Revision 1

#42816

Store at -20C

CST Logo
Orders:

877-616-CELL (2355)

[email protected]

Support:

877-678-TECH (8324)

3 Trask Lane | Danvers | Massachusetts | 01923 | USA

For Research Use Only. Not for Use in Diagnostic Procedures.

Applications:
W, IHC-P

Reactivity:
H M R

Sensitivity:
Endogenous

MW (kDa):
35

Source/Isotype:
Rabbit IgG

UniProt ID:
#P18065

Entrez-Gene Id:
3485

Product Usage Information

Application Dilution
Western Blotting 1:1000
Immunohistochemistry (Paraffin) 1:50 - 1:200

Storage

Supplied in 10 mM sodium HEPES (pH 7.5), 150 mM NaCl, 100 µg/mL BSA, 50% glycerol, and less than 0.02% sodium azide. Store at –20°C. Do not aliquot the antibody.

Specificity/Sensitivity

IGFBP2 (F3E6V) Rabbit Monoclonal Antibody recognizes endogenous levels of total IGFBP2 protein.

Source / Purification

Monoclonal antibody is produced by immunizing animals with recombinant protein specific to human IGFBP2 protein.

Background

Insulin-like growth factor-binding proteins (IGFBPs) play an integral role in modifying insulin-like growth factor (IGF) actions in various cell types. This family contains six members that are structurally related but encoded by distinct genes. IGFBPs have a high affinity for IGFs. Some IGFBP family members have been consistently shown to inhibit IGF actions by preventing them from gaining access to IGF receptors, while others potentiate IGF actions by facilitating the ligand-receptor interaction (1-3). IGFBP2 is the second most abundant IGFBP in the circulation and is present in various other biological fluids and tissues of many vertebrate species. Serum IGFBP2 levels are elevated in conditions such as shock, fasting, hypoxemia, or after traumata, suggesting complex regulation of IGFBP2 expression (4). IGFBP2 is overexpressed in many malignancies and is often correlated with an increasingly malignant tumor status, pointing to a potential involvement of IGFBP2 in tumorigenesis (5).

Species Reactivity

Species reactivity is determined by testing in at least one approved application (e.g., western blot).

Western Blot Buffer

IMPORTANT: For western blots, incubate membrane with diluted primary antibody in 5% w/v BSA, 1X TBS, 0.1% Tween® 20 at 4°C with gentle shaking, overnight.

Applications Key

W: Western Blotting IHC-P: Immunohistochemistry (Paraffin)

Cross-Reactivity Key

H: Human M: Mouse R: Rat

Trademarks and Patents

Cell Signaling Technology is a trademark of Cell Signaling Technology, Inc.

All other trademarks are the property of their respective owners. Visit cellsignal.com/trademarks for more information.

Limited Uses

Except as otherwise expressly agreed in a writing signed by a legally authorized representative of CST, the following terms apply to Products provided by CST, its affiliates or its distributors. Any Customer's terms and conditions that are in addition to, or different from, those contained herein, unless separately accepted in writing by a legally authorized representative of CST, are rejected and are of no force or effect.

Products are labeled with For Research Use Only or a similar labeling statement and have not been approved, cleared, or licensed by the FDA or other regulatory foreign or domestic entity, for any purpose. Customer shall not use any Product for any diagnostic or therapeutic purpose, or otherwise in any manner that conflicts with its labeling statement. Products sold or licensed by CST are provided for Customer as the end-user and solely for research and development uses. Any use of Product for diagnostic, prophylactic or therapeutic purposes, or any purchase of Product for resale (alone or as a component) or other commercial purpose, requires a separate license from CST. Customer shall (a) not sell, license, loan, donate or otherwise transfer or make available any Product to any third party, whether alone or in combination with other materials, or use the Products to manufacture any commercial products, (b) not copy, modify, reverse engineer, decompile, disassemble or otherwise attempt to discover the underlying structure or technology of the Products, or use the Products for the purpose of developing any products or services that would compete with CST products or services, (c) not alter or remove from the Products any trademarks, trade names, logos, patent or copyright notices or markings, (d) use the Products solely in accordance with CST Product Terms of Sale and any applicable documentation, and (e) comply with any license, terms of service or similar agreement with respect to any third party products or services used by Customer in connection with the Products.

Orders: 877-616-CELL (2355) [email protected] Support: 877-678-TECH (8324) [email protected] Web: cellsignal.com
For Research Use Only. Not for Use in Diagnostic Procedures.

Revision 1

Cell Signaling Technology Logo
Western blot analysis of extracts from 293T cells, mock transfected (-) or transfected with a construct expressing Myc/DDK-tagged full-length human IGFBP2 (hIGFBP2-Myc/DDK; +), using IGFBP2 (F3E6V) Rabbit mAb (upper), Myc-Tag (71D10) Rabbit mAb #2278 (middle), or GAPDH (D16H11) XP® Rabbit mAb #5174 (lower).
Western Blotting Image 1: IGFBP2 (F3E6V) Rabbit Monoclonal Antibody
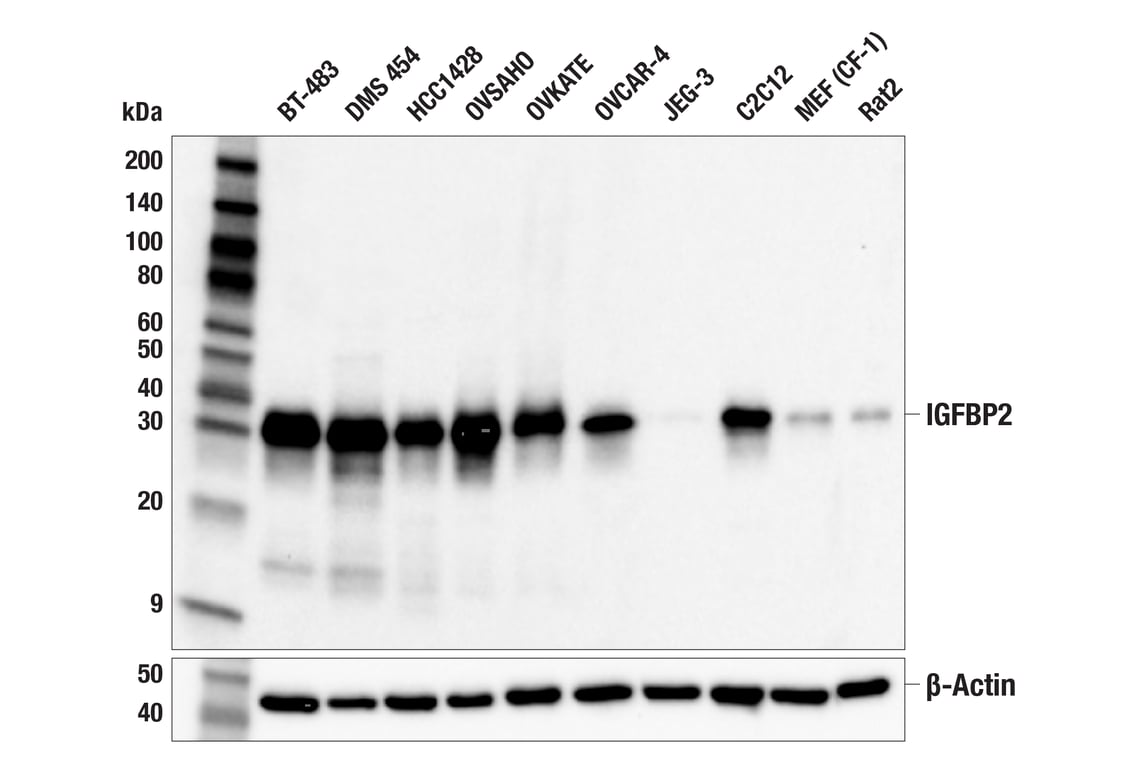
Western blot analysis of extracts from various cell lines using IGFBP2 (F3E6V) Rabbit mAb (upper) or β-Actin (D6A8) Rabbit mAb #8457 (lower). Negative expression of IGFBP2 protein in JEG-3 cells is consistent with the predicted expression pattern.
Western Blotting Image 2: IGFBP2 (F3E6V) Rabbit Monoclonal Antibody
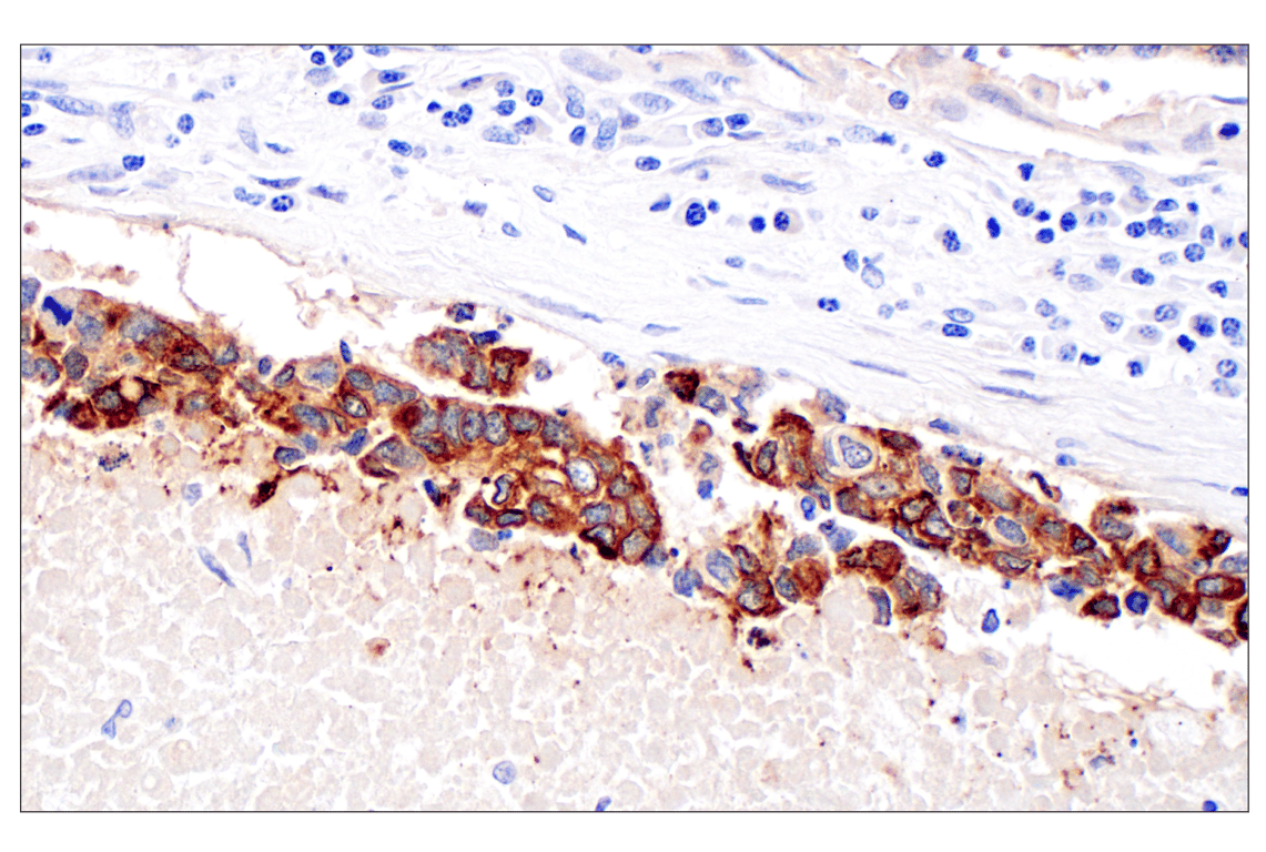
Immunohistochemical analysis of paraffin-embedded human non-small cell lung carcinoma using IGFBP2 (F3E6V) Rabbit mAb.
Immunohistochemistry Image 1: IGFBP2 (F3E6V) Rabbit Monoclonal Antibody
Orders: 877-616-CELL (2355) [email protected] Support: 877-678-TECH (8324) [email protected] Web: cellsignal.com
For Research Use Only. Not for Use in Diagnostic Procedures.

Revision 1

Cell Signaling Technology Logo
Immunohistochemical analysis of paraffin-embedded human tonsil using IGFBP2 (F3E6V) Rabbit mAb.
Immunohistochemistry Image 2: IGFBP2 (F3E6V) Rabbit Monoclonal Antibody
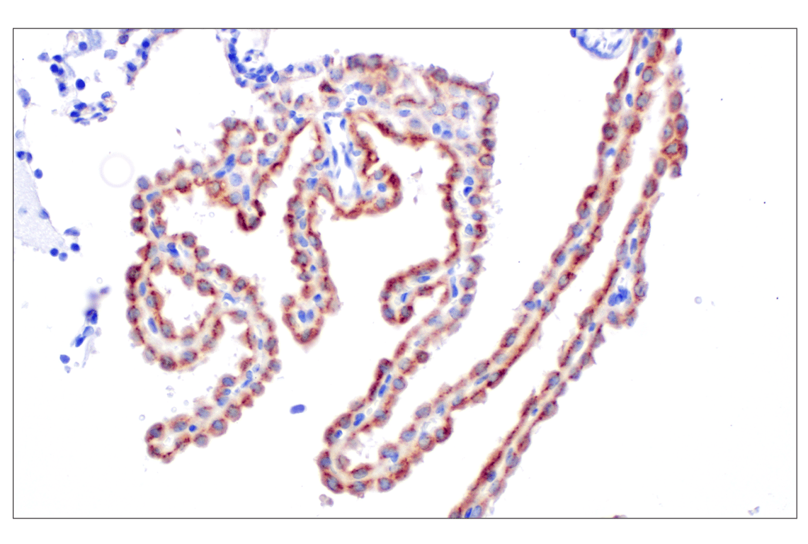
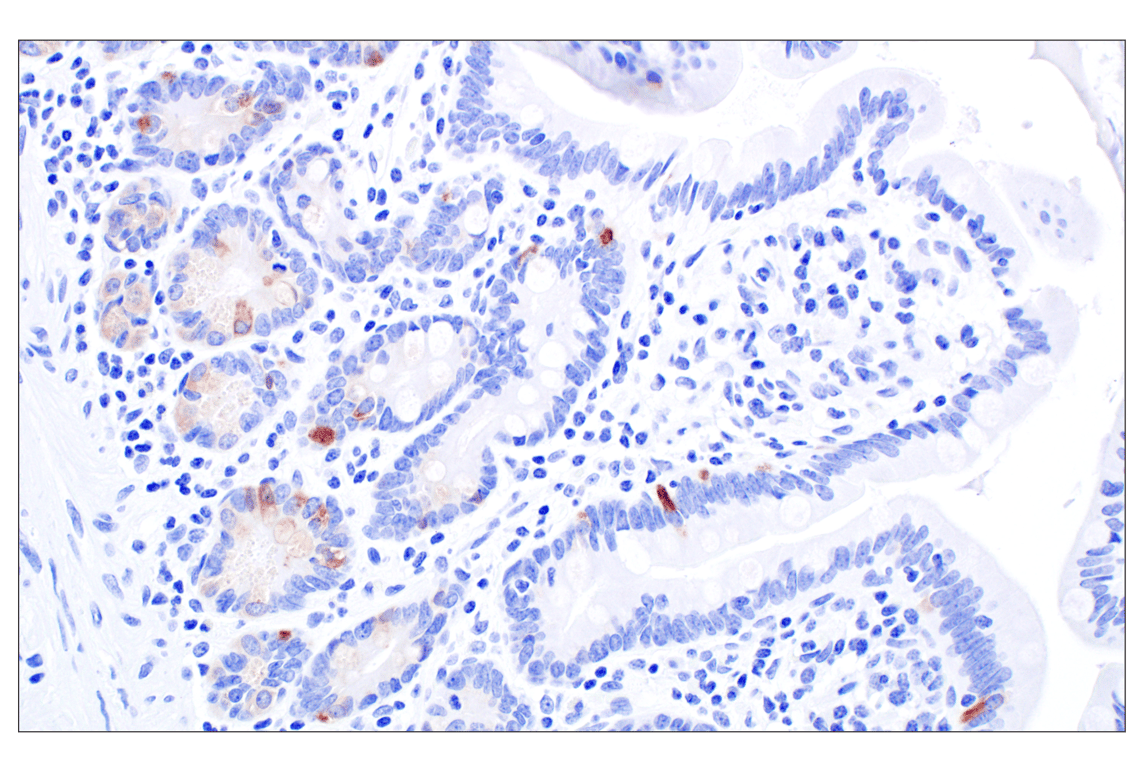
Immunohistochemical analysis of paraffin-embedded normal human small intestine using IGFBP2 (F3E6V) Rabbit mAb.
Immunohistochemistry Image 3: IGFBP2 (F3E6V) Rabbit Monoclonal Antibody
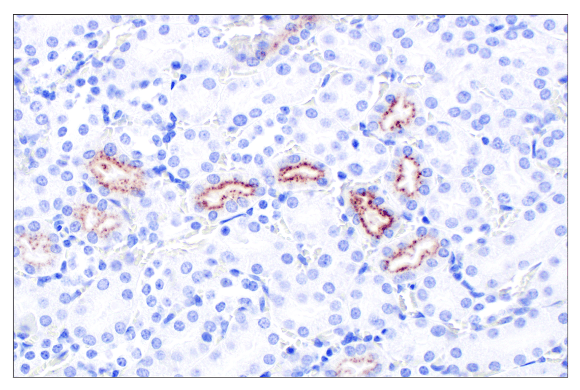
Immunohistochemical analysis of paraffin-embedded mouse kidney using IGFBP2 (F3E6V) Rabbit mAb.
Immunohistochemistry Image 4: IGFBP2 (F3E6V) Rabbit Monoclonal Antibody
Orders: 877-616-CELL (2355) [email protected] Support: 877-678-TECH (8324) [email protected] Web: cellsignal.com
For Research Use Only. Not for Use in Diagnostic Procedures.

Revision 1

Cell Signaling Technology Logo
Immunohistochemical analysis of paraffin-embedded mouse choroid plexus using IGFBP2 (F3E6V) Rabbit mAb.
Immunohistochemistry Image 5: IGFBP2 (F3E6V) Rabbit Monoclonal Antibody
Immunohistochemical analysis of paraffin-embedded mouse lung using IGFBP2 (F3E6V) Rabbit mAb.
Immunohistochemistry Image 6: IGFBP2 (F3E6V) Rabbit Monoclonal Antibody
Immunohistochemical analysis of paraffin-embedded mouse prostate using IGFBP2 (F3E6V) Rabbit mAb.
Immunohistochemistry Image 7: IGFBP2 (F3E6V) Rabbit Monoclonal Antibody
Orders: 877-616-CELL (2355) [email protected] Support: 877-678-TECH (8324) [email protected] Web: cellsignal.com
For Research Use Only. Not for Use in Diagnostic Procedures.

Revision 1

Cell Signaling Technology Logo
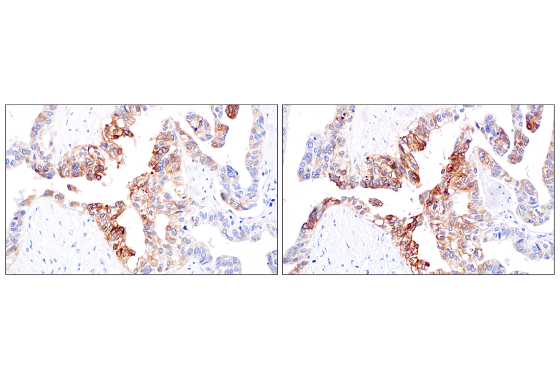
Immunohistochemical analysis of paraffin-embedded human serous papillary carcinoma of the ovary using IGFBP2 (F3E6V) Rabbit mAb (left) or an IGFBP2 Antibody (right). These two antibodies detect unique, non-overlapping epitopes on human IGFBP2. The similar staining patterns obtained with both antibodies help to confirm the specificity of the staining.
Immunohistochemistry Image 8: IGFBP2 (F3E6V) Rabbit Monoclonal Antibody
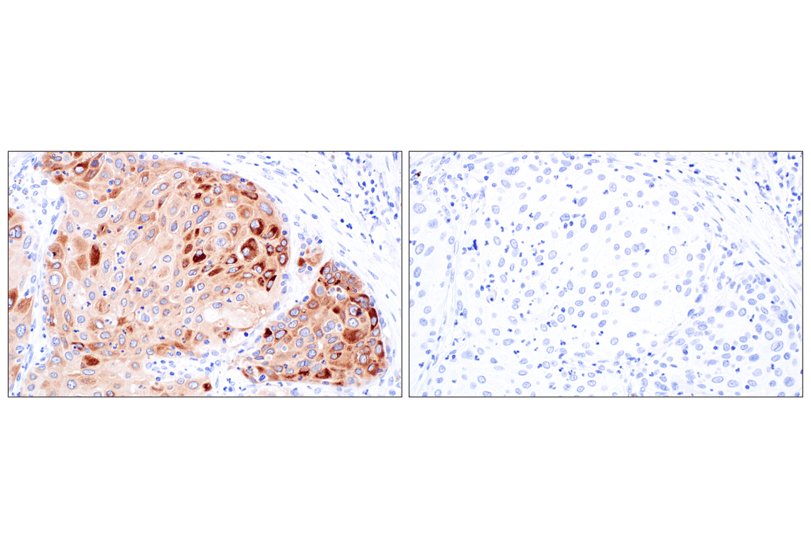
Immunohistochemical analysis of paraffin-embedded human squamous cell lung carcinoma using IGFBP2 (F3E6V) Rabbit mAb (left) compared to concentration-matched Rabbit (DA1E) mAb IgG XP® Isotype Control #3900 (right).
Immunohistochemistry Image 9: IGFBP2 (F3E6V) Rabbit Monoclonal Antibody
Immunohistochemical analysis of paraffin-embedded BT-483 cell pellet (left, positive) or LOX-IMVI cell pellet (right, negative) using IGFBP2 (F3E6V) Rabbit mAb.
Immunohistochemistry Image 10: IGFBP2 (F3E6V) Rabbit Monoclonal Antibody
Orders: 877-616-CELL (2355) [email protected] Support: 877-678-TECH (8324) [email protected] Web: cellsignal.com
For Research Use Only. Not for Use in Diagnostic Procedures.