Revision 1

#43497

Store at -20C

CST Logo
Orders:

877-616-CELL (2355)

[email protected]

Support:

877-678-TECH (8324)

3 Trask Lane | Danvers | Massachusetts | 01923 | USA

For Research Use Only. Not for Use in Diagnostic Procedures.

Applications:
W, IP, IHC-P

Reactivity:
H M Mk

Sensitivity:
Endogenous

MW (kDa):
22

Source/Isotype:
Rabbit IgG

UniProt ID:
#P00374

Entrez-Gene Id:
1719

Product Usage Information

Application Dilution
Western Blotting 1:1000
Immunoprecipitation 1:50
Immunohistochemistry (Paraffin) 1:400 - 1:1600

Storage

Supplied in 10 mM sodium HEPES (pH 7.5), 150 mM NaCl, 100 µg/ml BSA and 50% glycerol. Store at –20°C. Do not aliquot the antibody.

Specificity/Sensitivity

DHFR (E6L1H) Rabbit Monoclonal Antibody recognizes endogenous levels of total DHFR protein.

Source / Purification

Monoclonal antibody is produced by immunizing animals with a synthetic peptide corresponding to residues surrounding Gly175 of human DHFR protein.

Background

Dihydrofolate reductase (DHFR) catalyzes tetrahydrofolate regeneration through the reduction of dihydrofolate using NADPH as a cofactor (1). As a key enzyme in folate metabolism, DHFR is ubiquitously expressed in the mitochondria, and is essential for the synthesis of purines, pyrimidines, and some amino acids (2). DHFR is capable of translational autoregulation by binding within the coding region of its own mRNA sequence to repress cellular DHFR protein levels (3). Mutations in the DHFR gene are known to cause inborn errors of folate metabolism resulting in megaloblastic anemia, pancytopenia, and severe cerebral folate deficiency (4). Because tetrahydrofolate is essential for DNA synthesis, cell growth, and proliferation, DHFR is a target of chemotherapeutic agents (e.g., methotrexate and pemetrexed) used in the treatment of many cancer types (5). Increased expression of DHFR has also been identified as a potential mechanism for tumor resistance to methotrexate, and therefore has been utilized as a clinical biomarker to predict patient responsiveness to folate antagonists (6,7).

Species Reactivity

Species reactivity is determined by testing in at least one approved application (e.g., western blot).

Western Blot Buffer

IMPORTANT: For western blots, incubate membrane with diluted primary antibody in 5% w/v nonfat dry milk, 1X TBS, 0.1% Tween® 20 at 4°C with gentle shaking, overnight.

Applications Key

W: Western Blotting IP: Immunoprecipitation IHC-P: Immunohistochemistry (Paraffin)

Cross-Reactivity Key

H: Human M: Mouse Mk: Monkey

Trademarks and Patents

Cell Signaling Technology is a trademark of Cell Signaling Technology, Inc.

SignalStain is a registered trademark of Cell Signaling Technology, Inc.

All other trademarks are the property of their respective owners. Visit cellsignal.com/trademarks for more information.

Limited Uses

Except as otherwise expressly agreed in a writing signed by a legally authorized representative of CST, the following terms apply to Products provided by CST, its affiliates or its distributors. Any Customer's terms and conditions that are in addition to, or different from, those contained herein, unless separately accepted in writing by a legally authorized representative of CST, are rejected and are of no force or effect.

Products are labeled with For Research Use Only or a similar labeling statement and have not been approved, cleared, or licensed by the FDA or other regulatory foreign or domestic entity, for any purpose. Customer shall not use any Product for any diagnostic or therapeutic purpose, or otherwise in any manner that conflicts with its labeling statement. Products sold or licensed by CST are provided for Customer as the end-user and solely for research and development uses. Any use of Product for diagnostic, prophylactic or therapeutic purposes, or any purchase of Product for resale (alone or as a component) or other commercial purpose, requires a separate license from CST. Customer shall (a) not sell, license, loan, donate or otherwise transfer or make available any Product to any third party, whether alone or in combination with other materials, or use the Products to manufacture any commercial products, (b) not copy, modify, reverse engineer, decompile, disassemble or otherwise attempt to discover the underlying structure or technology of the Products, or use the Products for the purpose of developing any products or services that would compete with CST products or services, (c) not alter or remove from the Products any trademarks, trade names, logos, patent or copyright notices or markings, (d) use the Products solely in accordance with CST Product Terms of Sale and any applicable documentation, and (e) comply with any license, terms of service or similar agreement with respect to any third party products or services used by Customer in connection with the Products.

Orders: 877-616-CELL (2355) [email protected] Support: 877-678-TECH (8324) [email protected] Web: cellsignal.com
For Research Use Only. Not for Use in Diagnostic Procedures.

Revision 1

Cell Signaling Technology Logo
Western blot analysis of extracts from 293T cells, transfected with control siRNA (-) or DHFR siRNA (+), using DHFR (E6L1H) Rabbit mAb (upper) and GAPDH (D16H11) XP® Rabbit mAb #5174 (lower). The loss of DHFR signal in extracts from DHFR siRNA-transfected cells confirms specificity of the antibody for DHFR.
Western Blotting Image 1: DHFR (E6L1H) Rabbit Monoclonal Antibody
Western blot analysis of extracts from various cell lines using DHFR (E6L1H) Rabbit mAb (upper) and GAPDH (D16H11) XP® Rabbit mAb #5174 (lower).
Western Blotting Image 2: DHFR (E6L1H) Rabbit Monoclonal Antibody
Immunoprecipitation of DHFR protein from RPMI 8226 cell extracts. Lane 1 is 10% input, lane 2 is Rabbit (DA1E) mAb IgG XP® Isotype Control #3900, and lane 3 is DHFR (E6L1H) Rabbit mAb. Western blot analysis was performed using DHFR (E6L1H) Rabbit mAb. Mouse Anti-rabbit IgG (Conformation Specific) (L27A9) mAb (HRP Conjugate) #5127 was used as the secondary antibody.
Immunoprecipitation Image 1: DHFR (E6L1H) Rabbit Monoclonal Antibody
Orders: 877-616-CELL (2355) [email protected] Support: 877-678-TECH (8324) [email protected] Web: cellsignal.com
For Research Use Only. Not for Use in Diagnostic Procedures.

Revision 1

Cell Signaling Technology Logo
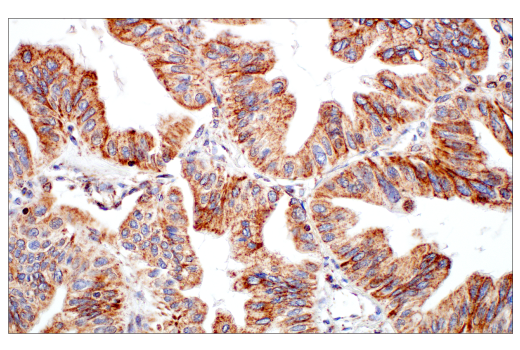
Immunohistochemical analysis of paraffin-embedded human lung adenocarcinoma using DHFR (E6L1H) Rabbit mAb.
Immunohistochemistry Image 1: DHFR (E6L1H) Rabbit Monoclonal Antibody
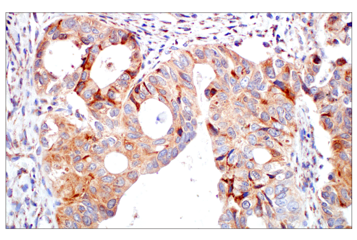
Immunohistochemical analysis of paraffin-embedded human endometrioid adenocarcinoma using DHFR (E6L1H) Rabbit mAb.
Immunohistochemistry Image 2: DHFR (E6L1H) Rabbit Monoclonal Antibody
Immunohistochemical analysis of paraffin-embedded human gastrointestinal stromal tumor using DHFR (E6L1H) Rabbit mAb.
Immunohistochemistry Image 3: DHFR (E6L1H) Rabbit Monoclonal Antibody
Orders: 877-616-CELL (2355) [email protected] Support: 877-678-TECH (8324) [email protected] Web: cellsignal.com
For Research Use Only. Not for Use in Diagnostic Procedures.

Revision 1

Cell Signaling Technology Logo
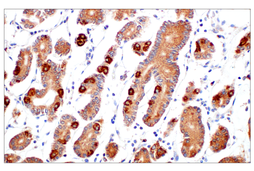
Immunohistochemical analysis of paraffin-embedded human colon adenocarcinoma using DHFR (E6L1H) Rabbit mAb.
Immunohistochemistry Image 4: DHFR (E6L1H) Rabbit Monoclonal Antibody
Immunohistochemical analysis of paraffin-embedded normal human brain using DHFR (E6L1H) Rabbit mAb.
Immunohistochemistry Image 5: DHFR (E6L1H) Rabbit Monoclonal Antibody
Immunohistochemical analysis of paraffin-embedded normal human pancreas using DHFR (E6L1H) Rabbit mAb.
Immunohistochemistry Image 6: DHFR (E6L1H) Rabbit Monoclonal Antibody
Orders: 877-616-CELL (2355) [email protected] Support: 877-678-TECH (8324) [email protected] Web: cellsignal.com
For Research Use Only. Not for Use in Diagnostic Procedures.

Revision 1

Cell Signaling Technology Logo
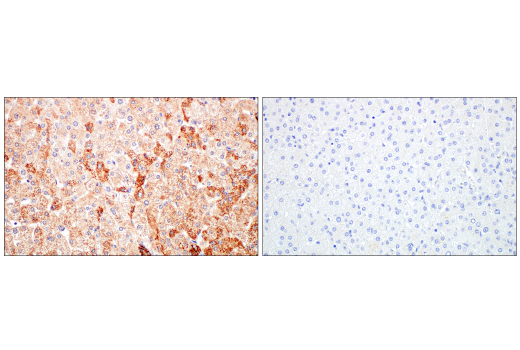
Immunohistochemical analysis of paraffin-embedded normal human liver using DHFR (E6L1H) Rabbit mAb (left) compared to concentration-matched Rabbit (DA1E) mAb IgG XP® Isotype Control #3900 (right). 
Immunohistochemistry Image 7: DHFR (E6L1H) Rabbit Monoclonal Antibody
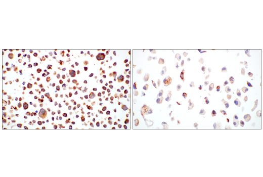
Immunohistochemical analysis of paraffin-embedded RPMI 8226 cell pellet (left, high-expressing) or NCI-H226 cell pellet (right, low-expressing) using DHFR (E6L1H) Rabbit mAb.
Immunohistochemistry Image 8: DHFR (E6L1H) Rabbit Monoclonal Antibody
Orders: 877-616-CELL (2355) [email protected] Support: 877-678-TECH (8324) [email protected] Web: cellsignal.com
For Research Use Only. Not for Use in Diagnostic Procedures.