Revision 4

#44454

Store at -20C

CST Logo
Orders:

877-616-CELL (2355)

[email protected]

Support:

877-678-TECH (8324)

3 Trask Lane | Danvers | Massachusetts | 01923 | USA

For Research Use Only. Not for Use in Diagnostic Procedures.

Applications:
W, IP, IHC-P, IF-IC

Reactivity:
H

Sensitivity:
Endogenous

MW (kDa):
70-90,120-175

Source/Isotype:
Rabbit IgG

UniProt ID:
#Q9H3R2

Entrez-Gene Id:
56667

Product Usage Information

Application Dilution
Western Blotting 1:1000
Immunoprecipitation 1:100
Immunohistochemistry (Paraffin) 1:50
Immunofluorescence (Immunocytochemistry) 1:800 - 1:3200

Storage

Supplied in 10 mM sodium HEPES (pH 7.5), 150 mM NaCl, 100 µg/mL BSA, 50% glycerol, and less than 0.02% sodium azide. Store at –20°C. Do not aliquot the antibody.

For a carrier free (BSA and azide free) version of this product see product #17339.

Specificity/Sensitivity

MUC13 (E6Z1K) Rabbit Monoclonal Antibody recognizes endogenous levels of total MUC13 protein.

Source / Purification

Monoclonal antibody is produced by immunizing animals with recombinant protein specific to the amino terminus of human MUC13 protein.

Background

Mucin proteins are glycoproteins known for providing protection and lubrication to the luminal epithelial tissues under normal physiologic conditions (1,2). There are three types of mucins based on their structure and location: transmembrane, secreted, and soluble. Mucins can function as oncogenes and exert the effect of tumor-promoting and/or tumor-suppressing factors (3). MUC13 (Mucin13) is a transmembrane mucin. The protein is expressed in the epithelium layer of large intestine, trachea, kidney, small intestine, stomach, and hematopoietic cells (4). There it regulates epithelial inflammation in response to inflammatory and infectious stimuli (5). MUC13 is aberrantly overexpressed in various cancer types including gastric (6), pancreatic (7), hepatic (8), colonic (9), renal (10), etc. The protein promotes tumorigenesis, metastasis, and induces resistance to chemotherapy via activating multiple signaling pathways, such as β-catenin signaling, Her2/EGFR signaling, and NF-kB signaling (8,9,11,12). The apparent molecular weight of MUC13 is varied from 70 to 90 kDa and 120 to 175 kDa in different cell lines, due to the different protein glycosylation status (13).

Species Reactivity

Species reactivity is determined by testing in at least one approved application (e.g., western blot).

Western Blot Buffer

IMPORTANT: For western blots, incubate membrane with diluted primary antibody in 5% w/v BSA, 1X TBS, 0.1% Tween® 20 at 4°C with gentle shaking, overnight.

Applications Key

W: Western Blotting IP: Immunoprecipitation IHC-P: Immunohistochemistry (Paraffin) IF-IC: Immunofluorescence (Immunocytochemistry)

Cross-Reactivity Key

H: Human

Trademarks and Patents

Cell Signaling Technology is a trademark of Cell Signaling Technology, Inc.

SignalStain is a registered trademark of Cell Signaling Technology, Inc.

All other trademarks are the property of their respective owners. Visit cellsignal.com/trademarks for more information.

Limited Uses

Except as otherwise expressly agreed in a writing signed by a legally authorized representative of CST, the following terms apply to Products provided by CST, its affiliates or its distributors. Any Customer's terms and conditions that are in addition to, or different from, those contained herein, unless separately accepted in writing by a legally authorized representative of CST, are rejected and are of no force or effect.

Products are labeled with For Research Use Only or a similar labeling statement and have not been approved, cleared, or licensed by the FDA or other regulatory foreign or domestic entity, for any purpose. Customer shall not use any Product for any diagnostic or therapeutic purpose, or otherwise in any manner that conflicts with its labeling statement. Products sold or licensed by CST are provided for Customer as the end-user and solely for research and development uses. Any use of Product for diagnostic, prophylactic or therapeutic purposes, or any purchase of Product for resale (alone or as a component) or other commercial purpose, requires a separate license from CST. Customer shall (a) not sell, license, loan, donate or otherwise transfer or make available any Product to any third party, whether alone or in combination with other materials, or use the Products to manufacture any commercial products, (b) not copy, modify, reverse engineer, decompile, disassemble or otherwise attempt to discover the underlying structure or technology of the Products, or use the Products for the purpose of developing any products or services that would compete with CST products or services, (c) not alter or remove from the Products any trademarks, trade names, logos, patent or copyright notices or markings, (d) use the Products solely in accordance with CST Product Terms of Sale and any applicable documentation, and (e) comply with any license, terms of service or similar agreement with respect to any third party products or services used by Customer in connection with the Products.

Orders: 877-616-CELL (2355) [email protected] Support: 877-678-TECH (8324) [email protected] Web: cellsignal.com
For Research Use Only. Not for Use in Diagnostic Procedures.

Revision 4

Cell Signaling Technology Logo
Western blot analysis of extracts from various cell lines using MUC13 (E6Z1K) Rabbit mAb (upper) or GAPDH (D16H11) XP® Rabbit mAb #5174 (lower). Negative expression of MUC13 protein in RD cells is consistent with the predicted expression pattern.
Western Blotting Image 1: MUC13 (E6Z1K) Rabbit Monoclonal Antibody
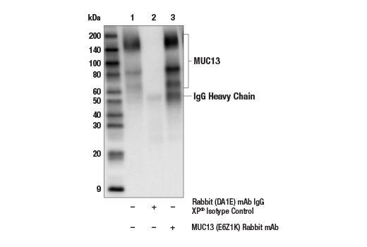
Immunoprecipitation of MUC13 protein from T84 cell extracts. Lane 1 is 10% input, lane 2 is Rabbit (DA1E) mAb IgG XP® Isotype Control #3900, and lane 3 is MUC13 (E6Z1K) Rabbit mAb. Western blot analysis was performed using MUC13 (E6Z1K) Rabbit mAb. Mouse Anti-rabbit IgG (Conformation Specific) (L27A9) mAb (HRP-linked) #5127 was used as the secondary antibody.
Immunoprecipitation Image 1: MUC13 (E6Z1K) Rabbit Monoclonal Antibody
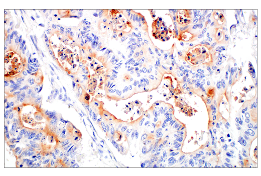
Immunohistochemical analysis of paraffin-embedded human colon adenocarcinoma using MUC13 (E6Z1K) Rabbit mAb.
Immunohistochemistry Image 1: MUC13 (E6Z1K) Rabbit Monoclonal Antibody
Orders: 877-616-CELL (2355) [email protected] Support: 877-678-TECH (8324) [email protected] Web: cellsignal.com
For Research Use Only. Not for Use in Diagnostic Procedures.

Revision 4

Cell Signaling Technology Logo
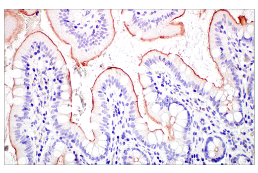
Immunohistochemical analysis of paraffin-embedded normal human small intestine using MUC13 (E6Z1K) Rabbit mAb.
Immunohistochemistry Image 2: MUC13 (E6Z1K) Rabbit Monoclonal Antibody
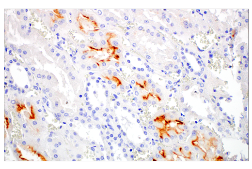
Immunohistochemical analysis of paraffin-embedded normal human kidney using MUC13 (E6Z1K) Rabbit mAb.
Immunohistochemistry Image 3: MUC13 (E6Z1K) Rabbit Monoclonal Antibody
Immunohistochemical analysis of paraffin-embedded normal human small intestine using MUC13 (E6Z1K) Rabbit mAb (left) compared to concentration-matched Rabbit (DA1E) mAb IgG XP® Isotype Control #3900 (right). 
Immunohistochemistry Image 4: MUC13 (E6Z1K) Rabbit Monoclonal Antibody
Orders: 877-616-CELL (2355) [email protected] Support: 877-678-TECH (8324) [email protected] Web: cellsignal.com
For Research Use Only. Not for Use in Diagnostic Procedures.

Revision 4

Cell Signaling Technology Logo
Immunohistochemical analysis of paraffin-embedded T84 cell pellet (left, positive) or RD cell pellet (right, negative) using MUC13 (E6Z1K) Rabbit mAb.
Immunohistochemistry Image 5: MUC13 (E6Z1K) Rabbit Monoclonal Antibody
Projected confocal z-stack of T84 cells (left, positive) and RD cells (right, negative) using MUC13 (E6Z1K) Rabbit mAb (green), DyLight™ 650 Phalloidin #12956 (red), and DAPI #4083 (blue).
Immunofluorescence Image 1: MUC13 (E6Z1K) Rabbit Monoclonal Antibody
Orders: 877-616-CELL (2355) [email protected] Support: 877-678-TECH (8324) [email protected] Web: cellsignal.com
For Research Use Only. Not for Use in Diagnostic Procedures.