Revision 1

#46080

Store at -20C

UNC1999

1 mg

CST Logo
Orders:

877-616-CELL (2355)

[email protected]

Support:

877-678-TECH (8324)

3 Trask Lane | Danvers | Massachusetts | 01923 | USA

For Research Use Only. Not for Use in Diagnostic Procedures.

Background

UNC1999 inhibits EZH2 and EZH1 histone-lysine N-methyltransferase activity through competitive inhibition of the cofactor S-Adenosyl-l-methionine (SAM). The UNC1999 inhibitor displays potent specificity relative to other histone methyltransferases. IC50 values for EZH2 and EZH1 are 2 nM and 45 nM, respectively (1). Research studies demonstrate that UNC1999 effectively blocks histone H3 lysine 27 (H3K27) methylation. UNC1999 induces anti-proliferation, cell differentiation, and apoptosis, while exhibiting low cellular toxicity (1,2).

Molecular Formula

C33H43N7O2

Molecular Weight

569.8 g/mol

Purity

>98%

CAS

1431612-23-5

Solubility

Soluble in DMF at 1mg/ml and EtOH at 100ug/ml.

Storage

Store lyophilized or in solution at -20ºC, desiccated. In lyophilized form, the chemical is stable for 24 months. Once in solution, use within 3 months to prevent loss of potency. Aliquot to avoid multiple freeze/thaw cycles.

Directions for Use

UNC1999 is supplied as a lyophilized powder. For a 5 mM stock, reconstitute the 1 mg in 350.97 μl DMSO. Working concentrations and length of treatment can vary depending on the desired effect, but it is typically used at 5 nM -5 μM for 2-48 hr.

Trademarks and Patents

Cell Signaling Technology is a trademark of Cell Signaling Technology, Inc.

All other trademarks are the property of their respective owners. Visit cellsignal.com/trademarks for more information.

Limited Uses

Except as otherwise expressly agreed in a writing signed by a legally authorized representative of CST, the following terms apply to Products provided by CST, its affiliates or its distributors. Any Customer's terms and conditions that are in addition to, or different from, those contained herein, unless separately accepted in writing by a legally authorized representative of CST, are rejected and are of no force or effect.

Products are labeled with For Research Use Only or a similar labeling statement and have not been approved, cleared, or licensed by the FDA or other regulatory foreign or domestic entity, for any purpose. Customer shall not use any Product for any diagnostic or therapeutic purpose, or otherwise in any manner that conflicts with its labeling statement. Products sold or licensed by CST are provided for Customer as the end-user and solely for research and development uses. Any use of Product for diagnostic, prophylactic or therapeutic purposes, or any purchase of Product for resale (alone or as a component) or other commercial purpose, requires a separate license from CST. Customer shall (a) not sell, license, loan, donate or otherwise transfer or make available any Product to any third party, whether alone or in combination with other materials, or use the Products to manufacture any commercial products, (b) not copy, modify, reverse engineer, decompile, disassemble or otherwise attempt to discover the underlying structure or technology of the Products, or use the Products for the purpose of developing any products or services that would compete with CST products or services, (c) not alter or remove from the Products any trademarks, trade names, logos, patent or copyright notices or markings, (d) use the Products solely in accordance with CST Product Terms of Sale and any applicable documentation, and (e) comply with any license, terms of service or similar agreement with respect to any third party products or services used by Customer in connection with the Products.

Orders: 877-616-CELL (2355) [email protected] Support: 877-678-TECH (8324) [email protected] Web: cellsignal.com
For Research Use Only. Not for Use in Diagnostic Procedures.

Revision 1

#46080

UNC1999

Cell Signaling Technology Logo
Western blot analysis of extracts from HeLa cells, untreated (-) or treated with UNC1999 (2 hr) at the indicated concentrations, using Tri-Methyl-Histone H3 (Lys27) (C36B11) Rabbit mAb #9733 (upper), Di-Methyl-Histone H3 (Lys27) (D18C8) XP® Rabbit mAb #9728 (middle), and Histone H3 (D1H2) XP® Rabbit mAb #4499 (lower).
undefined Image 1: UNC1999
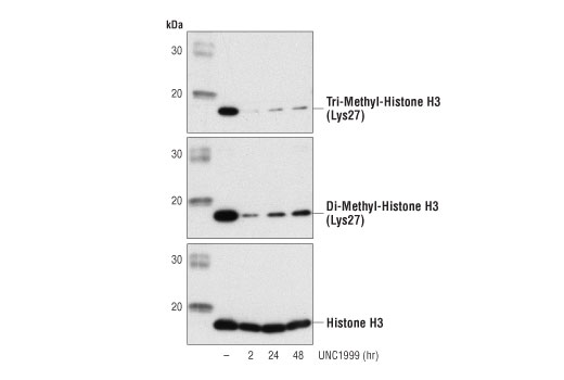
Western blot analysis of extracts from HeLa cells, untreated (-) or treated with UNC1999 (5μM) at the indicated time points, using Tri-Methyl-Histone H3 (Lys27) (C36B11) Rabbit mAb #9733 (upper), Di-Methyl-Histone H3 (Lys27) (D18C8) XP® Rabbit mAb #9728 (middle), and Histone H3 (D1H2) XP® Rabbit mAb #4499 (lower).
undefined Image 2: UNC1999
Chemical structure of UNC1999
undefined Image 3: UNC1999
Orders: 877-616-CELL (2355) [email protected] Support: 877-678-TECH (8324) [email protected] Web: cellsignal.com
For Research Use Only. Not for Use in Diagnostic Procedures.