Revision 4

#48856

Store at -20C

CST Logo
Orders:

877-616-CELL (2355)

[email protected]

Support:

877-678-TECH (8324)

3 Trask Lane | Danvers | Massachusetts | 01923 | USA

For Research Use Only. Not for Use in Diagnostic Procedures.

Applications:
W, W-S, IP, IHC-P, IF-F, IF-IC

Reactivity:
H M R

Sensitivity:
Endogenous

MW (kDa):
50-80

Source/Isotype:
Rabbit IgG

UniProt ID:
#P10636-8

Entrez-Gene Id:
4137

Product Usage Information

Application Dilution
Western Blotting 1:1000
Simple Western™ 1:10 - 1:50
Immunoprecipitation 1:100
Immunohistochemistry (Paraffin) 1:800 - 1:3200
Immunofluorescence (Frozen) 1:100
Immunofluorescence (Immunocytochemistry) 1:1600 - 1:3200

Storage

Supplied in 10 mM sodium HEPES (pH 7.5), 150 mM NaCl, 100 µg/mL BSA, 50% glycerol, and less than 0.02% sodium azide. Store at –20°C. Do not aliquot the antibody.

Specificity/Sensitivity

Phospho-Tau (Ser396) (F3S9T) Rabbit Monoclonal Antibody recognizes endogenous levels of tau protein when phosphorylated at Ser396. This antibody does not detect single phosphorylation at Ser404.

Source / Purification

Monoclonal antibody is produced by immunizing animals with a synthetic phosphopeptide corresponding to residues surrounding Ser396/Ser404 of human tau protein.

Background

Tau is a heterogeneous microtubule-associated protein that promotes and stabilizes microtubule assembly, especially in axons. Six isoforms with different amino-terminal inserts and different numbers of tandem repeats near the carboxy terminus have been identified, and tau is hyperphosphorylated at approximately 25 sites by Erk, glycogen synthase kinase-3 (GSK-3), and CDK5 (1,2). Phosphorylation decreases the ability of tau to bind to microtubules. Neurofibrillary tangles are a major hallmark of Alzheimer's disease (AD); these tangles are bundles of paired helical filaments (PHFs) composed of hyperphosphorylated tau. In particular, phosphorylation at Ser396 by GSK-3 or CDK5 destabilizes microtubules. Furthermore, research studies have shown that inclusions of tau are found in a number of other neurodegenerative diseases, collectively known as tauopathies (1,3).

Species Reactivity

Species reactivity is determined by testing in at least one approved application (e.g., western blot).

Western Blot Buffer

IMPORTANT: For western blots, incubate membrane with diluted primary antibody in 5% w/v BSA, 1X TBS, 0.1% Tween® 20 at 4°C with gentle shaking, overnight.

Applications Key

W: Western Blotting W-S: Simple Western™ IP: Immunoprecipitation IHC-P: Immunohistochemistry (Paraffin) IF-F: Immunofluorescence (Frozen) IF-IC: Immunofluorescence (Immunocytochemistry)

Cross-Reactivity Key

H: Human M: Mouse R: Rat

Trademarks and Patents

Cell Signaling Technology is a trademark of Cell Signaling Technology, Inc.

All other trademarks are the property of their respective owners. Visit cellsignal.com/trademarks for more information.

Limited Uses

Except as otherwise expressly agreed in a writing signed by a legally authorized representative of CST, the following terms apply to Products provided by CST, its affiliates or its distributors. Any Customer's terms and conditions that are in addition to, or different from, those contained herein, unless separately accepted in writing by a legally authorized representative of CST, are rejected and are of no force or effect.

Products are labeled with For Research Use Only or a similar labeling statement and have not been approved, cleared, or licensed by the FDA or other regulatory foreign or domestic entity, for any purpose. Customer shall not use any Product for any diagnostic or therapeutic purpose, or otherwise in any manner that conflicts with its labeling statement. Products sold or licensed by CST are provided for Customer as the end-user and solely for research and development uses. Any use of Product for diagnostic, prophylactic or therapeutic purposes, or any purchase of Product for resale (alone or as a component) or other commercial purpose, requires a separate license from CST. Customer shall (a) not sell, license, loan, donate or otherwise transfer or make available any Product to any third party, whether alone or in combination with other materials, or use the Products to manufacture any commercial products, (b) not copy, modify, reverse engineer, decompile, disassemble or otherwise attempt to discover the underlying structure or technology of the Products, or use the Products for the purpose of developing any products or services that would compete with CST products or services, (c) not alter or remove from the Products any trademarks, trade names, logos, patent or copyright notices or markings, (d) use the Products solely in accordance with CST Product Terms of Sale and any applicable documentation, and (e) comply with any license, terms of service or similar agreement with respect to any third party products or services used by Customer in connection with the Products.

Orders: 877-616-CELL (2355) [email protected] Support: 877-678-TECH (8324) [email protected] Web: cellsignal.com
For Research Use Only. Not for Use in Diagnostic Procedures.

Revision 4

Cell Signaling Technology Logo
Western blot analysis of extracts from mouse brain tissue using Phospho-Tau (Ser396) (F3S9T) Rabbit mAb (left). Phospho-specificity is demonstrated by pre-incubating the antibody with non-phosphorylated (left-middle), or phosphorylated peptides against regions surrounding Ser396 (middle), Ser404 (right-middle), or Ser396/Ser404 (right) of tau.
Western Blotting Image 1: Phospho-Tau (Ser396) (F3S9T) Rabbit Monoclonal Antibody
Western blot analysis of extracts from normal mouse brain and tau KO (-/-) mouse brain tissue using Phospho-Tau (Ser396) (F3S9T) Rabbit mAb (upper) or GAPDH (D16H11) XP® Rabbit mAb #5174 (lower). Tau KO mouse brain tissue was kindly provided by Dr. Bradley Hyman, MD, PhD at MassGeneral Institute for Neurodegenerative Disease (MIND) and Harvard Medical School.
Western Blotting Image 2: Phospho-Tau (Ser396) (F3S9T) Rabbit Monoclonal Antibody
Western blot analysis of extracts from various cell lines and tissues using Phospho-Tau (Ser396) (F3S9T) Rabbit mAb (upper) or GAPDH (D16H11) XP® Rabbit mAb #5174 (lower). Low expression of tau protein in mouse liver tissue and negative expression in MDA-MB-231 cells is consistent with the predicted expression pattern.
Western Blotting Image 3: Phospho-Tau (Ser396) (F3S9T) Rabbit Monoclonal Antibody
Orders: 877-616-CELL (2355) [email protected] Support: 877-678-TECH (8324) [email protected] Web: cellsignal.com
For Research Use Only. Not for Use in Diagnostic Procedures.

Revision 4

Cell Signaling Technology Logo
Simple WesternTM analysis of lysates (0.1 mg/mL) from Mouse Brain cells using Phospho-Tau (Ser396) (F3S9T) Rabbit mAb #48856.  The virtual lane view (left) shows the target band (as indicated) at 1:10 and 1:50 dilutions of primary antibody.  The corresponding electropherogram view (right) plots chemiluminescence by molecular weight along the capillary at 1:10 (blue line) and 1:50 (green line) dilutions of primary antibody.  This experiment was performed under reducing conditions on the JessTM Simple Western instrument from ProteinSimple, a BioTechne brand, using the 12-230 kDa separation module.
Western Blotting Image 1: Phospho-Tau (Ser396) (F3S9T) Rabbit Monoclonal Antibody
Immunoprecipitation of phospho-tau (Ser396) protein from mouse brain tissue extracts. Lane 1 is 10% input, lane 2 is Rabbit (DA1E) mAb IgG XP® Isotype Control #3900, and lane 3 is Phospho-Tau (Ser396) (F3S9T) Rabbit mAb. Western blot analysis was performed using Phospho-Tau (Ser396) (F3S9T) Rabbit mAb. Mouse Anti-rabbit IgG (Conformation Specific) (L27A9) mAb (HRP Conjugate) #5127 was used as a secondary antibody.
Immunoprecipitation Image 1: Phospho-Tau (Ser396) (F3S9T) Rabbit Monoclonal Antibody
Immunohistochemical analysis of paraffin-embedded human Alzheimer's brain using Phospho-Tau (Ser396) (F3S9T) Rabbit mAb.
Immunohistochemistry Image 1: Phospho-Tau (Ser396) (F3S9T) Rabbit Monoclonal Antibody
Orders: 877-616-CELL (2355) [email protected] Support: 877-678-TECH (8324) [email protected] Web: cellsignal.com
For Research Use Only. Not for Use in Diagnostic Procedures.

Revision 4

Cell Signaling Technology Logo
Immunohistochemical analysis of paraffin-embedded human Alzheimer's brain using using Phospho-Tau (Ser396) (F3S9T) Rabbit mAb (left) or Tau (D1M9X) XP® Rabbit mAb #46687 (right).
Immunohistochemistry Image 2: Phospho-Tau (Ser396) (F3S9T) Rabbit Monoclonal Antibody
Immunohistochemical analysis of paraffin-embedded human Pick's disease brain using Phospho-Tau (Ser396) (F3S9T) Rabbit mAb.
Immunohistochemistry Image 3: Phospho-Tau (Ser396) (F3S9T) Rabbit Monoclonal Antibody
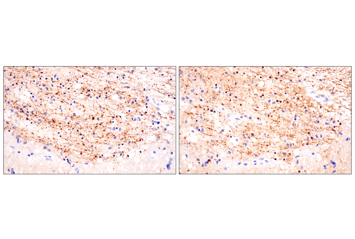
Immunohistochemical analysis of paraffin-embedded human Pick's disease brain using using Phospho-Tau (Ser396) (F3S9T) Rabbit mAb (left) or Tau (D1M9X) XP® Rabbit mAb #46687 (right).
Immunohistochemistry Image 4: Phospho-Tau (Ser396) (F3S9T) Rabbit Monoclonal Antibody
Orders: 877-616-CELL (2355) [email protected] Support: 877-678-TECH (8324) [email protected] Web: cellsignal.com
For Research Use Only. Not for Use in Diagnostic Procedures.

Revision 4

Cell Signaling Technology Logo
Immunohistochemical analysis of paraffin-embedded mouse brain using Phospho-Tau (Ser396) (F3S9T) Rabbit mAb (top) or Phospho-Tau (Ser404) (D2Z4G) Rabbit mAb (bottom) in the presence of non-phosphorylated tau peptide (left), phospho-tau (Ser396) peptide (left-middle), phospho-tau (Ser404) peptide (right-middle), or phospho-tau (Ser396/Ser404) peptide (right).
Immunohistochemistry Image 5: Phospho-Tau (Ser396) (F3S9T) Rabbit Monoclonal Antibody
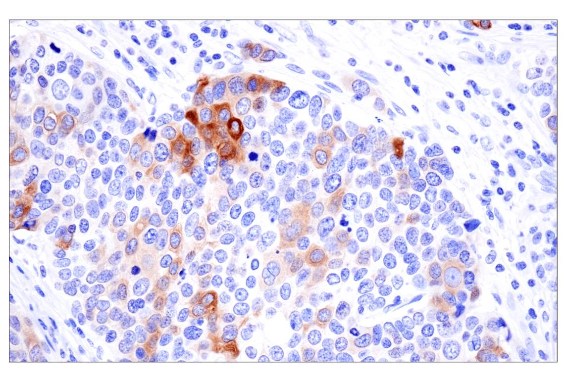
Immunohistochemical analysis of paraffin-embedded human ductal breast carcinoma using Phospho-Tau (Ser396) (F3S9T) Rabbit mAb.
Immunohistochemistry Image 6: Phospho-Tau (Ser396) (F3S9T) Rabbit Monoclonal Antibody
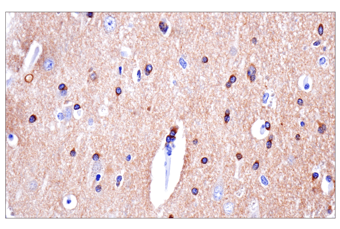
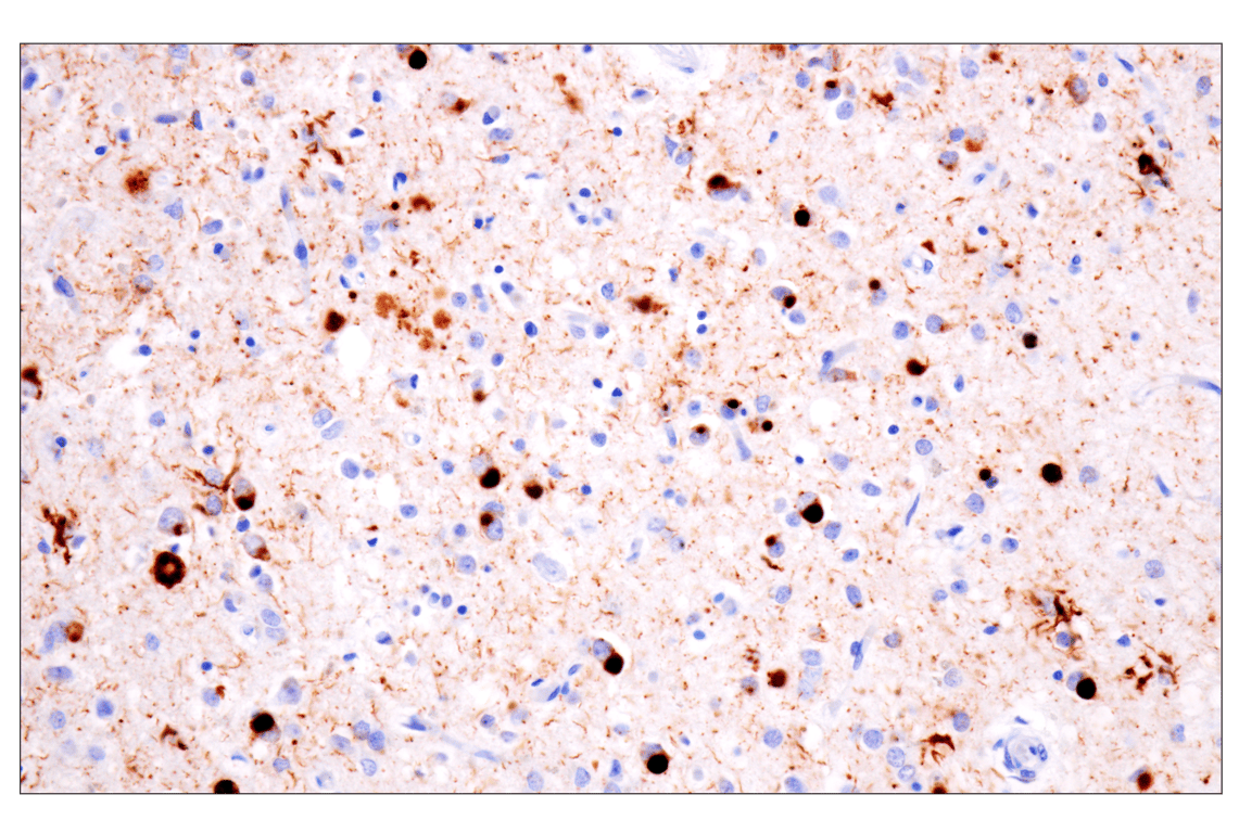
Immunohistochemical analysis of paraffin-embedded normal human brain using Phospho-Tau (Ser396) (F3S9T) Rabbit mAb.
Immunohistochemistry Image 7: Phospho-Tau (Ser396) (F3S9T) Rabbit Monoclonal Antibody
Orders: 877-616-CELL (2355) [email protected] Support: 877-678-TECH (8324) [email protected] Web: cellsignal.com
For Research Use Only. Not for Use in Diagnostic Procedures.

Revision 4

Cell Signaling Technology Logo

Immunohistochemical analysis of paraffin-embedded human appendix using Phospho-Tau (Ser396) (F3S9T) Rabbit mAb.
Immunohistochemistry Image 8: Phospho-Tau (Ser396) (F3S9T) Rabbit Monoclonal Antibody
Immunohistochemical analysis of paraffin-embedded wild-type mouse brain (left) or tau KO mouse brain (right) using Phospho-Tau (Ser396) (F3S9T) Rabbit mAb.
Immunohistochemistry Image 9: Phospho-Tau (Ser396) (F3S9T) Rabbit Monoclonal Antibody
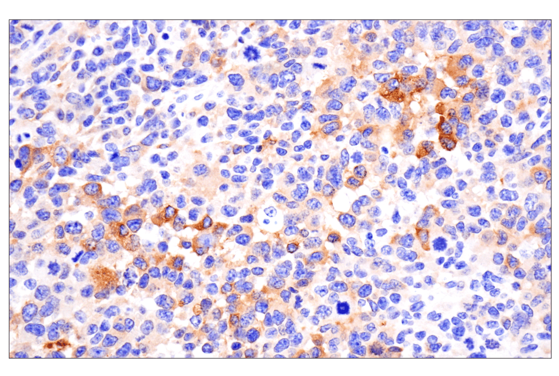
Immunohistochemical analysis of paraffin-embedded GL261 syngeneic tumor using Phospho-Tau (Ser396) (F3S9T) Rabbit mAb.
Immunohistochemistry Image 10: Phospho-Tau (Ser396) (F3S9T) Rabbit Monoclonal Antibody
Orders: 877-616-CELL (2355) [email protected] Support: 877-678-TECH (8324) [email protected] Web: cellsignal.com
For Research Use Only. Not for Use in Diagnostic Procedures.

Revision 4

Cell Signaling Technology Logo

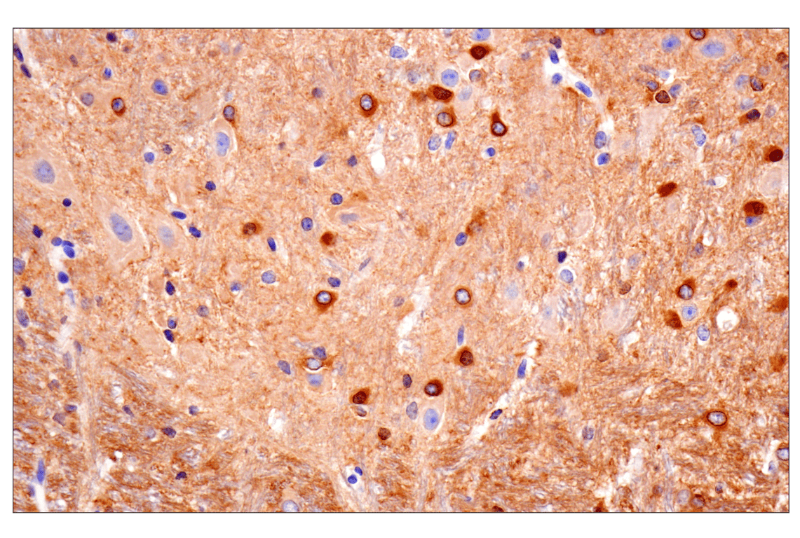
Immunohistochemical analysis of paraffin-embedded mouse brain using Phospho-Tau (Ser396) (F3S9T) Rabbit mAb.

Immunohistochemistry Image 11: Phospho-Tau (Ser396) (F3S9T) Rabbit Monoclonal Antibody
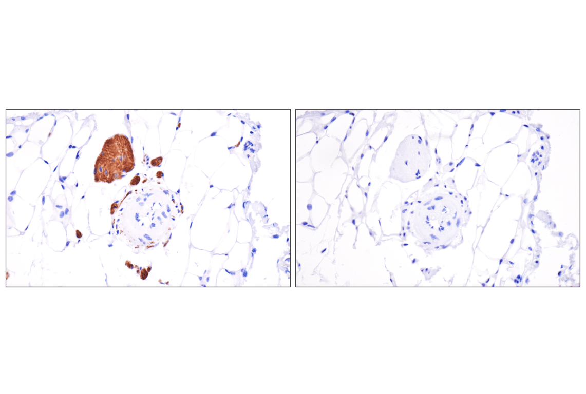
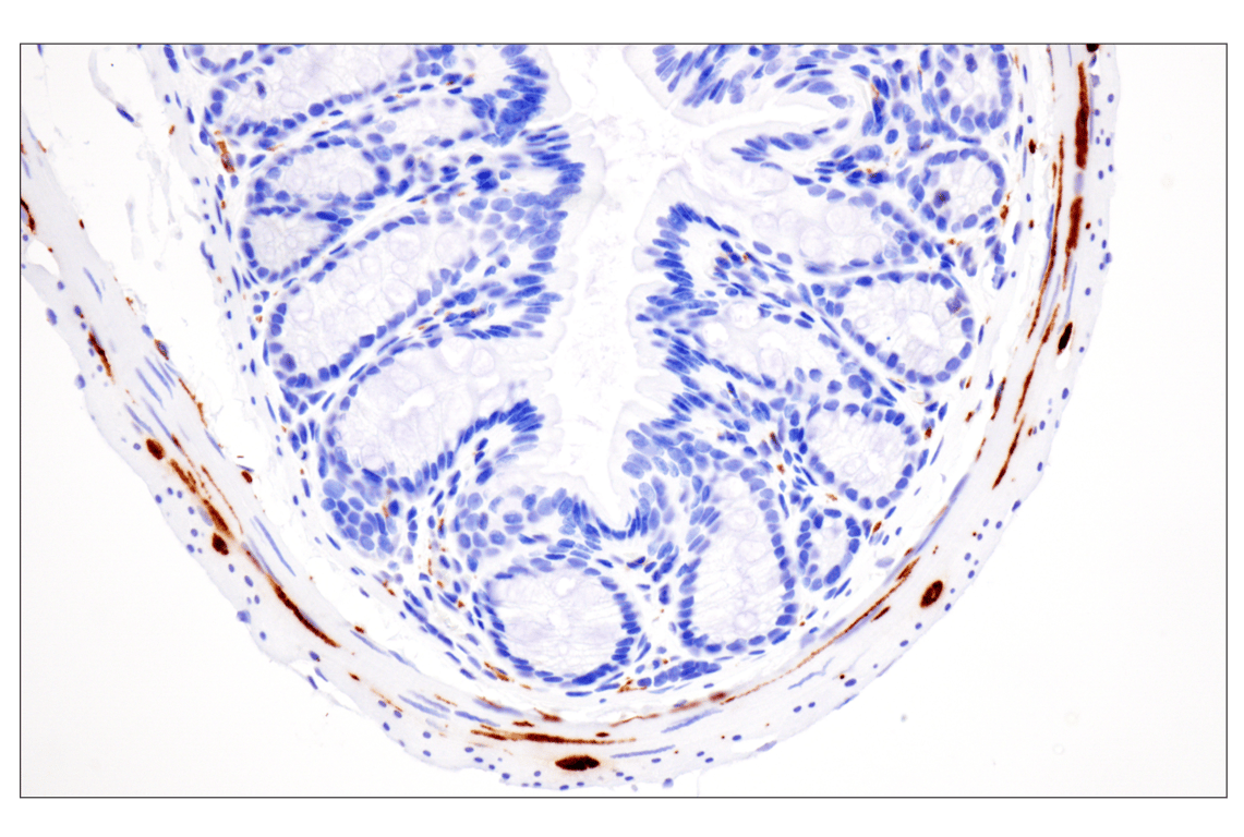
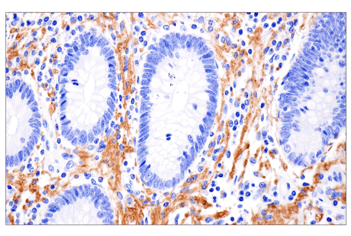
Immunohistochemical analysis of paraffin-embedded mouse colon using Phospho-Tau (Ser396) (F3S9T) Rabbit mAb.
Immunohistochemistry Image 12: Phospho-Tau (Ser396) (F3S9T) Rabbit Monoclonal Antibody
Immunohistochemical analysis of peripheral nerves adjacent to paraffin-embedded mouse colon using Phospho-Tau (Ser396) (F3S9T) Rabbit mAb (left) compared to concentration-matched Rabbit (DA1E) mAb IgG XP® Isotype Control #3900 (right).
Immunohistochemistry Image 13: Phospho-Tau (Ser396) (F3S9T) Rabbit Monoclonal Antibody
Orders: 877-616-CELL (2355) [email protected] Support: 877-678-TECH (8324) [email protected] Web: cellsignal.com
For Research Use Only. Not for Use in Diagnostic Procedures.

Revision 4

Cell Signaling Technology Logo
Immunohistochemical analysis of paraffin-embedded SK-N-MC cell pellet (left, positive) or MDA-MB-231 cell pellet (right, negative) using Phospho-Tau (Ser396) (F3S9T) Rabbit mAb.
Immunohistochemistry Image 14: Phospho-Tau (Ser396) (F3S9T) Rabbit Monoclonal Antibody
Confocal immunofluorescent analysis of fixed frozen mouse cerebral cortex from wild-type (left), λ phosphatase-treated wild-type (middle), and tau KO (right) mice labeled with Phospho-Tau (Ser396) (F3S9T) Rabbit mAb (green), TMEM119 (E4B9S) Mouse mAb #98778 (red), and ProLong Gold Antifade Reagent with DAPI #8961 (blue).
Immunofluorescence Image 1: Phospho-Tau (Ser396) (F3S9T) Rabbit Monoclonal Antibody
Confocal immunofluorescent analysis of fixed frozen mouse striatum from wild-type (left), λ phosphatase-treated wild-type (middle), and tau KO (right) mice labeled with Phospho-Tau (Ser396) (F3S9T) Rabbit mAb (green), TMEM119 (E4B9S) Mouse mAb #98778 (red), and ProLong Gold Antifade Reagent with DAPI #8961 (blue).
Immunofluorescence Image 2: Phospho-Tau (Ser396) (F3S9T) Rabbit Monoclonal Antibody
Orders: 877-616-CELL (2355) [email protected] Support: 877-678-TECH (8324) [email protected] Web: cellsignal.com
For Research Use Only. Not for Use in Diagnostic Procedures.

Revision 4

Cell Signaling Technology Logo
Confocal immunofluorescent analysis of SK-N-MC cells, untreated (left, positive) or post-processed with λ phosphatase (middle, negative), and MDA-MB-231 cells (right, negative) using Phospho-Tau (Ser396) (F3S9T) Rabbit mAb (green), DyLight 554 Phalloidin #13054 (red), and DAPI #4083 (blue).
Immunofluorescence Image 1: Phospho-Tau (Ser396) (F3S9T) Rabbit Monoclonal Antibody
Orders: 877-616-CELL (2355) [email protected] Support: 877-678-TECH (8324) [email protected] Web: cellsignal.com
For Research Use Only. Not for Use in Diagnostic Procedures.