Revision 1

#43035

Store at -20C

CST Logo
Orders:

877-616-CELL (2355)

[email protected]

Support:

877-678-TECH (8324)

3 Trask Lane | Danvers | Massachusetts | 01923 | USA

For Research Use Only. Not for Use in Diagnostic Procedures.

Applications:
W, IP, IF-IC, ChIP

Reactivity:
H M R Mk

Sensitivity:
Endogenous

MW (kDa):
110

Source/Isotype:
Rabbit IgG

UniProt ID:
#Q9Y6X8

Entrez-Gene Id:
22882

Product Usage Information

For optimal ChIP results, use 10 μL of antibody and 10 μg of chromatin (approximately 4 × 106 cells) per IP. This antibody has been validated using SimpleChIP® Enzymatic Chromatin IP Kits.
Application Dilution
Western Blotting 1:1000
Immunoprecipitation 1:50
Immunofluorescence (Immunocytochemistry) 1:100 - 1:400
Chromatin IP 1:50

Storage

Supplied in 10 mM sodium HEPES (pH 7.5), 150 mM NaCl, 100 µg/mL BSA, 50% glycerol, and less than 0.02% sodium azide. Store at –20°C. Do not aliquot the antibody.

Specificity/Sensitivity

ZHX2 (E5H5G) Rabbit Monoclonal Antibody recognizes endogenous levels of total ZHX2 protein.

Source / Purification

Monoclonal antibody is produced by immunizing animals with recombinant protein specific to the carboxy terminus of human ZHX2 protein.

Background

Zinc fingers and homeoboxes protein 2 (ZHX2) is a transcriptional repressor and tumor suppressor that belongs to the zinc fingers and homeoboxes (ZHX) protein family, which also contains ZHX1 and ZHX3 (1). ZHX proteins are expressed only in vertebrates and contain two C2H2 zinc finger motifs as well as five homeodomains, which are involved in DNA-protein and protein-protein interactions (2). ZHX2 has been shown to form homodimers as well as heterodimers with ZHX1, and also interacts with nuclear factor Y subunit alpha (NF-YA) (2). Through these interactions, ZHX2 functions as a transcriptional repressor by reducing the expression levels of a number of genes including cyclin A, cyclin E, and alpha-fetoprotein, among others (2-4). ZHX2 functions as a tumor suppressor in some tissues, as loss of ZHX2 leads to hepatocellular carcinoma, lymphoma, and myeloma (4). In clear cell renal carcinoma (ccRCC), ZHX2 appears to function as an oncogene, as loss of von Hippel-Lindau protein (VHL) leads to increased expression of ZHX2 and increased cellular proliferation (5). ZHX2 also contributes to atherosclerosis by promoting macrophage survival and pro-inflammatory function, leading to growth of atherosclerotic lesions (6). Additionally, ZHX2 functions to promote the maintenance of neural progenitor cells in the brain through repression of ephrin-B (7).

Species Reactivity

Species reactivity is determined by testing in at least one approved application (e.g., western blot).

Western Blot Buffer

IMPORTANT: For western blots, incubate membrane with diluted primary antibody in 5% w/v BSA, 1X TBS, 0.1% Tween® 20 at 4°C with gentle shaking, overnight.

Applications Key

W: Western Blotting IP: Immunoprecipitation IF-IC: Immunofluorescence (Immunocytochemistry) ChIP: Chromatin IP

Cross-Reactivity Key

H: Human M: Mouse R: Rat Mk: Monkey

Trademarks and Patents

Cell Signaling Technology is a trademark of Cell Signaling Technology, Inc.

SimpleChIP is a registered trademark of Cell Signaling Technology, Inc.

All other trademarks are the property of their respective owners. Visit cellsignal.com/trademarks for more information.

Limited Uses

Except as otherwise expressly agreed in a writing signed by a legally authorized representative of CST, the following terms apply to Products provided by CST, its affiliates or its distributors. Any Customer's terms and conditions that are in addition to, or different from, those contained herein, unless separately accepted in writing by a legally authorized representative of CST, are rejected and are of no force or effect.

Products are labeled with For Research Use Only or a similar labeling statement and have not been approved, cleared, or licensed by the FDA or other regulatory foreign or domestic entity, for any purpose. Customer shall not use any Product for any diagnostic or therapeutic purpose, or otherwise in any manner that conflicts with its labeling statement. Products sold or licensed by CST are provided for Customer as the end-user and solely for research and development uses. Any use of Product for diagnostic, prophylactic or therapeutic purposes, or any purchase of Product for resale (alone or as a component) or other commercial purpose, requires a separate license from CST. Customer shall (a) not sell, license, loan, donate or otherwise transfer or make available any Product to any third party, whether alone or in combination with other materials, or use the Products to manufacture any commercial products, (b) not copy, modify, reverse engineer, decompile, disassemble or otherwise attempt to discover the underlying structure or technology of the Products, or use the Products for the purpose of developing any products or services that would compete with CST products or services, (c) not alter or remove from the Products any trademarks, trade names, logos, patent or copyright notices or markings, (d) use the Products solely in accordance with CST Product Terms of Sale and any applicable documentation, and (e) comply with any license, terms of service or similar agreement with respect to any third party products or services used by Customer in connection with the Products.

Orders: 877-616-CELL (2355) [email protected] Support: 877-678-TECH (8324) [email protected] Web: cellsignal.com
For Research Use Only. Not for Use in Diagnostic Procedures.

Revision 1

Cell Signaling Technology Logo
Western blot analysis of extracts from various cell lines using ZHX2 (E5H5G) Rabbit mAb (upper) or GAPDH (D16H11) XP® Rabbit mAb #5174 (lower).
Western Blotting Image 1: ZHX2 (E5H5G) Rabbit Monoclonal Antibody
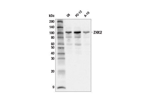
Western blot analysis of extracts from C6, PC-12, and A-10 cells using ZHX2 (E5H5G) Rabbit mAb.
Western Blotting Image 2: ZHX2 (E5H5G) Rabbit Monoclonal Antibody
Immunoprecipitation of ZHX2 protein from MCF7 cell extracts. Lane 1 is 10% input, lane 2 is Rabbit (DA1E) mAb IgG XP® Isotype Control #3900, and lane 3 is ZHX2 (E5H5G) Rabbit mAb. Western blot analysis was performed using ZHX2 (E5H5G) Rabbit mAb. Anti-rabbit IgG, HRP-linked Antibody #7074 was used as a secondary antibody.
Immunoprecipitation Image 1: ZHX2 (E5H5G) Rabbit Monoclonal Antibody
Orders: 877-616-CELL (2355) [email protected] Support: 877-678-TECH (8324) [email protected] Web: cellsignal.com
For Research Use Only. Not for Use in Diagnostic Procedures.

Revision 1

Cell Signaling Technology Logo
Confocal immunofluorescent analysis of MCF7 cells (left, positive) or AGS cells (right, negative) using ZHX2 (E5H5G) Rabbit mAb (green), DyLight™ 650 Phalloidin #12956 (red), and DAPI #4083 (blue).
Immunofluorescence Image 1: ZHX2 (E5H5G) Rabbit Monoclonal Antibody
Chromatin immunoprecipitations were performed with cross-linked chromatin from MCF7 cells and either ZHX2 (E5H5G) Rabbit mAb or Normal Rabbit IgG #2729 using SimpleChIP® Plus Enzymatic Chromatin IP Kit (Magnetic Beads) #9005. The enriched DNA was quantified by real-time PCR using human RANBP6 exon 1 primers, human CCDC174 promoter primers, human NUCKS1 promoter primers, and SimpleChIP® Human α Satellite Repeat Primers #4486. The amount of immunoprecipitated DNA in each sample is represented as signal relative to the total amount of input chromatin, which is equivalent to one.
Chromatin Immunoprecipitation Image 1: ZHX2 (E5H5G) Rabbit Monoclonal Antibody
Orders: 877-616-CELL (2355) [email protected] Support: 877-678-TECH (8324) [email protected] Web: cellsignal.com
For Research Use Only. Not for Use in Diagnostic Procedures.