Revision 9

#47414

Store at -20C

CST Logo
Orders:

877-616-CELL (2355)

[email protected]

Support:

877-678-TECH (8324)

3 Trask Lane | Danvers | Massachusetts | 01923 | USA

For Research Use Only. Not for Use in Diagnostic Procedures.

Applications:
W, IP, IHC-P, FC-FP, FC-L

Reactivity:
All

Sensitivity:
Transfected Only

MW (kDa):
55

Source/Isotype:
Rabbit IgG

Product Usage Information

Application Dilution
Western Blotting 1:1000
Immunoprecipitation 1:50
Immunohistochemistry (Paraffin) 1:200 - 1:800
Flow Cytometry (Fixed/Permeabilized) 1:400 - 1:1600
Flow Cytometry (Live) 1:50 - 1:200

Storage

Supplied in 10 mM sodium HEPES (pH 7.5), 150 mM NaCl, 100 µg/mL BSA, 50% glycerol, and less than 0.02% sodium azide. Store at –20°C. Do not aliquot the antibody.

For a carrier free (BSA and azide free) version of this product see product #99898.

Specificity/Sensitivity

Whitlow/218 Linker (F2G3S) Rabbit Monoclonal Antibody recognizes exogenously expressed levels of scFv-based CARs containing a Whitlow/218 linker. This antibody cross-reacts with a protein of unknown identity at approximately 35 kDa in Jurkat cell extracts.

Source / Purification

Monoclonal antibody is produced by immunizing animals with a synthetic peptide corresponding to residues of the Whitlow/218 linker peptide.

Background

The Whitlow/218 peptide is a commonly used linker that connects the variable heavy (VH) domain and variable light (VL) domain of single-chain variable fragments (scFvs) and chimeric antigen receptors (CARs) that utilize an extracellular domain scFv for target antigen recognition. The Whitlow/218 linker affords the scFv with enhanced resistance to proteolysis and aggregation (1).

Species Reactivity

Species reactivity is determined by testing in at least one approved application (e.g., western blot).

Western Blot Buffer

IMPORTANT: For western blots, incubate membrane with diluted primary antibody in 5% w/v BSA, 1X TBS, 0.1% Tween® 20 at 4°C with gentle shaking, overnight.

Applications Key

W: Western Blotting IP: Immunoprecipitation IHC-P: Immunohistochemistry (Paraffin) FC-FP: Flow Cytometry (Fixed/Permeabilized) FC-L: Flow Cytometry (Live)

Cross-Reactivity Key

All: All Species Expected

Trademarks and Patents

Cell Signaling Technology is a trademark of Cell Signaling Technology, Inc.

All other trademarks are the property of their respective owners. Visit cellsignal.com/trademarks for more information.

Limited Uses

Except as otherwise expressly agreed in a writing signed by a legally authorized representative of CST, the following terms apply to Products provided by CST, its affiliates or its distributors. Any Customer's terms and conditions that are in addition to, or different from, those contained herein, unless separately accepted in writing by a legally authorized representative of CST, are rejected and are of no force or effect.

Products are labeled with For Research Use Only or a similar labeling statement and have not been approved, cleared, or licensed by the FDA or other regulatory foreign or domestic entity, for any purpose. Customer shall not use any Product for any diagnostic or therapeutic purpose, or otherwise in any manner that conflicts with its labeling statement. Products sold or licensed by CST are provided for Customer as the end-user and solely for research and development uses. Any use of Product for diagnostic, prophylactic or therapeutic purposes, or any purchase of Product for resale (alone or as a component) or other commercial purpose, requires a separate license from CST. Customer shall (a) not sell, license, loan, donate or otherwise transfer or make available any Product to any third party, whether alone or in combination with other materials, or use the Products to manufacture any commercial products, (b) not copy, modify, reverse engineer, decompile, disassemble or otherwise attempt to discover the underlying structure or technology of the Products, or use the Products for the purpose of developing any products or services that would compete with CST products or services, (c) not alter or remove from the Products any trademarks, trade names, logos, patent or copyright notices or markings, (d) use the Products solely in accordance with CST Product Terms of Sale and any applicable documentation, and (e) comply with any license, terms of service or similar agreement with respect to any third party products or services used by Customer in connection with the Products.

Orders: 877-616-CELL (2355) [email protected] Support: 877-678-TECH (8324) [email protected] Web: cellsignal.com
For Research Use Only. Not for Use in Diagnostic Procedures.

Revision 9

Cell Signaling Technology Logo
Western blot analysis of extracts from Jurkat cells, non-transduced (-) or transduced with a construct expressing an scFv-based anti-CD20 CAR protein containing a Whitlow/218 linker (CD20 CAR; +), using Whitlow/218 Linker (F2G3S) Rabbit mAb (upper) or β-Actin (D6A8) Rabbit mAb #8457 (lower).
Western Blotting Image 1: Whitlow/218 Linker (F2G3S) Rabbit Monoclonal Antibody
Immunoprecipitation of an scFv-based anti-CD19 CAR protein containing a Whitlow/218 linker from Jurkat cell extracts. Lane 1 is 10% input, lane 2 is Rabbit (DA1E) mAb IgG XP® Isotype Control #3900, and lane 3 is Whitlow/218 Linker (F2G3S) Rabbit mAb. Western blot analysis was performed using Whitlow/218 Linker (F2G3S) Rabbit mAb. Mouse Anti-Rabbit IgG (Light-Chain Specific) (D4W3E) mAb (HRP Conjugate) #93702 was used as a secondary antibody.
Immunoprecipitation Image 1: Whitlow/218 Linker (F2G3S) Rabbit Monoclonal Antibody
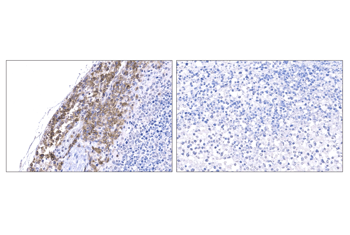
Immunohistochemical analysis of Raji B-Cell lymphoma xenograft in NSG mouse spleen transfused with primary human anti-CD19 CAR-T cells (left) or PBS control (right) using Whitlow/218 Linker (F2G3S) Rabbit mAb.
Immunohistochemistry Image 1: Whitlow/218 Linker (F2G3S) Rabbit Monoclonal Antibody
Orders: 877-616-CELL (2355) [email protected] Support: 877-678-TECH (8324) [email protected] Web: cellsignal.com
For Research Use Only. Not for Use in Diagnostic Procedures.

Revision 9

Cell Signaling Technology Logo
Immunohistochemical analysis of NSG mouse spleen transfused with primary human Anti-CD19 CAR-T cells (left) or PBS control (right) using Whitlow/218 Linker (F2G3S) Rabbit mAb.
Immunohistochemistry Image 2: Whitlow/218 Linker (F2G3S) Rabbit Monoclonal Antibody
Immunohistochemical analysis of paraffin-embedded Jurkat cell pellet transduced with a construct expressing an scFv-based anti-CD20 CAR containing a Whitlow/218 linker (left-top) and various human tissues: B-cell non-Hodgkin lymphoma (middle-top), colon carcinoma (right-top), normal prostate (left-bottom), normal small intestine (middle-bottom), and normal spleen (right-bottom) using Whitlow/218 Linker (F2G3S) Rabbit mAb.
Immunohistochemistry Image 3: Whitlow/218 Linker (F2G3S) Rabbit Monoclonal Antibody
Immunohistochemical analysis of paraffin-embedded Jurkat cell pellet transduced with a construct expressing an scFv-based anti-CD20 CAR containing a Whitlow/218 linker (left-top) and various mouse tissues: A20 syngeneic tumor (middle-top), Renca syngeneic tumor (right-top), spleen (left-bottom), colon (middle-bottom), and liver (right-bottom) using Whitlow/218 Linker (F2G3S) Rabbit mAb.
Immunohistochemistry Image 4: Whitlow/218 Linker (F2G3S) Rabbit Monoclonal Antibody
Orders: 877-616-CELL (2355) [email protected] Support: 877-678-TECH (8324) [email protected] Web: cellsignal.com
For Research Use Only. Not for Use in Diagnostic Procedures.

Revision 9

Cell Signaling Technology Logo
Immunohistochemical analysis of paraffin-embedded Jurkat cell pellets, non-transduced (left, negative), transduced with a construct expressing an scFv-based anti-CD19 CAR containing a Whitlow/218 linker (middle, positive), or transduced with a construct expressing an scFv-based anti-CD20 CAR containing a Whitlow/218 linker (right, positive) using Whitlow/218 Linker (F2G3S) Rabbit mAb.
Immunohistochemistry Image 5: Whitlow/218 Linker (F2G3S) Rabbit Monoclonal Antibody
Flow cytometric analysis of fixed/permeabilized Jurkat cells (blue, negative) or Jurkat cells engineered to stably express an scFv-based Anti-CD19 CAR containing a Whitlow/218 linker (green, positive) using Whitlow/218 Linker (F2G3S) Rabbit mAb (solid lines) or concentration-matched Rabbit (DA1E) mAb IgG XP® Isotype Control #3900 (dashed lines). Anti-rabbit IgG (H+L), F(ab')2 Fragment (Alexa Fluor® 488 Conjugate) #4412 was used as a secondary antibody. Engineered cell line was provided by the Lohmueller Lab, University of Pittsburgh.
Flow Cytometry Image 1: Whitlow/218 Linker (F2G3S) Rabbit Monoclonal Antibody
Flow cytometric analysis of live Jurkat cells (blue, negative) or Jurkat cells engineered to stably express an scFv-based Anti-CD19 CAR containing a Whitlow/218 linker (green, positive) using Whitlow/218 Linker (F2G3S) Rabbit mAb (solid lines) or concentration-matched Rabbit (DA1E) mAb IgG XP® Isotype Control #3900 (dashed lines). Anti-rabbit IgG (H+L), F(ab')2 Fragment (Alexa Fluor® 488 Conjugate) #4412 was used as a secondary antibody. Engineered cell line was provided by the Lohmueller Lab, University of Pittsburgh.
Flow Cytometry Image 1: Whitlow/218 Linker (F2G3S) Rabbit Monoclonal Antibody
Orders: 877-616-CELL (2355) [email protected] Support: 877-678-TECH (8324) [email protected] Web: cellsignal.com
For Research Use Only. Not for Use in Diagnostic Procedures.