Revision 7

#46510

Store at -20C

CST Logo
Orders:

877-616-CELL (2355)

[email protected]

Support:

877-678-TECH (8324)

3 Trask Lane | Danvers | Massachusetts | 01923 | USA

For Research Use Only. Not for Use in Diagnostic Procedures.

Applications:
W, W-S, IP, IHC-Bond, IHC-P, IF-IC, FC-FP

Reactivity:
H

Sensitivity:
Endogenous

MW (kDa):
97

Source/Isotype:
Rabbit IgG

UniProt ID:
#Q92918

Entrez-Gene Id:
11184

Product Usage Information

Application Dilution
Western Blotting 1:1000
Simple Western™ 1:10 - 1:50
Immunoprecipitation 1:100
IHC Leica Bond 1:100 - 1:400
Immunohistochemistry (Paraffin) 1:50 - 1:200
Immunofluorescence (Immunocytochemistry) 1:100
Flow Cytometry (Fixed/Permeabilized) 1:50 - 1:200

Storage

Supplied in 10 mM sodium HEPES (pH 7.5), 150 mM NaCl, 100 µg/ml BSA, 50% glycerol and less than 0.02% sodium azide. Store at –20°C. Do not aliquot the antibody.

For a carrier free (BSA and azide free) version of this product see product #29833.

Specificity/Sensitivity

HPK1 (E1C3L) Rabbit Monoclonal Antibody recognizes endogenous levels of total HPK1 protein.

Source / Purification

Monoclonal antibody is produced by immunizing animals with a synthetic peptide corresponding to residues near the amino terminus of human HPK1 protein.

Background

Hematopoietic progenitor kinase 1 (HPK1) is a member of the germinal center kinases that is predominantly expressed in hematopoietic cells. HPK1 is a key component linking T or B cell receptors to SAPK/JNK and IkappaB kinase pathways in lymphocytes (1-3). Through its proline-rich motif, HPK1 associates with multiple SH3 domain-containing adaptor proteins, including GRB2, Nck, Crk, SLP-76, and BLNK. Phosphorylation of Tyr379 by Syk is necessary for HPK1 association with BLNK and SLP-76, as well as for HPK1 activity (4,5). Caspase cleavage of HPK1 also modulates the biological function of HPK1 (3,6,7).

Species Reactivity

Species reactivity is determined by testing in at least one approved application (e.g., western blot).

Western Blot Buffer

IMPORTANT: For western blots, incubate membrane with diluted primary antibody in 5% w/v nonfat dry milk, 1X TBS, 0.1% Tween® 20 at 4°C with gentle shaking, overnight.

Applications Key

W: Western Blotting W-S: Simple Western™ IP: Immunoprecipitation IHC-Bond: IHC Leica Bond IHC-P: Immunohistochemistry (Paraffin) IF-IC: Immunofluorescence (Immunocytochemistry) FC-FP: Flow Cytometry (Fixed/Permeabilized)

Cross-Reactivity Key

H: Human

Trademarks and Patents

Cell Signaling Technology is a trademark of Cell Signaling Technology, Inc.

Alexa Fluor is a registered trademark of Life Technologies Corporation.

All other trademarks are the property of their respective owners. Visit cellsignal.com/trademarks for more information.

Limited Uses

Except as otherwise expressly agreed in a writing signed by a legally authorized representative of CST, the following terms apply to Products provided by CST, its affiliates or its distributors. Any Customer's terms and conditions that are in addition to, or different from, those contained herein, unless separately accepted in writing by a legally authorized representative of CST, are rejected and are of no force or effect.

Products are labeled with For Research Use Only or a similar labeling statement and have not been approved, cleared, or licensed by the FDA or other regulatory foreign or domestic entity, for any purpose. Customer shall not use any Product for any diagnostic or therapeutic purpose, or otherwise in any manner that conflicts with its labeling statement. Products sold or licensed by CST are provided for Customer as the end-user and solely for research and development uses. Any use of Product for diagnostic, prophylactic or therapeutic purposes, or any purchase of Product for resale (alone or as a component) or other commercial purpose, requires a separate license from CST. Customer shall (a) not sell, license, loan, donate or otherwise transfer or make available any Product to any third party, whether alone or in combination with other materials, or use the Products to manufacture any commercial products, (b) not copy, modify, reverse engineer, decompile, disassemble or otherwise attempt to discover the underlying structure or technology of the Products, or use the Products for the purpose of developing any products or services that would compete with CST products or services, (c) not alter or remove from the Products any trademarks, trade names, logos, patent or copyright notices or markings, (d) use the Products solely in accordance with CST Product Terms of Sale and any applicable documentation, and (e) comply with any license, terms of service or similar agreement with respect to any third party products or services used by Customer in connection with the Products.

Orders: 877-616-CELL (2355) [email protected] Support: 877-678-TECH (8324) [email protected] Web: cellsignal.com
For Research Use Only. Not for Use in Diagnostic Procedures.

Revision 7

Cell Signaling Technology Logo
Western blot analysis of extracts from various cell lines using HPK1 (E1C3L) Rabbit mAb (upper) or β-Actin (D6A8) Rabbit mAb #8457 (lower).
Western Blotting Image 1: HPK1 (E1C3L) Rabbit Monoclonal Antibody
Simple Western™ analysis of lysates (0.1 mg/mL) from Jurkat cells using HPK1 (E1C3L) Rabbit mAb #46510. The virtual lane view (left) shows the target band (as indicated) at 1:10 and 1:50 dilutions of primary antibody. The corresponding electropherogram view (right) plots chemiluminescence by molecular weight along the capillary at 1:10 (blue line) and 1:50 (green line) dilutions of primary antibody. This experiment was performed under reducing conditions on the Jess™ Simple Western instrument from ProteinSimple, a BioTechne brand, using the 12 – 230 kDa separation module.
Western Blotting Image 1: HPK1 (E1C3L) Rabbit Monoclonal Antibody
Immunoprecipitation of HPK1 from Jurkat cell extracts. Lane 1 is 10% input, lane 2 is Rabbit (DA1E) mAb IgG XP® Isotype Control #3900, and lane 3 is HPK1 (E1C3L) Rabbit mAb. Western blot analysis was performed using HPK1 (E1C3L) Rabbit mAb. Anti-rabbit IgG, HRP-linked Antibody #7074 was used as the secondary antibody.
Immunoprecipitation Image 1: HPK1 (E1C3L) Rabbit Monoclonal Antibody
Orders: 877-616-CELL (2355) [email protected] Support: 877-678-TECH (8324) [email protected] Web: cellsignal.com
For Research Use Only. Not for Use in Diagnostic Procedures.

Revision 7

Cell Signaling Technology Logo
Immunohistochemical analysis of paraffin-embedded human colon adenocarcinoma using HPK1 (E1C3L) Rabbit mAb performed on the Leica® BOND™ Rx.
Immunohistochemistry Image 1: HPK1 (E1C3L) Rabbit Monoclonal Antibody
Immunohistochemical analysis of paraffin-embedded human esophageal carcinoma using HPK1 (E1C3L) Rabbit mAb performed on the Leica® BOND™ Rx.
Immunohistochemistry Image 2: HPK1 (E1C3L) Rabbit Monoclonal Antibody
Immunohistochemical analysis of paraffin-embedded human ductal breast carcinoma using HPK1 (E1C3L) Rabbit mAb.
Immunohistochemistry Image 1: HPK1 (E1C3L) Rabbit Monoclonal Antibody
Orders: 877-616-CELL (2355) [email protected] Support: 877-678-TECH (8324) [email protected] Web: cellsignal.com
For Research Use Only. Not for Use in Diagnostic Procedures.

Revision 7

Cell Signaling Technology Logo
Immunohistochemical analysis of paraffin-embedded Jurkat cell pellet (left, positive) or ACHN cell pellet (right, negative) using HPK1 (E1C3L) Rabbit mAb.
Immunohistochemistry Image 2: HPK1 (E1C3L) Rabbit Monoclonal Antibody
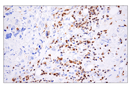
Immunohistochemical analysis of paraffin-embedded human mucoepidermoid carcinoma of the larynx using HPK1 (E1C3L) Rabbit mAb.
Immunohistochemistry Image 3: HPK1 (E1C3L) Rabbit Monoclonal Antibody
Immunohistochemical analysis of paraffin-embedded human colon adenocarcinoma using HPK1 (E1C3L) Rabbit mAb (left) compared to concentration-matched Rabbit (DA1E) mAb IgG XP® Isotype Control #3900 (right).
Immunohistochemistry Image 4: HPK1 (E1C3L) Rabbit Monoclonal Antibody
Orders: 877-616-CELL (2355) [email protected] Support: 877-678-TECH (8324) [email protected] Web: cellsignal.com
For Research Use Only. Not for Use in Diagnostic Procedures.

Revision 7

Cell Signaling Technology Logo
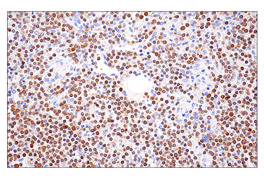
Immunohistochemical analysis of paraffin-embedded human non-Hodgkin's lymphoma using HPK1 (E1C3L) Rabbit mAb.
Immunohistochemistry Image 5: HPK1 (E1C3L) Rabbit Monoclonal Antibody
Immunohistochemical analysis of paraffin-embedded human gastric adenocarcinoma using HPK1 (E1C3L) Rabbit mAb.
Immunohistochemistry Image 6: HPK1 (E1C3L) Rabbit Monoclonal Antibody
Confocal immunofluorescent analysis of Jurkat cell pellet (left, positive) and HT-29 cells (right, negative) using HPK1 (E1C3L) Rabbit mAb (green), Cytochrome c (6H2.B4) Mouse mAb #12963 (red), and DAPI #4083 (blue).
Immunofluorescence Image 1: HPK1 (E1C3L) Rabbit Monoclonal Antibody
Orders: 877-616-CELL (2355) [email protected] Support: 877-678-TECH (8324) [email protected] Web: cellsignal.com
For Research Use Only. Not for Use in Diagnostic Procedures.

Revision 7

Cell Signaling Technology Logo
Flow cytometric analysis of HT-29 cells (blue) and Jurkat cells (green) using HPK1 (E1C3L) Rabbit mAb (solid lines) or a concentration-matched Rabbit (DA1E) mAb IgG XP® Isotype Control #3900 (dashed lines). Anti-rabbit IgG (H+L), F(ab')2 Fragment (Alexa Fluor® 488 Conjugate) #4412 was used as a secondary antibody.
Flow Cytometry Image 1: HPK1 (E1C3L) Rabbit Monoclonal Antibody
Orders: 877-616-CELL (2355) [email protected] Support: 877-678-TECH (8324) [email protected] Web: cellsignal.com
For Research Use Only. Not for Use in Diagnostic Procedures.