Revision 3

#41915

Store at +4C

CST Logo
Orders:

877-616-CELL (2355)

[email protected]

Support:

877-678-TECH (8324)

3 Trask Lane | Danvers | Massachusetts | 01923 | USA

For Research Use Only. Not for Use in Diagnostic Procedures.

Applications:
IHC-P

Reactivity:
H

Sensitivity:
Endogenous

Source/Isotype:
IgG1 kappa

UniProt ID:
#P01889

Entrez-Gene Id:
3106

Product Usage Information

Application Dilution
Immunohistochemistry (Paraffin) 1:50 - 1:200

Storage

Supplied in a PBS-based buffer with ~1% BSA and less than 0.1% sodium azide. Stable for 6 months when stored at 4°C. Do not aliquot the antibody.

Note: This product is only available in the format listed above. We are unable to provide this in a carrier free, custom formulation.

Specificity/Sensitivity

HLA-B (BC43) Mouse Monoclonal Antibody recognizes endogenous levels of HLA-B protein.

Source / Purification

Monoclonal antibody is produced by immunizing animals with a synthetic peptide corresponding to specific amino acids in the N-terminal region of HLA-B protein.

Background

The human leukocyte antigen (HLA) system is a gene complex encoding the major histocompatibility complex (MHC) proteins in humans. These cell surface proteins are responsible for the regulation of antigen-specific immunity in humans. HLA genes are highly polymorphic, allowing them to fine-tune the adaptive immune response. HLAs corresponding to MHC class I (HLA-A, B, and C) present small peptide antigens from inside the cell, approximately 8 to 10 amino acids in length, to CD8+ T lymphocytes to activate a cytotoxic T cell response (1,2). HLA-B (major histocompatibility complex, class I, B) is a heterodimer consisting of a heavy chain and light chain (beta-2 microglobulin) and is the most polymorphic of the HLA-I genes (3). HLA-B is expressed in nearly all cells, and variations of the HLA gene have been associated with hundreds of diseases and conditions (4).

Species Reactivity

Species reactivity is determined by testing in at least one approved application (e.g., western blot).

Applications Key

IHC-P: Immunohistochemistry (Paraffin)

Cross-Reactivity Key

H: Human

Trademarks and Patents

Cell Signaling Technology is a trademark of Cell Signaling Technology, Inc.

All other trademarks are the property of their respective owners. Visit cellsignal.com/trademarks for more information.

Limited Uses

Except as otherwise expressly agreed in a writing signed by a legally authorized representative of CST, the following terms apply to Products provided by CST, its affiliates or its distributors. Any Customer's terms and conditions that are in addition to, or different from, those contained herein, unless separately accepted in writing by a legally authorized representative of CST, are rejected and are of no force or effect.

Products are labeled with For Research Use Only or a similar labeling statement and have not been approved, cleared, or licensed by the FDA or other regulatory foreign or domestic entity, for any purpose. Customer shall not use any Product for any diagnostic or therapeutic purpose, or otherwise in any manner that conflicts with its labeling statement. Products sold or licensed by CST are provided for Customer as the end-user and solely for research and development uses. Any use of Product for diagnostic, prophylactic or therapeutic purposes, or any purchase of Product for resale (alone or as a component) or other commercial purpose, requires a separate license from CST. Customer shall (a) not sell, license, loan, donate or otherwise transfer or make available any Product to any third party, whether alone or in combination with other materials, or use the Products to manufacture any commercial products, (b) not copy, modify, reverse engineer, decompile, disassemble or otherwise attempt to discover the underlying structure or technology of the Products, or use the Products for the purpose of developing any products or services that would compete with CST products or services, (c) not alter or remove from the Products any trademarks, trade names, logos, patent or copyright notices or markings, (d) use the Products solely in accordance with CST Product Terms of Sale and any applicable documentation, and (e) comply with any license, terms of service or similar agreement with respect to any third party products or services used by Customer in connection with the Products.

Orders: 877-616-CELL (2355) [email protected] Support: 877-678-TECH (8324) [email protected] Web: cellsignal.com
For Research Use Only. Not for Use in Diagnostic Procedures.

Revision 3

Cell Signaling Technology Logo

Immunohistochemical analysis of paraffin-embedded human squamous cell lung carcinoma using HLA-B (BC43) Mouse mAb.

Immunohistochemistry Image 1: HLA-B (BC43) Mouse Monoclonal Antibody

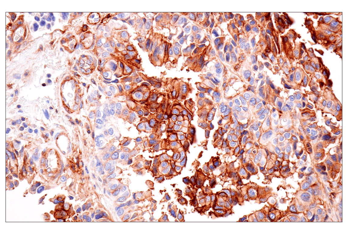
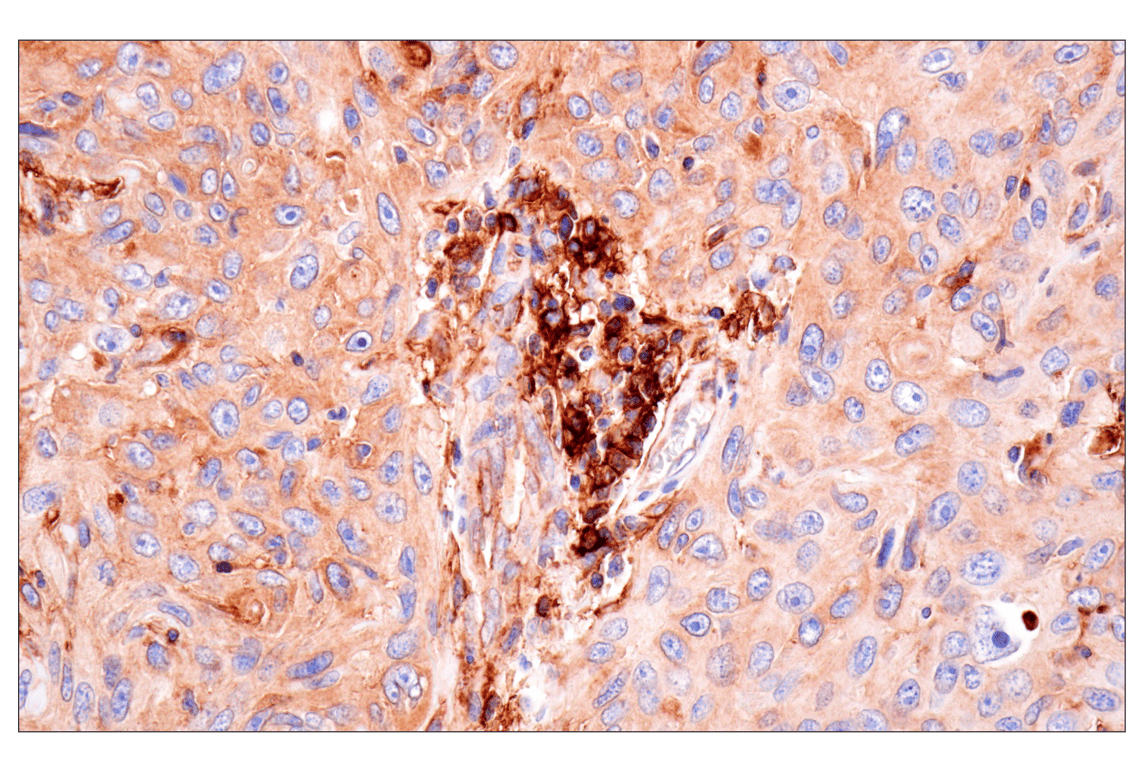
Immunohistochemical analysis of paraffin-embedded human endometrioid adenocarcinoma using HLA-B (BC43) Mouse mAb.

Immunohistochemistry Image 2: HLA-B (BC43) Mouse Monoclonal Antibody

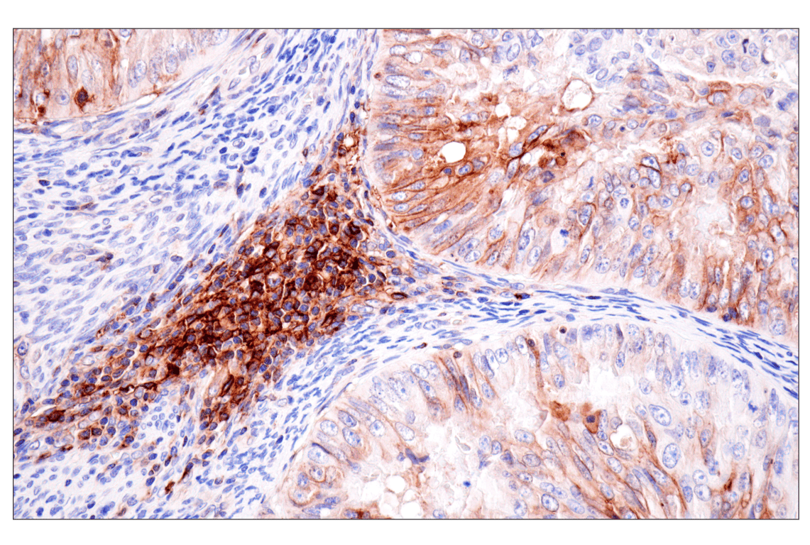
Immunohistochemical analysis of paraffin-embedded human urothelial carcinoma using HLA-B (BC43) Mouse mAb.

Immunohistochemistry Image 3: HLA-B (BC43) Mouse Monoclonal Antibody
Orders: 877-616-CELL (2355) [email protected] Support: 877-678-TECH (8324) [email protected] Web: cellsignal.com
For Research Use Only. Not for Use in Diagnostic Procedures.

Revision 3

Cell Signaling Technology Logo
Immunohistochemical analysis of paraffin-embedded human squamous cell carcinoma of the skin using HLA-B (BC43) Mouse mAb.
Immunohistochemistry Image 4: HLA-B (BC43) Mouse Monoclonal Antibody
Immunohistochemical analysis of paraffin-embedded human kidney (left), hepatocellular carcinoma (middle), or squamous cell lung carcinoma (right) using HLA-B (BC43) Mouse mAb (top) or MHC Class I (EMR8-5) Mouse mAb #88274 (bottom).
Immunohistochemistry Image 5: HLA-B (BC43) Mouse Monoclonal Antibody
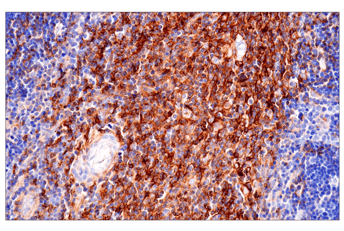
Immunohistochemical analysis of paraffin-embedded normal human spleen using HLA-B (BC43) Mouse mAb.
Immunohistochemistry Image 6: HLA-B (BC43) Mouse Monoclonal Antibody
Orders: 877-616-CELL (2355) [email protected] Support: 877-678-TECH (8324) [email protected] Web: cellsignal.com
For Research Use Only. Not for Use in Diagnostic Procedures.

Revision 3

Cell Signaling Technology Logo

Immunohistochemical analysis of paraffin-embedded normal human thymus using HLA-B (BC43) Mouse mAb.

Immunohistochemistry Image 7: HLA-B (BC43) Mouse Monoclonal Antibody
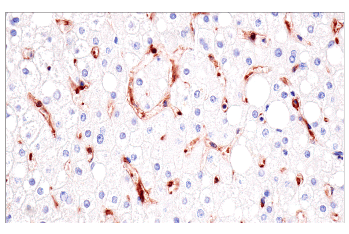
Immunohistochemical analysis of paraffin-embedded normal human liver using HLA-B (BC43) Mouse mAb.
Immunohistochemistry Image 8: HLA-B (BC43) Mouse Monoclonal Antibody

Immunohistochemical analysis of paraffin-embedded normal human small intestine using HLA-B (BC43) Mouse mAb.

Immunohistochemistry Image 9: HLA-B (BC43) Mouse Monoclonal Antibody
Orders: 877-616-CELL (2355) [email protected] Support: 877-678-TECH (8324) [email protected] Web: cellsignal.com
For Research Use Only. Not for Use in Diagnostic Procedures.

Revision 3

Cell Signaling Technology Logo
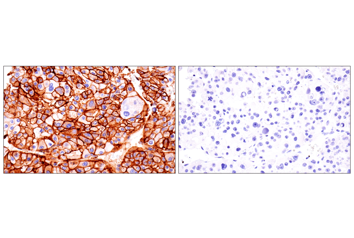
Immunohistochemical analysis of paraffin-embedded human hepatocellular carcinoma using HLA-B (BC43) Mouse mAb (left) compared to concentration-matched Mouse (G3A1) mAb IgG1 Isotype Control #5415 (right).
Immunohistochemistry Image 10: HLA-B (BC43) Mouse Monoclonal Antibody
Immunohistochemical analysis of paraffin-embedded HuT 102 cell pellet (left, positive) or JAR cell pellet (right, negative) using HLA-B (BC43) Mouse mAb.
Immunohistochemistry Image 11: HLA-B (BC43) Mouse Monoclonal Antibody
Orders: 877-616-CELL (2355) [email protected] Support: 877-678-TECH (8324) [email protected] Web: cellsignal.com
For Research Use Only. Not for Use in Diagnostic Procedures.