Revision 1

#46134

Store at -20C

CST Logo
Orders:

877-616-CELL (2355)

[email protected]

Support:

877-678-TECH (8324)

3 Trask Lane | Danvers | Massachusetts | 01923 | USA

For Research Use Only. Not for Use in Diagnostic Procedures.

Applications:
W, IHC-P

Reactivity:
H

Sensitivity:
Endogenous

MW (kDa):
50

Source/Isotype:
Rabbit IgG

UniProt ID:
#P15309

Entrez-Gene Id:
55

Product Usage Information

This product is the carrier free version of product #12861. All data were generated using the same antibody clone in the standard formulation which contains BSA and glycerol.

This formulation is ideal for use with technologies requiring specialized or custom antibody labeling, including fluorophores, metals, lanthanides, and oligonucleotides. It is not recommended for ChIP, ChIP-seq, CUT&RUN or CUT&Tag assays. If you require a carrier free formulation for chromatin profiling, please contact us. Optimal dilutions/concentrations should be determined by the end user.

BSA and Azide Free antibodies are quality control tested by size exclusion chromatography (SEC) to determine antibody integrity.

Formulation

Supplied in 1X PBS (10 mM Na2HPO4, 3 mM KCl, 2 mM KH2PO4, and 140 mM NaCl (pH 7.8)). BSA and Azide Free.

For standard formulation of this product see product #12861

Storage

Store at -20°C. This product will freeze at -20°C so it is recommended to aliquot into single-use vials to avoid multiple freeze/thaw cycles. A slight precipitate may be present and can be dissolved by gently vortexing. This will not interfere with antibody performance.

Specificity/Sensitivity

Prostatic Acid Phosphatase (D3Y5P) Rabbit Monoclonal Antibody (BSA and Azide Free) recognizes endogenous levels of total ACPP protein. This antibody is predicted to detect both the cellular and secreted isoforms of ACPP.

Source / Purification

Monoclonal antibody is produced by immunizing animals with recombinant human full-length prostatic acid phosphatase.

Background

Prostatic Acid Phosphatase (ACPP or PAP) is a member of the histidine acid phosphatase family. It is a non-specific phosphatase that is capable of dephosphorylating tyrosine residues as well as phospholipids under mildly acidic conditions. ACPP has ecto-5'-nucleotidase activity in pain-sensing neurons where it converts AMP to adenosine, suppressing the pain response (1,2). ACPP occurs as two isoforms that are both heavily glycosylated. The secreted phosphatase (sPAP) is found predominantly in the prostate and seminal plasma, while the cellular isoform (cPAP) is broadly expressed at very low levels and is associated with the plasma and lysosomal membranes (3-5). Cellular PAP has been shown to dephosphorylate ErbB2 at various tyrosine residues effectively terminating signaling (6). Furthermore, the physical interaction between cPAP and ErbB2 appears to regulate androgen sensitivity in prostate cancer cells. Loss of cPAP in androgen-sensitive prostate cancer cells results in the development of a castration-resistant phenotype suggesting that ACPP plays a significant role in prostate cancer cell growth (7). ACPP is expressed in metastatic cells arising from prostate cancer - especially in prostate-derived bone metastasis - suggesting that it may be a relevant diagnostic indicator of prostate cancer re-emergence in bone (8).

Species Reactivity

Species reactivity is determined by testing in at least one approved application (e.g., western blot).

Applications Key

W: Western Blotting IHC-P: Immunohistochemistry (Paraffin)

Cross-Reactivity Key

H: Human

Trademarks and Patents

Cell Signaling Technology is a trademark of Cell Signaling Technology, Inc.

SignalStain is a registered trademark of Cell Signaling Technology, Inc.

All other trademarks are the property of their respective owners. Visit cellsignal.com/trademarks for more information.

Limited Uses

Except as otherwise expressly agreed in a writing signed by a legally authorized representative of CST, the following terms apply to Products provided by CST, its affiliates or its distributors. Any Customer's terms and conditions that are in addition to, or different from, those contained herein, unless separately accepted in writing by a legally authorized representative of CST, are rejected and are of no force or effect.

Products are labeled with For Research Use Only or a similar labeling statement and have not been approved, cleared, or licensed by the FDA or other regulatory foreign or domestic entity, for any purpose. Customer shall not use any Product for any diagnostic or therapeutic purpose, or otherwise in any manner that conflicts with its labeling statement. Products sold or licensed by CST are provided for Customer as the end-user and solely for research and development uses. Any use of Product for diagnostic, prophylactic or therapeutic purposes, or any purchase of Product for resale (alone or as a component) or other commercial purpose, requires a separate license from CST. Customer shall (a) not sell, license, loan, donate or otherwise transfer or make available any Product to any third party, whether alone or in combination with other materials, or use the Products to manufacture any commercial products, (b) not copy, modify, reverse engineer, decompile, disassemble or otherwise attempt to discover the underlying structure or technology of the Products, or use the Products for the purpose of developing any products or services that would compete with CST products or services, (c) not alter or remove from the Products any trademarks, trade names, logos, patent or copyright notices or markings, (d) use the Products solely in accordance with CST Product Terms of Sale and any applicable documentation, and (e) comply with any license, terms of service or similar agreement with respect to any third party products or services used by Customer in connection with the Products.

Orders: 877-616-CELL (2355) [email protected] Support: 877-678-TECH (8324) [email protected] Web: cellsignal.com
For Research Use Only. Not for Use in Diagnostic Procedures.

Revision 1

Cell Signaling Technology Logo
Western blot analysis of extracts from human prostate, testis, liver, and spinal cord using Prostatic Acid Phosphatase (D3Y5P) Rabbit mAb (upper) and GAPDH (D16H11) XP® Rabbit mAb #5174 (lower) demonstrating prostate-specific expression of ACPP. Data were generated using the standard formulation of this product.
Western Blotting Image 1: Prostatic Acid Phosphatase (D3Y5P) Rabbit Monoclonal Antibody (BSA and Azide Free)
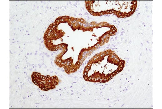
Immunohistochemical analysis of human prostate carcinoma using Prostatic Acid Phosphatase (D3Y5P) Rabbit mAb. Data were generated using the standard formulation of this product.
Immunohistochemistry Image 1: Prostatic Acid Phosphatase (D3Y5P) Rabbit Monoclonal Antibody (BSA and Azide Free)
Orders: 877-616-CELL (2355) [email protected] Support: 877-678-TECH (8324) [email protected] Web: cellsignal.com
For Research Use Only. Not for Use in Diagnostic Procedures.