Revision 1

#42153

Store at -20C

CST Logo
Orders:

877-616-CELL (2355)

[email protected]

Support:

877-678-TECH (8324)

3 Trask Lane | Danvers | Massachusetts | 01923 | USA

For Research Use Only. Not for Use in Diagnostic Procedures.

Applications:
W, IHC-P

Reactivity:
H

Sensitivity:
Endogenous

MW (kDa):
14

Source/Isotype:
Rabbit IgG

UniProt ID:
#Q15726

Entrez-Gene Id:
3814

Product Usage Information

Application Dilution
Western Blotting 1:1000
Immunohistochemistry (Paraffin) 1:100 - 1:400

Storage

Supplied in 10 mM sodium HEPES (pH 7.5), 150 mM NaCl, 100 µg/mL BSA, 50% glycerol, and less than 0.02% sodium azide. Store at –20°C. Do not aliquot the antibody.

Specificity/Sensitivity

KISS1 (E6H9S) Rabbit Monoclonal Antibody recognizes endogenous levels of total KISS1 protein. This antibody detects a band of unknown origin at 35 kDa by western blot. Non-specific staining was observed in pancreatic acinar cells by immunohistochemistry.

Source / Purification

Monoclonal antibody is produced by immunizing animals with recombinant protein specific to human KISS1 protein.

Background

The KiSS-1 receptor (KISS1R, GPR54) is a G protein-coupled receptor that inhibits cancer cell metastasis and plays a major role in gonadotropic axis physiology (1). The GPR54 protein was originally described as an orphan receptor homologous to the galanin receptor, and later identified as a receptor for amidated peptide products of the metastasis suppressor gene KiSS-1 (KISS1, Kisspeptin-1) (2,3). In humans, amidated kisspeptin ligands are produced predominantly in cells of the arcuate nucleus and preoptic area, with expression controlled by gonadal hormones (4). Research studies show that deletion of either the KiSS-1 receptor or KiSS-1 gene leads to hypogonadotropic hypogonadism, a disorder characterized by reduced levels of circulating testosterone and gonadotropins, as well as abnormal sexual maturation (5,6). The administration of kisspeptins potently stimulates gonadotropin secretion, indicating that KISS1R and kisspeptins play a major role in the physiology of the gonadotropic axis (7). Additional research demonstrates that KISS1R and kisspeptins inhibit metastasis in cancer cells by inhibiting cell motility (8). However, other studies indicate that increased expression of KISS1R and its ligands in human breast tumors correlates with higher tumor grade and metastatic potential, likely by engaging MMP-9 activation via transactivation of EGFR (9).

Species Reactivity

Species reactivity is determined by testing in at least one approved application (e.g., western blot).

Western Blot Buffer

IMPORTANT: For western blots, incubate membrane with diluted primary antibody in 5% w/v BSA, 1X TBS, 0.1% Tween® 20 at 4°C with gentle shaking, overnight.

Applications Key

W: Western Blotting IHC-P: Immunohistochemistry (Paraffin)

Cross-Reactivity Key

H: Human

Trademarks and Patents

Cell Signaling Technology is a trademark of Cell Signaling Technology, Inc.

All other trademarks are the property of their respective owners. Visit cellsignal.com/trademarks for more information.

Limited Uses

Except as otherwise expressly agreed in a writing signed by a legally authorized representative of CST, the following terms apply to Products provided by CST, its affiliates or its distributors. Any Customer's terms and conditions that are in addition to, or different from, those contained herein, unless separately accepted in writing by a legally authorized representative of CST, are rejected and are of no force or effect.

Products are labeled with For Research Use Only or a similar labeling statement and have not been approved, cleared, or licensed by the FDA or other regulatory foreign or domestic entity, for any purpose. Customer shall not use any Product for any diagnostic or therapeutic purpose, or otherwise in any manner that conflicts with its labeling statement. Products sold or licensed by CST are provided for Customer as the end-user and solely for research and development uses. Any use of Product for diagnostic, prophylactic or therapeutic purposes, or any purchase of Product for resale (alone or as a component) or other commercial purpose, requires a separate license from CST. Customer shall (a) not sell, license, loan, donate or otherwise transfer or make available any Product to any third party, whether alone or in combination with other materials, or use the Products to manufacture any commercial products, (b) not copy, modify, reverse engineer, decompile, disassemble or otherwise attempt to discover the underlying structure or technology of the Products, or use the Products for the purpose of developing any products or services that would compete with CST products or services, (c) not alter or remove from the Products any trademarks, trade names, logos, patent or copyright notices or markings, (d) use the Products solely in accordance with CST Product Terms of Sale and any applicable documentation, and (e) comply with any license, terms of service or similar agreement with respect to any third party products or services used by Customer in connection with the Products.

Orders: 877-616-CELL (2355) [email protected] Support: 877-678-TECH (8324) [email protected] Web: cellsignal.com
For Research Use Only. Not for Use in Diagnostic Procedures.

Revision 1

Cell Signaling Technology Logo
Western blot analysis of extracts from 293T cells, mock transfected (-) or transfected with a construct expressing Myc/DDK-tagged full-length human KISS1 (hKISS1-Myc/DDK; +), using KISS1 (E6H9S) Rabbit mAb (upper), Myc-Tag (71D10) Rabbit mAb #2278 (middle), or GAPDH (D16H11) XP® Rabbit mAb #5174 (lower).
Western Blotting Image 1: KISS1 (E6H9S) Rabbit Monoclonal Antibody
Western blot analysis of extracts from various cell lines using KISS1 (E6H9S) Rabbit mAb (upper) or GAPDH (D16H11) XP® Rabbit mAb #5174 (lower). Negative expression of KISS1 protein in HCC1419 cells is consistent with the predicted expression pattern.
Western Blotting Image 2: KISS1 (E6H9S) Rabbit Monoclonal Antibody
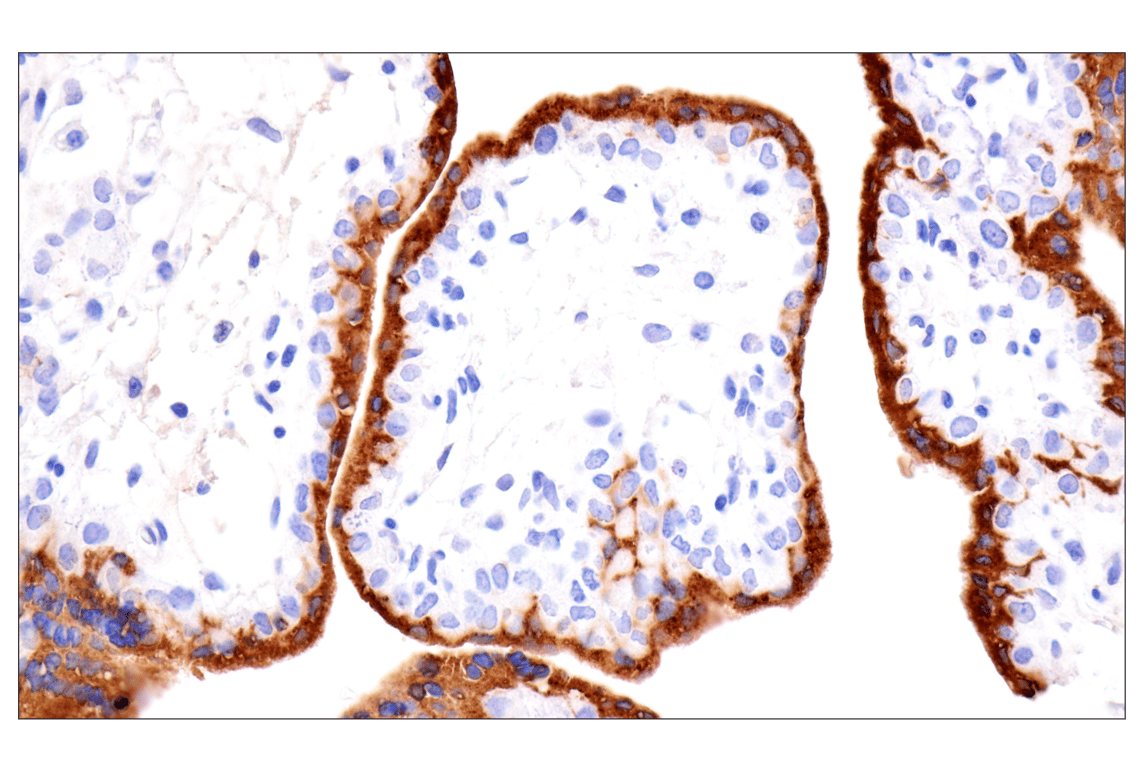
Immunohistochemical analysis of paraffin-embedded normal human placenta using KISS1 (E6H9S) Rabbit mAb.
Immunohistochemistry Image 1: KISS1 (E6H9S) Rabbit Monoclonal Antibody
Orders: 877-616-CELL (2355) [email protected] Support: 877-678-TECH (8324) [email protected] Web: cellsignal.com
For Research Use Only. Not for Use in Diagnostic Procedures.

Revision 1

Cell Signaling Technology Logo
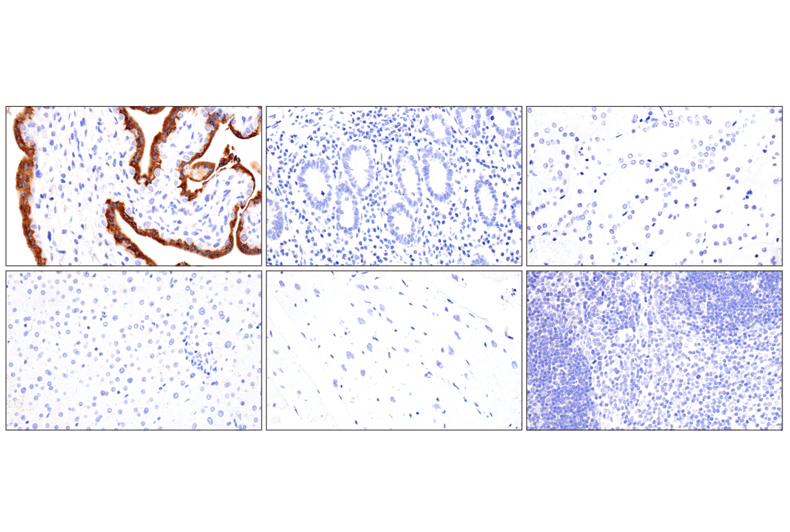
Immunohistochemical analysis of various paraffin-embedded normal human tissues: placenta (left-top), colon (middle-top), kidney (right-top), liver (left-bottom), heart (middle-bottom), and thymus (right-bottom) using KISS1 (E6H9S) Rabbit mAb.
Immunohistochemistry Image 2: KISS1 (E6H9S) Rabbit Monoclonal Antibody
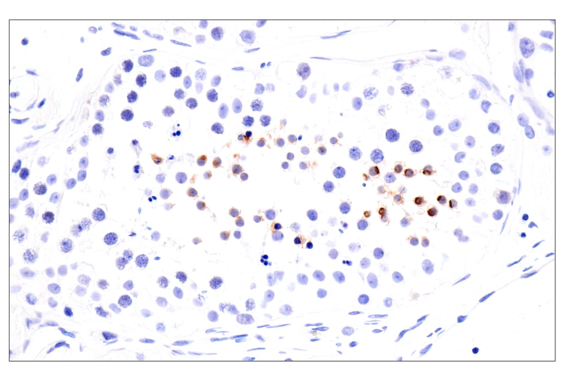
Immunohistochemical analysis of paraffin-embedded normal human testis using KISS1 (E6H9S) Rabbit mAb.
Immunohistochemistry Image 3: KISS1 (E6H9S) Rabbit Monoclonal Antibody
Immunohistochemical analysis of paraffin-embedded normal human testis using KISS1 (E6H9S) Rabbit mAb (left) compared to concentration-matched Rabbit (DA1E) mAb IgG XP® Isotype Control #3900 (right).
Immunohistochemistry Image 4: KISS1 (E6H9S) Rabbit Monoclonal Antibody
Orders: 877-616-CELL (2355) [email protected] Support: 877-678-TECH (8324) [email protected] Web: cellsignal.com
For Research Use Only. Not for Use in Diagnostic Procedures.

Revision 1

Cell Signaling Technology Logo
Immunohistochemical analysis of paraffin-embedded LOX-IMVI cell pellet (left, positive) or HCC1419 cell pellet (right, negative) using KISS1 (E6H9S) Rabbit mAb.
Immunohistochemistry Image 5: KISS1 (E6H9S) Rabbit Monoclonal Antibody
Orders: 877-616-CELL (2355) [email protected] Support: 877-678-TECH (8324) [email protected] Web: cellsignal.com
For Research Use Only. Not for Use in Diagnostic Procedures.