Revision 5

#42299

Store at -20C

CST Logo
Orders:

877-616-CELL (2355)

[email protected]

Support:

877-678-TECH (8324)

3 Trask Lane | Danvers | Massachusetts | 01923 | USA

For Research Use Only. Not for Use in Diagnostic Procedures.

Applications:
W, IP, IHC-Bond, IHC-P, IF-IC

Reactivity:
H

Sensitivity:
Endogenous

MW (kDa):
73, 90-130

Source/Isotype:
Rabbit IgG

UniProt ID:
#O95436

Entrez-Gene Id:
10568

Product Usage Information

Application Dilution
Western Blotting 1:1000
Immunoprecipitation 1:50
IHC Leica Bond 1:200 - 1:800
Immunohistochemistry (Paraffin) 1:200
Immunofluorescence (Immunocytochemistry) 1:400

Storage

Supplied in 10 mM sodium HEPES (pH 7.5), 150 mM NaCl, 100 µg/ml BSA, 50% glycerol and less than 0.02% sodium azide. Store at –20°C. Do not aliquot the antibody.

For a carrier free (BSA and azide free) version of this product see product #31490.

Specificity/Sensitivity

NaPi2b/SLC34A2 (D6W2G) Rabbit Monoclonal Antibodyrecognizes endogenous levels of total NaPi2b/SLC34A2 protein.

Source / Purification

Monoclonal antibody is produced by immunizing animals with a synthetic peptide corresponding to residues near the amino terminus of human NaPi2b/SLC34A2 protein.

Background

The sodium-dependent phosphate transport protein 2B (NaPi-2b, SLC34A2) is a sodium dependent inorganic phosphate (Pi) transporter that regulates phosphate homeostasis in various organs, including the small intestine, lung, liver, and testis (1). In the small intestine, NaPi-2b localizes to the intestinal brush border membrane to mediate Pi reabsorption (2). In the lung, NaPi-2b is expressed in the apical membrane of type II alveolar cells and is involved in the synthesis of surfactant (3). Mutations in the corresponding SLC34A2 gene causes pulmonary alveolar microlithiasis, a rare autosomal recessive disorder characterized by the deposition of calcium phosphate microliths throughout the lungs (4). Research studies show aberrant expression of NaPi-2b in various type of cancer, including ovarian, breast, and lung cancer (5). Chromosomal rearrangements involving SLC34A2-ROS1 are seen in gastric carcinoma and non-small cell lung cancer and result in the formation of a SLC34A2-ROS1 chimeric protein that retains a constitutive kinase activity (6,7).

Species Reactivity

Species reactivity is determined by testing in at least one approved application (e.g., western blot).

Western Blot Buffer

IMPORTANT: For western blots, incubate membrane with diluted primary antibody in 5% w/v BSA, 1X TBS, 0.1% Tween® 20 at 4°C with gentle shaking, overnight.

Applications Key

W: Western Blotting IP: Immunoprecipitation IHC-Bond: IHC Leica Bond IHC-P: Immunohistochemistry (Paraffin) IF-IC: Immunofluorescence (Immunocytochemistry)

Cross-Reactivity Key

H: Human

Trademarks and Patents

Cell Signaling Technology is a trademark of Cell Signaling Technology, Inc.

SignalStain is a registered trademark of Cell Signaling Technology, Inc.

All other trademarks are the property of their respective owners. Visit cellsignal.com/trademarks for more information.

Limited Uses

Except as otherwise expressly agreed in a writing signed by a legally authorized representative of CST, the following terms apply to Products provided by CST, its affiliates or its distributors. Any Customer's terms and conditions that are in addition to, or different from, those contained herein, unless separately accepted in writing by a legally authorized representative of CST, are rejected and are of no force or effect.

Products are labeled with For Research Use Only or a similar labeling statement and have not been approved, cleared, or licensed by the FDA or other regulatory foreign or domestic entity, for any purpose. Customer shall not use any Product for any diagnostic or therapeutic purpose, or otherwise in any manner that conflicts with its labeling statement. Products sold or licensed by CST are provided for Customer as the end-user and solely for research and development uses. Any use of Product for diagnostic, prophylactic or therapeutic purposes, or any purchase of Product for resale (alone or as a component) or other commercial purpose, requires a separate license from CST. Customer shall (a) not sell, license, loan, donate or otherwise transfer or make available any Product to any third party, whether alone or in combination with other materials, or use the Products to manufacture any commercial products, (b) not copy, modify, reverse engineer, decompile, disassemble or otherwise attempt to discover the underlying structure or technology of the Products, or use the Products for the purpose of developing any products or services that would compete with CST products or services, (c) not alter or remove from the Products any trademarks, trade names, logos, patent or copyright notices or markings, (d) use the Products solely in accordance with CST Product Terms of Sale and any applicable documentation, and (e) comply with any license, terms of service or similar agreement with respect to any third party products or services used by Customer in connection with the Products.

Orders: 877-616-CELL (2355) [email protected] Support: 877-678-TECH (8324) [email protected] Web: cellsignal.com
For Research Use Only. Not for Use in Diagnostic Procedures.

Revision 5

Cell Signaling Technology Logo
Western blot analysis of extracts from IGROV1, ACHN and HepG2 using NaPi2b/SLC34A2 (D6W2G) Rabbit mAb and beta-Actin (13E5) Rabbit mAb #4970.
Western Blotting Image 1: NaPi2b/SLC34A2 (D6W2G) Rabbit Monoclonal Antibody
Immunohistochemical analysis of paraffin-embedded human renal cell carcinoma using NaPi2b/SLC34A2 (D6W2G) Rabbit mAb performed on the Leica BOND RX.
Immunohistochemistry Image 1: NaPi2b/SLC34A2 (D6W2G) Rabbit Monoclonal Antibody
Immunohistochemical analysis of paraffin-embedded human papillary thyroid carcinoma using NaPi2b/SLC34A2 (D6W2G) Rabbit mAb performed on the Leica BOND RX.
Immunohistochemistry Image 2: NaPi2b/SLC34A2 (D6W2G) Rabbit Monoclonal Antibody
Orders: 877-616-CELL (2355) [email protected] Support: 877-678-TECH (8324) [email protected] Web: cellsignal.com
For Research Use Only. Not for Use in Diagnostic Procedures.

Revision 5

Cell Signaling Technology Logo
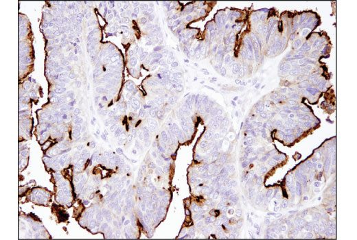
Immunohistochemical analysis of paraffin-embedded human endometrioid adenocarcinoma using NaPi2b/SLC34A2 (D6W2G) Rabbit mAb performed on the Leica BOND RX.
Immunohistochemistry Image 3: NaPi2b/SLC34A2 (D6W2G) Rabbit Monoclonal Antibody
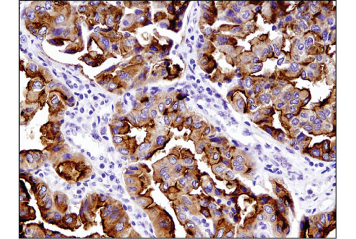
Immunohistochemical analysis of paraffin-embedded human lung carcinoma using NaPi2b/SLC34A2 (D6W2G) Rabbit mAb.
Immunohistochemistry Image 1: NaPi2b/SLC34A2 (D6W2G) Rabbit Monoclonal Antibody
Immunohistochemical analysis of paraffin-embedded human serous papillary carcinoma of the ovary using NaPi2b/SLC34A2 (D6W2G) Rabbit mAb.
Immunohistochemistry Image 2: NaPi2b/SLC34A2 (D6W2G) Rabbit Monoclonal Antibody
Orders: 877-616-CELL (2355) [email protected] Support: 877-678-TECH (8324) [email protected] Web: cellsignal.com
For Research Use Only. Not for Use in Diagnostic Procedures.

Revision 5

Cell Signaling Technology Logo
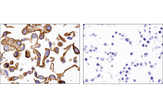
Immunohistochemical analysis of paraffin-embedded HCC78 (left) and Hep G2 (right) cell pellets using NaPi2b/SLC34A2 (D6W2G) Rabbit mAb.
Immunohistochemistry Image 3: NaPi2b/SLC34A2 (D6W2G) Rabbit Monoclonal Antibody
Confocal immunofluorescent analysis of IGROV-1 (left) and Hep G2 (right) cells using NaPi2b/SLC34A2 (D6W2G) Rabbit mAb (green). Actin filaments were labeled with DyLightTM 554 Phalloidin #13054 (red). Blue pseudocolor = DRAQ5® #4084 (fluorescent DNA dye).
Immunofluorescence Image 1: NaPi2b/SLC34A2 (D6W2G) Rabbit Monoclonal Antibody
Orders: 877-616-CELL (2355) [email protected] Support: 877-678-TECH (8324) [email protected] Web: cellsignal.com
For Research Use Only. Not for Use in Diagnostic Procedures.