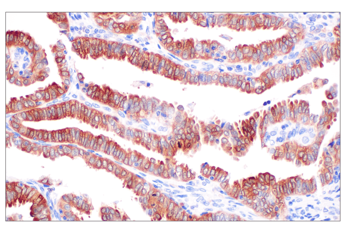
Immunohistochemical analysis of paraffin-embedded human endometrioid adenocarcinoma using SHMT1 (F5Q3S) Rabbit mAb.

Immunohistochemistry Image 3: SHMT1 (F5Q3S) Rabbit Monoclonal Antibody
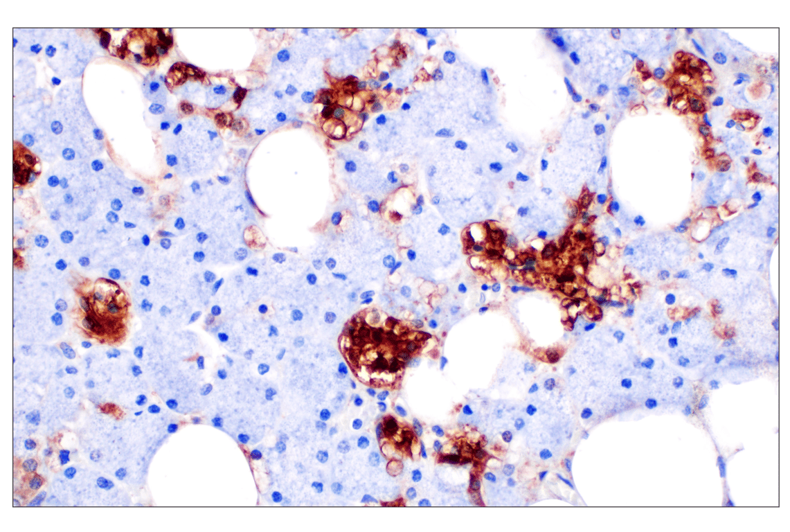
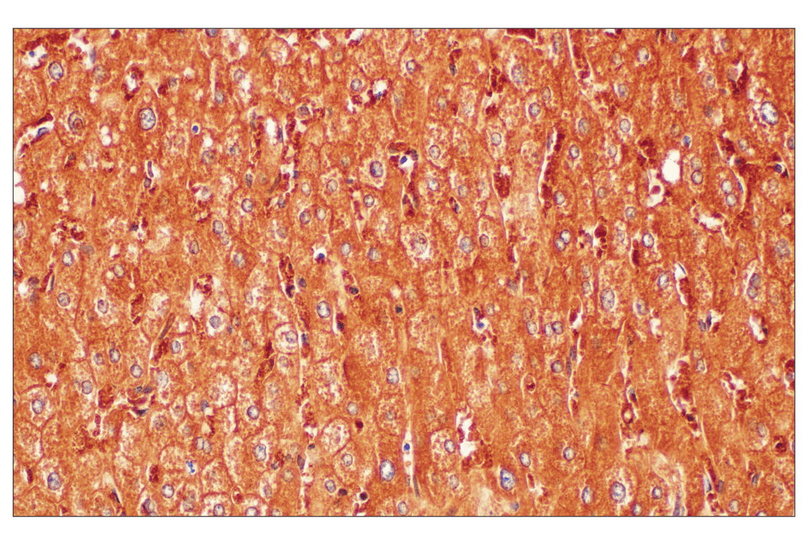
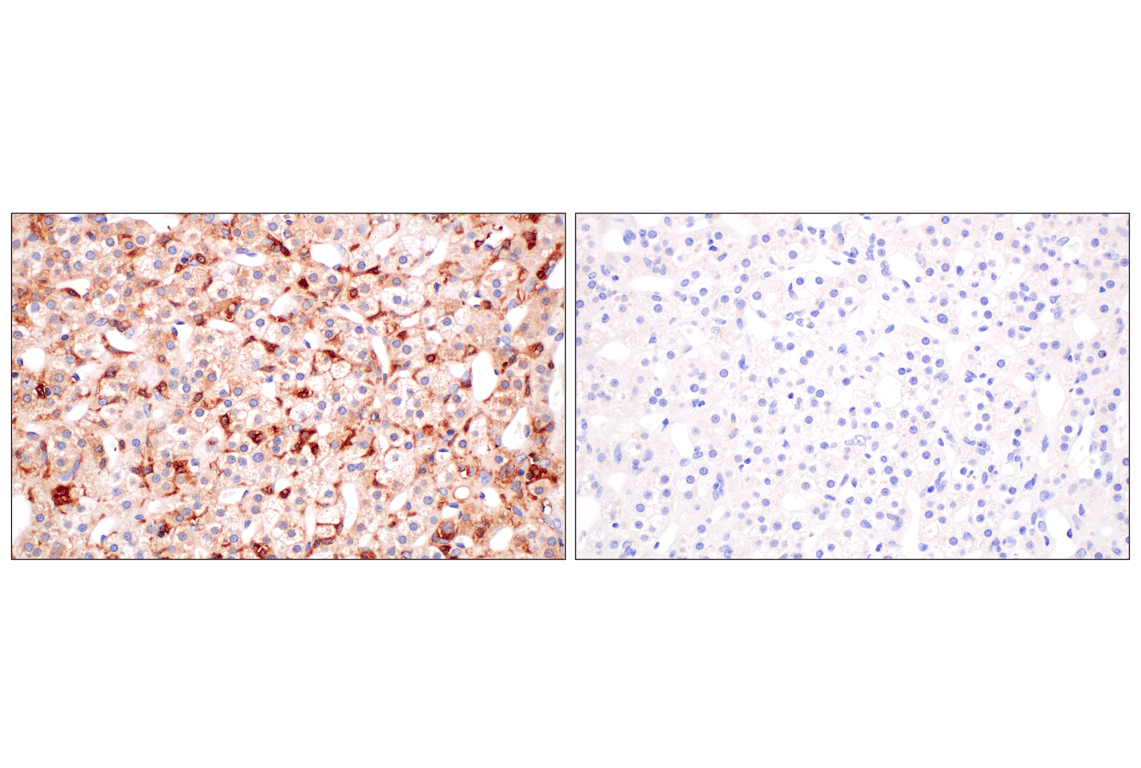
Immunohistochemical analysis of paraffin-embedded normal human liver using SHMT1 (F5Q3S) Rabbit mAb.
Immunohistochemistry Image 4: SHMT1 (F5Q3S) Rabbit Monoclonal Antibody
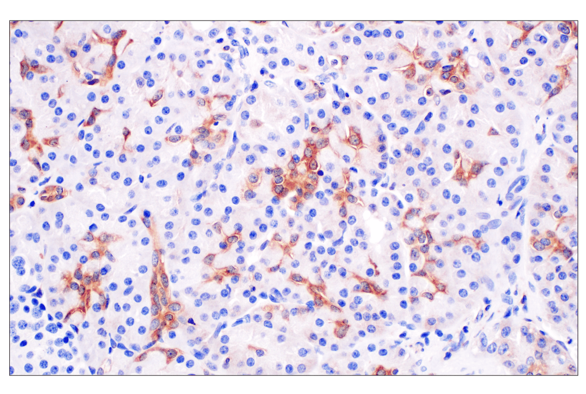
Immunohistochemical analysis of paraffin-embedded normal human pancreas using SHMT1 (F5Q3S) Rabbit mAb.
Immunohistochemistry Image 5: SHMT1 (F5Q3S) Rabbit Monoclonal Antibody
Orders: 877-616-CELL (2355) [email protected] Support: 877-678-TECH (8324) [email protected] Web: cellsignal.com
For Research Use Only. Not for Use in Diagnostic Procedures.

Revision 3

Cell Signaling Technology Logo

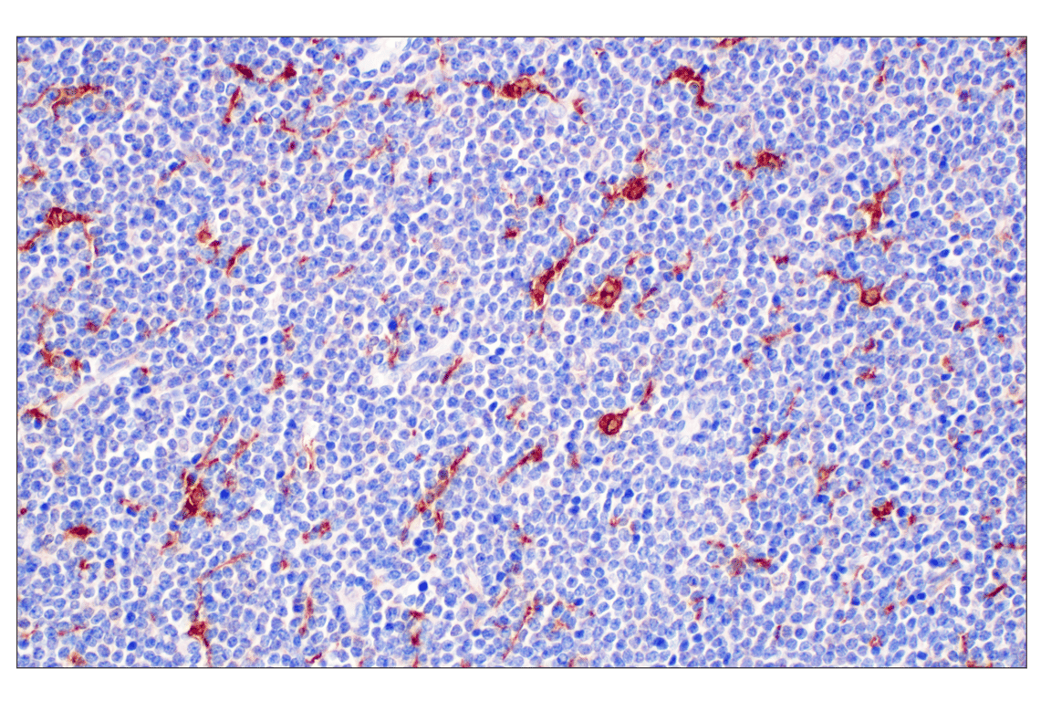
Immunohistochemical analysis of paraffin-embedded normal human spleen using SHMT1 (F5Q3S) Rabbit mAb.

Immunohistochemistry Image 6: SHMT1 (F5Q3S) Rabbit Monoclonal Antibody

Immunohistochemical analysis of paraffin-embedded normal human salivary gland using SHMT1 (F5Q3S) Rabbit mAb.

Immunohistochemistry Image 7: SHMT1 (F5Q3S) Rabbit Monoclonal Antibody

Immunohistochemical analysis of paraffin-embedded normal human prostate using SHMT1 (F5Q3S) Rabbit mAb.

Immunohistochemistry Image 8: SHMT1 (F5Q3S) Rabbit Monoclonal Antibody
Orders: 877-616-CELL (2355) [email protected] Support: 877-678-TECH (8324) [email protected] Web: cellsignal.com
For Research Use Only. Not for Use in Diagnostic Procedures.

Revision 3

Cell Signaling Technology Logo
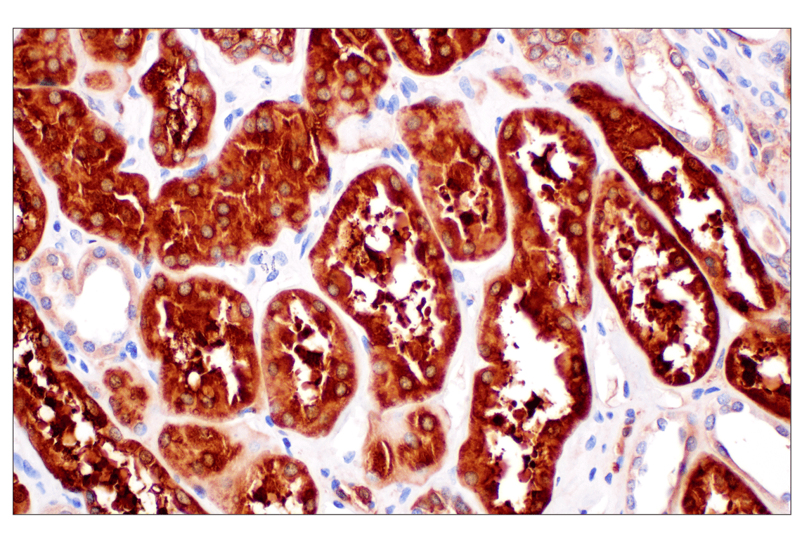
Immunohistochemical analysis of paraffin-embedded normal human kidney using SHMT1 (F5Q3S) Rabbit mAb.
Immunohistochemistry Image 9: SHMT1 (F5Q3S) Rabbit Monoclonal Antibody
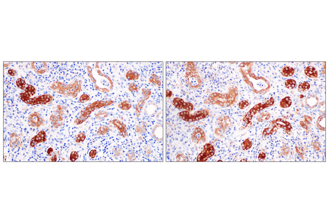
Immunohistochemical analysis of paraffin-embedded human renal cell carcinoma using SHMT1 (F5Q3S) Rabbit mAb (left) or an SHMT1 Rabbit mAb (right). These two antibodies detect unique epitopes on human SHMT1. The similar staining patterns obtained with both antibodies help to confirm the specificity of the staining.
Immunohistochemistry Image 10: SHMT1 (F5Q3S) Rabbit Monoclonal Antibody
Immunohistochemical analysis of paraffin-embedded normal human adrenal gland using SHMT1 (F5Q3S) Rabbit mAb (left) compared to concentration-matched Rabbit (DA1E) mAb IgG XP® Isotype Control #3900 (right).
Immunohistochemistry Image 11: SHMT1 (F5Q3S) Rabbit Monoclonal Antibody
Orders: 877-616-CELL (2355) [email protected] Support: 877-678-TECH (8324) [email protected] Web: cellsignal.com
For Research Use Only. Not for Use in Diagnostic Procedures.

Revision 3

Cell Signaling Technology Logo
Immunohistochemical analysis of paraffin-embedded T24 cell pellet (left, high-expressing) or RMG-I cell pellet (right, low-expressing) using SHMT1 (F5Q3S) Rabbit mAb.
Immunohistochemistry Image 12: SHMT1 (F5Q3S) Rabbit Monoclonal Antibody
Orders: 877-616-CELL (2355) [email protected] Support: 877-678-TECH (8324) [email protected] Web: cellsignal.com
For Research Use Only. Not for Use in Diagnostic Procedures.