Revision 1

#41690

Store at -20C

CST Logo
Orders:

877-616-CELL (2355)

[email protected]

Support:

877-678-TECH (8324)

3 Trask Lane | Danvers | Massachusetts | 01923 | USA

For Research Use Only. Not for Use in Diagnostic Procedures.

Applications:
W, IHC-Bond, IHC-P

Reactivity:
H M Hm

Sensitivity:
Endogenous

MW (kDa):
120-135

Source/Isotype:
Rabbit IgG

UniProt ID:
#Q9BYF1

Entrez-Gene Id:
59272

Product Usage Information

This product is the carrier free version of product #92485. All data were generated using the same antibody clone in the standard formulation which contains BSA and glycerol.

This formulation is ideal for use with technologies requiring specialized or custom antibody labeling, including fluorophores, metals, lanthanides, and oligonucleotides. It is not recommended for ChIP, ChIP-seq, CUT&RUN or CUT&Tag assays. If you require a carrier free formulation for chromatin profiling, please contact us. Optimal dilutions/concentrations should be determined by the end user.

BSA and Azide Free antibodies are quality control tested by size exclusion chromatography (SEC) to determine antibody integrity.

Formulation

Supplied in 1X PBS (10 mM Na2HPO4, 3 mM KCl, 2 mM KH2PO4, and 140 mM NaCl (pH 7.8)). BSA and Azide Free.

For standard formulation of this product see product #92485

Storage

Store at -20°C. This product will freeze at -20°C so it is recommended to aliquot into single-use vials to avoid multiple freeze/thaw cycles. A slight precipitate may be present and can be dissolved by gently vortexing. This will not interfere with antibody performance.

Specificity/Sensitivity

ACE2 (E5O6J) Rabbit Monoclonal Antibody (BSA and Azide Free) recognizes endogenous levels of total ACE2 protein.

Source / Purification

Monoclonal antibody is produced by immunizing animals with a synthetic peptide corresponding to residues surrounding Asp201 of human ACE2 protein.

Background

ACE2 is a carboxypeptidase that catalyses the conversion of angiotensin I to angiotensin 1-9, or of angiotensin II to the vasodilator angiotensin 1-7 (1). ACE2 is a critical component in the renin-angiotensin system (RAS). ACE2 is predominantly expressed in vascular endothelial cells of the heart and kidney and Leydig and Sertoli cells of the testis (2,3). The unique expression pattern of ACE2 determines its essential role in the regulation of cardiovascular and kidney functions, as well as fertility. ACE2 protein is localized mainly in the extracellular space with its carboxy-terminal end attached to the membrane via its transmembrane domain. Active ACE2 enzyme is secreted by cleavage at the amino terminus. Research studies have shown that ACE2 expression is elevated in human failing heart (4). ACE2 has also been identified as the receptor for SARS and SARS-CoV-2 coronaviruses (5-7).

Species Reactivity

Species reactivity is determined by testing in at least one approved application (e.g., western blot).

Applications Key

W: Western Blotting IHC-Bond: IHC Leica Bond IHC-P: Immunohistochemistry (Paraffin)

Cross-Reactivity Key

H: Human M: Mouse Hm: Hamster

Trademarks and Patents

Cell Signaling Technology is a trademark of Cell Signaling Technology, Inc.

SignalStain is a registered trademark of Cell Signaling Technology, Inc.

All other trademarks are the property of their respective owners. Visit cellsignal.com/trademarks for more information.

Limited Uses

Except as otherwise expressly agreed in a writing signed by a legally authorized representative of CST, the following terms apply to Products provided by CST, its affiliates or its distributors. Any Customer's terms and conditions that are in addition to, or different from, those contained herein, unless separately accepted in writing by a legally authorized representative of CST, are rejected and are of no force or effect.

Products are labeled with For Research Use Only or a similar labeling statement and have not been approved, cleared, or licensed by the FDA or other regulatory foreign or domestic entity, for any purpose. Customer shall not use any Product for any diagnostic or therapeutic purpose, or otherwise in any manner that conflicts with its labeling statement. Products sold or licensed by CST are provided for Customer as the end-user and solely for research and development uses. Any use of Product for diagnostic, prophylactic or therapeutic purposes, or any purchase of Product for resale (alone or as a component) or other commercial purpose, requires a separate license from CST. Customer shall (a) not sell, license, loan, donate or otherwise transfer or make available any Product to any third party, whether alone or in combination with other materials, or use the Products to manufacture any commercial products, (b) not copy, modify, reverse engineer, decompile, disassemble or otherwise attempt to discover the underlying structure or technology of the Products, or use the Products for the purpose of developing any products or services that would compete with CST products or services, (c) not alter or remove from the Products any trademarks, trade names, logos, patent or copyright notices or markings, (d) use the Products solely in accordance with CST Product Terms of Sale and any applicable documentation, and (e) comply with any license, terms of service or similar agreement with respect to any third party products or services used by Customer in connection with the Products.

Orders: 877-616-CELL (2355) [email protected] Support: 877-678-TECH (8324) [email protected] Web: cellsignal.com
For Research Use Only. Not for Use in Diagnostic Procedures.

Revision 1

Cell Signaling Technology Logo
Western blot analysis of extracts from unmodified A549 cells (lane 1) and transgenic A549 cells stably expressing ACE2 protein (lane 2), using ACE2 (E5O6J) XP® Rabbit mAb (upper) and GAPDH (D16H11) XP® Rabbit mAb #5174 (lower). Transgenic A549 cells were generously provided by Dr. Elena Piskounova, Weill Cornell Medicine. Data were generated using the standard formulation of this product.
Western Blotting Image 1: ACE2 (E5O6J) Rabbit Monoclonal Antibody (BSA and Azide Free)
Western blot analysis of extracts from various cell lines using ACE2 (E5O6J) XP® Rabbit mAb (upper) and GAPDH (D16H11) XP® Rabbit mAb #5174 (lower). The absence of detectable ACE2 protein in Hep G2 and HeLa cells is consistent with data from both proteomic and molecular expression profiling studies, confirming specificity of the antibody for ACE2. Data were generated using the standard formulation of this product.
Western Blotting Image 2: ACE2 (E5O6J) Rabbit Monoclonal Antibody (BSA and Azide Free)
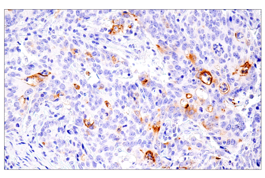
Immunohistochemical analysis of paraffin-embedded human renal cell carcinoma using ACE2 (E5O6J) XP® Rabbit mAb performed on the Leica® BOND™ Rx. Data were generated using the standard formulation of this product.
Immunohistochemistry Image 1: ACE2 (E5O6J) Rabbit Monoclonal Antibody (BSA and Azide Free)
Orders: 877-616-CELL (2355) [email protected] Support: 877-678-TECH (8324) [email protected] Web: cellsignal.com
For Research Use Only. Not for Use in Diagnostic Procedures.

Revision 1

Cell Signaling Technology Logo
Immunohistochemical analysis of paraffin-embedded normal human testis using ACE2 (E5O6J) XP® Rabbit mAb performed on the Leica® BOND™ Rx. Data were generated using the standard formulation of this product.
Immunohistochemistry Image 2: ACE2 (E5O6J) Rabbit Monoclonal Antibody (BSA and Azide Free)
Immunohistochemical analysis of paraffin-embedded human renal cell carcinoma using ACE2 (E5O6J) XP® Rabbit mAb performed on the Leica® BOND™ Rx. Data were generated using the standard formulation of this product.
Immunohistochemistry Image 3: ACE2 (E5O6J) Rabbit Monoclonal Antibody (BSA and Azide Free)
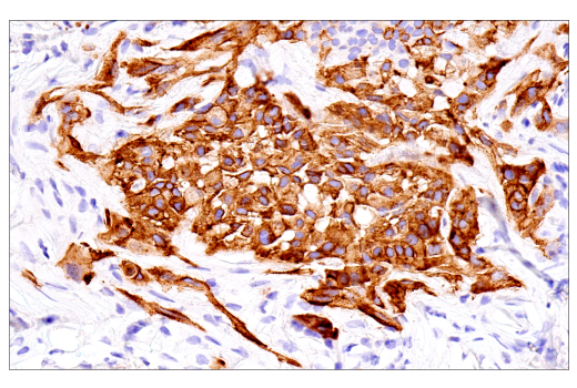
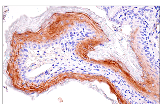
Immunohistochemical analysis of paraffin-embedded human esophageal carcinoma using ACE2 (E5O6J) XP® Rabbit mAb performed on the Leica® BOND™ Rx. Data were generated using the standard formulation of this product.
Immunohistochemistry Image 4: ACE2 (E5O6J) Rabbit Monoclonal Antibody (BSA and Azide Free)
Orders: 877-616-CELL (2355) [email protected] Support: 877-678-TECH (8324) [email protected] Web: cellsignal.com
For Research Use Only. Not for Use in Diagnostic Procedures.

Revision 1

Cell Signaling Technology Logo
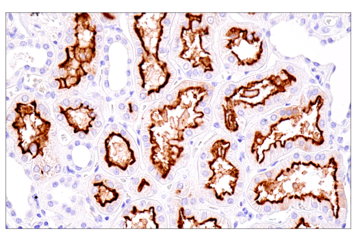
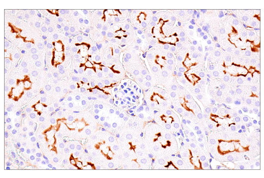
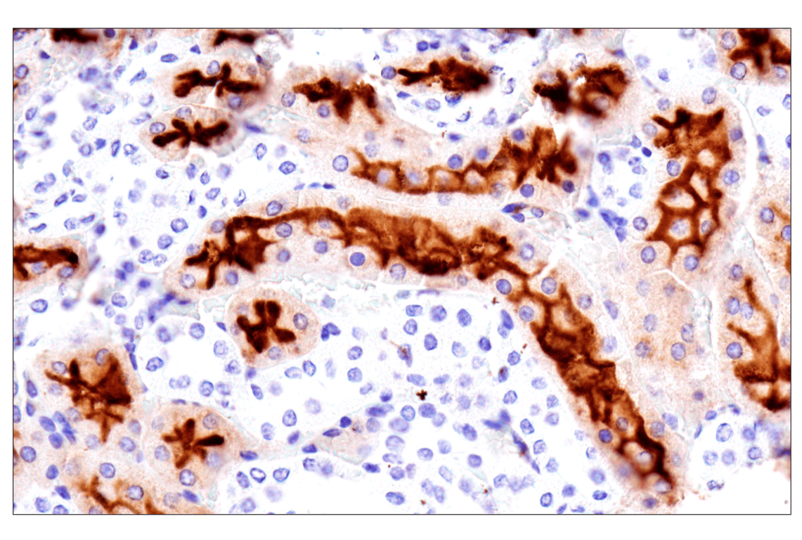
Immunohistochemical analysis of paraffin-embedded normal human kidney using ACE2 (E5O6J) XP® Rabbit mAb. Data were generated using the standard formulation of this product.
Immunohistochemistry Image 5: ACE2 (E5O6J) Rabbit Monoclonal Antibody (BSA and Azide Free)
Immunohistochemical analysis of paraffin-embedded human renal cell carcinoma using ACE2 (E5O6J) XP® Rabbit mAb (left) compared to concentration-matched Rabbit (DA1E) mAb IgG XP® Isotype Control #3900 (right). Data were generated using the standard formulation of this product.
Immunohistochemistry Image 1: ACE2 (E5O6J) Rabbit Monoclonal Antibody (BSA and Azide Free)
Immunohistochemical analysis of a xenograft derived from transgenic A549 cells stably expressing human ACE2 using ACE2 (E5O6J) XP® Rabbit mAb. Transgenic A549 cells were generously provided by Dr. Elena Piskounova, Weill Cornell Medicine. Data were generated using the standard formulation of this product.
Immunohistochemistry Image 2: ACE2 (E5O6J) Rabbit Monoclonal Antibody (BSA and Azide Free)
Orders: 877-616-CELL (2355) [email protected] Support: 877-678-TECH (8324) [email protected] Web: cellsignal.com
For Research Use Only. Not for Use in Diagnostic Procedures.

Revision 1

Cell Signaling Technology Logo
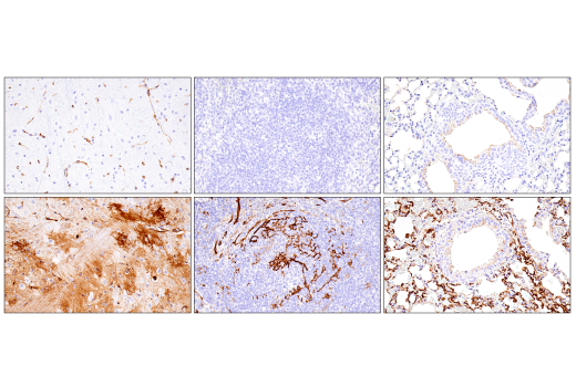
Immunohistochemical analysis of paraffin-embedded brain (left), spleen (middle), and lung (right) from wild type (wt/wt, top) and hACE2 AC70 (tg/wt, bottom) mice (Taconic Biosciences, Inc. model #18222) using ACE2 (E5O6J) XP® Rabbit mAb. Data were generated using the standard formulation of this product.
Immunohistochemistry Image 3: ACE2 (E5O6J) Rabbit Monoclonal Antibody (BSA and Azide Free)
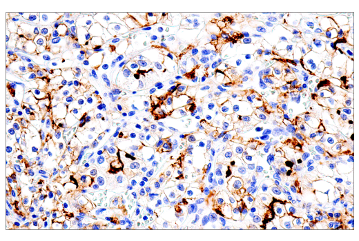
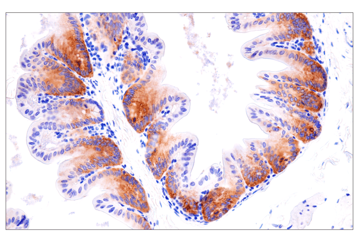
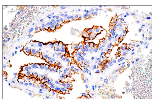
Immunohistochemical analysis of paraffin-embedded human colon carcinoma using ACE2 (E5O6J) XP® Rabbit mAb. Data were generated using the standard formulation of this product.
Immunohistochemistry Image 4: ACE2 (E5O6J) Rabbit Monoclonal Antibody (BSA and Azide Free)
Immunohistochemical analysis of paraffin-embedded mouse kidney using ACE2 (E5O6J) XP® Rabbit mAb. Data were generated using the standard formulation of this product.
Immunohistochemistry Image 5: ACE2 (E5O6J) Rabbit Monoclonal Antibody (BSA and Azide Free)
Orders: 877-616-CELL (2355) [email protected] Support: 877-678-TECH (8324) [email protected] Web: cellsignal.com
For Research Use Only. Not for Use in Diagnostic Procedures.

Revision 1

Cell Signaling Technology Logo
Immunohistochemical analysis of paraffin-embedded mouse forestomach using ACE2 (E5O6J) XP® Rabbit mAb. Data were generated using the standard formulation of this product.
Immunohistochemistry Image 6: ACE2 (E5O6J) Rabbit Monoclonal Antibody (BSA and Azide Free)
Immunohistochemical analysis of paraffin-embedded Syrian hamster kidney using ACE2 (E5O6J) XP® Rabbit mAb. Data were generated using the standard formulation of this product.
Immunohistochemistry Image 7: ACE2 (E5O6J) Rabbit Monoclonal Antibody (BSA and Azide Free)
Immunohistochemical analysis of paraffin-embedded Syrian hamster colon using ACE2 (E5O6J) XP® Rabbit mAb.

Data were generated using the standard formulation of this product.
Immunohistochemistry Image 8: ACE2 (E5O6J) Rabbit Monoclonal Antibody (BSA and Azide Free)
Orders: 877-616-CELL (2355) [email protected] Support: 877-678-TECH (8324) [email protected] Web: cellsignal.com
For Research Use Only. Not for Use in Diagnostic Procedures.

Revision 1

Cell Signaling Technology Logo
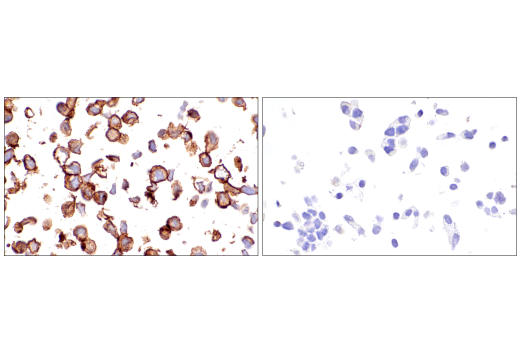
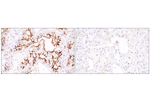
Immunohistochemical analysis of paraffin-embedded IGROV-1 cell pellet (left, positive) or Hep G2 cell pellet (right, negative) using ACE2 (E5O6J) XP® Rabbit mAb. Data were generated using the standard formulation of this product.
Immunohistochemistry Image 9: ACE2 (E5O6J) Rabbit Monoclonal Antibody (BSA and Azide Free)
Orders: 877-616-CELL (2355) [email protected] Support: 877-678-TECH (8324) [email protected] Web: cellsignal.com
For Research Use Only. Not for Use in Diagnostic Procedures.