Revision 1

#49314

Store at -20C

CST Logo
Orders:

877-616-CELL (2355)

[email protected]

Support:

877-678-TECH (8324)

3 Trask Lane | Danvers | Massachusetts | 01923 | USA

For Research Use Only. Not for Use in Diagnostic Procedures.

Applications:
W, IHC-P

Reactivity:
M

Sensitivity:
Endogenous

MW (kDa):
80

Source/Isotype:
Rabbit IgG

UniProt ID:
#P01872

Entrez-Gene Id:
16019

Product Usage Information

This product is the carrier free version of product #82042. All data were generated using the same antibody clone in the standard formulation which contains BSA and glycerol.

This formulation is ideal for use with technologies requiring specialized or custom antibody labeling, including fluorophores, metals, lanthanides, and oligonucleotides. It is not recommended for ChIP, ChIP-seq, CUT&RUN or CUT&Tag assays. If you require a carrier free formulation for chromatin profiling, please contact us. Optimal dilutions/concentrations should be determined by the end user.

BSA and Azide Free antibodies are quality control tested by size exclusion chromatography (SEC) to determine antibody integrity.

Formulation

Supplied in 1X PBS (10 mM Na2HPO4, 3 mM KCl, 2 mM KH2PO4, and 140 mM NaCl (pH 7.8)). BSA and Azide Free.

For standard formulation of this product see product #82042

Storage

Store at -20°C. This product will freeze at -20°C so it is recommended to aliquot into single-use vials to avoid multiple freeze/thaw cycles. A slight precipitate may be present and can be dissolved by gently vortexing. This will not interfere with antibody performance.

Specificity/Sensitivity

IgM (E8M1B) Rabbit Monoclonal Antibody (BSA and Azide Free) recognizes endogenous levels of total IgM heavy chain protein. This antibody reacts with secreted and membrane bound isoforms of IgM heavy chain protein.

Source / Purification

Monoclonal antibody is produced by immunizing animals with a synthetic peptide corresponding to residues near the amino terminus of the constant region of mouse IgM heavy chain protein.

Background

Immunoglobulin M (IgM) is one of the five major human immunoglobulin isotypes and is the first antibody to be secreted by plasmablasts in a humoral immune response after exposure to antigen. Structurally, IgM is the largest immunoglobulin and predominantly exists in pentameric form when secreted (1). Alternative splicing of the IgM heavy chain mRNA can generate an alternative form of the antibody, which facilitates its insertion into the plasma membrane of B cells to function in antigen recognition. IgM is the first Ig isotype to appear on the surface of developing B cells and is a major component of the B cell antigen receptor (BCR) signaling complex, which drives B cell survival and proliferation upon antigen-induced ligation (2,3). Research studies have shown that defects in the assembly of the BCR account for the low levels of surface IgM expression in B-chronic lymphocytic leukemia (4,5).

Species Reactivity

Species reactivity is determined by testing in at least one approved application (e.g., western blot).

Applications Key

W: Western Blotting IHC-P: Immunohistochemistry (Paraffin)

Cross-Reactivity Key

M: Mouse

Trademarks and Patents

Cell Signaling Technology is a trademark of Cell Signaling Technology, Inc.

All other trademarks are the property of their respective owners. Visit cellsignal.com/trademarks for more information.

Limited Uses

Except as otherwise expressly agreed in a writing signed by a legally authorized representative of CST, the following terms apply to Products provided by CST, its affiliates or its distributors. Any Customer's terms and conditions that are in addition to, or different from, those contained herein, unless separately accepted in writing by a legally authorized representative of CST, are rejected and are of no force or effect.

Products are labeled with For Research Use Only or a similar labeling statement and have not been approved, cleared, or licensed by the FDA or other regulatory foreign or domestic entity, for any purpose. Customer shall not use any Product for any diagnostic or therapeutic purpose, or otherwise in any manner that conflicts with its labeling statement. Products sold or licensed by CST are provided for Customer as the end-user and solely for research and development uses. Any use of Product for diagnostic, prophylactic or therapeutic purposes, or any purchase of Product for resale (alone or as a component) or other commercial purpose, requires a separate license from CST. Customer shall (a) not sell, license, loan, donate or otherwise transfer or make available any Product to any third party, whether alone or in combination with other materials, or use the Products to manufacture any commercial products, (b) not copy, modify, reverse engineer, decompile, disassemble or otherwise attempt to discover the underlying structure or technology of the Products, or use the Products for the purpose of developing any products or services that would compete with CST products or services, (c) not alter or remove from the Products any trademarks, trade names, logos, patent or copyright notices or markings, (d) use the Products solely in accordance with CST Product Terms of Sale and any applicable documentation, and (e) comply with any license, terms of service or similar agreement with respect to any third party products or services used by Customer in connection with the Products.

Orders: 877-616-CELL (2355) [email protected] Support: 877-678-TECH (8324) [email protected] Web: cellsignal.com
For Research Use Only. Not for Use in Diagnostic Procedures.

Revision 1

Cell Signaling Technology Logo
Western blot analysis of extracts from WEHI-231 cells, wild-type BALB/c mouse splenocytes (wt/wt), Jh knockout (KO) BALB/c mouse splenocytes (-/-, model #1147-F), and C2C12 cells using IgM (E8M1B) XP® Rabbit mAb (upper) or β-Actin (D6A8) Rabbit mAb #8457 (lower). Jh (BALB/c) mouse from Taconic Biosciences, Inc. The Jh mouse carries a homozygous deletion of the J segments of the Ig heavy chain locus, which results in defective heavy chain recombination and lack of IgM due to a deficiency in mature B cells. Negative expression of IgM protein in C2C12 cells is consistent with the predicted expression pattern. Data were generated using the standard formulation of this product.
Western Blotting Image 1: IgM (E8M1B) Rabbit Monoclonal Antibody (BSA and Azide Free)
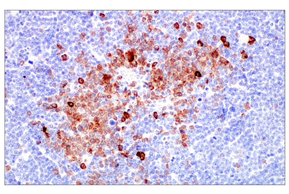
Immunohistochemical analysis of paraffin-embedded A20 syngeneic tumor using IgM (E8M1B) XP® Rabbit mAb. Data were generated using the standard formulation of this product.
Immunohistochemistry Image 1: IgM (E8M1B) Rabbit Monoclonal Antibody (BSA and Azide Free)
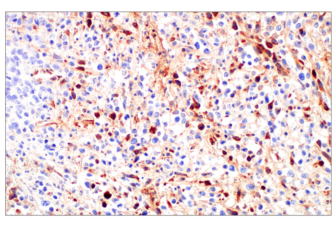
Immunohistochemical analysis of paraffin-embedded 4T1 syngeneic mammary tumor using IgM (E8M1B) XP® Rabbit mAb. Data were generated using the standard formulation of this product.
Immunohistochemistry Image 2: IgM (E8M1B) Rabbit Monoclonal Antibody (BSA and Azide Free)
Orders: 877-616-CELL (2355) [email protected] Support: 877-678-TECH (8324) [email protected] Web: cellsignal.com
For Research Use Only. Not for Use in Diagnostic Procedures.

Revision 1

Cell Signaling Technology Logo
Immunohistochemical analysis of paraffin-embedded lung from BALB/c (wt/wt, left) and Jh knockout (-/-, model #1147-F, right) mice using IgM (E8M1B) XP® Rabbit mAb. Jh (BALB/c) mouse from Taconic Biosciences, Inc. Data were generated using the standard formulation of this product.
Immunohistochemistry Image 3: IgM (E8M1B) Rabbit Monoclonal Antibody (BSA and Azide Free)
Immunohistochemical analysis of paraffin-embedded spleen from BALB/c (wt/wt, left) and Jh knockout (-/-, model #1147-F, right) mice using IgM (E8M1B) XP® Rabbit mAb. Jh (BALB/c) mouse from Taconic Biosciences, Inc. Data were generated using the standard formulation of this product.
Immunohistochemistry Image 4: IgM (E8M1B) Rabbit Monoclonal Antibody (BSA and Azide Free)
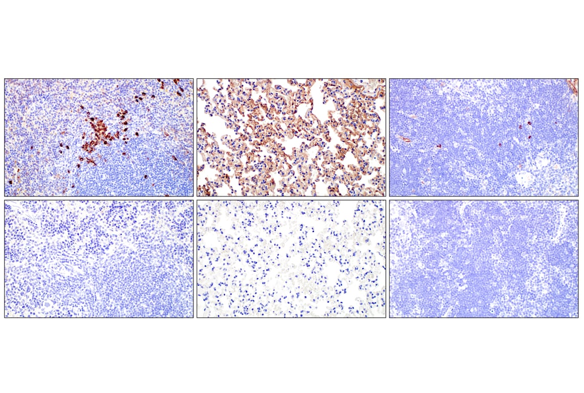
Immunohistochemical analysis of paraffin-embedded spleen (left), lung (middle), or thymus (right) from BALB/c (wt/wt, top) and Jh knockout (-/-, model #1147-F, bottom) mice using IgM (E8M1B) XP® Rabbit mAb. Jh (BALB/c) mouse from Taconic Biosciences, Inc. Data were generated using the standard formulation of this product.
Immunohistochemistry Image 5: IgM (E8M1B) Rabbit Monoclonal Antibody (BSA and Azide Free)
Orders: 877-616-CELL (2355) [email protected] Support: 877-678-TECH (8324) [email protected] Web: cellsignal.com
For Research Use Only. Not for Use in Diagnostic Procedures.

Revision 1

Cell Signaling Technology Logo
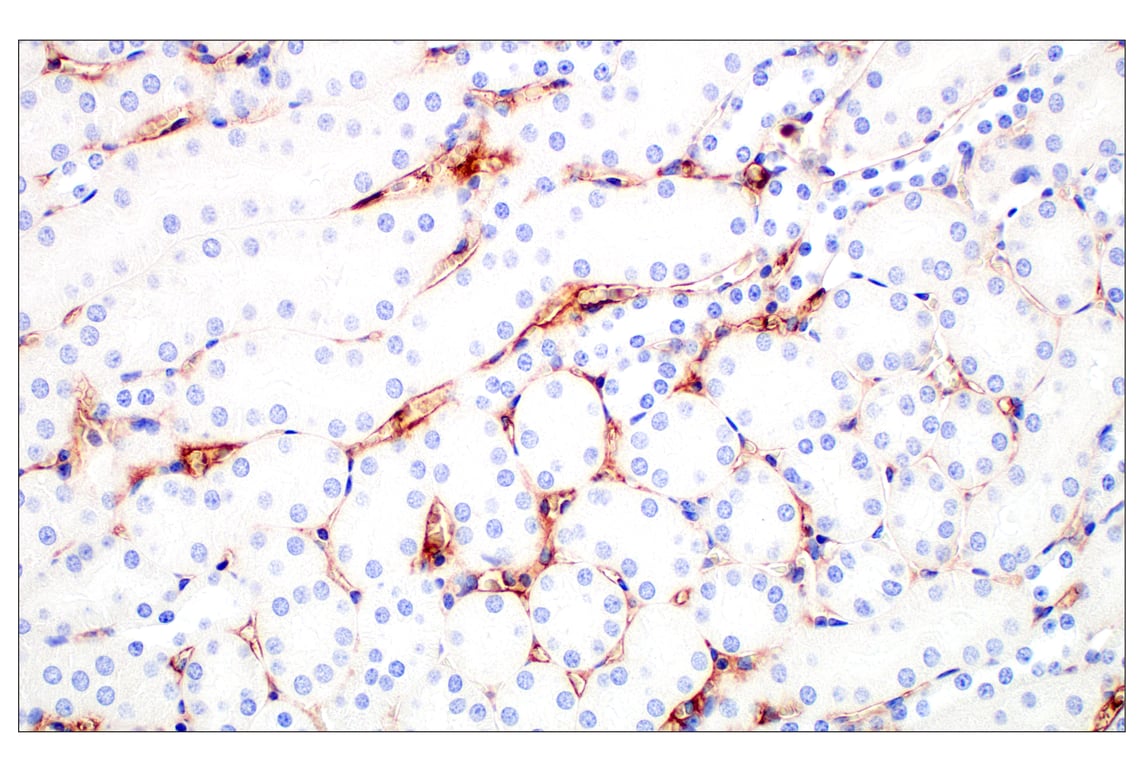
Immunohistochemical analysis of paraffin-embedded mouse kidney using IgM (E8M1B) XP® Rabbit mAb. Data were generated using the standard formulation of this product.
Immunohistochemistry Image 6: IgM (E8M1B) Rabbit Monoclonal Antibody (BSA and Azide Free)
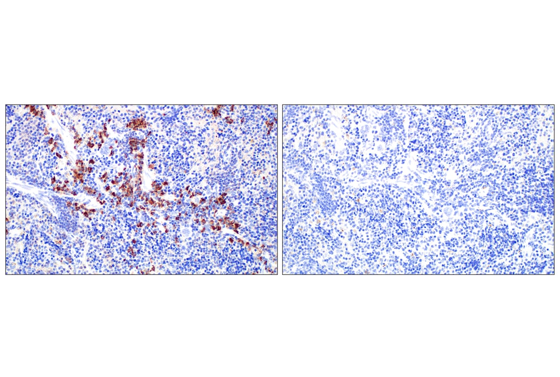
Immunohistochemical analysis of paraffin-embedded mouse spleen using IgM (E8M1B) XP® Rabbit mAb (left) compared to concentration-matched Rabbit (DA1E) mAb IgG XP® Isotype Control #3900 (right). Data were generated using the standard formulation of this product.
Immunohistochemistry Image 7: IgM (E8M1B) Rabbit Monoclonal Antibody (BSA and Azide Free)
Immunohistochemical analysis of paraffin-embedded WEHI-231 cell pellet (left, positive) or C2C12 cell pellet (right, negative) using IgM (E8M1B) XP® Rabbit mAb. Data were generated using the standard formulation of this product.
Immunohistochemistry Image 8: IgM (E8M1B) Rabbit Monoclonal Antibody (BSA and Azide Free)
Orders: 877-616-CELL (2355) [email protected] Support: 877-678-TECH (8324) [email protected] Web: cellsignal.com
For Research Use Only. Not for Use in Diagnostic Procedures.