Revision 1

#43365

Store at -20C

CST Logo
Orders:

877-616-CELL (2355)

[email protected]

Support:

877-678-TECH (8324)

3 Trask Lane | Danvers | Massachusetts | 01923 | USA

For Research Use Only. Not for Use in Diagnostic Procedures.

Applications:
W, IHC-P, IF-IC

Reactivity:
H

Sensitivity:
Endogenous

MW (kDa):
48

Source/Isotype:
Rabbit IgG

UniProt ID:
#Q92947

Entrez-Gene Id:
2639

Product Usage Information

Application Dilution
Western Blotting 1:1000
Immunohistochemistry (Paraffin) 1:100 - 1:400
Immunofluorescence (Immunocytochemistry) 1:50 - 1:200

Storage

Supplied in 10 mM sodium HEPES (pH 7.5), 150 mM NaCl, 100 µg/mL BSA, 50% glycerol, and less than 0.02% sodium azide. Store at –20°C. Do not aliquot the antibody.

Specificity/Sensitivity

GCDH (F2P2M) Rabbit Monoclonal Antibody recognizes endogenous levels of total GCDH protein.

Source / Purification

Monoclonal antibody is produced by immunizing animals with a synthetic peptide corresponding to residues surrounding Trp50 of human GCDH protein.

Background

Glutaryl-CoA dehydrogenase (GCDH) is a mitochondria matrix enzyme that plays a role in the degradative pathway of lysine, hydroxylysine, and tryptophan by converting glutaryl-CoA to crotonyl-CoA (reviewed in 1). Crotonyl-CoA is further metabolized to acetyl-CoA, which enters the tricarboxylic acid (TCA) cycle for energy production. Mutation of the GCDH gene is the cause of glutamic aciduria type I (GAI), an autosomal recessive neurological disorder (2). GCDH deficiency leads to an accumulation of glutaryl-CoA and neurotoxic metabolites including glutaric acid and 3-hydroxyglutaric acid (3). Several studies have demonstrated the importance of GCDH in metabolic reprogramming in cancer. Melanoma cells can develop a dependency on GCDH (4). Mechanistically, loss of GCDH results in increased glutarylation of NRF2, a master transcriptional regulator of stress response genes associated with oxidative and metabolic stress responses, which results in increased NRF2 stability and activity and promotes cell death. Glioblastoma stem cells reprogram lysine catabolism, including upregulation of GCDH, which leads to an increase in histone crotonylation regulating tumor immunity (5). In contrast, in hepatocellular carcinoma (HCC), GCDH suppresses tumor growth and metastasis (6).

Species Reactivity

Species reactivity is determined by testing in at least one approved application (e.g., western blot).

Western Blot Buffer

IMPORTANT: For western blots, incubate membrane with diluted primary antibody in 5% w/v BSA, 1X TBS, 0.1% Tween® 20 at 4°C with gentle shaking, overnight.

Applications Key

W: Western Blotting IHC-P: Immunohistochemistry (Paraffin) IF-IC: Immunofluorescence (Immunocytochemistry)

Cross-Reactivity Key

H: Human

Trademarks and Patents

Cell Signaling Technology is a trademark of Cell Signaling Technology, Inc.

All other trademarks are the property of their respective owners. Visit cellsignal.com/trademarks for more information.

Limited Uses

Except as otherwise expressly agreed in a writing signed by a legally authorized representative of CST, the following terms apply to Products provided by CST, its affiliates or its distributors. Any Customer's terms and conditions that are in addition to, or different from, those contained herein, unless separately accepted in writing by a legally authorized representative of CST, are rejected and are of no force or effect.

Products are labeled with For Research Use Only or a similar labeling statement and have not been approved, cleared, or licensed by the FDA or other regulatory foreign or domestic entity, for any purpose. Customer shall not use any Product for any diagnostic or therapeutic purpose, or otherwise in any manner that conflicts with its labeling statement. Products sold or licensed by CST are provided for Customer as the end-user and solely for research and development uses. Any use of Product for diagnostic, prophylactic or therapeutic purposes, or any purchase of Product for resale (alone or as a component) or other commercial purpose, requires a separate license from CST. Customer shall (a) not sell, license, loan, donate or otherwise transfer or make available any Product to any third party, whether alone or in combination with other materials, or use the Products to manufacture any commercial products, (b) not copy, modify, reverse engineer, decompile, disassemble or otherwise attempt to discover the underlying structure or technology of the Products, or use the Products for the purpose of developing any products or services that would compete with CST products or services, (c) not alter or remove from the Products any trademarks, trade names, logos, patent or copyright notices or markings, (d) use the Products solely in accordance with CST Product Terms of Sale and any applicable documentation, and (e) comply with any license, terms of service or similar agreement with respect to any third party products or services used by Customer in connection with the Products.

Orders: 877-616-CELL (2355) [email protected] Support: 877-678-TECH (8324) [email protected] Web: cellsignal.com
For Research Use Only. Not for Use in Diagnostic Procedures.

Revision 1

Cell Signaling Technology Logo
Western blot analysis of extracts from various cell lines using GCDH (F2P2M) Rabbit mAb (upper) or GAPDH (D16H11) XP® Rabbit mAb #5174 (lower). Low expression of GCDH protein in Capan-2, A549, and A-431 cells is consistent with the predicted expression pattern.
Western Blotting Image 1: GCDH (F2P2M) Rabbit Monoclonal Antibody
Immunohistochemical analysis of paraffin-embedded human squamous cell lung carcinoma using GCDH (F2P2M) Rabbit mAb.
Immunohistochemistry Image 1: GCDH (F2P2M) Rabbit Monoclonal Antibody
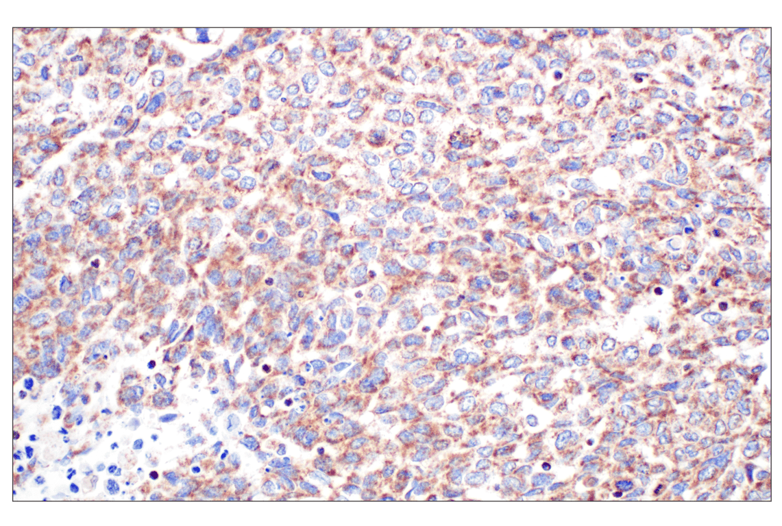
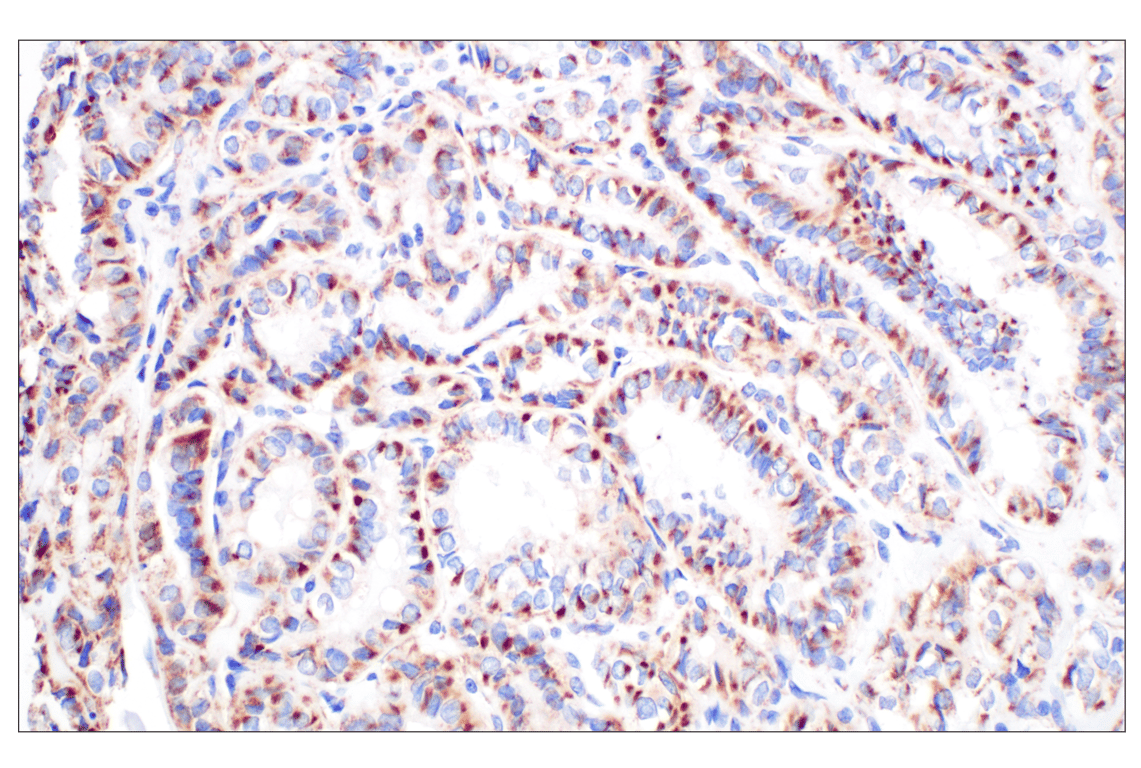
Immunohistochemical analysis of paraffin-embedded human urothelial carcinoma using GCDH (F2P2M) Rabbit mAb.
Immunohistochemistry Image 2: GCDH (F2P2M) Rabbit Monoclonal Antibody
Orders: 877-616-CELL (2355) [email protected] Support: 877-678-TECH (8324) [email protected] Web: cellsignal.com
For Research Use Only. Not for Use in Diagnostic Procedures.

Revision 1

Cell Signaling Technology Logo
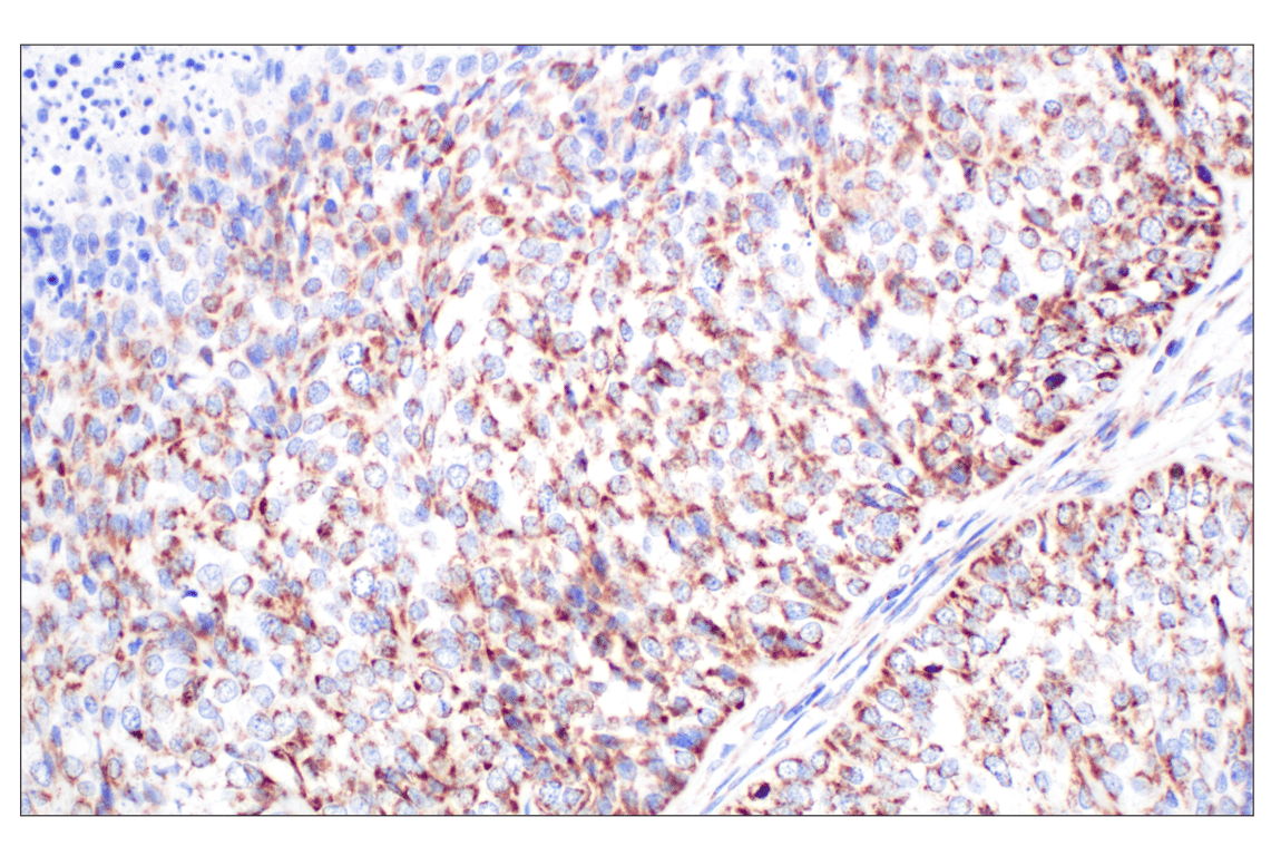
Immunohistochemical analysis of paraffin-embedded human papillary thyroid carcinoma using GCDH (F2P2M) Rabbit mAb.
Immunohistochemistry Image 3: GCDH (F2P2M) Rabbit Monoclonal Antibody
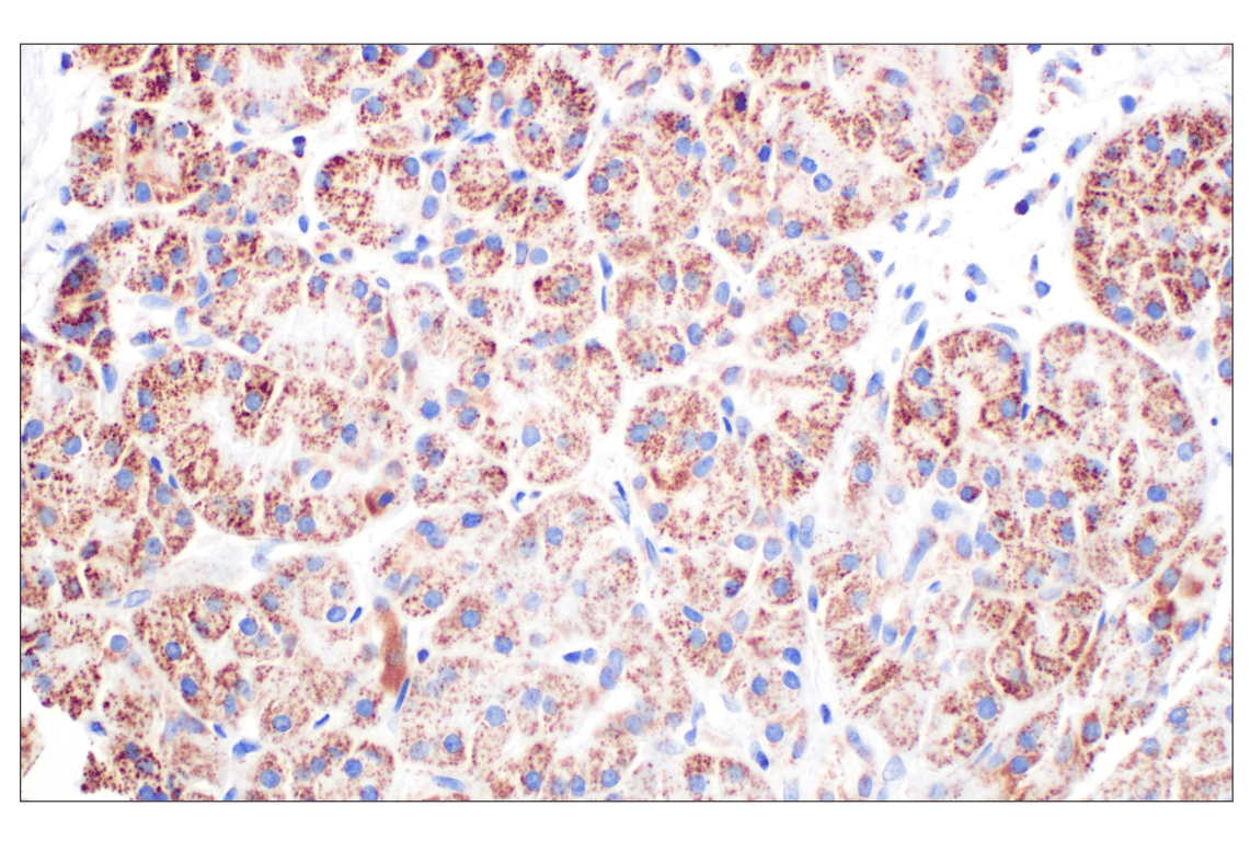
Immunohistochemical analysis of paraffin-embedded normal human pancreas using GCDH (F2P2M) Rabbit mAb.
Immunohistochemistry Image 4: GCDH (F2P2M) Rabbit Monoclonal Antibody

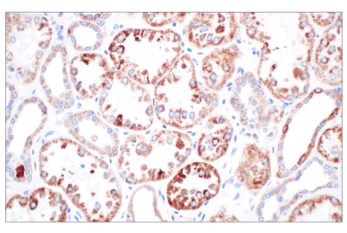
Immunohistochemical analysis of paraffin-embedded normal human kidney using GCDH (F2P2M) Rabbit mAb.

Immunohistochemistry Image 5: GCDH (F2P2M) Rabbit Monoclonal Antibody
Orders: 877-616-CELL (2355) [email protected] Support: 877-678-TECH (8324) [email protected] Web: cellsignal.com
For Research Use Only. Not for Use in Diagnostic Procedures.

Revision 1

Cell Signaling Technology Logo
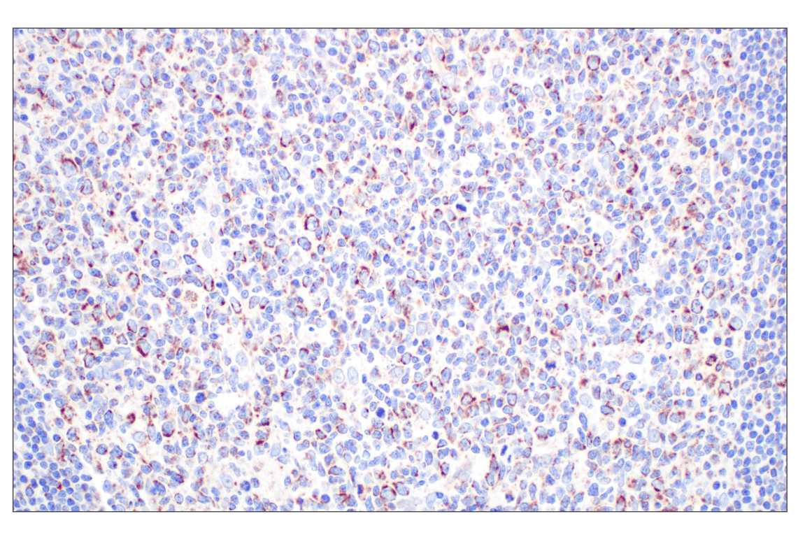
Immunohistochemical analysis of paraffin-embedded human tonsil using GCDH (F2P2M) Rabbit mAb.
Immunohistochemistry Image 6: GCDH (F2P2M) Rabbit Monoclonal Antibody

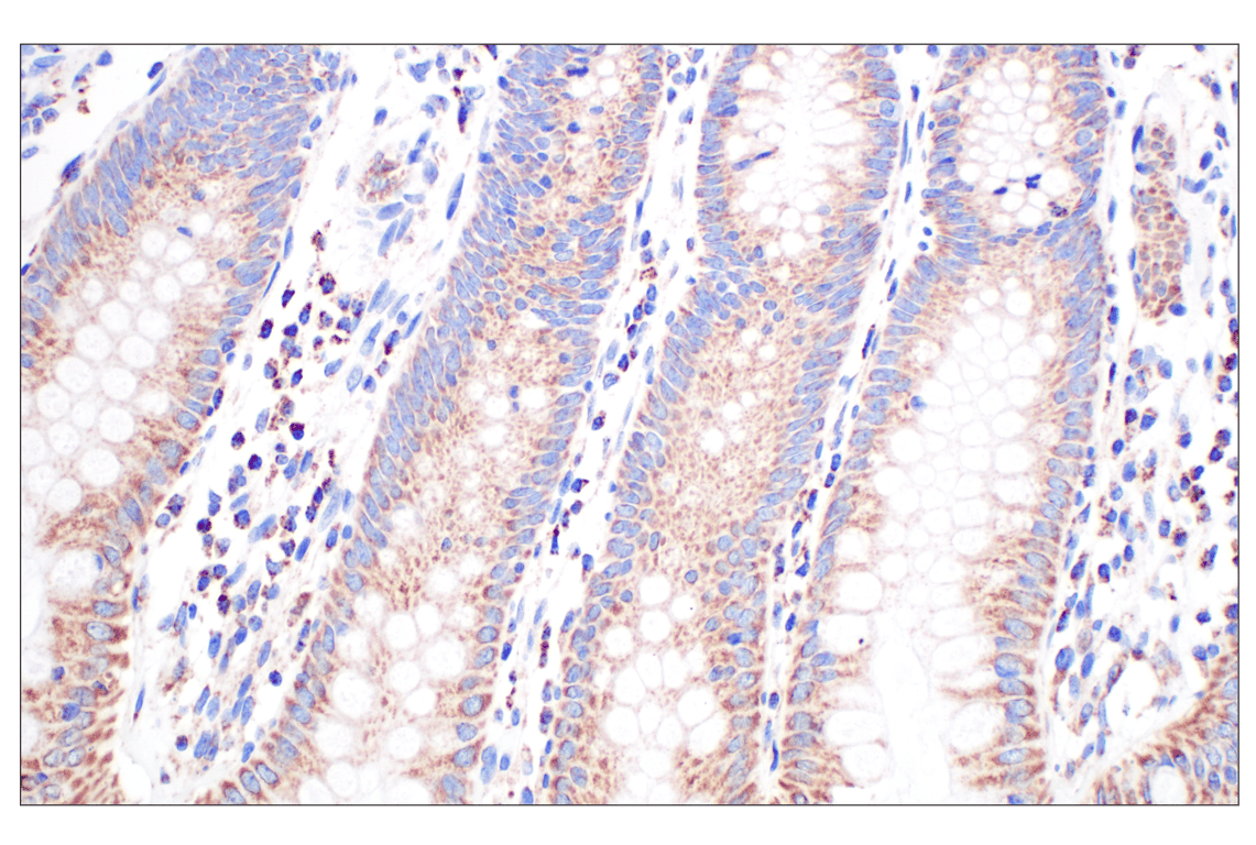
Immunohistochemical analysis of paraffin-embedded normal human colon using GCDH (F2P2M) Rabbit mAb.

Immunohistochemistry Image 7: GCDH (F2P2M) Rabbit Monoclonal Antibody
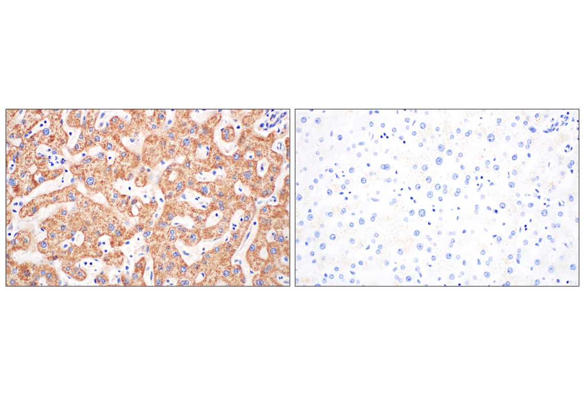
Immunohistochemical analysis of paraffin-embedded normal human liver using GCDH (F2P2M) Rabbit mAb (left) compared to concentration-matched Rabbit (DA1E) mAb IgG XP® Isotype Control #3900 (right).
Immunohistochemistry Image 8: GCDH (F2P2M) Rabbit Monoclonal Antibody
Orders: 877-616-CELL (2355) [email protected] Support: 877-678-TECH (8324) [email protected] Web: cellsignal.com
For Research Use Only. Not for Use in Diagnostic Procedures.

Revision 1

Cell Signaling Technology Logo
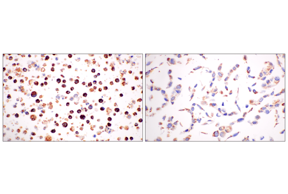
Immunohistochemical analysis of paraffin-embedded TF-1 cell pellet (left, high-expressing) or A-431 cell pellet (right, low-expressing) using GCDH (F2P2M) Rabbit mAb.
Immunohistochemistry Image 9: GCDH (F2P2M) Rabbit Monoclonal Antibody
Confocal immunofluorescent analysis of NCI-H146 cell pellets (left, high-expressing) and A549 cells (right, low-expressing) using GCDH (F2P2M) Rabbit mAb (green) and DAPI #4083 (blue).
Immunofluorescence Image 1: GCDH (F2P2M) Rabbit Monoclonal Antibody
Orders: 877-616-CELL (2355) [email protected] Support: 877-678-TECH (8324) [email protected] Web: cellsignal.com
For Research Use Only. Not for Use in Diagnostic Procedures.