Revision 1

#43164

Store at -20C

CST Logo
Orders:

877-616-CELL (2355)

[email protected]

Support:

877-678-TECH (8324)

3 Trask Lane | Danvers | Massachusetts | 01923 | USA

For Research Use Only. Not for Use in Diagnostic Procedures.

Applications:
W, IHC-P, IF-IC, FC-FP

Reactivity:
H M R Mk

Sensitivity:
Endogenous

MW (kDa):
130

Source/Isotype:
Rabbit IgG

UniProt ID:
#P56945

Entrez-Gene Id:
9564

Product Usage Information

This product is the carrier free version of product #13846. All data were generated using the same antibody clone in the standard formulation which contains BSA and glycerol.

This formulation is ideal for use with technologies requiring specialized or custom antibody labeling, including fluorophores, metals, lanthanides, and oligonucleotides. It is not recommended for ChIP, ChIP-seq, CUT&RUN or CUT&Tag assays. If you require a carrier free formulation for chromatin profiling, please contact us. Optimal dilutions/concentrations should be determined by the end user.

BSA and Azide Free antibodies are quality control tested by size exclusion chromatography (SEC) to determine antibody integrity.

Formulation

Supplied in 1X PBS (10 mM Na2HPO4, 3 mM KCl, 2 mM KH2PO4, and 140 mM NaCl (pH 7.8)). BSA and Azide Free.

For standard formulation of this product see product #13846

Storage

Store at -20°C. This product will freeze at -20°C so it is recommended to aliquot into single-use vials to avoid multiple freeze/thaw cycles. A slight precipitate may be present and can be dissolved by gently vortexing. This will not interfere with antibody performance.

Specificity/Sensitivity

p130 Cas (E1L9H) Rabbit Monoclonal Antibody (BSA and Azide Free) recognizes endogenous levels of total p130 Cas protein.

Source / Purification

Monoclonal antibody is produced by immunizing animals with a synthetic peptide corresponding to residues surrounding Leu116 in the SH3 domain of human p130 Cas protein.

Background

p130 Cas (Crk-associated substrate) is a docking protein containing multiple protein-protein interaction domains. The amino-terminal SH3 domain may function as a molecular switch regulating CAS tyrosine phosphorylation, as it interacts with focal adhesion kinase (FAK) (1) and the FAK-related kinase PYK2 (2), as well as the tyrosine phosphatases PTP-1B (3) and PTP-PEST (4). The carboxy-terminal Src binding domain (SBD) contains a proline-rich motif that mediates interaction with the SH3 domains of Src-family kinases (SFKs) and a tyrosine phosphorylation site (Tyr668 and/or Tyr670) that can promote interaction with the SH2 domain of SFKs (5). The p130 Cas central substrate domain, the major region of tyrosine phosphorylation, is characterized by 15 tyrosines present in Tyr-X-X-Pro (YXXP) motifs, including Tyr165, 249, and 410. When phosphorylated, most YXXP motifs are able to serve as docking sites for proteins with SH2 or PTB domains including adaptors, C-Crk, Nck, and inositol 5'-phosphatase 2 (SHIP2) (6). The tyrosine phosphorylation of p130 Cas has been implicated as a key signaling step in integrin control of normal cellular behaviors including motility, proliferation, and survival. Aberrant Cas tyrosine phosphorylation may contribute to cell transformation by certain oncoproteins (5).

Species Reactivity

Species reactivity is determined by testing in at least one approved application (e.g., western blot).

Applications Key

W: Western Blotting IHC-P: Immunohistochemistry (Paraffin) IF-IC: Immunofluorescence (Immunocytochemistry) FC-FP: Flow Cytometry (Fixed/Permeabilized)

Cross-Reactivity Key

H: Human M: Mouse R: Rat Mk: Monkey

Trademarks and Patents

Cell Signaling Technology is a trademark of Cell Signaling Technology, Inc.

All other trademarks are the property of their respective owners. Visit cellsignal.com/trademarks for more information.

Limited Uses

Except as otherwise expressly agreed in a writing signed by a legally authorized representative of CST, the following terms apply to Products provided by CST, its affiliates or its distributors. Any Customer's terms and conditions that are in addition to, or different from, those contained herein, unless separately accepted in writing by a legally authorized representative of CST, are rejected and are of no force or effect.

Products are labeled with For Research Use Only or a similar labeling statement and have not been approved, cleared, or licensed by the FDA or other regulatory foreign or domestic entity, for any purpose. Customer shall not use any Product for any diagnostic or therapeutic purpose, or otherwise in any manner that conflicts with its labeling statement. Products sold or licensed by CST are provided for Customer as the end-user and solely for research and development uses. Any use of Product for diagnostic, prophylactic or therapeutic purposes, or any purchase of Product for resale (alone or as a component) or other commercial purpose, requires a separate license from CST. Customer shall (a) not sell, license, loan, donate or otherwise transfer or make available any Product to any third party, whether alone or in combination with other materials, or use the Products to manufacture any commercial products, (b) not copy, modify, reverse engineer, decompile, disassemble or otherwise attempt to discover the underlying structure or technology of the Products, or use the Products for the purpose of developing any products or services that would compete with CST products or services, (c) not alter or remove from the Products any trademarks, trade names, logos, patent or copyright notices or markings, (d) use the Products solely in accordance with CST Product Terms of Sale and any applicable documentation, and (e) comply with any license, terms of service or similar agreement with respect to any third party products or services used by Customer in connection with the Products.

Orders: 877-616-CELL (2355) [email protected] Support: 877-678-TECH (8324) [email protected] Web: cellsignal.com
For Research Use Only. Not for Use in Diagnostic Procedures.

Revision 1

Cell Signaling Technology Logo
Western blot analysis of extracts from various cell lines using p130 Cas (E1L9H) Rabbit mAb (upper) and β-Actin (D6A8) Rabbit mAb #8457 (lower). Data were generated using the standard formulation of this product.
Western Blotting Image 1: p130 Cas (E1L9H) Rabbit Monoclonal Antibody (BSA and Azide Free)
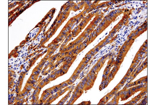
Immunohistochemical analysis of paraffin-embedded human colon carcinoma using p130 Cas (E1L9H) Rabbit mAb. Data were generated using the standard formulation of this product.
Immunohistochemistry Image 1: p130 Cas (E1L9H) Rabbit Monoclonal Antibody (BSA and Azide Free)
Immunohistochemical analysis of paraffin-embedded T-47D (left) and Jurkat (right) cell pellets using p130 Cas (E1L9H) Rabbit mAb. Data were generated using the standard formulation of this product.
Immunohistochemistry Image 2: p130 Cas (E1L9H) Rabbit Monoclonal Antibody (BSA and Azide Free)
Orders: 877-616-CELL (2355) [email protected] Support: 877-678-TECH (8324) [email protected] Web: cellsignal.com
For Research Use Only. Not for Use in Diagnostic Procedures.

Revision 1

Cell Signaling Technology Logo
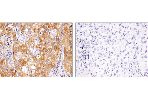
Immunohistochemical analysis of paraffin-embedded human non-small cell lung carcinoma using p130 Cas (E1L9H) Rabbit mAb in the presence of control peptide (left) and antigen-specific peptide (right). Data were generated using the standard formulation of this product.
Immunohistochemistry Image 3: p130 Cas (E1L9H) Rabbit Monoclonal Antibody (BSA and Azide Free)
Confocal immunofluorescent analysis of SNB19 cells either untreated (left) or treated with TPA #9905 (100nM, 1hr; right) using p130 Cas (E1L9H) Rabbit mAb (green). Actin filaments were labeled with DyLight™ 554 Phalloidin #13054 (red). Blue pseudocolor = DRAQ5® #4084 (fluorescent DNA dye). Data were generated using the standard formulation of this product.
Immunofluorescence Image 1: p130 Cas (E1L9H) Rabbit Monoclonal Antibody (BSA and Azide Free)
Flow cytometric analysis of Jurkat cells (blue) and HT-1080 cells (green) using p130 Cas (E1L9H) Rabbit mAb (solid lines) or a concentration-matched Rabbit (DA1E) mAb IgG XP® Isotype Control #3900 (dashed lines). Anti-rabbit IgG (H+L), F(ab')2 Fragment (Alexa Fluor® 488 Conjugate) #4412 was used as a secondary antibody. Data were generated using the standard formulation of this product.
Flow Cytometry Image 1: p130 Cas (E1L9H) Rabbit Monoclonal Antibody (BSA and Azide Free)
Orders: 877-616-CELL (2355) [email protected] Support: 877-678-TECH (8324) [email protected] Web: cellsignal.com
For Research Use Only. Not for Use in Diagnostic Procedures.