Revision 11

#49536

Store at -20C

CST Logo
Orders:

877-616-CELL (2355)

[email protected]

Support:

877-678-TECH (8324)

3 Trask Lane | Danvers | Massachusetts | 01923 | USA

For Research Use Only. Not for Use in Diagnostic Procedures.

Applications:
W, W-S, IHC-P, IF-IC

Reactivity:
H

Sensitivity:
Endogenous

MW (kDa):
48

Source/Isotype:
Rabbit IgG

UniProt ID:
#P05121

Entrez-Gene Id:
5054

Product Usage Information

Application Dilution
Western Blotting 1:1000
Simple Western™ 1:10 - 1:50
Immunohistochemistry (Paraffin) 1:100 - 1:400
Immunofluorescence (Immunocytochemistry) 1:1600 - 1:6400

Storage

Supplied in 10 mM sodium HEPES (pH 7.5), 150 mM NaCl, 100 µg/ml BSA, 50% glycerol and less than 0.02% sodium azide. Store at –20°C. Do not aliquot the antibody.

For a carrier free (BSA and azide free) version of this product see product #63205.

Specificity/Sensitivity

PAI-1 (E3I5H) Rabbit Monoclonal Antibody recognizes endogenous levels of total PAI-1 protein. Faint upper bands seen in some cell extracts in the 70 kDa to 100 kDa range are of unknown identity, and believed to be non-specific.

Source / Purification

Monoclonal antibody is produced by immunizing animals with recombinant protein specific to the amino terminus of human PAI-1 protein.

Background

PAI-1 is a secreted protein that belongs to the serine proteinase inhibitor (serpin) superfamily. It inhibits urokinase and tissue plasminogen activators (uPA and tPA) and thus, reduces the conversion of inactive plasminogen to plasmin (1). PAI-1 regulates fibrinolysis and plays an important role in vessel patency and tissue remodeling. Secreted PAI-1 interacts with the extracellular matrix (ECM) component vitronectin, thereby modulating cell-ECM interactions (2,3). PAI-1 is expressed in a variety of tissues with higher expression in liver, vascular endothelial cells, platelets, macrophages, and adipose tissue (1). Increased levels of PAI-1 are associated with deep vein thrombosis (4). Defects in PAI-1 cause plasminogen activator inhibitor-1 deficiency (PAI-1D), which is characterized by increased bleeding after injury or surgery (5). Research studies have shown that high levels of PAI-1 are associated with obesity, aging, insulin resistance, and type 2 diabetes (6-8). PAI-1 is transcriptionally regulated by TGF-β and mediates TGF-β-induced inhibition of cell migration and invasion in cancer cells (9). Studies have also shown PAI-1 to be involved in fibrosis (10).

Species Reactivity

Species reactivity is determined by testing in at least one approved application (e.g., western blot).

Western Blot Buffer

IMPORTANT: For western blots, incubate membrane with diluted primary antibody in 5% w/v BSA, 1X TBS, 0.1% Tween® 20 at 4°C with gentle shaking, overnight.

Applications Key

W: Western Blotting W-S: Simple Western™ IHC-P: Immunohistochemistry (Paraffin) IF-IC: Immunofluorescence (Immunocytochemistry)

Cross-Reactivity Key

H: Human

Trademarks and Patents

Cell Signaling Technology is a trademark of Cell Signaling Technology, Inc.

SignalStain is a registered trademark of Cell Signaling Technology, Inc.

All other trademarks are the property of their respective owners. Visit cellsignal.com/trademarks for more information.

Limited Uses

Except as otherwise expressly agreed in a writing signed by a legally authorized representative of CST, the following terms apply to Products provided by CST, its affiliates or its distributors. Any Customer's terms and conditions that are in addition to, or different from, those contained herein, unless separately accepted in writing by a legally authorized representative of CST, are rejected and are of no force or effect.

Products are labeled with For Research Use Only or a similar labeling statement and have not been approved, cleared, or licensed by the FDA or other regulatory foreign or domestic entity, for any purpose. Customer shall not use any Product for any diagnostic or therapeutic purpose, or otherwise in any manner that conflicts with its labeling statement. Products sold or licensed by CST are provided for Customer as the end-user and solely for research and development uses. Any use of Product for diagnostic, prophylactic or therapeutic purposes, or any purchase of Product for resale (alone or as a component) or other commercial purpose, requires a separate license from CST. Customer shall (a) not sell, license, loan, donate or otherwise transfer or make available any Product to any third party, whether alone or in combination with other materials, or use the Products to manufacture any commercial products, (b) not copy, modify, reverse engineer, decompile, disassemble or otherwise attempt to discover the underlying structure or technology of the Products, or use the Products for the purpose of developing any products or services that would compete with CST products or services, (c) not alter or remove from the Products any trademarks, trade names, logos, patent or copyright notices or markings, (d) use the Products solely in accordance with CST Product Terms of Sale and any applicable documentation, and (e) comply with any license, terms of service or similar agreement with respect to any third party products or services used by Customer in connection with the Products.

Orders: 877-616-CELL (2355) [email protected] Support: 877-678-TECH (8324) [email protected] Web: cellsignal.com
For Research Use Only. Not for Use in Diagnostic Procedures.

Revision 11

Cell Signaling Technology Logo
Western blot analysis of extracts from various cell lines using PAI-1 (E3I5H) XP® Rabbit mAb (upper) and β-Actin (D6A8) Rabbit mAb #8457 (lower). The differential expression of PAI-1 protein between JHH-1 and the other cell lines is consistent with their reported molecular profiles (depmapportal.org), confirming the specificity of the antibody.
Western Blotting Image 1: PAI-1 (E3I5H) Rabbit Monoclonal Antibody
Simple Western™ analysis of lysates (0.01 mg/mL) from HUVEC cells using PAI-1 (E3I5H) XP® Rabbit mAb #49536. The virtual lane view (left) shows the target band (as indicated) at 1:10 and 1:50 dilutions of primary antibody. The corresponding electropherogram view (right) plots chemiluminescence by molecular weight along the capillary at 1:10 (blue line) and 1:50 (green line) dilutions of primary antibody. This experiment was performed under reducing conditions on the Jess™ Simple Western instrument from ProteinSimple, a BioTechne brand, using the 12-230 kDa separation module.
Western Blotting Image 1: PAI-1 (E3I5H) Rabbit Monoclonal Antibody
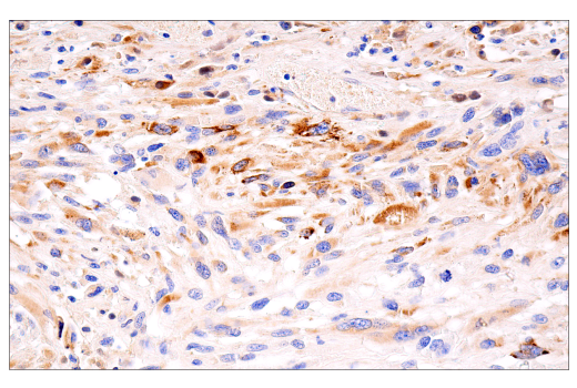
Immunohistochemical analysis of paraffin-embedded human breast carcinoma using PAI-1 (E3I5H) XP® Rabbit mAb.
Immunohistochemistry Image 1: PAI-1 (E3I5H) Rabbit Monoclonal Antibody
Orders: 877-616-CELL (2355) [email protected] Support: 877-678-TECH (8324) [email protected] Web: cellsignal.com
For Research Use Only. Not for Use in Diagnostic Procedures.

Revision 11

Cell Signaling Technology Logo
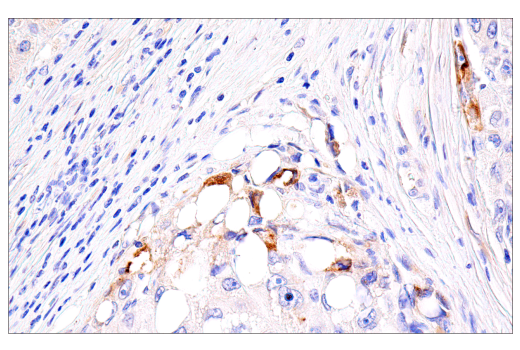
Immunohistochemical analysis of paraffin-embedded human placenta (2 regions of interest) using PAI-1 (E3I5H) XP® Rabbit mAb.
Immunohistochemistry Image 2: PAI-1 (E3I5H) Rabbit Monoclonal Antibody
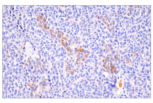
Immunohistochemical analysis of paraffin-embedded human hepatocellular carcinoma using PAI-1 (E3I5H) XP® Rabbit mAb.
Immunohistochemistry Image 3: PAI-1 (E3I5H) Rabbit Monoclonal Antibody
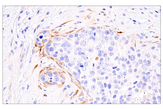
Immunohistochemical analysis of paraffin-embedded human ductal breast carcinoma using PAI-1 (E3I5H) XP® Rabbit mAb.
Immunohistochemistry Image 4: PAI-1 (E3I5H) Rabbit Monoclonal Antibody
Orders: 877-616-CELL (2355) [email protected] Support: 877-678-TECH (8324) [email protected] Web: cellsignal.com
For Research Use Only. Not for Use in Diagnostic Procedures.

Revision 11

Cell Signaling Technology Logo
Immunohistochemical analysis of paraffin-embedded human granulosa cell tumor of the ovary using PAI-1 (E3I5H) XP® Rabbit mAb.
Immunohistochemistry Image 5: PAI-1 (E3I5H) Rabbit Monoclonal Antibody
Immunohistochemical analysis of paraffin-embedded human gastrointestinal stromal tumor using PAI-1 (E3I5H) XP® Rabbit mAb.
Immunohistochemistry Image 6: PAI-1 (E3I5H) Rabbit Monoclonal Antibody
Immunohistochemical analysis of paraffin-embedded human colon carcinoma using PAI-1 (E3I5H) XP® Rabbit mAb (left) compared to concentration-matched Rabbit (DA1E) mAb IgG XP® Isotype Control #3900 (right).
Immunohistochemistry Image 7: PAI-1 (E3I5H) Rabbit Monoclonal Antibody
Orders: 877-616-CELL (2355) [email protected] Support: 877-678-TECH (8324) [email protected] Web: cellsignal.com
For Research Use Only. Not for Use in Diagnostic Procedures.

Revision 11

Cell Signaling Technology Logo
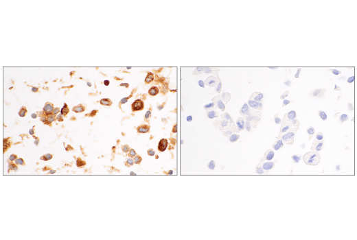
Immunohistochemical analysis of paraffin-embedded SNB-19 cell pellet (left, positive) or BT-474 cell pellet (right, negative) using PAI-1 (E3I5H) XP® Rabbit mAb.
Immunohistochemistry Image 8: PAI-1 (E3I5H) Rabbit Monoclonal Antibody
Confocal immunofluorescent analysis of SNB-19 cells (left, positive) and BT-474 cells (right, negative) using PAI-1 (E3I5H) XP® Rabbit mAb (green), DyLight™ 650 Phalloidin #12956 (red), and DAPI #4083 (blue).
Immunofluorescence Image 1: PAI-1 (E3I5H) Rabbit Monoclonal Antibody
Orders: 877-616-CELL (2355) [email protected] Support: 877-678-TECH (8324) [email protected] Web: cellsignal.com
For Research Use Only. Not for Use in Diagnostic Procedures.