Revision 3

#47880

Store at -20C

CST Logo
Orders:

877-616-CELL (2355)

[email protected]

Support:

877-678-TECH (8324)

3 Trask Lane | Danvers | Massachusetts | 01923 | USA

For Research Use Only. Not for Use in Diagnostic Procedures.

Applications:
W, IHC-P, IF-IC, FC-FP

Reactivity:
All

Sensitivity:
Transfected Only

Source/Isotype:
Mouse IgG1

Product Usage Information

This product is the carrier free version of product #8146. All data were generated using the same antibody clone in the standard formulation which contains BSA and glycerol.

This formulation is ideal for use with technologies requiring specialized or custom antibody labeling, including fluorophores, metals, lanthanides, and oligonucleotides. It is not recommended for ChIP, ChIP-seq, CUT&RUN or CUT&Tag assays. If you require a carrier free formulation for chromatin profiling, please contact us. Optimal dilutions/concentrations should be determined by the end user.

BSA and Azide Free antibodies are quality control tested by size exclusion chromatography (SEC) to determine antibody integrity.

Formulation

Supplied in 1X PBS (10 mM Na2HPO4, 3 mM KCl, 2 mM KH2PO4, and 140 mM NaCl (pH 7.8)). BSA and Azide Free.

For standard formulation of this product see product #8146

Storage

Store at -20°C. This product will freeze at -20°C so it is recommended to aliquot into single-use vials to avoid multiple freeze/thaw cycles. A slight precipitate may be present and can be dissolved by gently vortexing. This will not interfere with antibody performance.

Specificity/Sensitivity

DYKDDDDK Tag (9A3) Mouse Monoclonal Antibody (Binds to same epitope as Sigma-Aldrich Anti-FLAG M2 antibody) (BSA and Azide Free) detects exogenously expressed DYKDDDDK proteins in cells. This antibody recognizes the DYKDDDDK peptide, which is the same epitope recognized by Sigma-Aldrich Anti-FLAG M2 antibody.

Source / Purification

Monoclonal antibody is produced by immunizing animals with a synthetic DYKDDDDK peptide.

Background

Epitope tags are useful for the labeling and detection of proteins using immunoblotting, immunoprecipitation, and immunostaining techniques. Because of their small size, they are unlikely to affect the tagged protein’s biochemical properties.

The DYKDDDDK peptide has been used extensively as a general epitope tag in expression vectors. This peptide can be expressed and detected with the protein of interest as an amino-terminal or carboxy-terminal fusion (1).

Species Reactivity

Species reactivity is determined by testing in at least one approved application (e.g., western blot).

Applications Key

W: Western Blotting IHC-P: Immunohistochemistry (Paraffin) IF-IC: Immunofluorescence (Immunocytochemistry) FC-FP: Flow Cytometry (Fixed/Permeabilized)

Cross-Reactivity Key

All: All Species Expected

Trademarks and Patents

Cell Signaling Technology is a trademark of Cell Signaling Technology, Inc.

All other trademarks are the property of their respective owners. Visit cellsignal.com/trademarks for more information.

Limited Uses

Except as otherwise expressly agreed in a writing signed by a legally authorized representative of CST, the following terms apply to Products provided by CST, its affiliates or its distributors. Any Customer's terms and conditions that are in addition to, or different from, those contained herein, unless separately accepted in writing by a legally authorized representative of CST, are rejected and are of no force or effect.

Products are labeled with For Research Use Only or a similar labeling statement and have not been approved, cleared, or licensed by the FDA or other regulatory foreign or domestic entity, for any purpose. Customer shall not use any Product for any diagnostic or therapeutic purpose, or otherwise in any manner that conflicts with its labeling statement. Products sold or licensed by CST are provided for Customer as the end-user and solely for research and development uses. Any use of Product for diagnostic, prophylactic or therapeutic purposes, or any purchase of Product for resale (alone or as a component) or other commercial purpose, requires a separate license from CST. Customer shall (a) not sell, license, loan, donate or otherwise transfer or make available any Product to any third party, whether alone or in combination with other materials, or use the Products to manufacture any commercial products, (b) not copy, modify, reverse engineer, decompile, disassemble or otherwise attempt to discover the underlying structure or technology of the Products, or use the Products for the purpose of developing any products or services that would compete with CST products or services, (c) not alter or remove from the Products any trademarks, trade names, logos, patent or copyright notices or markings, (d) use the Products solely in accordance with CST Product Terms of Sale and any applicable documentation, and (e) comply with any license, terms of service or similar agreement with respect to any third party products or services used by Customer in connection with the Products.

Orders: 877-616-CELL (2355) [email protected] Support: 877-678-TECH (8324) [email protected] Web: cellsignal.com
For Research Use Only. Not for Use in Diagnostic Procedures.

Revision 3

Cell Signaling Technology Logo
Western blot analysis of extracts from 293T cells, untransfected or transfected with either DYKDDDDK-tagged FoxG1, NPAS4, or Tyrosine Hydroxylase (TH), using DYKDDDDK Tag (9A3) Mouse mAb. Data were generated using the standard formulation of this product.
Western Blotting Image 1: DYKDDDDK Tag (9A3) Mouse Monoclonal Antibody (Binds to same epitope as Sigma-Aldrich Anti-FLAG M2 antibody) (BSA and Azide Free)
Western blot analysis of recombinant human SYN3-MYC/DYKDDDDK at various concentrations using, DYKDDDDK Tag (9A3) Mouse mAb. Data were generated using the standard formulation of this product.
Western Blotting Image 2: DYKDDDDK Tag (9A3) Mouse Monoclonal Antibody (Binds to same epitope as Sigma-Aldrich Anti-FLAG M2 antibody) (BSA and Azide Free)
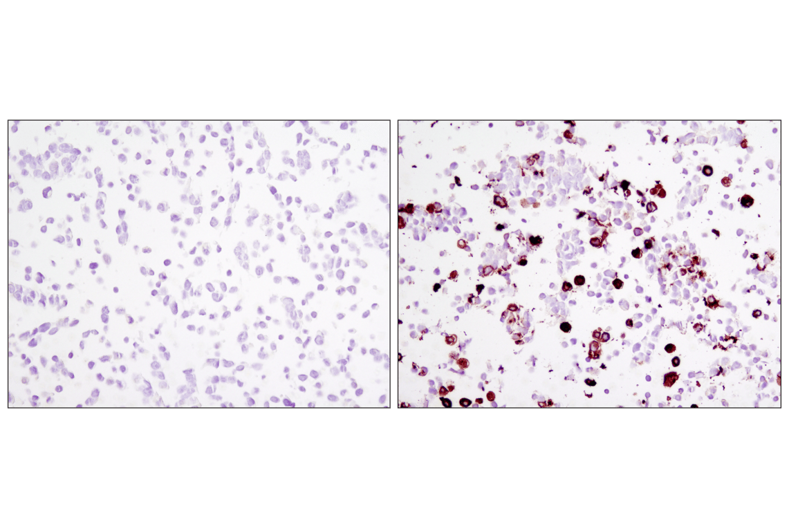
Immunohistochemical analysis of paraffin-embedded 293T cell pellets, control (left) or ROS-DYKDDDDK Tag transfected (right), using DYKDDDDK Tag (9A3) Mouse mAb. Data were generated using the standard formulation of this product.
Immunohistochemistry Image 1: DYKDDDDK Tag (9A3) Mouse Monoclonal Antibody (Binds to same epitope as Sigma-Aldrich Anti-FLAG M2 antibody) (BSA and Azide Free)
Orders: 877-616-CELL (2355) [email protected] Support: 877-678-TECH (8324) [email protected] Web: cellsignal.com
For Research Use Only. Not for Use in Diagnostic Procedures.

Revision 3

Cell Signaling Technology Logo
Confocal immunofluorescent analysis of HeLa cells transfected with a DYKDDDDK-tagged IRF3 construct using DYKDDDDK Tag (9A3) Mouse mAb (green). Actin filaments were labeled with DY-554 phalloidin (red). Blue pseudocolor = DRAQ5® #4084 (fluorescent DNA dye). Data were generated using the standard formulation of this product.
Immunofluorescence Image 1: DYKDDDDK Tag (9A3) Mouse Monoclonal Antibody (Binds to same epitope as Sigma-Aldrich Anti-FLAG M2 antibody) (BSA and Azide Free)
Flow cytometric analysis of 293T cells, mock-transfected (blue, negative) or transfected with a construct expressing DYKDDDDK Tag (green, positive), using DYKDDDDK Tag (9A3) Mouse mAb (solid lines) or concentration-matched Mouse (G3A1) mAb IgG1 IsotypeControl #5415 (dashed lines). Anti-mouse IgG (H+L), F(ab')2 Fragment (Alexa Fluor® 647 Conjugate) #4410 was used as a secondary antibody. Data were generated using the standard formulation of this product.
Flow Cytometry Image 1: DYKDDDDK Tag (9A3) Mouse Monoclonal Antibody (Binds to same epitope as Sigma-Aldrich Anti-FLAG M2 antibody) (BSA and Azide Free)
Orders: 877-616-CELL (2355) [email protected] Support: 877-678-TECH (8324) [email protected] Web: cellsignal.com
For Research Use Only. Not for Use in Diagnostic Procedures.