Revision 8

#46249

Store at -20C

CST Logo
Orders:

877-616-CELL (2355)

[email protected]

Support:

877-678-TECH (8324)

3 Trask Lane | Danvers | Massachusetts | 01923 | USA

For Research Use Only. Not for Use in Diagnostic Procedures.

Applications:
W, IP, IHC-P, IF-IC

Reactivity:
H M Mk

Sensitivity:
Endogenous

MW (kDa):
123

Source/Isotype:
Rabbit IgG

UniProt ID:
#O14980

Entrez-Gene Id:
7514

Product Usage Information

Application Dilution
Western Blotting 1:1000
Immunoprecipitation 1:50
Immunohistochemistry (Paraffin) 1:300 - 1:1200
Immunofluorescence (Immunocytochemistry) 1:400 - 1:1600

Storage

Supplied in 10 mM sodium HEPES (pH 7.5), 150 mM NaCl, 100 µg/ml BSA, 50% glycerol and less than 0.02% sodium azide. Store at –20°C. Do not aliquot the antibody.

For a carrier free (BSA and azide free) version of this product see product #49000.

Specificity/Sensitivity

Exportin-1/CRM1 (D6V7N) Rabbit Monoclonal Antibody recognizes endogenous levels of total exportin-1/CRM1 protein.

Source / Purification

Monoclonal antibody is produced by immunizing animals with recombinant protein specific to the carboxy terminus of human exportin-1/CRM1 protein.

Background

Exportins are a family of seven proteins that are responsible for intracellular transport. Exportin-1, also known as chromosome region maintenance 1 (CRM1), is a protein essential for nuclear export of hundreds of proteins, mRNAs, and rRNAs (1-3). Exportin-1 binds to substrates with nuclear export signals (NESs) rich in leucine and other hydrophobic amino acids (4). These hydrophobic sequences form an alpha-helix-loop that can bind to the exportin-1 hydrophobic groove (5). Studies have shown that these NESs can be modified either by protein modifications or by mutation to regulate exportin-1 binding (6-7). Targets of exportin-1 include many tumor suppressors, such as Rb, p53, FoxO1, BAF47, as well as oncoproteins, such as p21 and p27 (1). In addition, Myc can upregulate exportin-1 during biogenesis, where it can export newly formed 40S and 60S subunits from the nucleoli (8-9).

Inhibition of nuclear export has been pursued for therapeutic application since the finding that leptomycin B could suppress HIV replication by suppressing the ability of exportin-1 to export the HIV-1 protein Rev (2, 10). Overexpression of exportin-1 has been associated with poor prognosis in various cancer types (11-13). Genomic approaches and development of inhibitors have identified exportin-1 as a druggable target (14-16). The use of various inhibitors of exportin-1 is also being explored in various antiviral therapies (17-18).

Species Reactivity

Species reactivity is determined by testing in at least one approved application (e.g., western blot).

Western Blot Buffer

IMPORTANT: For western blots, incubate membrane with diluted primary antibody in 5% w/v BSA, 1X TBS, 0.1% Tween® 20 at 4°C with gentle shaking, overnight.

Applications Key

W: Western Blotting IP: Immunoprecipitation IHC-P: Immunohistochemistry (Paraffin) IF-IC: Immunofluorescence (Immunocytochemistry)

Cross-Reactivity Key

H: Human M: Mouse Mk: Monkey

Trademarks and Patents

Cell Signaling Technology is a trademark of Cell Signaling Technology, Inc.

SignalStain is a registered trademark of Cell Signaling Technology, Inc.

All other trademarks are the property of their respective owners. Visit cellsignal.com/trademarks for more information.

Limited Uses

Except as otherwise expressly agreed in a writing signed by a legally authorized representative of CST, the following terms apply to Products provided by CST, its affiliates or its distributors. Any Customer's terms and conditions that are in addition to, or different from, those contained herein, unless separately accepted in writing by a legally authorized representative of CST, are rejected and are of no force or effect.

Products are labeled with For Research Use Only or a similar labeling statement and have not been approved, cleared, or licensed by the FDA or other regulatory foreign or domestic entity, for any purpose. Customer shall not use any Product for any diagnostic or therapeutic purpose, or otherwise in any manner that conflicts with its labeling statement. Products sold or licensed by CST are provided for Customer as the end-user and solely for research and development uses. Any use of Product for diagnostic, prophylactic or therapeutic purposes, or any purchase of Product for resale (alone or as a component) or other commercial purpose, requires a separate license from CST. Customer shall (a) not sell, license, loan, donate or otherwise transfer or make available any Product to any third party, whether alone or in combination with other materials, or use the Products to manufacture any commercial products, (b) not copy, modify, reverse engineer, decompile, disassemble or otherwise attempt to discover the underlying structure or technology of the Products, or use the Products for the purpose of developing any products or services that would compete with CST products or services, (c) not alter or remove from the Products any trademarks, trade names, logos, patent or copyright notices or markings, (d) use the Products solely in accordance with CST Product Terms of Sale and any applicable documentation, and (e) comply with any license, terms of service or similar agreement with respect to any third party products or services used by Customer in connection with the Products.

Orders: 877-616-CELL (2355) [email protected] Support: 877-678-TECH (8324) [email protected] Web: cellsignal.com
For Research Use Only. Not for Use in Diagnostic Procedures.

Revision 8

Cell Signaling Technology Logo
Western blot analysis of extracts from various cell lines using Exportin-1/CRM (D6V7N) Rabbit mAb.
Western Blotting Image 1: Exportin-1/CRM1 (D6V7N) Rabbit Monoclonal Antibody
Immunoprecipitation of Exportin-1/CRM1 protein from HeLa cell extracts. Lane 1 is 10% input, lane 2 is Rabbit (DA1E) mAb IgG XP® Isotype Control #3900, and lane 3 is Exportin-1/CRM1 (D6V7N) Rabbit mAb. Western blot analysis was performed using Exportin-1/CRM1 (D6V7N) Rabbit mAb. Mouse Anti-rabbit IgG (Conformation Specific) (L27A9) mAb #3678 was used as a secondary antibody.
Immunoprecipitation Image 1: Exportin-1/CRM1 (D6V7N) Rabbit Monoclonal Antibody
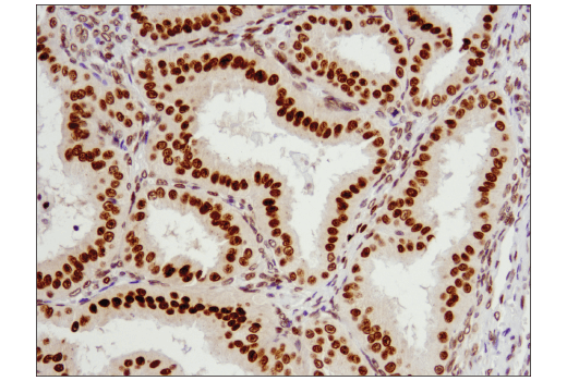
Immunohistochemical analysis of paraffin-embedded human colon carcinoma using Exportin-1/CRM1 (D6V7N) Rabbit mAb.
Immunohistochemistry Image 1: Exportin-1/CRM1 (D6V7N) Rabbit Monoclonal Antibody
Orders: 877-616-CELL (2355) [email protected] Support: 877-678-TECH (8324) [email protected] Web: cellsignal.com
For Research Use Only. Not for Use in Diagnostic Procedures.

Revision 8

Cell Signaling Technology Logo
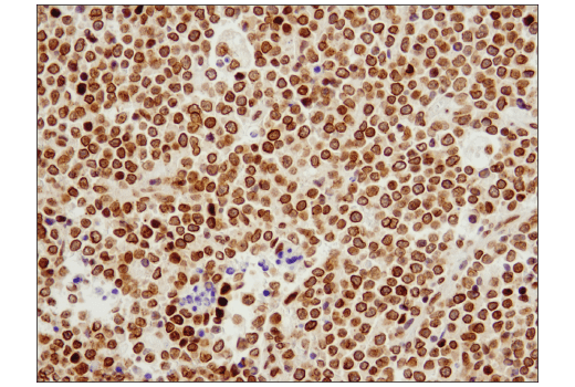
Immunohistochemical analysis of paraffin-embedded human non-Hodgkin's lymphoma using Exportin-1/CRM1 (D6V7N) Rabbit mAb.
Immunohistochemistry Image 2: Exportin-1/CRM1 (D6V7N) Rabbit Monoclonal Antibody
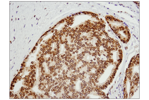
Immunohistochemical analysis of paraffin-embedded human endometrioid adenocarcinoma using Exportin-1/CRM1 (D6V7N) Rabbit mAb.
Immunohistochemistry Image 3: Exportin-1/CRM1 (D6V7N) Rabbit Monoclonal Antibody
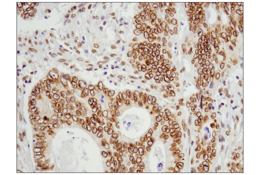
Immunohistochemical analysis of paraffin-embedded human prostate carcinoma using Exportin-1/CRM1 (D6V7N) Rabbit mAb.
Immunohistochemistry Image 4: Exportin-1/CRM1 (D6V7N) Rabbit Monoclonal Antibody
Orders: 877-616-CELL (2355) [email protected] Support: 877-678-TECH (8324) [email protected] Web: cellsignal.com
For Research Use Only. Not for Use in Diagnostic Procedures.

Revision 8

Cell Signaling Technology Logo
Confocal immunofluorescent analysis of HCT 116 cells, mock transfected (left, high-expressing) or transfected with siRNA directed against Exportin-1 (right, low-expressing), using Exportin-1/CRM1 (D6V7N) Rabbit mAb (green), DyLight™ 554 Phalloidin #13054 (red), and DAPI #4083 (blue).
Immunofluorescence Image 1: Exportin-1/CRM1 (D6V7N) Rabbit Monoclonal Antibody
Orders: 877-616-CELL (2355) [email protected] Support: 877-678-TECH (8324) [email protected] Web: cellsignal.com
For Research Use Only. Not for Use in Diagnostic Procedures.