Revision 4

#46879

Store at -20C

CST Logo
Orders:

877-616-CELL (2355)

[email protected]

Support:

877-678-TECH (8324)

3 Trask Lane | Danvers | Massachusetts | 01923 | USA

For Research Use Only. Not for Use in Diagnostic Procedures.

Applications:
W, IHC-P, IF-IC

Reactivity:
H M

Sensitivity:
Endogenous

MW (kDa):
18, 20, 22, 24

Source/Isotype:
Rabbit IgG

UniProt ID:
#P15655

Entrez-Gene Id:
14173

Product Usage Information

Application Dilution
Western Blotting 1:1000
Immunohistochemistry (Paraffin) 1:125 - 1:500
Immunofluorescence (Immunocytochemistry) 1:200 - 1:800

Storage

Supplied in 10 mM sodium HEPES (pH 7.5), 150 mM NaCl, 100 µg/mL BSA, 50% glycerol, and less than 0.02% sodium azide. Store at –20°C. Do not aliquot the antibody.

For a carrier free (BSA and azide free) version of this product see product #83197.

Specificity/Sensitivity

Basic FGF (E5Y6M) Rabbit Monoclonal Antibody recognizes endogenous levels of total basic FGF protein. Species cross-reactivity for IF is human only.

Source / Purification

Monoclonal antibody is produced by immunizing animals with a synthetic peptide corresponding to residues surrounding His24 of mouse basic FGF protein.

Background

Fibroblast growth factors are a family of broad-spectrum growth factors influencing a plethora of cellular activities. The interaction of at least 23 ligands, four receptors, and multiple coreceptors provides a dramatic complexity to a signaling system capable of effecting a multitude of responses (1,2). Basic fibroblast growth factor (bFGF or FGF2), initially identified as a mitogen with prominent angiogenic properties, is now recognized as a multifunctional growth factor (3). It is clear that bFGF produces its biological effects in target cells by signaling through cell-surface FGF receptors. bFGF binds to all four FGF receptors. Ligand binding induces receptor dimerization and autophosphorylation, allowing binding and activation of cytoplasmic downstream target proteins, including FRS-2, PLC, and Crk (4,5). The FGF signaling pathway appears to play a significant role not only in normal cell growth regulation but also in tumor development and progression (6).Acidic FGF (aFGF or FGF1) is another extensively investigated protein of the FGF family. aFGF shares 55% DNA sequence homology with bFGF. These two growth factors are ubiquitously expressed and exhibit a wide spectrum of similar biological activities with quantitative differences likely due to variations in receptor affinity or binding (7).

Species Reactivity

Species reactivity is determined by testing in at least one approved application (e.g., western blot).

Western Blot Buffer

IMPORTANT: For western blots, incubate membrane with diluted primary antibody in 5% w/v BSA, 1X TBS, 0.1% Tween® 20 at 4°C with gentle shaking, overnight.

Applications Key

W: Western Blotting IHC-P: Immunohistochemistry (Paraffin) IF-IC: Immunofluorescence (Immunocytochemistry)

Cross-Reactivity Key

H: Human M: Mouse

Trademarks and Patents

Cell Signaling Technology is a trademark of Cell Signaling Technology, Inc.

All other trademarks are the property of their respective owners. Visit cellsignal.com/trademarks for more information.

Limited Uses

Except as otherwise expressly agreed in a writing signed by a legally authorized representative of CST, the following terms apply to Products provided by CST, its affiliates or its distributors. Any Customer's terms and conditions that are in addition to, or different from, those contained herein, unless separately accepted in writing by a legally authorized representative of CST, are rejected and are of no force or effect.

Products are labeled with For Research Use Only or a similar labeling statement and have not been approved, cleared, or licensed by the FDA or other regulatory foreign or domestic entity, for any purpose. Customer shall not use any Product for any diagnostic or therapeutic purpose, or otherwise in any manner that conflicts with its labeling statement. Products sold or licensed by CST are provided for Customer as the end-user and solely for research and development uses. Any use of Product for diagnostic, prophylactic or therapeutic purposes, or any purchase of Product for resale (alone or as a component) or other commercial purpose, requires a separate license from CST. Customer shall (a) not sell, license, loan, donate or otherwise transfer or make available any Product to any third party, whether alone or in combination with other materials, or use the Products to manufacture any commercial products, (b) not copy, modify, reverse engineer, decompile, disassemble or otherwise attempt to discover the underlying structure or technology of the Products, or use the Products for the purpose of developing any products or services that would compete with CST products or services, (c) not alter or remove from the Products any trademarks, trade names, logos, patent or copyright notices or markings, (d) use the Products solely in accordance with CST Product Terms of Sale and any applicable documentation, and (e) comply with any license, terms of service or similar agreement with respect to any third party products or services used by Customer in connection with the Products.

Orders: 877-616-CELL (2355) [email protected] Support: 877-678-TECH (8324) [email protected] Web: cellsignal.com
For Research Use Only. Not for Use in Diagnostic Procedures.

Revision 4

Cell Signaling Technology Logo
Western blot analysis of extracts from various cell lines using Basic FGF (E5Y6M) Rabbit mAb (upper) or GAPDH (D16H11) XP® Rabbit mAb #5174 (lower). Negative expression of basic FGF protein in Neuro-2a and Capan-1 cells is consistent with the predicted expression pattern.

Western Blotting Image 1: Basic FGF (E5Y6M) Rabbit Monoclonal Antibody
Immunohistochemical analysis of paraffin-embedded human prostate adenocarcinoma using Basic FGF (E5Y6M) Rabbit mAb.
Immunohistochemistry Image 1: Basic FGF (E5Y6M) Rabbit Monoclonal Antibody
Immunohistochemical analysis of paraffin-embedded human papillary thyroid carcinoma using Basic FGF (E5Y6M) Rabbit mAb.
Immunohistochemistry Image 2: Basic FGF (E5Y6M) Rabbit Monoclonal Antibody
Orders: 877-616-CELL (2355) [email protected] Support: 877-678-TECH (8324) [email protected] Web: cellsignal.com
For Research Use Only. Not for Use in Diagnostic Procedures.

Revision 4

Cell Signaling Technology Logo
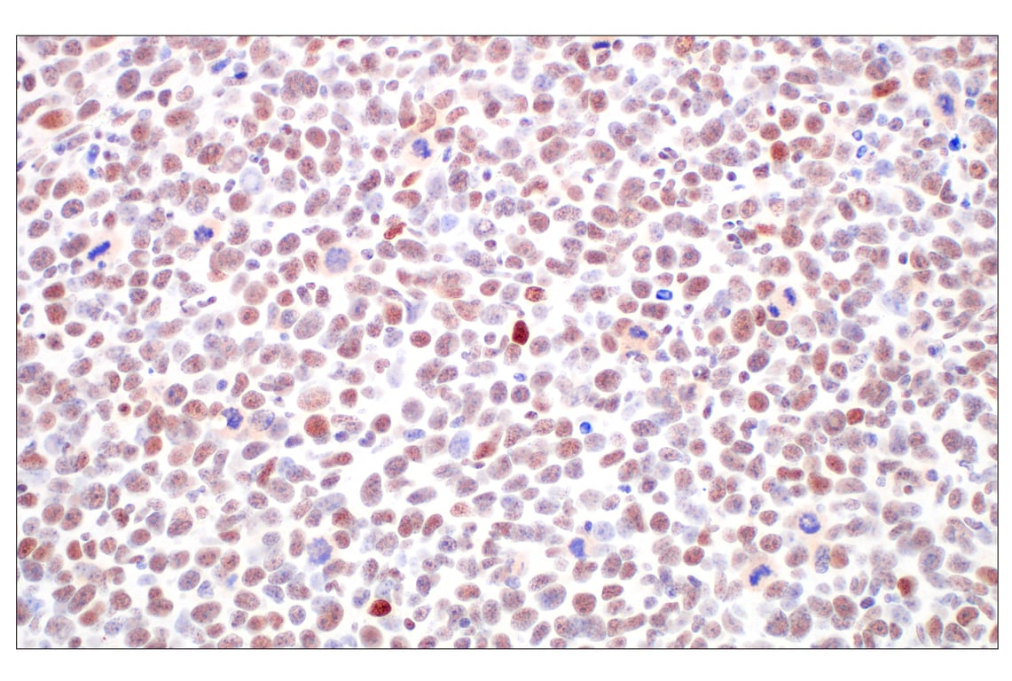
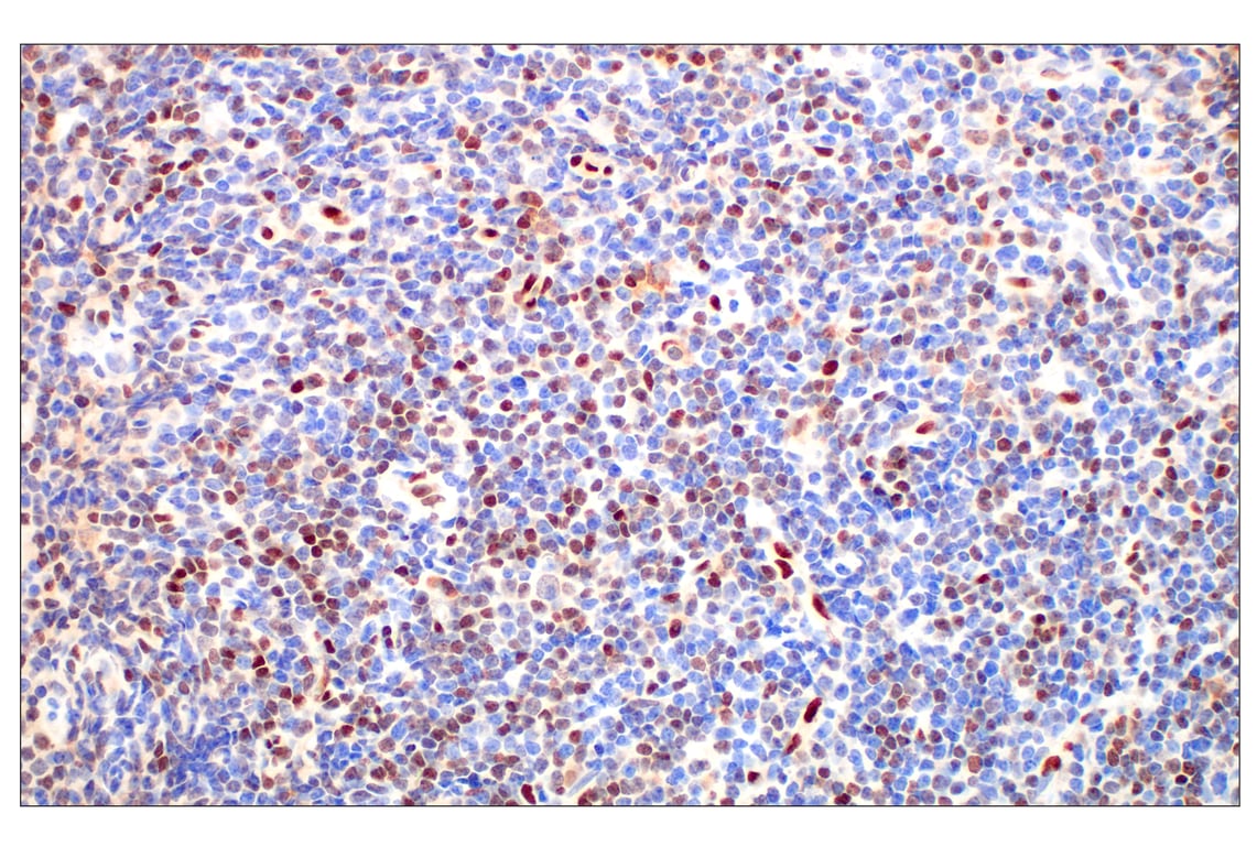
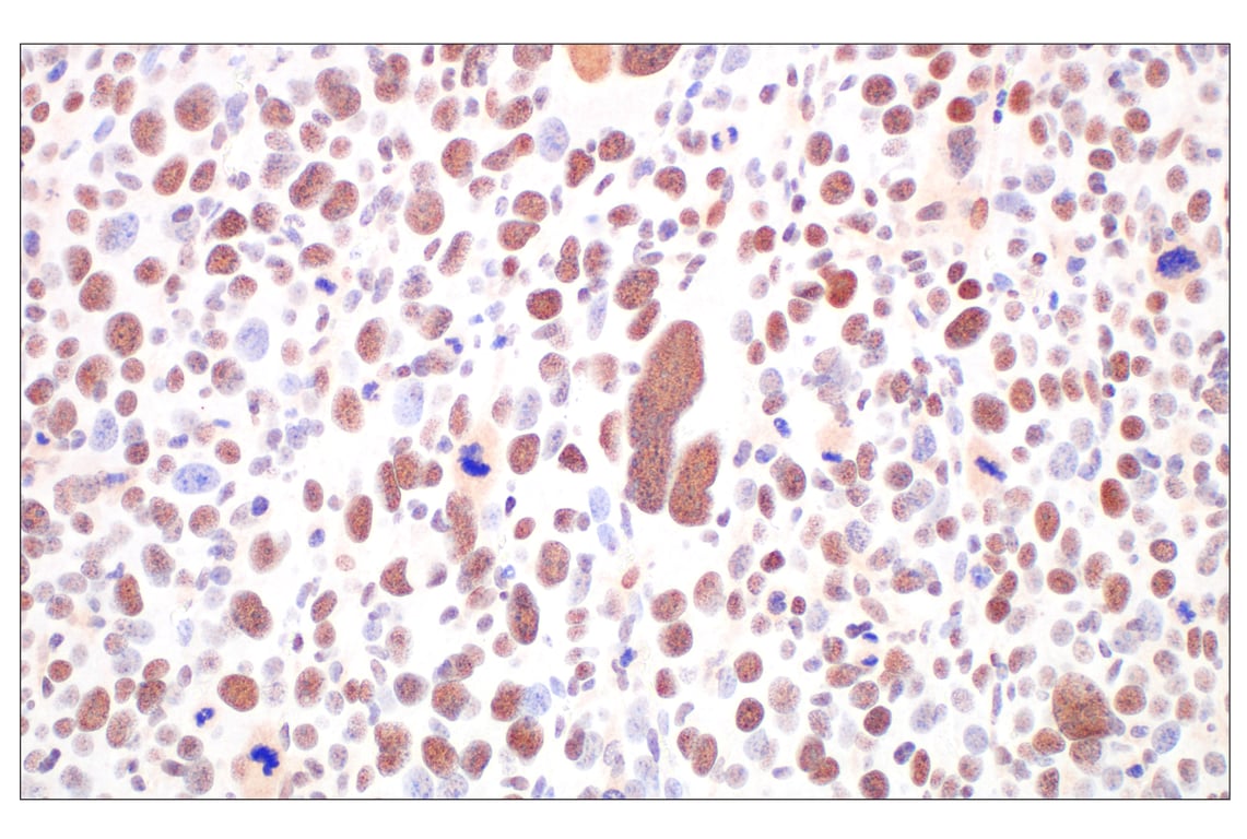
Immunohistochemical analysis of paraffin-embedded human B-cell non-Hodgkin lymphoma using Basic FGF (E5Y6M) Rabbit mAb.

Immunohistochemistry Image 3: Basic FGF (E5Y6M) Rabbit Monoclonal Antibody
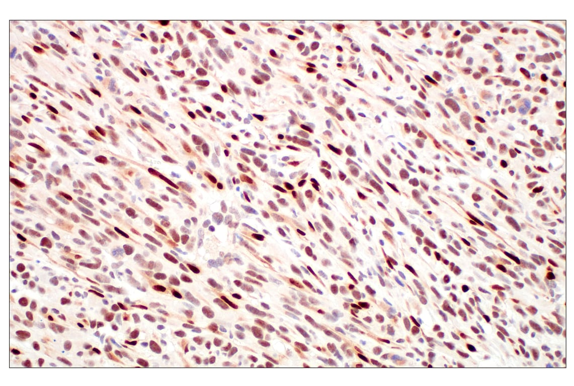
Immunohistochemical analysis of paraffin-embedded human squamous cell carcinoma of the tongue using Basic FGF (E5Y6M) Rabbit mAb.
Immunohistochemistry Image 4: Basic FGF (E5Y6M) Rabbit Monoclonal Antibody
Immunohistochemical analysis of paraffin-embedded human esophageal adenocarcinoma using Basic FGF (E5Y6M) Rabbit mAb.
Immunohistochemistry Image 5: Basic FGF (E5Y6M) Rabbit Monoclonal Antibody
Orders: 877-616-CELL (2355) [email protected] Support: 877-678-TECH (8324) [email protected] Web: cellsignal.com
For Research Use Only. Not for Use in Diagnostic Procedures.

Revision 4

Cell Signaling Technology Logo
Immunohistochemical analysis of paraffin-embedded normal human prostate using Basic FGF (E5Y6M) Rabbit mAb.
Immunohistochemistry Image 6: Basic FGF (E5Y6M) Rabbit Monoclonal Antibody
Immunohistochemical analysis of paraffin-embedded normal human colon using Basic FGF (E5Y6M) Rabbit mAb.
Immunohistochemistry Image 7: Basic FGF (E5Y6M) Rabbit Monoclonal Antibody
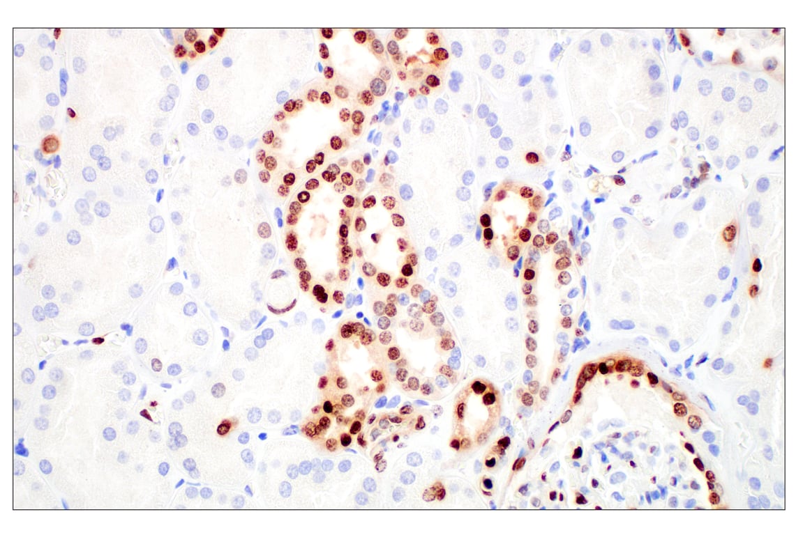
Immunohistochemical analysis of paraffin-embedded normal human kidney using Basic FGF (E5Y6M) Rabbit mAb.
Immunohistochemistry Image 8: Basic FGF (E5Y6M) Rabbit Monoclonal Antibody
Orders: 877-616-CELL (2355) [email protected] Support: 877-678-TECH (8324) [email protected] Web: cellsignal.com
For Research Use Only. Not for Use in Diagnostic Procedures.

Revision 4

Cell Signaling Technology Logo
Immunohistochemical analysis of paraffin-embedded LL/2 syngeneic tumor using Basic FGF (E5Y6M) Rabbit mAb.
Immunohistochemistry Image 9: Basic FGF (E5Y6M) Rabbit Monoclonal Antibody
Immunohistochemical analysis of paraffin-embedded 4T1 syngeneic tumor using Basic FGF (E5Y6M) Rabbit mAb.
Immunohistochemistry Image 10: Basic FGF (E5Y6M) Rabbit Monoclonal Antibody
Immunohistochemical analysis of paraffin-embedded Renca syngeneic tumor using Basic FGF (E5Y6M) Rabbit mAb.
Immunohistochemistry Image 11: Basic FGF (E5Y6M) Rabbit Monoclonal Antibody
Orders: 877-616-CELL (2355) [email protected] Support: 877-678-TECH (8324) [email protected] Web: cellsignal.com
For Research Use Only. Not for Use in Diagnostic Procedures.

Revision 4

Cell Signaling Technology Logo
Immunohistochemical analysis of paraffin-embedded mouse pancreas using Basic FGF (E5Y6M) Rabbit mAb.
Immunohistochemistry Image 12: Basic FGF (E5Y6M) Rabbit Monoclonal Antibody
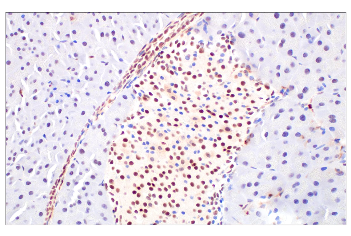
Immunohistochemical analysis of paraffin-embedded mouse liver using Basic FGF (E5Y6M) Rabbit mAb.
Immunohistochemistry Image 13: Basic FGF (E5Y6M) Rabbit Monoclonal Antibody
Immunohistochemical analysis of paraffin-embedded mouse heart using Basic FGF (E5Y6M) Rabbit mAb.
Immunohistochemistry Image 14: Basic FGF (E5Y6M) Rabbit Monoclonal Antibody
Orders: 877-616-CELL (2355) [email protected] Support: 877-678-TECH (8324) [email protected] Web: cellsignal.com
For Research Use Only. Not for Use in Diagnostic Procedures.

Revision 4

Cell Signaling Technology Logo
Immunohistochemical analysis of paraffin-embedded mouse colon using Basic FGF (E5Y6M) Rabbit mAb.
Immunohistochemistry Image 15: Basic FGF (E5Y6M) Rabbit Monoclonal Antibody
Immunohistochemical analysis of paraffin-embedded normal human small intestine using Basic FGF (E5Y6M) Rabbit mAb (left) compared to concentration-matched Rabbit (DA1E) mAb IgG XP® Isotype Control #3900 (right).
Immunohistochemistry Image 16: Basic FGF (E5Y6M) Rabbit Monoclonal Antibody
Confocal immunofluorescent analysis of NCI-H522 cells (left, positive) and Capan-1 cells (right, negative) using Basic FGF (E5Y6M) Rabbit mAb (green), DyLight 554 Phalloidin #13054 (red), and DAPI #4083 (blue).
Immunofluorescence Image 1: Basic FGF (E5Y6M) Rabbit Monoclonal Antibody
Orders: 877-616-CELL (2355) [email protected] Support: 877-678-TECH (8324) [email protected] Web: cellsignal.com
For Research Use Only. Not for Use in Diagnostic Procedures.